
На сегодняшний день специалисты различают три типа аномалии Арнольда Киари. Их классификация основана на особенностях структуры ткани головного мозга, перемещающейся в позвоночный канал, а также на характере нарушений в развитии и головного, и спинного мозга. В большинстве случаев люди, у которых развивается синдром Киари, не страдают от проявления его симптомов и, соответственно, не нуждаются в лечении. Поэтому врачам удается диагностировать нарушение только при обследовании организма при подозрении на другое заболевание. В зависимости от степени тяжести синдром может вызвать разные неприятные последствия.
Что это такое?
Аномалия (мальформация) Арнольда Киари – редко встречающаяся патология, при которой части головного мозга, в нормальном состоянии находящиеся в задней черепной ямке, опускаются в каудальном направлении, выпадая через большое затылочное отверстие. Достаточно часто она сопровождается постоянным проявлением болевых ощущений, а также неврологическим дефицитом. Вылечиться от данного заболевания можно исключительно с помощью хирургического вмешательства – шунтирующей операции либо декомпрессии задней черепной ямки.
Врачи отмечают, что аномалия Арнольда-Киари представляет собой серьезное неврологическое заболевание, которое требует внимательного подхода к диагностике и лечению. Специалисты подчеркивают, что симптомы могут варьироваться от головной боли и головокружения до более серьезных неврологических нарушений. Важно, чтобы пациенты, у которых есть подозрение на данное заболевание, проходили полное обследование, включая МРТ, для точной диагностики.
Медики также акцентируют внимание на необходимости индивидуального подхода к каждому случаю. В некоторых ситуациях консервативное лечение может быть достаточным, в то время как в других случаях может потребоваться хирургическое вмешательство. Врачи рекомендуют пациентам не игнорировать симптомы и своевременно обращаться за медицинской помощью, так как ранняя диагностика и лечение могут значительно улучшить качество жизни и предотвратить серьезные осложнения.

Как классифицируют аномалию
Учитывая тяжесть протекания болезни, специалисты различают четыре типа аномалии Арнольда Киари.
- Аномалия Арнольда Киари I типа – главным признаком данного типа является заметное опущение миндалин мозжечка таким образом, что они оказываются ниже большого затылочного отверстия. Синдром Киари 1 степени чаще всего проявляется в подростковом либо уже во взрослом возрасте. Очень часто при обследовании диагностируется и гидромиелия (внутри центрального канала спинного мозга накапливается достаточно большое количество цереброспинальной жидкости).
- Аномалия II типа – в отличие от синдрома Киари 1 типа, данная разновидность заболевания начинает проявляться с первых дней жизни. Ее основной признак – через большое затылочное отверстие выходят не только миндалины мозжечка, но еще и IV желудочек, мозжечковый червь, а также продолговатый мозг. Следует отметить, что этот тип патологии практически всегда сопровождается гидромиелией, но небольшой процент пациентов может страдать еще и миеломенингоцеле (спинномозговой грыжей врожденного типа).
- Синдром III типа – его основное отличие от других разновидностей мальформации заключается в том, что продолговатый мозг и мозжечок, опустившиеся через большое затылочное отверстие головы, занимают положение в менингоцеле шейно-затылочного отдела.
- Синдром IV типа – характеризуется гипоплазией (слабым развитием) мозжечка. От других типов патологии он отличается тем, что мозжечок не опускается в каудальном направлении. Некоторые неврологи относят данное нарушение к синдрому Денди-Уокера – при этом заболевании гипоплазии мозжечка сопутствует развитие гидроцефалии, сирингомиелии, а также образование врожденных кист задней черепной ямки.
Синдром II и III типов достаточно часто сопровождается проявлением симптомов других дисплазий центральной и периферической нервной систем:
- Развитие полимикрогирии;
- Гетеротопия коры головного мозга;
- Образование кисты в отверстии Можанди;
- Нарушение анатомии мозолистого тела;
- Нарушение функций подкорковых структур;
- Нарушение развития сильвиевого водопровода;
- Образование так называемых «намета и серпа» мозжечка.
