Лучевая кость входит в состав предплечья и состоит из нескольких частей, которые могут повреждаться. Согласно статистике перелом шиловидного отростка лучевой кости составляет примерно половину всех повреждений. Часто повреждение комбинируется с травмой лучевой кости в типичном месте. Для того чтобы возник этот вид перелома должны быть специфические причины, с которыми стоит разобраться более подробно.
Что представляет собой этот отросток
Это образование в области нижнего (дистально расположенного) эпифиза, epiphysis distalis, оно утолщено в направлении фронтальной плоскости. Именно от этой части отходит processus stuloideus radii и отлично прощупывается.
Как часто бывает перелом шиловидного отростка лучевой кости?
Симптоматика
Понять, что у вас развивается шилоподъязычный синдром, помогают характерные признаки:
- в горле периодически возникают спазмы;
- появляются болезненные ощущения в шее, которые отдают в уши;
- наблюдается острая боль при глотании;
- из-за давления шиловидного отростка ощущается присутствие инородного тела;
- за языком или под ним присутствуют неприятные болевые ощущения;
- при пальпации легко нащупать уплотнение малого рожка (некоторые врачи при диагностике употребляют выражение «увеличенная подъязычная кость», что не совсем верно);
- кружится и болит голова;
- присутствует тошнота.
Врачи часто сталкиваются с правосторонним искривлением. Изначально шиловидный отросток, который располагается справа, несколько длиннее. Помимо описанного заболевания существует синдром сонной артерии, характеризующийся значительной удлиненностью искривленного шиловидного отростка. Из-за неправильной формы он оказывает механическое воздействие на стенки сонной артерии, раздражает ткани симпатического сплетения. Человека беспокоит боль в области лба, глаз (переносицы). В запущенных случаях она отдает в теменную область, иногда в виски.
Компрессионный тип
Чаще возникает после удара в область запястья кисти, в силу чего поток энергии ударного движения оттягивает шиловидный отросток лучевой кости кнаружи и немного назад, после чего распространяется на рядом расположенную ладьевидную кость и вызывает перелом данной сочленяющейся части поверхности. В результате возникает линейный перелом в месте сочленения ладьевидной и полулунной костей в виде трещины, поэтому смещение отломков отсутствует.
Необходимо провести репозицию (сопоставление) костных отломков, которую проводят закрытым доступом под применением местного обезболивания.
Определение
Синдром Игла
Синдромом Игла называется комплекс признаков, связанных с изменением шиловидного отростка или шилоподъязычной связки. Говоря об «изменениях», имеют в виду изменения формы, расположения или увеличение размеров отростка, а также окостенение связки.
Как правило, синдром Игла является односторонним и может быть шиловидно-глоточным и шиловидно-каротидным. Обычно синдром диагностируется с правой стороны, поскольку здесь шиловидный отросток имеет большую (на 3-4 мм) длину, чем расположенный слева.
Иное название патологии – шилоподъязычный синдром, синдром Игла-Стерлинга. Название заболеванию дано по имени отоларинголога из Америки, который впервые описал данный синдром.
Клиническая картина
Наблюдаются следующие симптомы:
- Значительная отечность с распространением на подлежащие ткани. Может показаться, что кожные покровы этой области как бы натянуты, ощущается значительно выраженное чувство дискомфорта.
- Сильная болезненность.
- Ограничение движений как активных (более выражено), так и пассивных (выражено в меньшей степени).
- Звук крепитации («хруста», «скрипа», как при ходьбе по снегу) при попытке пошевелить или подвигать конечностью.
- Область перелома гиперемирована, иногда может сочетаться с образованием гематом.
Лечебные мероприятия
Для проведения репозиции врач должен взять пораженную конечность таким образом, чтобы одна рука находилась на лучезапястном суставе с его внутренней поверхности, а другой взять за противоположную сторону и плотно сжать руку потерпевшего. Сжимать нужно достаточно сильно, чтобы отломки заняли свое нормальное физиологическое положение. В противном случае некачественное проведение процедуры репозиции может привести к нарушению функционирования конечности, а в некоторых случаях влечет за собой и инвалидизацию больного.
