
Субдуральная гематома – ограниченное внутричерепное скопление крови, локализованное между арахноидальной и твердой мозговыми оболочками. Появляется из-за травматизации головного мозга. К основным проявлениям патологии относятся: всевозможные психоневрологические нарушения, головные боли, рвота, экстрапирамидные расстройства. Информация, полученная после проведения МРТ и КТ, является ключевой для диагностики. Врачами выбирается консервативный или оперативный метод лечения, что будет зависеть от ряда индивидуальных факторов для каждого пациента.
Субдуральное кровоизлияние при получении тяжелой ЧМТ происходит примерно в четверти случаев (субарахноидальное – реже). Возникновение кровоизлияний такого типа после ДТП, нанесения удара и влияния иных факторов возможно в любом возрасте, но более характерны они для людей в возрасте от 40 лет. В 7 случаях из 10 встречается у мужчин.
Этиология и патогенез
Формирование субдуральной гематомы наблюдается после разрыва интракраниальных вен, которые проходят в субдуральной области, в результате получения черепно-мозговой травмы. В редких случаях гематома возникает по причине нетравматической церебральной сосудистой патологии, из-за проблем со свертываемостью крови, при лечении антикоагулянтами. Есть вероятность двустороннего формирования субдурального кровоизлияния, что отличает его от эпидуральной гематомы.
Субдуральная гематома обычно образуется на той стороне головы, куда было приложено воздействие травмирующего фактора (если площадь контакта небольшая). При этом есть вероятность формирования кровоизлияния и без прямой травматизации головы, что зачастую происходит при внезапной остановке или в случае перемены направления движения. Из-за такой встряски происходит незначительное смещение мозговых полушарий, что и становится причиной повреждения интракраниальных вен.
В случаях, когда субдуральное кровоизлияние наблюдается на противоположной стороне головы (относительно места воздействия травмирующего предмета), то такую гематому принято называть контралатеральной. Ее формирование обычно происходит, если на голову травмирующий фактор воздействовал со значительной площадью контакта. Такая патология возникает из-за того, что происходит повреждение вен, которые впадают в сагиттальный венозный синус.
В медицинской практике обычно встречаются двусторонние гематомы, возникающие из-за одновременного воздействия различных факторов травмирования. В качестве аналога приведём субдуральную спинальную гематому, когда кровяные скопления сдавливают спинной мозг.
Принято различать разные формы субдурального кровоизлияния: острую, подострую, хроническую. В первом случае гематома образуется на фоне получения тяжелой ЧМТ, во втором – легкой ЧМТ.
Субдуральные гематомы представляют собой скопления крови между мозговыми оболочками, и их разновидности могут существенно различаться по причинам возникновения и клиническим проявлениям. Врачи выделяют острые, подострые и хронические субдуральные гематомы. Острые гематомы, как правило, возникают вследствие травмы головы и требуют немедленного вмешательства. Подострые могут развиваться в течение нескольких дней после травмы, а хронические часто наблюдаются у пожилых людей, у которых даже незначительная травма может привести к накоплению крови. Основными причинами субдуральных гематом являются травмы, разрывы вен, а также нарушения свертываемости крови. Врачи подчеркивают важность своевременной диагностики и лечения, так как игнорирование симптомов может привести к серьезным осложнениям.

Симптоматика
Травматическое субдуральное кровоизлияние имеет весьма характерную симптоматику, которая выражается трехфазным нарушением сознания. Трехфазность предполагает следующее развитие событий: после получения ЧМТ происходит потеря сознания, затем оно возвращается (так называемый «светлый» промежуток», после чего происходит повторный обморок). К симптомам также принято относить:
- психоневрологические нарушения;
- боли в голове разной выраженности;
- рвота и тошнота.
Традиционные три фазы при наличии субдуральной гематомы наблюдаются нечасто. Если кровоизлияние произошло на фоне ушиба мозга или получения несущественной ЧМТ, то возможно отсутствие «светлого» промежутка или его стертые проявления. Зависимо от формы кровоизлияния и продолжительность «светлого» промежутка разная:
- острая (от 2-3 минут до 2-3 часов);
- подострая (от 3-4 часов до 2-3 суток);
- хроническая (от нескольких недель до месяцев).
При продолжительном характере «светлого» промежутка, его завершение могут спровоцировать различные причины: повторное травмирование головы, скачки АД и т.п.
