
МРТ – вид обследования, который часто используется для диагностики заболеваний мозга, брюшной полости и других органов. Его применяют уже более двадцати лет. Данный метод стал очень популярным, и во многих случаях практически незаменимым. Ему трудно найти достойную альтернативу.
Перед походом клинику или диагностический центр у некоторых пациентов возникает вопрос: «Вредно ли МРТ, и как часто можно делать эту процедуру?».
Принцип работы
Чтобы выяснить, вредно ли делать МРТ, нужно понять принцип функционирования томографа. При работе аппарата используется явление ядерно-магнитного резонанса. Во время диагностики внутри устройства образуется мощное магнитное поле. Оно воздействует на атомы водорода, которые присутствуют в теле каждого из нас. Они начинают колебаться в ответ на излучение.
Именно такие водородные колебания позволяют построить картинку, из которой видно состояние внутренних органов и систем. Радиация тут полностью отсутствует. В этом состоит кардинальное отличие МРТ от рентгена. Именно радиация оказывает негативное влияние на органы человека, и в больших дозах она крайне опасна.
Проведением процедуры руководит оператор, а также врач.
Опасно ли МРТ? Несмотря на относительную безопасность, МРТ выполняют лишь по рекомендации доктора, и на это должны быть строгие показания. Если есть методы диагностики, которые могут заменить МРТ, врач может использовать их. Существуют разные цели и виды обследования с применением МРТ. То, насколько целесообразно его применять, должен решать специалист.
Любопытно, что ни одно из исследований не выявило каких-то опасных последствий МРТ. Некоторые пациенты просто боятся замкнутого пространства, или их пугает непонятный шум установки. Доказано, что облучение при МРТ отсутствует, ведь в отличие от рентгена, речь идет о магнитном поле. Вред МРТ не имеет никаких научных доказательств, хотя временное изменение частоты колебания молекул водорода на клетки и ткани в долгосрочной перспективе никто не изучал.
При помощи МРТ можно увидеть практически все органы и системы человека. Нередко именно томография помогает точно поставить диагноз. Если на проведение данной процедуры есть показания, не стоит ее бояться, тем более, она может спасти жизнь.
Мнения врачей о вреде процедуры МРТ разделяются. Большинство специалистов утверждают, что магнитно-резонансная томография является безопасной и неинвазивной диагностической процедурой. Она не использует ионизирующее излучение, что делает её предпочтительной по сравнению с рентгеном или КТ. Однако некоторые врачи подчеркивают, что у пациентов с определенными имплантами, например, кардиостимуляторами или металлическими предметами в теле, могут возникнуть риски. Также существует вероятность возникновения клаустрофобии у людей, которые испытывают дискомфорт в замкнутом пространстве. В целом, при соблюдении всех рекомендаций и противопоказаний, МРТ считается высокоэффективным методом диагностики, который приносит больше пользы, чем потенциального вреда.

Как проводится
Пациента кладут на специальный стол, расположенный возле мощного сканера. Постепенно сканер движется вдоль стола или наоборот. На компьютер со специальной программой отправляются данные о состоянии определенного органа или целой системы. Врач может визуально их увидеть, причём даже в трехмерном виде. В среднем диагностика занимает около получаса, в зависимости от обследуемого органа (брюшная полость сканируется дольше всего и может затянуться на час).
В результате врач получит подробные снимки органов и систем в нескольких плоскостях. Такой метод поможет поставить точный диагноз и выявить патологию на ранней стадии. Сканирование предоставляет самую полную информацию об обследуемом органе.
Железный штифт или иное инородное тело из металла является противопоказанием для проведения томографии.
Насколько это вредно
Итак, вредно ли МРТ для здоровья? Как мы уже упоминали, во время магнитно-резонансной томографии на тело пациента воздействует только мощное электромагнитное поле, и многих это пугает. Однако ученые не установили факт нанесения им вреда человеческому организму во время проведения МРТ.
Тот факт, что учёные чего-либо не нашли, ещё не значит, что его нет.
Иногда во время процедуры пациентам становится плохо, но виной тому является не излучение, а замкнутое пространство. Камера для проведения МРТ очень маленькая, отдельных пациентов очень пугает пребывание в столь ограниченном замкнутом пространстве на протяжении получаса, да ещё не двигаясь.
Если человек слишком боится, ему следует сказать об этом врачу ещё до начала диагностики. Для пациентов, которые слишком боятся проведения незнакомой процедуры, или их пугает ограниченное пространство, есть следующие варианты:
- Проводить сканирование не в закрытом, а в открытом аппарате. Есть и такие способы, и в последнее время они используются все чаще.
- Во время процедуры можно ложиться не на спину, а на живот. Многим такая поза нравится больше.