Реабилитация
После хирургического вмешательства пациенту назначается восстановительное лечение. Из-за своеобразного месторасположения и строения перелом подъязычной кости считается опасным для здоровья.
Акт жевания и глотания после операции может привести к осложнениям и больному через носопищевой зонд (желудочный или дуоденальный) вводят жидкую пищу. При особо тяжелых случаях повреждения (гортаноносоглотка открыта) зонд вводится в пищевод через рану. Назначают противовоспалительные (антибиотики), антимикробные препараты и десенсибилизируюшие средства.
Выполнение всех рекомендаций специалиста во время реабилитации предотвратят возможные осложнения такой сложной травмы.
Отрыв шиловидного отростка лучевой кости
В отличие от вышеописанного компрессионного перелома, в данном случае наблюдается полный отрыв костного элемента.
Чаще всего это наблюдается при падении на вытянутую руку, при котором запястье отклоняется вовнутрь, а шиловидный отросток отстраняется от лучевой кости и отрывается. Иногда это происходит вместе с полным вывихом лучезапястного сустава.
Шиловидные отростки лучевой и локтевой кости очень хрупкие.
Строение и функции
https://www.youtube.com/watch?v=gSbV9Yf4cuE
При травмах подъязычной кости нарушаются процессы глотания, жевания, деформируется мягкое небо, изменяется положения языка.
По международной классификации болезней травма входит в класс травмы шеи (S10-S19).
Диагностические мероприятия
При смещении шиловидного отростка лучевой кости необходимо провести следующие мероприятия:
- Сбор анамнеза.
- Осмотр врачом-травматологом.
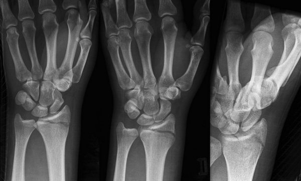
- Рентгенологическое исследование в прямой и боковой проекции лучезапястного сустава.
- При необходимости возможно проведение таких дополнительных методов исследования, как, например, компьютерная томография (КТ) или ультразвуковое исследование мягких тканей (УЗИ).
Как лечить перелом шиловидного отростка лучевой кости?
Причины травмы
Перелом шиловидного отростка возникает чаще всего не от прямого воздействия механической силы, а, как правило, от отдачи. Человек падает на разогнутую в локте руку рефлекторно и в момент падения на лучевую кость приходится чрезмерная нагрузка.
Травма имеет выраженный сезонный характер, и частота случаев перелома возрастает в период поздней осени и зимы, особенно во время гололедицы.
Лечение
Самое главное — провести костную репозицию с последующей иммобилизацией посредством гипсовой лонгеты, которая носится не менее одного месяца. Затем осуществляется повторное рентгенологическое исследование для того, чтобы убедиться в том, что отломки срастаются правильно. Это осуществляется для обеспечения максимальной подвижности в физиологических местах сочленений составных поверхностей.
При наличии необходимости проводится оперативное вмешательство с применением инородных средств фиксации (штифтов, винтов).
Лекарственная терапия заключается в применении витамина группы Д и препаратов, обогащенных кальцием, для максимального сокращения срока адекватного срастания костей в реабилитационном периоде, поскольку при неправильном лечении может развиться стилоидит шиловидного отростка лучевой кости.
Как проявляется патология: симптомы и диагностика
Статистика гласит, что большинство из тех, у кого развивается лучезапястный или локтевой стилоидит, обращаются к врачу слишком поздно — тогда, когда дискомфорт становится нестерпимым, а дегенеративные процессы в связках уже приобретают хроническое течение.
Нужно помнить, что постоянная микротравматизация сухожилий и длительное воспаление приводят к нарушению кровоснабжения суставов, перерождению межсуставной ткани в фиброзную, значительному ухудшению подвижности костного сочленения, а в самых худших случаях — полной потере подвижности.
