
Церебральной ишемией называется заболевание, развивающееся у новорожденных детей вследствие нарушения кровообращения и характеризующееся недостаточным (гипоксия) или полностью прекращенным (аноксия) снабжением тканей головного мозга кислородом. Несвоевременная диагностика и поздно начатая терапия болезни ведут к развитию метаболических расстройств и формированию различных функциональных нарушений, которые в свою очередь могут стать причиной кровотечений, появления очагов некроза и других тяжелейших осложнений, включая летальный исход.
Ишемия у новорожденного в современной медицине является одной из самых серьезных проблем перинатальной неврологии. Это связано с отсутствием достаточно эффективных методов терапии заболевания. Поэтому патология является одной из главных причин смертности и инвалидизации детей в возрасте до года. По МКБ 10 ишемия имеет код P 91.0 – P 91.9 в зависимости от степени течения, причин развития и клинических проявлений.
Классификация патологии
Специалисты выделяют две формы заболевания:
- Ишемия головного мозга у новорожденных – относится к врожденным патологиям, ее признаки появляются в первые дни жизни ребенка. А у 70 грудничков из 100 она стартует еще в момент родов или на поздних сроках гестации.
- Хроническая форма ишемической болезни – диагностируется у пациентов старшего, чаще пенсионного, возраста.
Врачи отмечают, что церебральная ишемия у детей представляет собой серьезную медицинскую проблему, требующую внимательного подхода. По их мнению, ранняя диагностика и своевременное вмешательство играют ключевую роль в минимизации последствий этого состояния. Специалисты подчеркивают, что ишемия может возникать как в перинатальный период, так и в более позднем возрасте, что делает важным мониторинг неврологического статуса ребенка.
Медики акцентируют внимание на необходимости комплексного лечения, которое включает как медикаментозную терапию, так и реабилитационные мероприятия. Они также подчеркивают важность работы с родителями, чтобы обеспечить им понимание состояния ребенка и вовлеченность в процесс лечения. Врачи уверены, что с правильным подходом и поддержкой многие дети могут достичь значительных улучшений и вести полноценную жизнь.

Причины развития заболевания
В подавляющем большинстве случаев причины развития ишемии у младенца заключаются в формировании нарушений кровоснабжения в третьем триместре беременности или непосредственно во время родов.
Причины развития ишемии во внутриутробном периоде
Гипоксия плода на последних сроках гестасции может развиваться по следующим причинам:
- Нарушение маточно-плацентарного кровотока, которое чаще всего спровоцировано следующими факторами:
- возраст будущей матери более 35 лет – для того чтобы родить здорового ребенка в этом возрасте необходимо соблюдать все рекомендации врача;
- наличие эндокринных заболеваний у беременной;
- развитие токсикоза в третьем триместре;
- эпилепсия в анамнезе матери или наличие неврологических расстройств у близких родственников;
- длительное лечение от бесплодия;
- вредные привычки (курение, злоупотребление алкоголем, прием наркотических препаратов, бесконтрольное использование различных медикаментов);
- вынашивание нескольких плодов одновременно.
- Нарушение кровотока от плаценты до плода (фетоплацентарного). Это может происходить по следующим причинам:
- отслойка плаценты или нарушение ее кровоснабжения, к которому ведут патологии сосудов;
- обвитие пуповины вокруг шеи плода;
- внутриутробные пороки развития и формирования органов сердечно-сосудистой системы будущего ребёнка;
- развитие острой плацентарной недостаточности.
Многие нарушения внутриутробного развития ребенка, в том числе и изменения кровоснабжения, можно определить при помощи вовремя проведенного УЗИ.
Церебральная ишемия у детей вызывает множество обсуждений среди родителей и медицинских специалистов. Многие родители, столкнувшись с этой проблемой, выражают беспокойство о будущем своих детей. Они делятся опытом, как важно своевременно диагностировать и лечить это состояние, чтобы минимизировать последствия. Врачебные мнения также акцентируют внимание на необходимости комплексного подхода к реабилитации. Специалисты подчеркивают, что ранняя интервенция и индивидуально подобранные методы терапии могут существенно улучшить качество жизни ребенка. В то же время, родители отмечают, что поддержка со стороны общества и доступ к информации играют ключевую роль в преодолении трудностей, связанных с этой болезнью.

Факторы, провоцирующие развитие гипоксии мозга во время родов
Основными причинными факторами развития ишемии у новорождённого являются:
- Асфиксия на протяжении периода родов – ее могут спровоцировать:
- длительно или слишком быстро протекающие роды;
- пережатие пуповины во время схваток или потуг;
- повышение температуры тела свыше 38 градусов в период родов из-за острого заболевания или обострения хронического;
- роды дома без квалифицированной медицинской помощи;
- обильное кровотечение;
- проведение кесарева сечения в экстренном порядке;
- роды на сроке менее 36 недель и более 42.