К симптомам общемозговых проявлений относят преимущественно дезинтеграционную симптоматику: делирий, онейроид, аменция и т.п. Зачастую присущи нарушения памяти, синдром Корсакова, состояние эйфории, проблемы с поведением, психомоторное возбуждение и т.п.
Если пациенты контактируют с врачом, обычно жалуются на головные боли, проблемы с движением глазных яблок, повышенную чувствительность к свету, усиление головных болей после рвоты. Возможна ретроградная амнезия, как и в случае с возникновением плащевидной гематомы. При хронической форме патологии иногда наблюдаются прогрессирующее ухудшение зрения.
Острая форма отклонения наиболее опасная, потому что при ее развитии может проявиться симптоматика повреждения ствола мозга:
- проблемы с рефлексами и тонусом мышц;
- нарушение дыхания;
- артериальная гипертония и другие проявления.
Поэтому при развитии этой стадии практически всегда требуется оперативное вмешательство – устранение кровоизлияния хирургическим путем.
Острая гематома субдуральная на голове имеет значительный очаговый симптом – при наличии патологии в 70% случаев происходит расширение зрачка. Он расширяется практически всегда на той стороне, где произошло кровоизлияние. При острой стадии также отмечается ухудшение реакции на свет, либо ее полное отсутствие. Если открытый глаз реагирует на свет, то можно говорить о подострой или хронической стадии развития. Также состояние может быть сопряжено с птозом, проблемами в движении глазами у пациента.
К очаговым симптомам также относят центральный гемипарез. При локализации кровоизлияния в оболочках доминантного полушария, наблюдаются нарушения речи.
Человек может вести себя не вполне адекватно: у больных с подобным диагнозом проявляется повышенная возбудимость, психомоторная активность, либо, наоборот, сонливость и безразличие.
Классификация
Как уже отмечалось, различают несколько форм субдуральной гематомы: острую (клинические проявления начинаются в первые 2-3 суток после получения травмы), подострую (в течение 5-10 дней), хроническую (недели или месяцы). Многие врачи говорят об условности этих сроков, потому что каждый случай развития патологии является индивидуальным и уникальным.
Специалисты в этой области зачастую обходят вниманием сроки, в которые начались клинические проявления. Вместо этого изучаются:
- результаты обследований (МРТ, КТ);
- характер раны;
- наличие видимых синяков и кровоподтеков;
- длительность временного промежутка, прошедшего после ее получения;
- возраст больного и другие факторы.
После изучения данных принимается решение о медикаментозной терапии или хирургическом вмешательстве.
Субдуральные гематомы — это скопления крови между мозговыми оболочками, которые могут возникать по различным причинам. Люди часто обсуждают, что такие гематомы могут быть как острыми, так и хроническими. Острые формы обычно возникают после травмы головы, когда сосуды повреждаются, в то время как хронические могут развиваться медленно, особенно у пожилых людей, чья мозговая ткань со временем истончается.
Многие отмечают, что симптомы могут варьироваться: от головной боли и спутанности сознания до более серьезных неврологических нарушений. Важно, что своевременная диагностика и лечение играют ключевую роль в прогнозе. Некоторые пациенты делятся историями о том, как игнорирование первых признаков привело к серьезным последствиям. В целом, обсуждение субдуральных гематом подчеркивает важность внимательного отношения к здоровью и необходимости обращения к врачу при первых симптомах.

Острая форма
Различают три главных варианта течения клиники при острой стадии.
- Классический. Возникает нечасто, характеризуется присутствием трехфазности изменений сознания: его потеря непосредственно при травматизации мозга, наступление «светлого» промежутка», утрата сознания повторно. Если человек получил ЧМТ средней тяжести или при ушибе мозга, зачастую наблюдают недлительную потерю сознания. При восстановлении отмечаются признаки оглушения или состояния, близкие к ним. Сроки «светлого» промежутка обычно составляют от 5-10 минут до 2-3 часов (но бывает его продолжительность и в 24-48 часов). Пациенты в таком состоянии могут жаловаться на головные боли, головокружения, тошноту, возможны незначительные потери памяти. Поведение обычно остается адекватным, больные спокойно ориентируются в пространстве, они нормально общаются с близкими и врачами, поэтому незнающие люди могут подумать, что никаких обмороков в дальнейшем уже не будет, и что идет постепенная нормализация состояния. Неврологические очаговые симптомы отмечаются редко, при их наличии такая симптоматика проявляется достаточно стёрто, поэтому специалисты или не принимают их во внимание, или проводят дополнительные исследования для уточнения состояния пациента и возможных последствий повторного обморока.