Однако таких печальных последствий можно легко избежать, если вовремя обратить внимание на проявления патологии и начать соответствующее лечение. На ранних стадиях стилоидит лучезапястного сустава, так же как и локтевого, сопровождается следующими симптомами:
- ноющая боль в пораженном суставе, усиливающаяся в ночное время, при ухудшении погодных условий и после физических нагрузок и стихающая после непродолжительного отдыха;
- припухлость, гиперемия кожи и местное повышение температуры в воспаленном месте;
- ощущение онемения в пальцах;
- слабость в мышцах больной руки;
- ограниченность движений в области кисти или локтя;
- слышимые при сгибании/разгибании поскрипывания, хруст и щелчки в локтевом (лучезапястном) суставе.
Если болезненные ощущения усиливаются, а подвижность суставов значительно ухудшается, это свидетельствует о том, что болезнь прогрессирует. Однако по внешним признакам установить точный диагноз нельзя.
Чтобы выявить наличие стилоидита, необходимо обязательно обратиться к специалисту и пройти не только первичный осмотр, но и аппаратную диагностику. Как правило, для определения истинной причины боли и дискомфорта в лучезапястном или локтевом суставе достаточно сделать рентгеновское фото, на котором будут отчетливо заметны дегенеративные изменения в ткани сухожилий.
Если пациент сомневается в том, какой врач лечит стилоидит лучевой кости, для начала можно обратиться к терапевту. После опроса и первичного осмотра специалист при необходимости выпишет направление к врачу более узкой специализации — ревматологу, артрологу, неврологу или ортопеду.
Первая доврачебная помощь
Так как не всегда удается в первые минуты доставить пострадавшего в медицинское учреждение, то необходимо иметь представления об оказании первой помощи при помощи имеющихся подручных средств.
Прежде всего нужно обездвижить (осуществить иммобилизацию) поврежденную конечность, зафиксировать какой-либо тканью, наложить шину, это проводится с целью предупреждения таких осложнений, как кровотечения и смещения, а также предупреждения более выраженного болевого синдрома.
Проводится санитарная обработка при наличии раневой поверхности. Для этого подойдет любой антисептик, обеззараживающий раствор (перекись водорода или, например, раствор йода спиртовой). Раствор наносится на какой-либо оторванный кусок ткани или салфетку, и обрабатывается участок. Это проводится с целью обеззараживания раны перелома и предупреждения инфицирования различного вида патогенными агентами.
Так как больного беспокоит сильно выраженный болевой синдром, то необходимо дать ему обезболивающие группы препаратов, например стероидные противовоспалительные препараты (НПВС). Наиболее эффективными являются «Диклофенак», «Кетопрофен» или «Ибупрофен».
Плюс ко всему вышеперечисленному нельзя забывать про холод, который необходимо сразу же положить на участок перелома шиловидного отростка лучевой кости (фото представлено ниже).
Период иммобилизации
Терпеть боль после падения, бинтовать руку и применять народные средства, думая, что произошёл банальный ушиб, не стоит. Лучше перестраховаться и сделать рентген. Цена позднего обращения за медицинской помощью – развитие тендосиновита и неврита срединного нерва, а при переломе со сроком давности 6-8-недель, суставную деформацию можно будет исправить только оперативным путём.
Восстановление целостности и фиксация сустава
В подавляющем большинстве случаев свежие, а также 2-3 недельные повреждения Коллеса и перелом шиловидного отростка со смещением или без него устраняют с помощью ручной репозиции, выполняющейся под местной анестезией.
При применении современных гипсовых материалов сперва выполняют иммобилизацию и быстро выполняют репозицию. Посмотрите видео, демонстрирующее эту процедуру.
Если рука будет иммобилизована обычным гипсом, то сначала перелом вправляют, а после накладывается гипсовая повязка. Пока ассистент поддерживает вытяжение сустава двумя руками, хирург накладывает гипс.
Во время того, как он высыхает, врач одной рукой воспроизводит изогнутые линии костей предплечья, а другой удерживает запястье в положении кнутри-кпереди. В конце процедуры врач должен проверить, что повязка не мешает движению пальцев.
