
Среди злокачественных опухолей глиома головного мозга встречается в 60 % случаев. Она развивается из тканей глии (окружает нейроны мозга). Выделяют астроцитарный вид, эпендиомы и другие новообразования. Это дизэмбриопластический рак мозга. Мы подробно расскажем о его особенностях, диагностике, перспективе, сроке лечения и способах профилактики.
Классификация
Чаще всего опухоли мозга развиваются у взрослых старше 60-ти лет. В группу риска попадают также больные ВИЧ, те, кто пострадал от воздействия радиации, имеет наследственную предрасположенность. Иногда это заболевание встречается у детей.
Есть Международная классификация болезней (МКБ). Согласно ей, опухоли мозга делят на 4 группы (по морфологическим признакам):
- Ядерная атипия.
- Некрозы.
- Фигуры митозов.
- Микропролиферация эндотелия.
Есть различная степень злокачественности и градации глиом:
- 1 степень. Такая глиома ствола головного мозга считается доброкачественной. Еще полностью отсутствуют признаки новообразования. В будущем доброкачественная опухоль может перейти в злокачественную.
- 2 степень. На клеточном уровне появляется атипия. Это основной признак данной стадии, о котором больной может и не подозревать. В это время может активно развиваться астроцитома или другой вид глиом.
- 3 степень. Появляются два из трех основных признаков. Некроз пока отсутствует. Астроцита или глиома уже активно развивается. Показатели выживаемости таких пациентов низкие.
- 4 степень. Появляется три-четыре признака. Уже обязательно наблюдается развитие некроза.
Врачи отмечают, что симптомы глиомы головного мозга могут варьироваться в зависимости от локализации и размера опухоли. Наиболее распространенными проявлениями являются головные боли, изменения в зрении, нарушения координации и проблемы с памятью. Некоторые пациенты могут испытывать судороги, которые также служат важным сигналом для диагностики.
Для точного определения наличия глиомы специалисты рекомендуют проводить магнитно-резонансную томографию (МРТ), которая позволяет визуализировать опухоль и оценить ее характеристики. В некоторых случаях может потребоваться биопсия для подтверждения диагноза. Врачи подчеркивают важность раннего обращения к специалистам при появлении настораживающих симптомов, так как это значительно увеличивает шансы на успешное лечение и улучшение качества жизни пациента.

Поражение зрительного нерва
Случается, что глиальные элементы зрительного нерва становятся очагом развития глиомы. Как и при другой локализации, на первой стадии выраженные симптомы отсутствуют.
Постепенно новообразование растет, все больше разрушая зрительный нерв. Зрение начинает снижаться, наблюдается экзофтальм (выпячивается глазное яблоко). На поздней стадии глазной нерв атрофируется.
Глиома способна поразить зрительный нерв в любой его части. Если она располагается в глазнице, то такой вид носит название «интраорбитальный». В таком случае вся ответственность лечения ложится на офтальмолога. Если опухоль располагается в месте, где нерв прилегает к костям черепа, она называется «интракраниальная». Ее лечит нейрохирург.
Зрительный нерв поражается глиомой чаще всего в детском возрасте. При этом течение отличается доброкачественностью. Хуже всего, если заболевание вовремя не диагностировано. Оно приводит к атрофии нерва, что откликнется необратимой слепотой.
Диффузная
Нередко глиома локализуется в месте соединения головного мозга со спинным. Тут сосредоточено множество важнейших нервных центров. Они регулируют дыхание, сердцебиение, кровообращение, движение. Глиома, расположенная в столь важной зоне, представляет максимальную опасность для жизни пациента.
Нередко такая локализация вызывает нарушение координации, речи, слуха, глотания. Может появиться сонливость, ужасная боль в голове и целый перечень иных тяжелых симптомов.
Поражение ствола головного мозга нередко диагностируется у детей (3-10 лет). Развивается оно медленно, но случается и молниеносное развитие. Со временем симптомы нарастают, становятся все тяжелее. Самый неблагоприятный признак – если симптомы развиваются быстро. Это может быть признаком быстрого роста опухоли.
Глиома головного мозга — это опухоль, которая может проявляться различными симптомами, и многие люди делятся своими переживаниями и опытом. Часто отмечаются головные боли, которые могут быть постоянными или усиливаться со временем. Некоторые пациенты сообщают о нарушениях зрения, таких как двоение в глазах или размытость. Также распространены проблемы с координацией и равновесием, что может затруднять повседневные действия.