- Разрешено не подкладывать под голову специальную подушку. Чтобы пациент получал больше воздуха, можно включить специальный вентилятор.
- Нужно помнить, что в распоряжении обследуемого есть специальная тревожная кнопка. Если возникнут проблемы, процедуру можно сразу прервать.
- Если пациент страдает от клаустрофобии, перед МРТ ему могут порекомендовать выпить седативный препарат.
Магнитно-резонансная томография (МРТ) вызывает у людей множество вопросов и сомнений. Одни утверждают, что это безопасная и безболезненная процедура, которая позволяет получить детальную информацию о состоянии организма. Другие же выражают опасения по поводу возможного вреда от воздействия магнитного поля и радиочастотных волн. Некоторые пациенты отмечают, что во время процедуры испытывают дискомфорт из-за ограниченного пространства и громкого шума аппарата. В то же время, врачи подчеркивают, что МРТ не использует ионизирующее излучение, как, например, рентген, и считается одной из самых безопасных диагностических методик. Однако, как и в любом медицинском вмешательстве, важно учитывать индивидуальные особенности пациента, такие как наличие имплантатов или аллергий. В конечном итоге, решение о проведении МРТ должно приниматься совместно с врачом, который оценит все риски и преимущества.

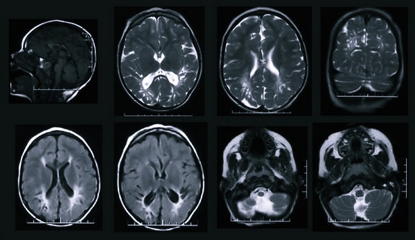
Как себя ведёт мозг
Вредно ли МРТ для здоровья человека, если сканируется мозг? Этот орган, как и любой другой, не следует облучать по любому поводу, хотя излучения сотовых вышек и беспроводного интернета находятся вокруг нас почти повсеместно.
Обследования мозга МРТ проводят только при наличии строгих показаний:
- постоянно болит голова;
- регулярные головокружения;
- подозрение на развитие опухоли в головном мозге;
- нарушение мозговой деятельности.
Так вредно ли делать МРТ головного мозга? Могут ли ткани при этом облучаться? Если это безопасно, то в каких случаях есть риск? Бывают ли осложнения? Рассмотрим особенности процедуры при исследовании мозга.
Пациента укладывают на особую площадку, которая непрерывно движется. На мозг при этом воздействует сильное электромагнитное поле. На аппаратуру подаются данные – реакция ядер водорода после мощного электромагнитного импульса. Как показали детальные исследования, никакого вреда ни мозгу, ни другим органам при этом не наносится. Польза от таких исследований в сотни раз выше, чем возможные риски. Никаких побочных явлений ждать не стоит. А вот эффект просто колоссальный. Можно в деталях и разных проекциях увидеть тело человека изнутри.
Иногда могут применять специальное контрастное вещество. Именно оно порой приводит к негативному воздействию. Потому персонал перед проведением процедуры должен обязательно расспросить больного, на какие вещества у него есть аллергия. При наличии отрицательной реакции на контрастное вещество, которое будет вводиться для процедуры, его заменяют на аналог.
Противопоказаниями для МРТ мозга могут оказаться:
- почечная недостаточность;
- наличие кардиостимуляторов;
- импланты среднего уха;
- в организме присутствуют другие инородные тела из металла (осколки, железные коронки, металлические спицы и т.д.). Исключением могут быть импланты с титановыми элементами;
- больной испытывает выраженную клаустрофобию. Это не является абсолютным противопоказанием для проведения процедуры. Потребуется лишь предварительная подготовка. При грамотном использовании седативных препаратов такие больные могут находиться в аппарате до 40-ка минут;
- психические заболевания. Есть ряд психических заболеваний, которые могут стать преградой для проведения исследования.
Есть немало исследований, целью которых было определить, вредна ли МРТ для организма и, в частности, для мозга. Ни одно из них не смогло доказать хоть какую-то потенциальную опасность процедуры. Потому принято считать, что МРТ можно проводить столь часто, сколько это нужно для диагностики.
Здоровье пациента ни коим образом не пострадает. Никакого пагубного влияния не будет. При этом могут обследоваться пациенты любого возраста и даже сразу после перенесенной операции.
В условиях стационара доктор может назначать пациенту МРТ достаточно часто – несколько раз за месяц.
Персонал больницы должен объяснить обследуемому суть процедуры до её начала: этапы проведения, длительность.
МРТ можно заменить и другими методами исследования, но при этом пострадает эффективность и точность. Томограф отличается высокой информативностью и возможностью усиления электромагнитного излучения.
Когда его назначают
МРТ назначают тогда, когда есть конкретные показания. Одного желания пациента недостаточно, да и делать это должен исключительно врач. Показаниями для томографии могут стать:
- возникшие подозрения на то, что появилась грыжа позвоночника;
- подозрения, что у пациента развивается опухоль, мастопатия, миома и т.д.