Симптомы
К основным признакам данного синдрома относятся:
- В шейно-затылочном отделе практически всегда ощущается боль, которая обычно усиливается при чихании и кашле;
- Головные боли, которые возникают из-за того, что внутричерепное давление становится выше или напрягаются шейные мышцы;
- Частые приступы головокружения и потери сознания, особенно при повороте головы или резких движениях;
- Резкое ухудшение зрения;
- Ухудшение общего состояния;
- Значительное снижение температурной, а также болевой чувствительности в руках;
- Ощущение сильной слабости в мышцах верхних конечностей;
- Спастичность в пальцах;
- Регулярно повторяющиеся приступы апноэ (короткие остановки дыхания);
- Заметное ослабление рефлекса глотания;
- Резкое движение зрачками глаз, которое не контролируется головным мозгом;
- Затрудненное либо непроизвольное мочеиспускание;
- Нистагм – аномальное подергивание глазных яблок;
- Возникновение посторонних шумов в ушах, особенно при повороте или низком наклоне головы;
- Проявление тремора верхних и нижних конечностей;
- Нарушение координации движений;
- Явно выраженное нарушение мелкой моторики;
- Снижение чувствительности тела;
- Мускулатура некоторых частей тела гораздо слабее, поэтому бывает больно поднять даже легкие предметы;
- Состояние, которое может стать причиной приступа инфаркта головного либо спинного мозга.
Аномалия Арнольда-Киари вызывает множество обсуждений среди пациентов и медицинских специалистов. Многие люди, столкнувшиеся с этой патологией, отмечают, что их жизнь кардинально меняется после диагноза. Симптомы, такие как головные боли, головокружение и проблемы с координацией, становятся постоянными спутниками. Некоторые пациенты делятся историями о том, как им удалось найти поддержку в сообществах, где они могут обмениваться опытом и советами. Врачебные рекомендации варьируются: от консервативного лечения до хирургического вмешательства. Однако мнения о необходимости операции часто расходятся. Многие пациенты выражают надежду на дальнейшие исследования и улучшение методов диагностики и лечения, чтобы облегчить свою жизнь и вернуть привычное качество жизни.

Причины развития
В наше время синдром Арнольда Киари остается диагнозом, относительно которого не имеют мнения даже высококвалифицированные неврологи. Некоторые из специалистов утверждают, что это нарушение вызвано тем, что задняя черепная ямка ребенка деформирована и имеет слишком маленькие размеры, в последствие чего увеличивающиеся структуры мозга выходят из внутренней плоскости через затылочное отверстие.
Помимо того, существует мнение, что причина развития патологии обуславливается увеличенными размерами головного мозга, который не может нормально расположиться и поэтому постепенно выталкивает мозжечок и другие структуры, находящиеся в задней ямке черепа.
Также некоторые неврологи дают еще одно пояснение возникновения аномалии. По их утверждению, слабо выраженный синдром Киари может перейти в ярко выраженную клиническую форму из-за развития гидроцефалии. Именно эта болезнь вызывает значительное увеличение размеров желудочков, которое приводит к увеличению объема мозга. В связи с тем, что при аномалии Арнольда Киари, как и других дисплазиях костных структур краниовертебрального перехода, наблюдается неполноценное развитие связочного аппарата затылочно-шейной области. Поэтому даже незначительная травма может сильно усугубить вклинение миндалин мозжечка в затылочное отверстие, которое сопровождается манифестацией симптоматики данной патологии.
Достаточно часто если у женщины, вынашивающей плод, наблюдается эктопия шейки матки, то значительно увеличивается риск того, что у ее ребенка проявится любой из типов этого синдрома. При выявлении нарушения развития эмбриона рекомендуется прерывание беременности. В остальных случаях риск заболевания более низкий.
Возможные осложнения
Нередко у людей, страдающих патологией Арнольда Киари, наблюдается прогрессирование заболевания, вследствие чего развиваются достаточно серьезные осложнения. К наиболее часто встречающимся последствиям относятся:
- Гидроцефалия – в головном мозге накапливается достаточно большое количество избыточной жидкости;
- Паралич – к нему может привести сильное сдавливание спинного мозга. Следует отметить, что он может остаться даже после хирургического вмешательства и последующей реабилитации;
- Сирингомиелия – внутри позвоночника образуется киста либо полость, которая постепенно заполняется жидкостью и нередко нарушает нормальное функционирование спинного мозга;
- Порок сердца – диагностируется только в единичных случаях;
- Нарушение дыхательного процесса;
- Застойная пневмония;
- Пониженный уровень интеллекта.