Диагностика глиомы включает в себя МРТ и КТ, которые помогают визуализировать опухоль и оценить её размеры. Люди подчеркивают важность раннего обращения к врачу при появлении настораживающих симптомов, так как это может значительно повлиять на исход лечения. Многие отмечают, что поддержка близких и информация о заболевании помогают справиться с эмоциональной нагрузкой, связанной с диагнозом.

Поражение хиазмы
Хиазма расположена на зрительном перекрестке головного мозга. При глиоме хиазмы (чаще всего это астроцитома) наблюдается миопия, могут выпадать отдельные поля зрения, развивается гидроцефалия. Разновидность опухоли встречается чаще после 20-ти лет. У каждого третьего пациента есть сопутствующее заболевание нервной системы, кое и спровоцировало развитие онкологии. Например, это может быть нейрофиброматоз Реклингхаузена.
Низкая злокачественность
Образования на первой стадии относят к доброкачественным. Они хорошо поддаются радио- и химиотерапии. Важно вовремя ими «заняться», ведь при отсутствии грамотного системного лечения доброкачественное новообразование может быстро перерасти в злокачественное.
Первые признаки заболевания могут дать знать о себе спустя несколько лет после того, как глиома появилась. Доброкачественные опухоли чаще всего располагаются в больших полушариях, мозжечке. Им подвержены дети и молодежь до 20-ти лет.
Особенности
Глиальные клетки располагаются в промежутках между нейронами и капиллярами. В нормальном состоянии – это 10% от всего объема мозга. По мере старения человека у него увеличивается объем глии. Задача этой ткани – помогать передавать нервные импульсы, защищать нейроны.
Глиоматоз относится к первичным опухолям мозга. Внешне образование розовое, сероватое или красное, объемное. Имеет вид узла. Границы нечеткие.
Чаще всего глиома головного мозга единична. Может наблюдаться диффузное поражение, развитие отека. Располагается она в преимущественном большинстве ситуаций в сером либо белом веществе головного, спинного мозга. Новообразования могут крайне близко находиться возле центрального канала и стенок желудочков. В периферических нервах образования локализуются намного реже.
Иногда опухоль может локализоваться в зрительном нерве. Очень редко она прорастает в оболочки мозга, кости черепа. При этом она буквально сливается со здоровыми тканями, приводит к их дегенерации. Помощь в таких случаях сводится к облегчению состояния. Выживаемость минимальна.
Опухоль может иметь различный размер – от размера зернышка до габаритов яблока. Все очень индивидуально. В любом случае жизнь пациентов оказывается под угрозой.
По форме глиома напоминает шар, реже – веретено. Растет она достаточно медленно. Заболевание может развиваться на протяжении нескольких лет. При возникновении глиобластомы метастазы не появляются. Прогнозирование сугубо индивидуально.
Часто глиома не затрагивает сам головной мозг, а разрастается вдалеке от него. Это обстоятельство считается благоприятным, но очень важно вовремя диагностировать новообразование. Тогда можно успешно лечить его или удалить хирургическим путем.
Почему появляются
Ученые установили, что глиома появляется из тканей глии. Считается, что основная причина появления глиом – генетическая предрасположенность. Согласно исследованиям, у большинства больных обнаружены так называемые «окна уязвимости». Скорее всего, причина кроется в том, что у некоторых людей меняется структура гена ТР 53. Почему такие изменения происходят, пока не определили. Ясно лишь, что данные изменения могут передаваться по наследству.
Диагностика
Крайне важно диагностировать глиому на самых ранних стадиях. Это прямой путь к успешному лечению. Любой признак может быть решающим. Для постановки диагноза потребуется собрать детальный анамнез. Врач должен внимательно выслушать жалобы пациента, выяснить, как развиваются симптомы. Его задача – установить разновидность, локализацию, степень поражения.
Очень важна консультация невролога. Он поможет установить, нарушена ли координация, чувствительность, мышечный тонус, проверит рефлексы и т. д.
При диагностике обязательно анализируется психическая и мнестическая сферы. Важно оценить, в каком состоянии находятся нервы, мышцы. Для этого проводится электромиография, электронейрография, эхоэнцефалография. Иногда патология приводит к потере зрения. Тогда потребуется обследование у офтальмолога (периметрия, конвергенция, офтальмоскопия).
Если больного мучают судороги, потребуется ЭЭГ.
