
Диффузные изменения биоэлектрической активности головного мозга нередко становятся следствием травм головы, инфекционного поражения мозговых тканей. Симптоматика патологического состояния негативно сказывается на жизнедеятельности: человека постоянно сопровождают болезненные ощущения, усталость, нервные расстройства. При своевременной и грамотной терапии проводимость импульсов восстанавливается, но на это уходит несколько месяцев и даже лет.
Что это такое?
Мозг представляет собой нейронную сеть, распространяющую импульсы волновой природы. Зафиксировать исходящие волны позволяет ЭЭГ (электроэнцефалограмма). Показатели электрогенеза помогают узнать многое о физическом и психическом состоянии пациента.
Ритмика мозговой активности неоднородна. С учетом частоты и амплитуды колебаний выделяют:
- альфа-волны (частота 8 – 13 Гц, амплитуда 25 – 95 мкВ) фиксируются у здорового человека, распространяются преимущественно на затылочный и теменной участки;
- бета-волны (14 – 30 Гц, 3 – 5 мкВ) становятся выраженными при интенсивной интеллектуальной и физической работе, а также при раздражающем воздействии на органы чувств;
- тета-волны (4 – 8 Гц, 25 – 35 мкВ) испускаются гиппокампом, отмечаются у детей 5 – 6 лет, а у взрослых во время глубокого сна и в состоянии комы;
- дельта-волны (1 – 3 Гц, 20 – 40 мкВ) типичны для новорожденного младенца, у взрослого человека наблюдаются во время сна.
Существуют и другие виды волн, но именно вышеперечисленные на энцефалограмме позволяют выявить диффузные патологии головного мозга.
Умеренные диффузные изменения белого вещества головного мозга (БЭА) могут свидетельствовать о различных патологиях, включая сосудистые заболевания, демиелинизирующие процессы и возрастные изменения. Врачи отмечают, что такие изменения часто сопровождаются симптомами, такими как головные боли, снижение когнитивных функций, ухудшение памяти и внимание. Для диагностики используются методы нейровизуализации, такие как МРТ, которые позволяют визуализировать изменения в структуре мозга. Лечение зависит от причины изменений и может включать медикаментозную терапию, физиотерапию и изменение образа жизни. Важно, чтобы пациенты своевременно обращались к специалистам, так как ранняя диагностика и адекватное лечение могут значительно улучшить качество жизни и замедлить прогрессирование заболеваний.

Что это за диагноз?
Головной мозг – огромное скопление клеток. Когда патология возникает на определенном участке, ее называют локализованной. Когда на разных участках появляются множественные патологические очаги разной величины, то говорят о диффузном поражении. То есть при таком типе заболевания захватывается весь орган.
Для мозга, как для всякого человеческого органа, характерны определенные патологические явления. При диффузных изменениях БЭА головного мозга может идти речь о:
- склерозировании (повышении плотности ткани);
- маляции (смягчении и потере структуры ткани);
- воспалительной реакции;
- опухолевом процессе.
Диффузный склероз
Это самая распространенная патология из представленных, проявляется уплотнением тканей вследствие недостаточного поступления кислорода. Причиной может быть нарушение циркуляции крови и развитие заболеваний, из-за которых кислород доставляется в недостаточном количестве.
Чаще всего провоцирующими болезнями выступают:
- гипертония;
- анемия;
- недостаточность сердечной мышцы;
- атеросклероз сонной артерии.
Перечисленные патологии диагностируются преимущественно у лиц пожилого возраста, при отсутствии своевременного и адекватного лечения приводят к возникновению диффузного склероза.
Провокаторами склерозирования бывают не связанные с кислородным дефицитом патологии: печеночная и почечная недостаточность. Они вызывают токсическое поражение мозговых тканей, в итоге мертвые участки уплотняются, либо формируются кисты.
Еще один фактор, приводящий к диффузному склерозу, – неправильное функционирование иммунной системы. Миелиновая оболочка, которой покрыт нейрон, выполняет функцию биологического изолятора. Иммунные агенты атакуют изоляционный покров, из-за чего возникают симптомы неврологического характера. Так развивается рассеянный склероз, диагностируемый у пациентов молодого возраста.
Умеренные диффузные изменения в биоэлектрической активности (БЭА) головного мозга часто вызывают беспокойство у пациентов и их близких. Эти изменения могут быть результатом различных факторов, включая возрастные изменения, стресс, травмы или хронические заболевания. Симптомы могут варьироваться от легкой головной боли и усталости до более серьезных когнитивных нарушений, таких как проблемы с памятью и вниманием.