Диагностика заболевания
Чтобы поставить максимально точный диагноз, определить стадию развития заболевания, а также сделать дальнейший прогноз, нужно провести тщательный осмотр и несколько неврологических обследований:
- Эхоэнцефалография головного мозга;
- Электроэнцефалография;
- Рэоэнцефалография.
Однако даже их результаты не позволяют поставить точный диагноз, потому что с их помощью можно определить только признаки повышения показателей внутричерепного давления.
Рентгенография черепной коробки требуется для определения уровня нарушения развития костей, которые нередко сопровождают синдром Арнольда Киари. КТ, как и МСКТ головного мозга, несмотря на достаточно хорошую визуализацию костных структур краниовертебрального перехода, не дают возможности неврологам полностью определить состояние мягких образований в задней ямке черепа.
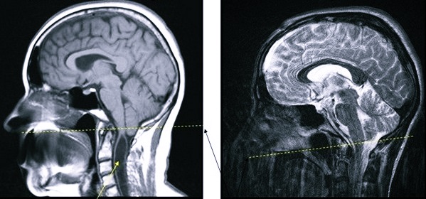
В связи с этим в последнее время наиболее часто применяется МРТ (магнитно-резонансная томография) – единственный простой и достоверный способ диагностики данной аномалии развития головного и спинного мозга. Поскольку для ее проведения необходима полная обездвиженность человека, то для обследования маленьких детей вводят в состояние так называемого медикаментозного сна.
Помимо МРТ головного мозга, неврологи могут дать направление на проведение МРТ грудного и шейного отделов позвоночника. Показанием для этого является подозрение на параллельное развитие сирингомиелических кист либо менингоцеле. Еще одним важным преимуществом данной методики является то, что она помогает обнаружить даже слабо выраженные нарушения в развитии центральной и периферической нервной системы, которые могут сопровождать аномалию Киари.
Методика лечения
Синдром Киари Арнольда можно лечить медикаменозными методами, если у человека проявляется только слабая боль в шейно-затылочной области. Для терапии патологии назначаются таблетки – миорелаксантные средства и медикаменты, оказывающие противовоспалительное и обезболивающее действие.
Если же медикаментозная терапия и народные средства не могут помочь, то проводится хирургическая операция. Во время нее врачи устраняют все факторы, которые вызывают сдавливание частей головного мозга, а также нарушают циркуляцию ликвора. На сегодняшний день доктора используют два способа хирургического лечения:
- рассечение концевой нити;
- декомпрессия большого затылочного отверстия, которую еще называют краниоктомией.
Рассечение концевой нити
Данный способ лечения заболевания обладает следующими преимуществами:
- Продолжительность данной хирургической операции составляет примерно сорок пять минут. Для ее выполнения используется минимально инвазивная техника, позволяющая поднять структуры мозга выше изначального места положения;
- Послеоперационное восстановление длится короткий период и не требует создания каких-либо специальных условий для пребывания человека;
- Устраняет риск наступления внезапной кончины человека, болеющего этой патологией;
- Позволяет устранить причину развития синдромов Кинкинга, Платибазии, сколиоза, базиллярной импрессии, а также некоторых других патологий;
- Среди прооперированных пациентов наблюдается 0% смертности;
- После хирургического вмешательства исключен риск развития гидроцефалии, вызванной опущенной миндалиной;
- Способствует улучшению состояния человека, а также останавливает развитие болезни;
- Помогает нормализовать кровоснабжение центральной и периферической нервной системы, улучшая когнитивные возможности пациента;
- После этого человек живет более полноценной жизнью.
Однако этот вариант лечения болезни имеет и ряд существенных недостатков:
- В области копчика останется маленький шов;
- В течение нескольких дней после операции может ощущаться слабая боль;
- Иногда улучшение спастичности путают со снижением силы рук и ног;
- В последствие усиления кровоснабжения головного мозга у некоторых пациентов повышается мозговая активность;
- В период восстановления организма и улучшения его чувствительности может ощущаться дискомфорт, который нередко принимают за нежелательное последствие лечения.