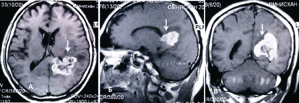
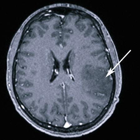
Важно дифференцировать заболевание от абсцесса мозга, гематомы, эпилепсии, инсульта, других опухолей ЦНС. Сейчас чаще всего назначается МРТ. Это самый современный метод для диагностики. Если ее нельзя провести, могут назначить компьютерную томографию, МСКТ, сцинтиграфию, ангиографию (с применением контраста).
Томография позитронно-эмиссионная (ПЭТ) помогает определить характеристики метаболизма. Так врач узнает, быстро ли растет опухоль, агрессивна ли она. Иногда для диагностики назначают люмбальную пункцию. При этом берут на анализ цереброспинальную жидкость. Если есть глиома, в ней будут обнаружены раковые клетки. Это довольно опасный метод, потому он используется лишь при необходимости.
Все эти методики являются неинвазивными. Они помогают установить, есть ли злокачественная опухоль, как она развивается, как воздействует на метаболизм. Но для постановки точного диагноза нужно исследовать ткани ракового узла. Такой анализ поможет установить вид глиомы, степень злокачественности. Для этого проводится операция – стереотаксическая биопсия.
Лечение
Времени на лечение очень мало. Важно не перейти рубеж, когда изменения мозга будут критичными для всего организма. Чем раньше начать терапию, тем оптимистичнее прогнозы на выздоровление и дальнейшее качество жизни.
Нет универсального средства от рака. Народная медицина тут бессильна. Ни мед, ни уксус, ни другие «волшебные препараты» не помогут, а драгоценное время будет упущено. К сожалению, часто пациенты в отчаянии обращаются к шарлатанам.
Эффективность терапии зависит от ее своевременности и правильного подбора методов. Чем раньше к ней приступить, тем выше шанс на избавление от опухоли. Лечение глиомы головного мозга обязательно должно быть системным, четким. Начинается оно лишь после проведения самой тщательной диагностики.
Удалить глиому хирургически очень сложно, так как она часто располагается в глубинных структурах мозга. Полностью врач не сможет удалить новообразование, так как оно срастается со здоровыми тканями. При этом можно серьезно нарушать мозговую деятельность. Может пострадать мозжечок или другой важный отдел. Потому очень важно диагностировать заболевание на самых ранних этапах, когда будет эффективной медикаментозная и химиотерапия.
Опухоль может быть первичной (неокклюзионной) и вторичной (окклюзионной).
Методы лечения подбираются сугубо индивидуально. Тут абсолютно противопоказано самолечение! Не нужно тратить время на походы к знахаркам и ведуньям. Эксперименты со всевозможными «целебными» средствами также не принесут результата.
Все самые современные технологии и медицинские макропрепараты находятся в руках врачей. Среди них:
- микрохирургия;
- сканирование при помощи МРТ;
- картирование интраоперационное.
Основной метод лечения глиомы – хирургическое удаление. Это очень опасно, так как могут повреждаться важные отделы мозга или проникает инфекция. Нейроэпителиальная ткань трудно удаляется, так как она буквально прорастает в здоровую. Она трудно поддается купированию. Если состояние пациента нестабильное, есть другие опухоли, новообразование располагается в обоих полушариях или расположено неоперабельно, если поражен спинной мозг – это все является противопоказанием для операции.
Диагноз «Глиальная опухоль головного мозга» нельзя воспринимать, как приговор. Сейчас эти новообразования поддаются современным методам лечения. Оно должно быть обязательно комплексным. В онкологии нередко применяются неоперативные методы:
- лучевая терапия;
- химиотерапия.
Они помогают справиться с заболеванием, если случай неоперабельный, и закрепляют результат операции. Продолжительность лечения индивидуальна. Особенно тщательно онкологи подходят к лечению ребенка. Операцию врачи решаются применять лишь при точной постановке диагноза после биопсии. При этом и взрослый, и ребенок должны получить полный курс системной терапии. Важно удалить всю опухоль, чтобы она не развивалась вторично.
В некоторых случаях ни химиотерапия, ни лучевая терапия не заменят хирургическое вмешательство. Нередко в середине глиомы мозга есть зона, на которую не могут воздействовать консервативные методы и самые мощные химиопрепараты.
