
Турецкое седло в головном мозге – специальное углубление с выпуклым дном, которое необходимо для обеспечения защиты гипофиза (нижнего мозгового придатка). Согласно с постулатами анатомии, гипофиз находится в центральной части головного мозга, в костном углублении (гипофизарная ямка). Спереди от ямки располагается бугорок седла.
Гипофиз от остальных составляющих мозга скрыт твердой мозговой оболочкой, которая называется диафрагмой турецкого седла. Гипофиз соединен с гипоталамусом, однако строение твердой оболочки не позволяет оказывать давления на орган. Возле турецкого седла располагаются вены и артерии головы, которые формируют артериальный бассейн, необходимый для обеспечения кровообращения в гемисферах.
Заболевание, в процессе которого происходит истончение защитной твердой оболочки и дальнейшая утрата функциональной защиты, принято называть «синдромом пустого турецкого седла». Этот термин используется уже довольно-таки давно. В результате развития данной болезни отмечается растекание гипофиза по основанию ямки, поэтому гормоны в необходимом количестве он формировать не может. Старое место гипофиза обычно занимает субарахноидальная жидкость, оболочки мозга, гипоталамус. Есть вероятность полной атрофии диафрагмы или ее частичного продавливания.
Если турецкое седло в мозге у мужчин и женщин находится в норме, то и гипофиз функционирует полноценно:
- Поддерживается продукция необходимых гормонов в полном объеме.
- Вес и рост человека соответствуют его возрасту.
- Мужчины имеют нормальную потенцию, либидо, женщины – обычный менструальный цикл, возможность забеременеть.
Если начинает развиваться заболевание, то наблюдаются нарушения в функционировании гормональной и эндокринной систем, есть сбои в работе зрительного аппарата.
Возможные патологии
Если гипофиз изменяется каким-то образом под воздействием определенных факторов, то происходят изменения и в турецком седле:
- Увеличение размеров на фоне развития аденомы гипофиза.
- Отложение солей на стенках при наличии доброкачественных воспалительных образований.
- Утолщение дна при увеличении давления в гипофизарной ямке.
- Опасные дефекты (в частности, уменьшение) гипофизарной ямки при окостенении клиновидной кости.
- Снижение полостной пневматизации костных структур на фоне развития воспаления.
На турецкое седло сильное воздействие могут оказать различные опухолевые процессы и новообразования, происходящие в гипофизе, а также гормональные сбои, что потенциально приводит к крайне негативным последствиям.
Если на гипофиз будет оказываться механическое давление извне, то развитие патологии может стать причиной возникновения фрагментарных ущемлений, а это уже приводит к инвалидности.
Турецкое седло головного мозга, представляющее собой углубление в основании черепа, вызывает интерес у специалистов в области неврологии и эндокринологии. Врачи отмечают, что аномалии в этой области могут приводить к различным клиническим проявлениям, включая головные боли, нарушения зрения и гормональные дисбалансы. Некоторые специалисты подчеркивают важность ранней диагностики таких состояний, так как они могут быть связаны с опухолями гипофиза или другими патологиями. Врачи рекомендуют проводить регулярные обследования у пациентов с подозрением на нарушения в области турецкого седла, чтобы своевременно выявить возможные осложнения и начать лечение. В целом, мультидисциплинарный подход к этой проблеме позволяет улучшить качество жизни пациентов и снизить риск серьезных последствий.

Симптоматика дисфункции диафрагмы
Если у взрослого или ребенка развивается пустое турецкое седло в головном мозге, то при несущественных патологиях твердой защитной оболочки никакого влияния на комфорт жизни оказано не будет. Каждый десятый человек имеет болезнь гипофизарной ямки, зачастую без поставленного диагноза, потому что никаких симптомов не проявляется, а также не наблюдается нарушений функционирования органов.
На фоне постепенного увеличения давления на гипофиз может проявиться симптоматика, которая будет явно указывать на проблемы в работе головного мозга. У таких пациентов развитие патологии сопровождается обычно следующими неврологическими нарушениями:
- Постоянные боли в голове повышенной интенсивности, которые могут возникать спонтанно.
- Озноб, головокружение, тошнота – всё это в комплексе.
- Перепады кровяного давления, тахикардия.
- Состояния, близкие к обмороку.
- Незначительное увеличение температуры (в районе 37 градусов).
- Судороги конечностей, их онемение.
По мере развития патологии у больных начинают проявляться отклонения психоэмоционального фона – пациенты подвержены паническим атакам, повышенной агрессивности, депрессивным состояниям, плаксивости. Также отмечается снижение работоспособности, выносливости, повышенная усталость.