- Развитие дыхательной недостаточности в первые дни после рождения происходит по следующим причинам:
- наличие врожденных пороков развития сердечно-сосудистой системы;
- нарушение снабжения сердца кровью;
- тяжелые родовые травмы;
- РДС – респираторный дистресс плода;
- угнетение функции дыхания по различным причинам;
- периодически дублирующиеся приступы отсутствия дыхания (апноэ);
- наличие врожденного воспаления легких или аспирационного синдрома;
- развитие дыхательной недостаточности у недоношенных малышей.
- Резкое понижение АД вскоре после рождения, которое может быть вызвано:
- сепсисом;
- развитием обильных кровотечений.
Клинические проявления и принципы диагностики
Специалисты выделяют три стадии недуга у детей: легкую, средней степени и тяжелую. Для каждой из них характерна своя симптоматика.
Ишемия легкой или первой степени
Заболевание характеризуется легким поражением тканей головного мозга и развивается вследствие перенесенной на протяжении родов слабой гипоксии или асфиксии.
Основные симптомы церебральной ишемии 1 степени у новорожденных следующие:
- наличие нарушений тонуса мышечной системы;
- усиленная двигательная активность, появляющаяся дрожанием подбородка, конечностей;
- усиленные рефлексы;
- беспокойность – неглубокий сон, беспричинный плач, резкие движения.
У преждевременно рожденных детей ишемия 1 степени проявляется синдромом угнетения центральной нервной системы, признаками которого являются вялость, низкий мышечный тонус, ослабление безусловных рефлексов (хватательного, глотательного и сосательного).
При легкой степени патологии клинические проявления проходят на 5-7 сутки. В подавляющем большинстве случаев их не надо лечить.
Изменения в лабораторных и клинических исследованиях
В анализе крови можно обнаружить снижение уровня кислорода (гипоксемию) и повышение содержание углекислого газа (гиперкарбию), также наблюдается ацидоз – смещение реакции в кислую сторону. Все инструментальные исследования без патологических отклонений.
Вторая степень ишемии
Основные причинные факторы – гипоксия плода во внутриутробном периоде, средней тяжести асфиксия во время родов, наличие РДС или врожденных патологий, таких как порок сердца, пневмония.
Ишемия 2 степени проявляется следующими симптомами:
- Синдром угнетения или возбуждения центральной нервной системы – в некоторых случаях наблюдается их чередование.
- Судороги – у доношенных детей однократные, кратковременные клонические, а у недоношенных – частые тонические или атипичные. К таким судорожным проявлениям относятся апноэ, гребущие движения руками и педалирующие ногами, беспричинные вздрагивания.
- Повышение внутричерепного давления – оно может привести к развитию гидроцефалии, характеризующейся увеличением размеров головы, раскрытием швов черепа.
- Наличие вегетативно-висцеральных нарушений – мраморная кожа, дермографизм, расстройство функционирования ЖКТ, заключающееся в частых запорах, диареях, наличии метеоризма, усилении срыгиваний.
- Потеря сознания или предобморочные состояния, вызванные изменением артериального давления.
В анализе крови выраженные нарушения, касающиеся сдвига реакции и насыщенности кислородом (ацидоз, гипоксемия, гиперкарбия).
При проведении инструментальных методик обследования церебральная ишемия 2 степени дает следующие изменения:
- Нейросонография (НСГ) – наличие в тканях головного мозга локальных очагов гиперэхогенности.
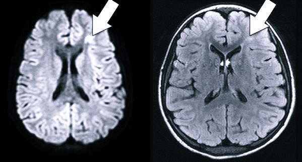
- Магнитно-резонансная томография (МРТ) – четко ограниченные очаги поражения паренхимы мозга.
- Компьютерная томография (КТ) – снижение плотности тканей в локальных очагах.
- Допплер энцефалограмма (ДЭГ) – у доношенных детей – признаки умеренного снижения скорости кровотока в средней мозговой артерии, а у недоношенных – в передней.
Ишемия второй степени — тяжелое заболевание, способное привести к нарушению правильного формирования необходимых для жизни рефлексов и развития головного мозга.
Третья степень церебральной ишемии
Причинами развития третьей и самой тяжелой стадии заболевания являются существующая длительное время внутриутробная гипоксия или перинатальная асфиксия высокой степени сложности. Возможно и сочетание этих двух причин. Помимо этого, развитие ишемии 3 степени могут вызвать и экстрацеребральные заболевания ребенка, к ним относятся тяжелые врожденные пневмонии, пороки развития сердечно-сосудистой системы, расстройства дыхания, недостаток воды в организме, приводящий к гиповолемическому шоку.