По завершении «светлого» промежутка отмечается углубленное оглушение с возникновением сильной сонливости на фоне увеличения психомоторной активности. Пациент утрачивает адекватность поведения, у него усиливается головная боль, появляется рвота. Ярко проявляет себя очаговая симптоматика. Как только пациент утрачивает сознание во второй раз, развивается повторный стволовой синдром, брадикардия, увеличивается АД, нарушаются ритмы дыхания.
- Стертый «светлый промежуток. Субдуральное кровотечение зачастую вызывается достаточно сильным ушибом мозга. При подобной травматизации для человека (особенно в пожилом возрасте) характерно впадение в кому. В этом случае наблюдается яркая очаговая и стволовая симптоматика, потому что первично повреждаются мозговые вещества. После нормализации состояния больного его сознание частично восстанавливается, однако отмечаются признаки оглушения, как и при плащевидной гематоме. В такие моменты заметно снижение выраженности нарушений жизненно важных функций.
После выхода пострадавшего из состояния комы или сопора, у него отмечается увеличенная психомоторная активность, явные менингеальные симптомы. Через некоторое время (у всех по-разному) наблюдается повторное отключение сознания с выраженным нарушением жизненно важных функций. В этот момент развиваются вестибулоглазодвигательные расстройства, ухудшаются очаговые симптомы: начинается односторонний мидриаз, происходит нарастание гемипареза, есть вероятность развития эпилепсии.
- Без «светлого» промежутка. Он может отсутствовать при развитии патологии после повреждений мозга тяжелого и множественного характера. Больной пребывает в коме после получения травмы, не выходит из этого состояния, пока не будет завершена операция. При этом никакой положительной динамики не наблюдается.
Подострая субдуральная гематома
В процессе развития подострой формы патологии постепенно развертывается компрессионный синдром, наблюдается продолжительный «светлый» промежуток. Поэтому у пациента ошибочно диагностируется сотрясение мозга, либо заболевания, не связанные с травматизацией головного мозга.
Обычно отмечается раннее формирование подострых субдуральных кровоизлияний, но потенциально опасная клиника зачастую проявляется только спустя пару суток после воздействия травматического фактора. Чтобы начала развиваться подострая стадия, достаточно легкой травмы.
Наличие трех фаз при развитии подострой стадии патологии отмечается довольно-таки часто. Длительность сопора или комы варьируется от 2-3 мин до 50-60 мин, после чего наступает «светлый» промежуток, который может продолжаться неопределенный срок.
Хроническая субдуральная гематома
К хроническим субдуральным гематомам головного мозга относят кровоизлияния такого типа, которые были выявлены и устранены через 14-18 суток или более после травматизации. Подобные патологии характеризуются не столько сроком обнаружения, сколько формированием специальной капсулы, которая придает автономность гематоме при нормальном сосуществовании с мозгом, а также определяет дальнейшую клинику и физиологическую динамику.
Диагностика
Установление диагноза сопряжено с определенными сложностями, потому что клиническая картина при данной патологии весьма вариативна в зависимости от индивидуальных особенностей человека и типа травматизации головного мозга. Диагностируя отклонение, специалисты учитывают тип травматизации, свойства «светлого» промежутка и другие специфические особенности развития заболевания.
Больные обязательно направляются на рентгенологическое исследование черепа. Также зачастую врачи для уточнения клинической картины могут отправить пациента на Эхо-ЭГ. Для точного диагностирования хронической формы субдурального кровоизлияния применяется офтальмоскопия.