Лучевая терапия может применяться до или после операции. Она помогает активно воздействовать на новообразование. При этом важно подобрать оптимальный угол, дозу. Нужно, чтобы прилегающие участки мозга минимально подвергались негативному воздействию.
Химиотерапию назначают в основном после операции. Результаты ее закрепляют при помощи лучевой терапии.
Один из инновационных методов – томотерапия. Это разновидность радиотерапии. Она отличается высокой точностью, безопасностью. Больной получает минимум облучения при максимальном воздействии на опухоль.
Преимущества томотерапии:
- Можно построить трехмерное изображение новообразования, смоделировать весь ход облучения.
- Позволяет увидеть четко границы опухоли. Это уберегает от облучения прилегающие ткани.
- Можно воздействовать на те новообразования, которые расположены в труднодоступной зоне.
Перед процедурой собирается консилиум врачей. Они учитывают симптомы, анализируют данные диагностики. На основе этой информации подбираются наиболее эффективные методы терапии.
Симптоматика
На ранних стадиях у глиомы нет ярких симптомов. Отдельные жалобы можно отнести к проявлениям неопасных заболеваний. Глиома может по-разному себя проявлять. Все зависит от локализации, размеров. Большая часть симптомов связана с мозговой деятельностью:
- Головные боли. Они появляются регулярно, отличаются устойчивостью. Обезболивающие препараты не купируют боль.
- В глазах появляется ощущение тяжести.
- Тошнота, рвота.
- Судороги, припадки.
При повреждении определенных зон мозга появляются следующие симптомы:
- Нарушается речь.
- Нарушается зрение. Больной даже может ослепнуть.
- Параличи, парезы конечностей.
- Атаксия вестибулярного аппарата (походка становится шаткой, голова постоянно кружится).
- У больного может пропасть ощущение конечностей.
- Нарушается память.
- Может расстраиваться мышление.
- Трудности с концентрацией внимания.
- Меняется поведение.
Если обнаружена глиальная опухоль головного мозга, прогноз будет зависеть от стадии заболевания, расположения опухоли, состояния здоровья пациента. При разрастании нейроглии может повышаться внутричерепное давление. Это связано с тем, что нарушаются ликворные пути. Жидкость из мозга не транспортируется, накапливается. Может начаться гидроцефалия.
Тревожные сигналы
Точная причина появления глиомы не установлена. Очень важно обращать внимание на свое самочувствие. Если есть подозрение, что начался какой-то патологический процесс, лучше сходить к врачу, провести диагностику. Так можно выявить онкологическое заболевание на самой ранней стадии. Это залог успешного лечения.
Симптомы развития глиомы очень напоминают неврологические патологии. Именно поэтому большинство больных оттягивает поход к врачу. Они списывают все на усталость, перепады давления, мигрень и т. д. А в это время новообразование продолжает понемногу расти. Случается и так, что сам доктор неверно поставил диагноз. Особенно часто такое бывает на первых стадиях развития патологии.
Признаки глиомы напрямую зависят от ее расположения. Это результат компрессии нервных окончаний из-за разрастания тканей, местной деструкции, нарушений работы эндокринной системы.
Когда опухоль локализуется в темени, беспокоят судороги, нарушаются сенсорные функции, может часто закладывать уши. Если новообразование расположилось в доминантном полушарии, появляются сбои в речевой деятельности, аграфия, агнозия пальцев. Самые тяжелые симптомы проявляются, если рак поразил варолиев мост.
При локализации в области виска могут развиваться судороги, припадки, галлюцинации. Может появиться афазия, аномия. При затылочной локализации могут периодически появляться вспышки света, припадки.
Опаснее всего, если опухоль расположилась в центре мозга. Ее разрастание может привести к коме, параличу, проблемам с дыханием, нарушению сердечного ритма, фиксации зрачков, остановке кровообращения. Если долго повышено внутричерепное давление, может начаться ложная симптоматика (паралич глазной мышцы, нарушаются поля зрения, развивается гемиплегия).
Возможные прогнозы
Опухоли спинного и головного мозга – это всегда опасно, непредсказуемо. Полное выздоровление случается нечасто. Больше всего шансов вылечиться, если заболевание на первой стадии. Нередко онкологи ограничены в выборе методов лечения из-за неудачного расположения новообразования. Хуже всего, если глиома злокачественная. Она растет достаточно быстро, повреждая ткани головы. А вот доброкачественные разрастаются намного медленнее.