Клинические проявления этой стадии по сложности их купирования превосходят многие заболевания. Третья степень развития ишемии проявляется следующими признаками:
- Глубокое угнетение деятельности центральной нервной системы, которое может развиваться в первые двенадцать часов жизни малыша (нередко в этот период ребенок находится в коме). На протяжении следующих 12 часов наблюдается незначительное нарастание уровня активности, а затем, на вторые — третьи сутки, снова угнетение ЦНС вплоть до комы.
- Часто повторяющиеся судороги.
- Дисфункция стволовых отделов головного мозга, проявляющаяся нарушением ритмичности дыхательной и глазодвигательной функции, расстройством нормальной реакции зрачка на свет.
- Наличие вегетативных и висцеральных нарушений – кожа синюшного или мраморного оттенка, ярко выраженный дермографизм.
- Повышенное внутричерепное давление.
- В некоторых случаях тяжелая стадия заболевания характеризуется полным отсутствием безусловных рефлексов и реакции на различные раздражители.
- При обширных участках поражения новорождённый принимает вынужденную позу децеребрации и декортикации, при которой конечности и тело вытянуты, ручки повернуты внутрь, зрачки расширены, глаза закатываются вниз.
- Крайняя степень проявления угнетения ЦНС – коматозный синдром, характеризующийся резким снижением тонуса всех мышечных волокон и артериального давления, нарушением ритма дыхания и сердцебиения, наличием функциональных расстройств со стороны ЖКТ и мочевыделительной системы. При этом глаза и ротик открыты, а глазные яблоки не фиксированы (плавают).
Результаты исследований при третьей стадии свидетельствуют о тяжелых поражениях мозга:
- В анализе крови – стойкие изменения насыщенности кислородом и содержания углекислого газа.
- На нейросонографии – эхогенность паренхимы мозга диффузно повышена, боковые желудочки сужены. Позже у грудничка формируются перивентрикулярные кистозные полости, и развивается атрофия тканей больших полушарий мозга (у недоношенных детей процент формирования этих патологий гораздо выше).
- На компьютерной томограмме – очаговое снижение плотности паренхимы, ликворные пространства значительно сужены.
- МРТ – выраженные паренхиматозные поражения.
- На допплер энцефалограмме – магистральные артерии головного мозга парализованы, стойкое снижение скорости кровотока (гипоперфузия).
Изменения, формирующиеся в ЦНС при церебральной гипоксии тяжелой степени течения, часто приводят к необратимым последствиям. Родителям такого малыша необходимо начать лечение как можно раньше, еще в первые часы жизни ребенка, для того чтобы снизить риск развития серьезных осложнений.
Для определения наличия ишемии врач проводит оценку состояния малыша по шкале Апгар через минуту после его рождения, степень тяжести заболевания диагностируется через 5 минут. Основные критерии шкалы представлены в таблице.
| Критерий оценки |
Количество баллов |
||
| 0 | 1 | 2 | |
| ЧСС | Нет | Меньше 100 уд/мин | Более 100 уд/мин |
| Частота дыхательных движений | Нет | Издает слабые звуки, низкая вентиляция легких | Громкий крик |
| Тонус мышц | Расслаблены | Слегка согнутые конечности | Активные движения, хорошо выраженное сгибание конечностей |
| Рефлексы (ответ на раздражение кожи стопы) | Нет | Слабые лицевые гримасы | Громкий плач |
| Цвет кожных покровов | Синюшный, мраморный | Тело розового цвета, ножки и ручки имеют синюшный оттенок | Все тело новорожденного розового цвета |
Возможные осложнения
Прогноз заболевания зависит в первую очередь от степени тяжести развившихся функциональных нарушений.
- Легкая степень может стать причиной развития расстройств сна, раздражительности, частых головных болей, нарушения восприятия информации (что приведет к отставанию от сверстников в обучении).
- Средняя степень тяжести заболевания является провоцирующим фактором для развития умственной отсталости, эпилепсии, ДЦП.
- Последствия тяжелой степени ишемии головного мозга непредсказуемы: от умственной отсталости и невозможности передвигаться самостоятельно до летального исхода.
Основные принципы лечения патологии
К сожалению, не существует методов лечения, способных восстановить поврежденные при кислородном голодании клетки тканей головного мозга. Однако существуют методики, которые позволяют нормализовать поступление кислорода в кровь в необходимом количестве и помочь организму возобновить функциональность после его недостатка.