Диагностика включает в себя электроэнцефалографию (ЭЭГ), которая позволяет оценить электрическую активность мозга и выявить аномалии. Важно также провести комплексное обследование для исключения других заболеваний. Лечение зависит от причины изменений и может включать медикаментозную терапию, физиотерапию и изменение образа жизни, включая диету и физическую активность. Раннее обращение к специалисту и соблюдение рекомендаций могут значительно улучшить качество жизни и предотвратить прогрессирование симптомов.

Энцефаломаляция
В мозговых тканях содержится большое количество жидкости. Когда клетки погибают, отмечается влажный некроз, главный признак которого – появление размягченных очагов. Когда процесс захватывает множественные участки мозга, то говорят о диффузной энцефаломаляции. На финальном этапе происходит склерозирование, либо образуются кисты.
Провокаторами диффузного размягчения бывают разные факторы, затрагивающие весь мозг. То есть ими не могут стать травмы и инсульты, приводящие к очаговым изменениям. Но могут быть:
- инфекции;
- отек;
- перенесенная клиническая смерть.
При воспалительной реакции, спровоцированной проникновением инфекции, иммунная система пытается блокировать распространение возбудителя. Итогом становится появление в воспаленном мозге участков мертвой ткани, содержащих гнойную массу. Часто процесс завершается летальным исходом, но при грамотно проведенной терапии возможна регенерация мозговых структур. Мертвые нейроны не восстанавливаются, но их функцию берут на себя окружающие клетки.
Диффузные опухоли
Опухоль –патология очагового типа. Поэтому говорить о диффузном поражении можно лишь при проникновении метастазов в мозг.
Метастазирование – перемещение злокачественных клеток с лимфой и кровью. Чаще всего перенос в мозговые ткани осуществляется из легочной системы и предстательной железы. Когда поступление метастазов обильное, то говорят об общемозговой степени поражения. Хирургическое вмешательство в данном случае бесполезно.
Причины диффузных изменений
Описанные выше патологии не возникают сами по себе. Обычно они провоцируются травмами, либо заболеваниями, сопровождающимися нарушением внутриклеточных процессов и ослаблением связи между нейронами.
Биоритмика головного мозга искажается, когда имеют место:
- Травмы головы. Умеренные диффузные изменения отмечаются обычно при сотрясениях мозга, в то время как тяжелые черепно-мозговые повреждения приводят к значительному искажению импульсных показателей.
- Воспалительные нейроинфекционные болезни: энцефалит, менингит, миелит, арахноидит и их смешанные вариации. При поражении спинномозгового ствола и подпаутинного пространства в тканях мозга ухудшается метаболизм, нарушается циркуляция ликвора в желудочках. Отекает белое вещество, на участках повреждений формируются рубцы. На энцефалограмме это проявляется ирритативными изменениями биоэлектрической активности головного мозга: наблюдаются высокочастотные и высокоамплитудные бета-волны.
- Атеросклероз и прочие сосудистые заболевания, сопровождающиеся ухудшением проводимости сосудов. Умеренные и слабые диффузные изменения биоэлектрической активности отмечаются на начальных стадиях патологий. При отсутствии терапии нейронная проводимость ухудшается, искажение показателей на энцефалограмме обретает выраженность.
- Радиоактивное облучение и химическая интоксикация. Радиация негативно сказывается на состоянии всего организма, но особенно костного и головного мозга, отмечаются сбои БЭА корковой зоны. После облучения и отравления токсинами человек утрачивает способность вести полноценную жизнь.
Диффузные изменения в результате травм
При сотрясении мозга могут разорваться аксоны – длинные отростки нейронов. В этом случае диагноз – диффузная травма мозга. Характерный симптом – потеря сознания.
Чем длительнее бессознательное состояние, тем выше вероятность последующей инвалидности или летального исхода.
При смещении подвижных частей головного мозга неподвижные элементы перекручиваются. И даже при нерезком сдвиге церебрального участка возможно полное или частичное разрушение аксонов. Аналогичный процесс может затронуть капилляры, снабжающие питанием лобный отдел и кору. Результат – диффузное отмирание тканей, из-за чего диагностика патологии осложняется.
Симптоматика
Изменения БЭА головного мозга мгновенно сказываются на физическом и психическом состоянии. Легкий и умеренный уровень нарушения биопотенциала тканей проявляется:
- головными болями;
- регулярным колебанием артериального давления;
- головокружениями;
- внезапными сменами эмоционального состояния, истеричностью;
- проблемами с памятью и работоспособностью;
- судорожными состояниями.
Умеренное и сильное изменение БЭА, выражаемое замедлением фоновой частоты, сигнализирует о начинающейся эпилепсии.