Явными признаками синдрома пустого турецкого седла являются нарушения в области эндокринной системы:
- Сбой менструального цикла у женщин.
- Увеличение размеров некоторых частей туловища (например, кисти и ступни могут быть непропорциональны).
- Невозможность выносить ребенка, выкидыши.
- Синдром несахарного диабета.
Из-за утраты опоры проводящих путей и зрительных нервов, они начинают провисать к гипофизу, что становится причиной формирования другой симптоматики, связанной со зрением:
- Болевые ощущения при закрытии век.
- Повышенное давление в области глазницы (пациенты ощущают это, но на самом деле давление не увеличивается).
- Снижение остроты зрения, возникновение различных пятен и мошек в поле зрения.
- Двоение.
Если рассматривать патологию с точки зрения развивающейся симптоматики, то можно говорить о том, что формирующееся пустое турецкое седло является синдромом гормональной недостаточности, который возникает на фоне гиперплазии гипофиза или при истончении железы, и проявляется дисфункцией в сфере эндокринной, неврологической системы. Образоваться подобное состояние может по разным причинам.
Почему болезнь появляется
Патология может развиваться при абсолютном здоровье человека или же при уменьшении тканей гипофиза. Можно выделить огромное количество факторов, которые негативно влияют на нормальное функционирование железистой защитной оболочки. Среди них стоит отметить наиболее распространенные:
- Артериальная гипертензия.
- Использование гормональных медикаментозных средств для лечения.
- Прием некачественных или устаревших оральных контрацептивов.
- Оперативное вмешательство в области половых органов, климакс, операции по смене пола.
- Травматизация головного мозга, ставшая причиной перелома костей черепа, сотрясения.
- Оперативное вмешательство в работу мозга.
- Системные иммунные патологии.
- Воспаления, отеки, опухоли, которые затронули мозговые части.
- Посещение процедур по лучевой и химиотерапии.
- Аденома гипофиза.
- Ожирение.
Факторов, провоцирующих развитие данного заболевания даже у здоровых людей предостаточно.
Турецкое седло головного мозга — это важная анатомическая структура, о которой часто говорят в медицинских кругах. Многие специалисты отмечают его роль в поддержании функций гипофиза, который отвечает за множество гормональных процессов в организме. Некоторые пациенты, столкнувшиеся с заболеваниями, связанными с этой областью, описывают свои ощущения как нечто неопределенное, часто связывая симптомы с головными болями или изменениями в настроении. В то же время, врачи подчеркивают, что правильная диагностика и своевременное лечение могут значительно улучшить качество жизни. Обсуждая эту тему, люди также упоминают о важности регулярных медицинских осмотров, чтобы предотвратить возможные осложнения, связанные с дисфункцией гипофиза.

Диагностика
Состояние, при котором имеются нарушения в защитной оболочке турецкого седла, достаточно опасно, поэтому особое значение имеет оперативная и правильная диагностика заболевания. Для определения наличия гормональных сбоев, которые связаны с функционированием гипофиза, врачами назначается сдача анализа крови на гормоны.
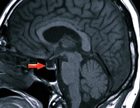
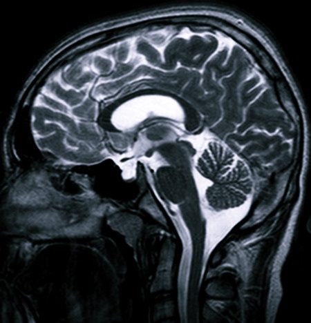
Чтобы уточнить диагноз, человека могут отправить на компьютерную томографию, рентген или магниторезонансную томографию (МРТ). Посредством такого обследования оценивается состояние гипофизарной ямки, размеры и контуры турецкого седла, наличие уплотнения дна, утолщения клиновидных отростков, определяется, имеет ли место отмирание тканей мозга, деструкция гипофиза, наличие гиперплазии и ликворного содержимого.
Все эти негативные состояния можно найти с помощью КТ или МРТ. Поэтому данные виды обследований должны быть обязательно назначены врачом при наличии соответствующей симптоматики, указывающей на вероятность развития синдрома.
На синдром пустого турецкого седла головного мозга укажет свободный Т4 и количество пролактина в анализе крови, которое не соответствует стандартизированным показателям.
Лечение
Если отсутствует характерная для патологии симптоматика, то это обозначает, что лечить заболевание лекарствами или иными способами нет необходимости (тем более народными средствами).