Методы реанимации при острой гипоксии
Если на протяжении 1-2 минут после рождения ребенок не начал дышать самостоятельно, применяются следующие методы реанимации:
- Проведение интубации и начало ИВЛ (искусственной вентиляции легких) – при незначительной гипоксии малыша можно передать матери уже через 2-4 минуты после интубации. При необходимости новорожденный помещается в отделение интенсивной терапии.
- Противосудорожная терапия – купирует судорожные проявления и избавляет от дальнейших повреждений тканей мозга.
- Поддержание деятельности сердечно-сосудистой системы.
- Методика гипотермии – в последние годы ведутся исследования, согласно которым понижение температуры тела малыша на 3-4 градуса способно предотвратить развитие некроза клеток головного мозга при гипоксии. В клиниках нашей страны методика применяется с 2010 года и дает хорошие результаты.
Восстановить погибшие клетки мозга нельзя, однако можно купировать развитие гипоксии и обеспечить поддержание важнейших функций организма до выздоровления ребенка.
Методы устранения последствий гипоксии мозга
Ишемия второй и третьей степени обычно заканчивается изменениями в тканях мозга, не поддающимися восстановлению. Они имеют различные степени выраженности и очень маленький спектр методик лечения. В основном, оказать положительное влияние на последствия ишемии можно только регулярными занятиями с больным ребенком:
- При ДЦП необходим:
- прием миорелаксантов;
- оперативное лечение (при необходимости);
- массаж (доверить его проведение лучше опытному специалисту).
Существует множество методик, которые используются для восстановления детей с ДЦП: от ЛФК и до занятий с лошадьми и дельфинами. Подбираются они строго индивидуально и могут не давать положительных результатов.
- При сохраняющихся судорогах применяется противосудорожная терапия.
- Для восстановления речи назначаются занятия с логопедом.
- Коррекцию вынужденных неправильных поз проводят при помощи лонгетов, специальной мебели, инвалидных колясок.
- Для полноценного развития такого ребенка ему необходимо регулярное общение со сверстниками и взрослыми.
Для предотвращения развития гипоксии во время беременности будущая мама должна серьезно подходить ко всем рекомендациям врача, отказаться от вредных привычек и внимательно следить за своим здоровьем. При развитии любого осложнения течения беременности необходима своевременная госпитализация.
https://youtube.com/watch?v=IXYTvNHp9LQ
Вопрос-ответ
Как проявляется ишемия головного мозга у детей?
Симптомы ишемии головного мозга Первые признаки заболевания проявляются в общем недомогании – больной испытывает головную боль, головокружение, шум в голове, нарушения сна, постоянную сонливость, рассеянность внимания, раздражительность, снижение познавательной активности, он быстро утомляется.
Что такое церебральная ишемия?
Ишемия головного мозга – патологическое состояние, обусловленное острым или хроническим нарушением кровообращения в церебральных сосудах. Прогрессирующее ухудшение кровоснабжения мозговых тканей приводит к нехватке кислорода и прочих питательных компонентов. При хроническом течении болезни кровоток частично сохранен.
Чем опасна ишемия головного мозга?
Если не заниматься лечением ишемии головного мозга, то вероятно развитие инсульта и деменции. С ишемией мозга сталкиваются преимущественно пациенты старше 60-65 лет. При этом у них уже есть сопутствующие заболевания сердца, сосудов. В связи с гипоксией развиваются эмоциональные, когнитивные нарушения и двигательные.
Что нельзя при ишемии головного мозга?
Очень важна диета с ограничением животных жиров, консервированных продуктов и острых приправ. Доля жиров в рационе не должна превышать 30%, при этом жиры должны быть в основном растительного происхождения. Необходимо уменьшить количество сдобы, сахара, кондитерских изделий и соли.
Советы
СОВЕТ №1
Регулярно проходите медицинские осмотры у педиатра. Раннее выявление признаков церебральной ишемии может значительно улучшить прогноз и качество жизни вашего ребенка.
СОВЕТ №2
Обратите внимание на развитие вашего ребенка. Если вы замечаете задержки в моторике, речи или других навыках, не откладывайте визит к специалисту для оценки состояния здоровья.
СОВЕТ №3
Создайте поддерживающую среду для вашего ребенка. Обеспечьте ему спокойную атмосферу, сбалансированное питание и достаточное количество физической активности, что поможет улучшить общее состояние и развитие.
СОВЕТ №4
Обучитесь основам первой помощи и реанимации. В экстренных ситуациях знание, как действовать, может спасти жизнь вашему ребенку или помочь ему до приезда скорой помощи.