Иногда могут использовать контрастное вещество, чтобы лучше увидеть сосуды, органы. При грамотном введении и правильной дозировке оно не опасно.
МРТ и рентген – что безопаснее
Эти аппаратные способы диагностики относятся к самым популярным. Следует отметить, что:
- При рентгене на пациента воздействует поток ионов. У него слабая мощность, потому один сеанс рентгена не может нанести какой-либо вред. Доза излучения слишком мала.
- Специфика рентгена состоит в том, что полученные дозы излучения плюсуются. Его нельзя применять многократно за короткий промежуток времени. Дозы накапливаются, и при повторном обследовании негативный эффект усиливается. Крайне нежелательно за короткий промежуток времени повторять рентген несколько раз. Негативное воздействие от предыдущей дозы просто не успеет исчерпаться. Со временем ткани восстанавливаются, а если повторять ионизирующее воздействие часто, клетки и ткани могут повреждаться.
- Рентген противопоказан при некоторых патологиях и беременности. Радиация может стать губительной для плода.
- Нежелателен рентген и при грудном вскармливании. Кормящая мать должна обследоваться другими методами.
Некоторые пациенты отождествляют магнитно-резонансный метод и рентген. Это неправильно. Оба метода, хоть и аппаратные, но в их основе лежат совершенно разные физические процессы. При МРТ здоровью не угрожает вредное воздействие даже при повторной процедуре, и у неё абсолютно отсутствует ионизирующее излучение.
Дети
Детям могут часто назначать МРТ. Родителей нередко настораживает необходимость подвергать малыша воздействию мощного электромагнитного поля. Особенно волнуются те, кто не понимает принцип работы аппарата.
Чтобы провести МРТ, должны быть строгие клинические показания. Это уникальная процедура, которая позволит поставить точный диагноз. Также ее могут назначить, чтобы уточнить, насколько эффективно осуществляется лечение.
МРТ безопасен для малышей, но иногда им может потребоваться применение наркоза. Речь идет о детях младшего возраста, которые просто физически не смогут лежать неподвижно на протяжении всей процедуры.
Наркоз может потребоваться, если:
- малыш слишком подвижен;
- он не хочет лежать в одном положении;
- ребенок испугался или не хочет обследоваться.
Старшим детям МРТ проводится без наркоза. Главное – объяснить суть процедуры, и насколько важно её провести. Чтобы ребенка не пугал звук, можно применять беруши. Они не позволят шуму влиять на психологическое состояние. Воздействие аппарата на органы чувств будет минимальным.
Вывод
МРТ относят к относительно безопасным аппаратным способам диагностики. Его применяют для взрослых и детей. Чтобы не навредить здоровью, процедуру следует проводить лишь по рекомендации врача.

Вопрос-ответ
Почему не надо делать МРТ?
Главным ограничением при использовании МРТ является его основное физическое свойство – магнетизм. В организме человека нет органов, для которых кратковременное воздействие сильного магнитного поля было бы опасно.
Какие последствия могут быть от МРТ?
Незначительное головокружение, усиленное сердцебиение, повышенная потливость, дрожание конечностей, появление тошноты, повышение давления, чувство общей слабости.
Какой вред организму наносит МРТ?
Магнитно-резонансная томография является безопасным неинвазивным методом визуализации мягкотканных структур. Вред МРТ для организма принести не может, так как не имеет ничего общего с радиационным излучением. Для проведения диагностического исследования используют открытые и закрытые томографы.
Как часто можно делать МРТ без вреда для здоровья?
Безопасность исследования для взрослых При отсутствии противопоказаний и ограничивающих факторов, исследование не вызывает осложнений и является безопасным. Более того, делать томографию без вреда для здоровья можно столько раз, сколько предписано врачом.
Советы
СОВЕТ №1
Перед проведением процедуры МРТ обязательно проконсультируйтесь с врачом. Он поможет определить необходимость исследования и объяснит, какие показания могут быть у вас для его проведения.
СОВЕТ №2
Убедитесь, что у вас нет противопоказаний к проведению МРТ, таких как наличие металлических имплантов, кардиостимуляторов или других устройств, которые могут повлиять на результаты исследования.
СОВЕТ №3
Если у вас есть страх перед замкнутыми пространствами, обсудите это с медицинским персоналом. Возможно, вам предложат альтернативные методы исследования или успокаивающие препараты для более комфортного прохождения процедуры.
СОВЕТ №4
Не забывайте о важности подготовки к МРТ. Следуйте рекомендациям врача относительно питания и приема жидкости перед исследованием, чтобы избежать возможных осложнений и получить наиболее точные результаты.