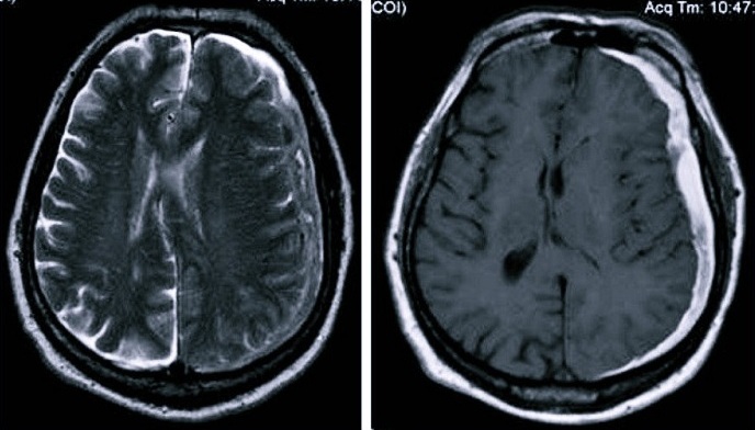
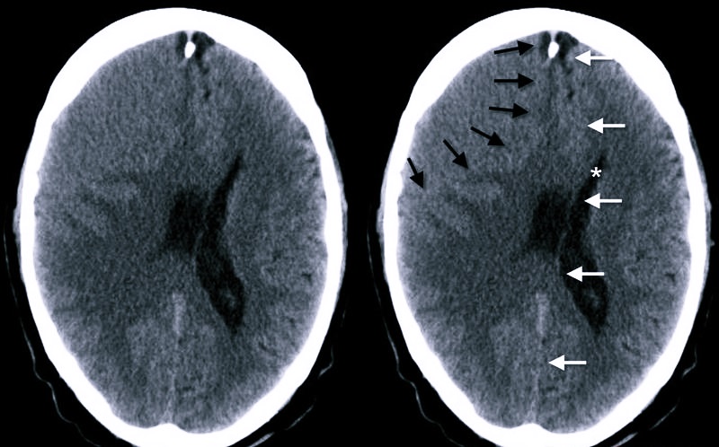
Основными причинами травматического субдурального кровоизлияния является травматизация головного мозга и повреждение интракраниальных вен. Важнейшими диагностическими элементами являются КТ и МРТ, причем современные специалисты больше предпочитают компьютерную томографию, с помощью которой быстро обнаруживается однородная серповидная зона увеличенной плотности.
Спустя некоторое время гематома начинает разуплотняться, распадаются кровяные пигменты, поэтому по уровню плотности через несколько недель после травматизации ее уже сложно отличить от здоровой мозговой ткани. Диагностика в данной ситуации базируется на медиальном смещении латеральных отделов и на обнаружение следов сдавливания бокового желудочка.
Если для диагностики выбрана МРТ, то зачастую назначается проведение процедуры с контрастом, что хорошо помогает установить точный диагноз и получить дополнительную информацию в особо сложных случаях.
Лечение
Лечить субдуральную гематому можно консервативным или оперативным способом. Терапевтическая тактика будет зависеть от объема кровоизлияния, разновидности, специфических показателей больного. К примеру, при острой стадии патологии гематому надо удалять. Если после ЧМТ на томограмме или в результате другого обследования было выявлено, что мозговые структуры смещены или сдавливаются, то хирургическое вмешательство проводиться максимально быстро, насколько это возможно.
Оперативное удаление гематомы показано в следующих ситуациях:
- Острая форма патологии с соответствующими клиническими показателями (сдавливание мозговых структур и т.п.). Хирургическое устранение кровоизлияния осуществляется в короткие сроки, что позволяет надеяться на хороший прогноз.
- Подострая форма (только в ситуациях увеличения очаговых симптомов и при наличии внутричерепной гипертензии).
В любой другой ситуации врачи могут назначать медикаментозное лечение. Решение об операции принимается только по результатам проведенного рентгена и клинических показателей.
Удаляя гематому, хирурги останавливают кровотечение, которое может продолжаться из мозговых очагов размозжения.
Если после получения травмы головы и возникновения субдурального кровоподтека толщиной не более 1 см у пациента адекватное поведение и отсутствует характерная клиническая симптоматика, то оперативное удаление гематомы не требуется. Также медикаментозное лечение показано пациентам, находящимся в состоянии комы или сопора, имеющим стабильный неврологический статус, у которых отсутствуют признаки сдавливания ствола, наблюдается невысокое внутричерепное давление. В таких случаях проводится консервативная терапия.