Опасность изменения БЭА
При умеренном проявлении измененная биоэлектрическая активность не усугубляет состояние организма. Но дезорганизация работы системы через некоторое время обязательно перерастает в опасные патологии.
Иногда совместно с дизритмией выявляется нарушение функционального состояния таламуса и гипоталамуса. Это приводит к развитию диэнцефального синдрома, при котором фиксируются неврологические, эндокринные, метаболические патологии: нарушается работа щитовидной железы, сердца и сосудов, органов пищеварения, репродуктивной системы. Сбивается работа регуляторной системы, отвечающей за поддержание температуры тела в норме. Возникают депрессия, бессонница, неконтролируемая смена настроения.
У ребенка убедительное нарушение импульсной проходимости может стать причиной серьезных психоэмоциональных расстройств, проблем с моторикой, отставания в развитии.
Диагностика
Умеренное нарушение баланса БЭА головного мозга обнаруживается несколькими методами. Применяются:
- сбор анамнеза и осмотр пациента;
- электроэнцефалография;
- магнитно-резонансная томография;
- ангиография (при атеросклерозе).
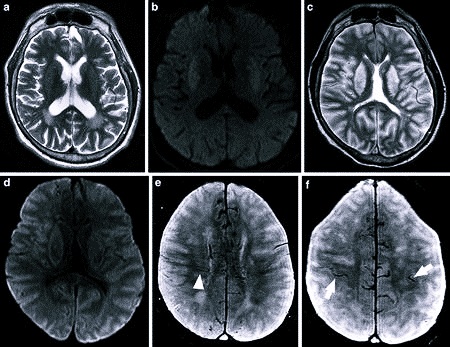
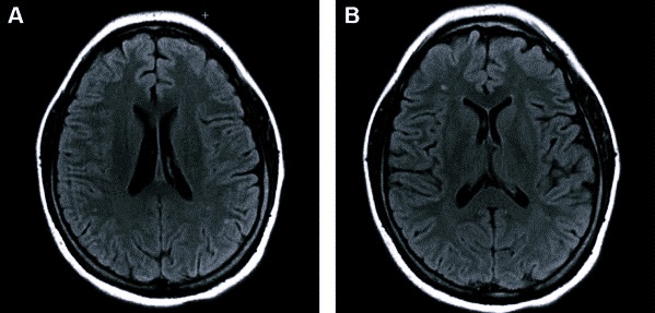
На МРТ пациента отправляют, если зафиксирована повышенная электрическая активность. Она свидетельствует о наличии патологии, которая будет заметна на томографическом снимке.
Расшифровка энцефалограммы
В ходе сеанса пациент сидит с шапочкой, к которой прикреплены датчики. Они захватывают импульсы, передают информацию на бумажный носитель в виде волнообразного графика.
Умеренное и сильное нарушение ритмики медицинский специалист замечает без труда. Он может увидеть:
- асимметрию волн;
- нарушенное распределение альфа и бета-потоков;
- выход частоты и амплитуды за пределы нормы;
- двойное усиление бета-волн, свидетельствующее о начале эпилептического припадка.
В ходе процедуры осуществляется фотостимуляция. Нормальный волновой ритм должен соответствовать частоте световых вспышек. Он не считается патологическим, если превышает норму максимум в 2 раза. Но если отмечается снижение ритма или существенное повышение, то однозначно имеется патология.
Альфа-ритм сигнализирует о нарушениях, если:
- отсутствует (это указание на межполушарную асимметрию);
- фиксируется в лобной доле;
- межполушария ассиметричны более чем на 35%;
- выявляется искажение волновой синусоидальности;
- отмечается частотная неравномерность (высокая частота указывает на травму головы);
- амплитудный показатель ниже 25 или выше 95 мкВ.
Нарушение альфа-активности в детском возрасте сигнализирует о задержке психического развития. Отсутствие данного ритма – признак слабоумия ребенка.
Бета-волны, имеющие высокую амплитуду, указывают на сотрясение мозга, короткую – на воспалительное инфекционное заболевание. У детей ритм указывает на отставание психического развития при 15 Гц и 40 мкВ.
Тета-волны при превышении 45 мкВ свидетельствуют о функциональных нарушениях. Причем увеличение на всех участках органа – сигнал серьезной патологии ЦНС. Высокая частотность – признак опухоли. У ребенка превышение показателей тета и дельта в затылочных тканях указывает на задержку психического развития, либо на нарушенное кровообращение.
ЭЭГ может выражать различные изменения БЭА:
- относительно-ритмичная активность – указание на головные боли;
- диффузная БЭА в сочетании с генерализованными патологическими процессами и пароксизмами – признак судорожных и эпилептических приступов;
- сниженная реактивность БЭА указывает на психоэмоциональные расстройства.