В любом случае гипсовая повязка накладывается от горизонтальной складки ладони и лучевой стороны пястной кости большого пальца до уровня локтя. Она должна быть достаточно тугой для того, чтобы отломки не сместились, но при этом и не сильно сдавливали конечность, сохраняя в ней нормальное кровообращение и лимфоотток.
В течение первых 3 дней загипсованную конечность надо поддерживать косыночной повязкой
Применение желобовых шин с ватными прокладками, современных ортезов и туторов не рекомендуется, поскольку они не позволяют выполнить точное моделирование, слишком громоздки и могут привести к повторному смещению.
Совет. Лучше всего использовать или полимерный бинт, или Турбокаст на молнии (см. фрагмент на фото сверху). Они разрешают опытному хирургу точно повторить изгиб лучевой кости, защищают от рентгеновского облучения, не боятся воды и хорошо пропускают воздух.
Вариант современной иммобилизации с молнией чуть дороже, но предпочтительнее. Почему? При развитии сильного отёка гипс надо будет разрезать, а затем забинтовать сверху обычным бинтом.
Молния позволяет это сделать:
- во-первых, без усилий;
- во-вторых, сэкономить деньги.
Экономия состоит в следующем. После того как отёчность спадёт, повязку Турбокаст застёгивают и повторно моделируют плотное прилегание к конечности с помощью воды, в то время как полимерный бинт, после его разрезания, придётся полностью заменить на новый.
Статистка ВОЗ. Перелом шиловидного отростка правой локтевой кости встречается гораздо чаще, чем его повреждение на левой руке. Объясняется это очень просто. Большинство людей – правши, и поэтому при падениях в зимнее время, а именно они являются самой частой причиной травмирования отростка, повреждают правую руку.
Лечебная физкультура
Начинать лечить сломанный шиловидный отросток локтевой кости начинают сразу же после того, как высохнет гипс. В течение каждого дня, до того времени пока его не снимут, 1 раз в час, предстоит делать всего 6 несложных упражнений. Это необходимое условие для реабилитации повреждённой руки в положенные природой сроки.
Отговорки не помогут:
- гипсовая повязка не будет мешать занятиям;
- отёчность любых, даже самых больших размеров, не относится к противопоказаниям, более того упражнения наоборот будут помогать бороться с ней, усиливая крово- и лимфоотток;
- дискомфортные и болевые ощущения надо будет терпеть, поскольку если не заниматься в первые дни, то если и не образуется тугоподвижность в лучезапястном суставе, но время на его полное функциональное восстановление увеличится на несколько месяцев.
Главный метод лечения повреждения шиловидного отростка локтевой кости – ЛФК
Каждое упражнение для пальцев повторяют по 18-24 раза, а для плеча – по 8-10 раз.
Дальнейшая инструкция такова:
- Одновременно и широко разводите все пальцы в стороны до момента, когда они полностью выпрямятся. Разбейте общее количество повторений на 3 раза, и сделайте подряд разведения-сведения в 3 исходных положениях:
- локоть согнут, предплечье на весу или лежит на столе, ладонью вниз;
- рука поднята вверх, ладонь повёрнута вперёд.
- Это упражнение выполняется стоя в основной стойке или сидя на стуле. Перед его началом выпрямите спину, и потянитесь макушкой вверх. Плавно поднимите прямую сломанную конечность через сторону вверх, до касания ею уха, и также плавно и медленно, без рывков, опустите её вниз. Чередуйте это движения, поднимая то напряжённую во всех мышцах руку, то расслабленную.
- Сгибайте 2-4 пальцы (кроме большого) в средних и крайних межфаланговых суставах, стараясь достать пучками пальцев до гипса. Предпочтительное исходное положение – рука согнута в локте, предплечье на себя, его можно поддерживать здоровой рукой.
- Сидя на стуле и стоя прямо:
- поднимите её через сторону вверх;
- согните локоть;
- заведите плечо (плечевую кость) за шею и затылок;
- опустите руку в исходное положение.
- Держа согнутую в локте руку перед собой, наклоняйте прямые пальцы вниз, вытягивая их в сторону лучезапястного сустава. Линия сгиба – это пястно-фаланговые сочленения. Оттопырьте большой палец в сторону, чтобы он не мешал работе указательного.