Краниотомия
К преимуществам декомпрессии большого затылочного отверстия относятся:
- Уже через несколько дней после хирургического вмешательства наблюдается заметное улучшение состояния человека;
- Исключено наступление скоропостижной кончины.
Недостатков у данной методики лечения гораздо больше:
- С ее помощью невозможно устранить причину недуга;
- Уровень смертности после операции составляет около 0,5-3%;
- Хирургическое вмешательство слишком агрессивное, может привести к серьезным последствиям, в том числе и инвалидности;
- Наблюдается незначительный процент улучшения среди пациентов;
- Риск отека головного мозга достигает 5%;
- Возможное развитие пневмоэнцефалии;
- Риск проявления послеоперационной гидроцефалии;
- Существенное ослабление рук и ног – тетрапарез;
- Во время хирургического вмешательства возможна потеря 3-14% спинномозговой жидкости;
- Газовая эмболия;
- Иногда проявляется неврологический дефицит, сложность которого напрямую зависит от зоны, где находится увечье;
- Занесение поверхностной, глубокой либо внутричерепной инфекции, которая может стать причиной развития асептического-септического менингита, а также образования абсцесса головного мозга;
- Выполнение манипуляций в некоторых случаях приводит к гемодинамическим изменениям, сопровождающимся нарушениями в стволе мозга;
- Риск образования эпидуральной гематомы;
- После хирургического вмешательства существует риск внутримозгового кровоизлияния;
- Возможно интрааксиальное кровоизлияние, провоцирующее неврологический дефицит.
Чтобы разрешить проведение операции для осуществления краниоктомии либо же рассечения концевой нити, специалисты проводят тщательное обследование для того, чтобы убедиться в полном отсутствии каких-либо особенностей организма пациента, которые могут послужить противопоказанием для проведения рекомендуемой операции.
Люди, у которых была диагностирована аномалия Арнольда Киари, могут прожить достаточно много, однако постоянное проявление признаков заболевания мешает вести полноценный образ жизни. Поэтому для улучшения состояния здоровья рекомендуется проведение операции, направленной на рассечение концевой нити либо декомпрессию большого затылочного отверстия. Каждый из методов лечения имеет свои преимущества и недостатки, поэтому наиболее подходящий вариант подбирают с учетом тяжести протекания патологии, а также общего состояния здоровья пациента.

Вопрос-ответ
Чем опасен синдром Арнольда-Киари?
Кроме того, у пациентов с аномалией Арнольда — Киари может развиться тетрапарез (снижение двигательной активности рук и ног) и гидроцефалия (избыточное скопление спинномозговой жидкости в черепной коробке). Без своевременно принятых мер человек с аномалией Арнольда — Киари может умереть.
Сколько лет живут с аномалией Арнольда-Киари?
При отсутствии каких-либо симптомов длительность жизни человека с пороком такая же, как и у других людей.
Как проявляется аномалия Киари?
Аномалия Арнольда Киари – патология, характеризующаяся опущением мозжечка с уменьшением его основных функций. Первичная форма заболевания не имеет явно выраженных симптомов, а вот наступающая вслед за ней острая форма чревата гидроцефалией, увеличением размера желудочков и объема головного мозга.
Кто лечит аномалию Арнольда-Киари?
Какие врачи лечат мальформацию Арнольду — Киари Нейрохирург.
Советы
СОВЕТ №1
Обратитесь к врачу-неврологу для получения точного диагноза. Аномалия Арнольда-Киари может проявляться различными симптомами, и важно провести полное обследование, чтобы исключить другие заболевания и получить правильное лечение.
СОВЕТ №2
Изучите информацию о заболевании. Понимание аномалии Арнольда-Киари, ее симптомов и возможных методов лечения поможет вам лучше подготовиться к общению с врачами и принимать обоснованные решения о своем здоровье.
СОВЕТ №3
Поддерживайте здоровый образ жизни. Регулярные физические упражнения, сбалансированное питание и достаточный сон могут помочь улучшить общее состояние здоровья и снизить риск обострения симптомов.
СОВЕТ №4
Присоединяйтесь к группам поддержки. Общение с другими людьми, страдающими от аномалии Арнольда-Киари, может помочь вам получить эмоциональную поддержку и полезные советы по управлению заболеванием.