Если диагностирована глиома головного мозга, прогноз будет зависеть от того, на какой стадии находится заболевание, где расположено новообразование, к какому виду оно относится, в каком состоянии здоровье самого пациента. Опасность новообразования в том, что оно может разрастаться. При этом страдают здоровые ткани.
Если развивается глиома головного мозга, продолжительность жизни может сократиться до 1-2 лет. При злокачественном типе прогноз неутешительный. Если опухоль не удается полностью удалить, может начаться рецидив. У глиомы высокий уровень злокачественности. Первая стадия (доброкачественная) может со временем перейти в третью или четвертую (злокачественную). Половина пациентов погибает в первый год лечения. Только четвертая часть живет дольше двух лет.
При первой степени глиомы прогнозы оптимистичнее. Она хорошо реагирует на радио- и химиотерапию. Если крошечная опухоль расположена неглубоко, хирург может полностью удалить ее. Прогноз будет зависеть от того, насколько удалось сохранить неврологические функции. Более чем 5 лет может прожить около 80 % прооперированных.
Иногда диагностируется глиома ствола головного мозга у детей. Чаще всего она связана с наследственной предрасположенностью. Чем позже обнаружена глиома, тем сложнее ее удалять. Иногда это и вовсе невозможно.
С возрастом опасность появления опухолей мозга возрастает. В группу риска попадают люди после 60-ти. Новообразования мозга чаще наблюдаются у мужчин.
Крайне опасно радиационное облучение. Оно повышает риск появления рака в разы. Также влияет наследственный фактор (5% всех случаев глиомы связаны с наследственностью). У детей возрастает риск заболеть из-за генетических патологий. Для взрослых этот фактор неактуален.
А вот связь между раком и образом жизни точно не установлена.
Профилактика
Стойких профилактических мер, которые обеспечат надежную защиту от рака, нет. Есть лишь общие рекомендации врачей-онкологов:
- укрепляйте иммунитет;
- ведите активный образ жизни;
- избегайте стрессов;
- вовремя лечите появившиеся заболевания;
- обеспечьте полноценное регулярное питание;
- откажитесь от вредных привычек;
- хоть немного занимайтесь спортом;
- больше отдыхайте;
- спите 6-8 часов;
- избегайте воздействия радиации.
Важно не жить одним днем, а постоянно следить за своим здоровьем. Нужно регулярно проходить медосмотр. Помните, что такая несложная процедура может спасти вам жизнь!
Вопрос-ответ
Какие основные симптомы могут указывать на наличие глиомы головного мозга?
Симптомы глиомы могут варьироваться в зависимости от ее размера и расположения, но наиболее распространенные включают головные боли, изменения в зрении, проблемы с координацией, судороги, а также изменения в поведении и когнитивных функциях, таких как память и внимание.
Как проводится диагностика глиомы головного мозга?
Диагностика глиомы обычно начинается с неврологического осмотра и сбора анамнеза. Затем могут быть назначены такие методы, как магнитно-резонансная томография (МРТ) или компьютерная томография (КТ), которые помогают визуализировать опухоль. В некоторых случаях может потребоваться биопсия для подтверждения диагноза.
Каковы факторы риска развития глиомы?
Факторы риска развития глиомы включают наследственные предрасположенности, воздействие ионизирующего излучения, а также определенные генетические синдромы. Однако точные причины возникновения глиомы до конца не изучены, и многие люди с факторами риска не заболевают этой опухолью.
Советы
СОВЕТ №1
Обратите внимание на изменения в своем здоровье. Если вы замечаете постоянные головные боли, изменения в зрении, слухе или координации, не игнорируйте эти симптомы. Лучше всего обратиться к врачу для проведения обследования.
СОВЕТ №2
Регулярно проходите медицинские осмотры. Даже если вы не испытываете явных симптомов, регулярные проверки могут помочь выявить проблемы на ранней стадии. Это особенно важно для людей с предрасположенностью к онкологическим заболеваниям.
СОВЕТ №3
Знайте, какие методы диагностики доступны. МРТ и КТ являются основными инструментами для диагностики глиомы. Ознакомьтесь с процессом и не стесняйтесь задавать вопросы своему врачу о том, что вас ждет.
СОВЕТ №4
Поддерживайте открытое общение с медицинскими специалистами. Если у вас есть вопросы или опасения по поводу симптомов или диагностики, не стесняйтесь обсуждать это с врачом. Чем больше информации вы получите, тем лучше сможете понять свое состояние.