- Находясь в основной стойке:
- согните локоть и положите тыльную поверхность сломанной кисти на область лопатки здоровой конечности.
Положение, которое помогает предотвратить развитие сильного отёка
На заметку. В первые дни после травмы, для борьбы с отёчностью, старайтесь побольше находиться в положении лёжа, при этом сломанная рука должна лежать на подушках так, чтобы предплечье располагалось под углом, пальцами в потолок.
По истечении трёх дней, поддержка сломанной руки косыночной повязкой отменяется.
Больному можно и нужно:
- пользоваться рукой во время принятия пищи;
- самостоятельно одеваться;
- выполнять лёгкую домашнюю работу;
- пользоваться компьютером или планшетом.
Медикаментозное лечение
В случае сильного отёка и болевых ощущений назначают анальгетики и подходящий мочегонный препарат. Кстати, в первые 2 дня, можно часто делать обкладывания загипсованной части конечности большим количеством кубиков льда, упакованного в полиэтиленовых пакетах.
Пожилым женщинам подбирают средство, тормозящее процессы остеопороза. Это может быть комбинация из следующих лекарств:
- витамин D и его синтетические заменители;
- фторид натрия;
- лактат, глюконат или хлорид кальция;
- кальцитонин и его аналоги;
- бифосфонаты;
- эстрогены или анаболические стероиды.
Внимание! Самолечение препаратами от остеопороза и кальцийсодержащими лекарствами запрещено. Это может привести к обратному эффекту. Вместо помощи организму в сращении костной ткани, начнется её усиленное обезыствление.
Реабилитационные мероприятия
Включают в себя комплекс мероприятий, направленных на скорейшее сращение костных поверхностей между собой и более быстрое выздоровление.
Имеют место физиопроцедуры, наиболее эффективными среди которых считаются посещения ультрафиолетового облучения (УФО), магнитотерапии и УВЧ-терапии. Последняя процедура противопоказана при оперативных вмешательствах с установкой металлических конструкций.
Через полторы недели добавляются посещения процедур инфракрасной лазеротерапии, импульсного ЭП УВЧ в сочетании с магнитной стимуляцией поврежденных нервных волокон.
После удаления гипсовой лонгеты показаны занятия лечебной физкультурой с посещением курса массажа. Они стимулируют скорейшее восстановление утраченных функций конечности за счет укрепления нервно-мышечного аппарата и восстановления передачи электрической импульсации от поврежденной конечности и обратно.
Относительно питания здесь также нужно учесть, что следует больше употреблять те продукты, которые богаты кальцием и витамином Д. Это прежде всего молоко, творог, сметана, морепродукты, сыры твердых сортов, бобовые, зелень, сухофрукты (курага, чернослив), телятина, печень, а также рыбий жир.
Возможные осложнения
Могут развиться при неправильном лечении следующие последствия:
- За счет присоединения инфекции на любом этапе оказания помощи. Развивается гнойно-септическое воспаление с угрожающим переходом в летальный исход.
- Поражение сосудисто-нервного пучка, что может грозить развитием контрактур (ограничений движений в суставе).
- Неправильное сращение костей с формированием ложного сустава и деформацией конечности в целом.
- Развитие остеомиелита (гнойно-септическое поражение как костного мозга, так и костного аппарата).
- Нейротрофические осложнения.
- Косметический дефект в виде так называемого «выпирания» шиловидного отростка лучевой кости.
- Различные варианты деформаций костного и суставного аппарата.
Функции надподъязычных мышц
Группа надподъязычных мышц выполняет одну общую функцию. Они позволяют подъязычной кости двигаться кверху, книзу и в стороны. Это помогает человеку выполнять такие сложные действия, как глотание и жевание. Таким образом, можно сказать, что надподъязычные мышцы участвуют в пищеварительных и дыхательных функциях, хотя и косвенно. Также эта группа мышечных волокон, поднимая подъязычную кость вместе с гортанью и опуская нижнюю челюсть, способствует процессу речеобразования.