Резорбция проявляется в течение 25-30 суток после получения травмы. В некоторых ситуациях вокруг субдурального кровоизлияния формируется капсула, что приводит к переходу гематомы в хроническую стадию. В случаях, когда при переходе от острой или подострой формы к хронической наблюдается ухудшение состояния пациента, проявляющееся соответствующими клиническими симптомами, показано закрытое наружное дренирование.
Прогноз и профилактика
Последствия субдуральной гематомы головного мозга весьма неоптимистичны – более половины случаев развития данной патологии приводят к летальному исходу (процент намного выше у людей пенсионного возраста и новорожденных). Аналогичные показатели имеет, к примеру, геморрагический инсульт.
При этом высокий процент смертности обусловлен не самим фактом кровоизлияния, а в большей степени тем, что травматически повреждаются мозговые ткани. К основным причинам летального исхода при субдуральной гематоме относятся: вторичная церебральная ишемия, дислокация мозговых структур, отечность мозга.
Риски летального исхода сохраняются даже после проведения операции и устранения гематомы, потому что после хирургического вмешательства есть вероятность возникновения и развития церебрального отека.
Минимизировать последствия травматизации головного мозга и развития субдуральной гематомы, увеличить шансы спасти жизнь взрослому или ребенку можно, если хирургическое вмешательство будет осуществлено в срок до шести часов после получения черепно-мозговой травмы.
Если по результатам обследования врачами было принято решение о ведении медикаментозного лечения, то кровоизлияние и его последствия самоустраняются за несколько недель или месяцев (при условии правильно проводимого лечения).
При консервативной терапии есть вероятность перехода патологии в хроническую стадию, но не исключаются риски развития различных осложнений.
Рекомендуемые профилактические меры: предупреждение травматизации головы. К примеру, одевание шлема при езде на мотоцикле, велосипеде, сноуборде, горных лыжах и т.д., ношение каски при пребывании на строительных объектах, пристегивание в автотранспорте. Если была получена серьезная травма головы и человек потерял сознание, необходима его немедленная госпитализация для уточнения диагноза и принятия необходимых мер. При субдуральной гематоме потеря времени может стоить человеку жизни.
Вопрос-ответ
Какие виды гематомы бывают?
Субфасциальными, межмышечными, подслизистыми, паренхиматозными (например, гематомы внутренних органов), а также гематомы, образующиеся в анатомических полостях (внутричерепная и другие).
Что значит субдуральная гематома?
Субдуральная гематома — это кровотечение между внешней оболочкой головного мозга и головным мозгом, другими словами, под твердой мозговой оболочкой. Субдуральные гематомы бывают острыми и хроническими.
Чем отличается эпидуральная гематома от субдуральной?
Скопление крови в головном мозге В результате кровь может скапливаться между черепом и внешней мозговой оболочкой. Такое скопление крови называется эпидуральной гематомой. В других случаях кровь скапливается между тканями внешней и средней мозговой оболочки. Такое скопление крови называется субдуральной гематомой.
Что значит субдуральное?
Субдуральная гематома — объёмное скопление крови, расположенное между твёрдой и паутинной мозговыми оболочками и вызывающее сдавление головного мозга. Клинические проявления субдуральных гематом чрезвычайно вариабельны.
Советы
СОВЕТ №1
Обратите внимание на симптомы: если вы или кто-то из ваших близких испытывает головные боли, изменения в сознании, спутанность сознания или проблемы с координацией после травмы головы, немедленно обратитесь к врачу. Субдуральные гематомы могут развиваться постепенно, и ранняя диагностика важна для успешного лечения.
СОВЕТ №2
Изучите факторы риска: пожилые люди, пациенты с нарушениями свертываемости крови и те, кто принимает антикоагулянты, находятся в группе повышенного риска. Если вы относитесь к одной из этих категорий, будьте особенно внимательны к любым травмам головы и регулярно консультируйтесь с врачом.
СОВЕТ №3
Следите за своим здоровьем: поддержание общего здоровья, включая регулярные физические упражнения и сбалансированное питание, может помочь снизить риск травм и улучшить восстановление после них. Также важно контролировать хронические заболевания, которые могут влиять на здоровье сосудов.
СОВЕТ №4
Обсуждайте с врачом возможные последствия: если у вас уже была субдуральная гематома или вы находитесь в группе риска, обсудите с врачом возможные последствия и стратегии профилактики. Это поможет вам лучше понять свое состояние и принять меры для минимизации рисков.