В заключении врач может написать:
- незначительные регуляторные изменения, диффузные процессы в паренхиме мозга;
- резидуальные (остаточные) общемозговые изменения;
- общемозговая биоэлектрическая дезориентация с включением срединных гипоталамических структур;
- относительно-ритмичная БЭА, дисфункция срединных и стволовых структур с участками пароксизмов.
Терапия
Диффузное расстройство мозговой активности следует лечить только в медучреждении. Терапевтический план организовывают, учитывая причину искажения БЭА. Тяжелее всего восстановить мозг пациента, перенесшего интоксикацию или радиационное воздействие. При атеросклерозе нормализация мозговой активности возможна лишь на начальной стадии.
Медикаментозная терапия подразумевает прием средств, направленных на устранение как самого провоцирующего заболевания, так и его психических, неврологических, метаболических, вегетативных симптомов. Используются:
- антиоксиданты;
- ноотропы;
- препараты для нормализации метаболизма;
- вазоактивные медикаменты;
- кальциевые антагонисты для нормализации церебральной деятельности;
- препарат «Пентоксифиллин» для улучшения циркуляции крови.
Хорошие результаты дают физиотерапевтические меры: магнитотерапия, электротерапия, бальнеологические процедуры. При сосудистых болезнях применяют гипербарическую оксигенацию (насыщение тканей кислородом под давлением до 1,5 атмосфер), озонотерапию.
При атеросклерозе требуется изменение рациона питания, исключение продуктов, повышающих уровень холестерина в крови. Если заболевание запущенное, то врач выписывает препарат из группы статинов. Затормаживают липидный синтез и предотвращают развитие атеросклероза медикаменты из категории фибратов.
При тяжелых заболеваниях необходимо вмешательство нейрохирурга.
Профилактика
Для предупреждения патологий, приводящих к изменению БЭА мозга, следует:
- минимизировать употребление содержащих кофеин напитков;
- отказаться от сигарет и алкоголя;
- поддерживать физическую форму;
- опасаться переохлаждения и перегрева;
- оберегать себя от травм головы.
Умеренное изменение БЭА бывает следствием бессимптомного развития злокачественного новообразования, поэтому следует обязательно посетить невролога. Не стоит игнорировать предлагаемые терапевтические меры, категорически запрещается заниматься самолечением, применять сомнительные народные рецепты. Это может привести к осложнениям, инвалидности и смерти.

Вопрос-ответ
Что значит умеренные изменения БЭА головного мозга?
В норме биоэлектрическая активность мозга должна быть синхронной, ритмичной, без очагов пароксизмов. Умеренные изменения ЭЭГ регуляторного характера свидетельствует о наличии участка в ткани мозга, где процессы возбуждения превышают торможение. Данный тип ЭЭГ встречается при мигрени и головных болях.
Что такое диффузные изменения в головном мозге?
Термин диффузные изменения ЭЭГ отражает патологические процессы, которые протекают без четко локализованного очага и имеют “рассеянный” характер, поэтому могут регистрироваться по всему головному мозгу, но довольно часто его объединяют с генерализованными изменениями ЭЭГ, которые также наблюдаются во всех областях
Что такое бэа?
Биоэлектрическая активность мозга (БЭА) — это электрическая активность нейронов, связанная с их возбуждением, т. Е. Со сдвигом мембранного потенциала. В основе биоэлектрической активности головного мозга лежат трансмембранные ионные токи, которые порождают явления потенциала действия и импульсной активности нейронов.
Что значит снижение биоэлектрической активности мозга?
Нарушение биоэлектрической активности мозговых структур приводит к изменениям психики. У человека отмечаются резкие перемены настроения, его поведение начинает казаться окружающим истерическим. Круг интересов сужается, пропадает мотивация к действию. Всё труднее становится запоминать новую информацию.
Советы
СОВЕТ №1
Регулярно проходите медицинские обследования, особенно если у вас есть предрасположенность к заболеваниям нервной системы. Это поможет своевременно выявить изменения в мозговой активности и начать лечение на ранних стадиях.
СОВЕТ №2
Обратите внимание на свой образ жизни: правильное питание, физическая активность и достаточный сон могут значительно улучшить состояние мозга и снизить риск развития диффузных изменений.
СОВЕТ №3
Не игнорируйте симптомы, такие как головные боли, изменения в памяти или настроении. При их появлении обратитесь к врачу для диагностики и исключения серьезных заболеваний.
СОВЕТ №4
Изучите методы релаксации и управления стрессом, такие как медитация или йога. Они могут помочь снизить напряжение и улучшить общее состояние вашего мозга.