Выбор медикаментозных лекарственных средств будет зависеть от разновидности сбоя в работе эндокринной системы. Если развивающееся заболевание у взрослого или ребенка привело к тому, что нарушена продукция гормонов, то больным может быть назначена заместительная гормональная терапия. Результаты сданного анализа крови укажут, какие конкретно гормоны требуются в данный момент. Использование соответствующих гормональных средств возможно только после сдачи анализов и обследований (иначе возникает опасность переизбытка гормонов).
Из-за того, что при развитии заболевания у пациента могут сформироваться вегетативные и астенические нарушения, могут быть назначены лекарства, направленные на устранение симптоматики болезни. Это лекарства, имеющие седативный и успокаивающий эффекты, обезболивающие средства (в особенности при болях в голове), препараты для уменьшения артериального давления, ноотропные средства, которые помогут восстановить кровообращение и укрепить сосуды.
Если требуется, врачами также могут быть назначены иммуномодуляторы, витаминные комплексы, что будет направлено на улучшение иммунитета.
Оперативное лечение
При наличии дисфункции турецкого седла есть вероятность проникновения в носовые пазухи ликвора. Чтобы устранить патологию, требуется проведение соответствующей операции. Оперативное вмешательство, что характерно, необходимо больным, у которых наблюдается значительное увеличение размеров воспаления гипофиза, а также имеющим проблемы со зрением.
Операция может быть проведена через лоб или носовую перегородку (выбирается специалистами в зависимости от всевозможных индивидуальных факторов). Врачи удаляют образование (опухоль, кисту), осуществляют пластику твердой мозговой оболочки, если нужно что-то изменить.
Каждый случай развития данного анатомического заболевания индивидуален. Это означает, что прогноз может дать только врач после проведения операции или завершения медикаментозной терапии. Если у человека нет клинических признаков болезни, то даже с учетом невыполнения своей работы турецким седлом, прогноз зачастую для пациента благоприятен (при отсутствии сопутствующих заболеваний) Если имеют место выраженные нарушения в работе эндокринной и гормональной систем, то здоровье больного будет полностью зависеть от выбранной гормональной терапии.
Лечение такой болезни травами и целебными средствами может грозить весьма опасными последствиями (в частности, продолжением развития заболевания и увеличением выраженности симптоматики). Народные средства могут повысить иммунный ответ, поэтому их зачастую одобряют врачи в качестве вспомогательной терапии.
https://youtube.com/watch?v=YKuN7PzKQwQ
Вопрос-ответ
Чем опасен синдром пустого турецкого седла?
Недалеко от турецкого седла находятся зрительные нервы, поэтому указанный синдром может приводить к нарушению зрения вплоть до его потери (что, однако, бывает довольно редко).
Какую роль играет турецкое седло?
Этот анатомический орган мозгового придатка «отвечает» за выработку гормонов, влияющих на рост человека, репродукцию, обмен веществ. Если этот самый гипофиз заполняет собою полость турецкого седла не полностью, то свободное пространство «закрывается» оболочками мозга, т. Е. Спинномозговой жидкостью (СМЖ).
Что такое турецкое седло в головном мозге?
Турецкое седло — это часть клиновидной кости в области основания черепа, в центре которого имеется углубление – гипофизарная ямка. В этой ямке находится гипофиз – эндокринная железа.
Как лечить турецкое седло?
Как такового метода лечения синдрома пустого турецкого седла не существует. Медикаментозная терапия направлена на устранение симптомов синдрома. Поэтому, если патология обнаружена совершенно случайно, и никак не тревожит пациента, то и лечения не требует.
Советы
СОВЕТ №1
Изучите анатомию и функции турецкого седла, чтобы лучше понять его роль в организме. Это поможет вам осознать, как он влияет на гормональный баланс и общее состояние здоровья.
СОВЕТ №2
Обратите внимание на симптомы, которые могут указывать на проблемы с турецким седлом, такие как головные боли, изменения в зрении или гормональные нарушения. Ранняя диагностика может значительно улучшить исход лечения.
СОВЕТ №3
Регулярно проходите медицинские обследования, особенно если у вас есть предрасположенность к эндокринным заболеваниям. Это поможет выявить возможные проблемы с турецким седлом на ранних стадиях.
СОВЕТ №4
Следите за своим образом жизни: сбалансированное питание, физическая активность и управление стрессом могут положительно сказаться на здоровье головного мозга и, в частности, на состоянии турецкого седла.






