
Уже в XIX веке появлялись научные работы о природе и причинах неприятных ощущений в голове. Подытожив результаты проделанных работ, делается вывод, что на появление и протекание недомогания сильнее всего влияют индивидуальные особенности организма человека: его болезни, в том числе пережитые, образ жизни, поведение, характер и многое другое. Большое воздействие оказывают черепно-мозговые травмы и сбои в работе иных систем организма, в первую очередь, сердечно-сосудистой.
Кроме головных болей в различных частях черепной коробки, у людей часто возникает чувство тяжести в голове, нередко сопровождающееся иными неприятными симптомами. Под недомоганием подразумеваются дискомфортные ощущения, которые проявляются в:
- болях, исходящих изнутри черепной коробки;
- чувстве, что головной мозг увеличился в объеме или уменьшились габариты черепа.
В народе в таком случае можно услышать о чугунной или ватной голове.
Причины состояния
Тяжесть и боль в голове вызываются огромным количеством факторов и их комбинациями. В первую очередь, это проблемы с сердечно-сосудистой системой (образование тромбов, скачки артериального давления, сужение сосудов или их расширение). Вторым по распространенности является шейный остеохондроз: из-за патологий, возникших в строении позвонков, спинномозговые нервные корешки и сосуды могут сдавливаться. Третий популярный фактор – патологии внутреннего уха. Рассмотрим подробно наиболее распространенные причины дискомфорта в черепной коробке и разберемся, как избавиться от тяжести в голове.
Женщин проблема тревожит чаще (60%), чем мужчин, причем у половины пациентов выявляются проблемы с внутренним ухом, около 60% из них имеют диагноз ВСД, у 2 из 3 наблюдается шейный остеохондроз.
Врачи отмечают, что тяжесть в голове может быть вызвана различными факторами. Одной из основных причин является стресс, который приводит к напряжению мышц шеи и головы. Также часто встречаются мигрени и головные боли напряжения, которые могут вызывать дискомфорт и чувство тяжести. Неправильное питание, недостаток сна и обезвоживание также играют значительную роль в возникновении этой проблемы. Для избавления от тяжести в голове специалисты рекомендуют регулярные физические упражнения, соблюдение режима сна и питания, а также техники релаксации, такие как медитация и дыхательные практики. Важно также следить за уровнем стресса и при необходимости обращаться к врачу для диагностики и подбора индивидуального лечения.

Проблемы с кровообращением
Сосудистые расстройства – проблема большинства людей XXI века. Неприятные ощущения в голове чаще всего возникают по причине сужения или расширения тончайших кровеносных сосудов, которые снабжают головной мозг питательными веществами и кислородом, а также выводят продукты жизнедеятельности из его тканей.
Эмболы, холестериновые бляшки, так называемые «виноградные грозди» — группы слипшихся в результате приема алкоголя или наркотических веществ эритроцитов, кислородное голодание головного мозга – у большинства страдающих от ощущения тяжести под черепной коробкой обнаруживаются эти проблемы.
Артериальное и внутричерепное давление
Голова «тяжелеет» и при повышении внутричерепного либо артериального давления, а «ватной» становится при заметном понижении АД. Последнее наблюдается при месячных у женщин и у гипотоников.
Многие люди сталкиваются с ощущением тяжести в голове, и причины этого состояния могут быть разнообразными. Одни связывают его с переутомлением и стрессом, другие — с недостатком сна или неправильным питанием. Часто упоминаются и мигрени, которые могут вызывать дискомфорт и тяжесть. В поисках облегчения люди пробуют различные методы: от медитации и йоги до массажа и ароматерапии. Некоторые находят помощь в изменении образа жизни — регулярные физические нагрузки и сбалансированное питание становятся важными шагами к улучшению самочувствия. Также популярны народные средства, такие как травяные чаи и отвары. Главное — прислушиваться к своему организму и не игнорировать сигналы, которые он посылает.

Мигрень
При мигренозных болях, точные причины которых пока не известны, расширяются сосуды головного мозга. Из-за повышения активности кровотока и растущего давления появляется ощущение, что голова наполняется чем-то тяжелым.
Шейный остеохондроз
Заболевание, при котором страдают межпозвоночные диски. Из-за нарушения их структуры корешки спинномозговых нервов и проходящие возле них кровеносные сосуды подвергаются сдавливанию. Это приводит к ухудшению обменных процессов: насыщению тканей ГМ продуктами его метаболизма, кислородному голоданию.
Помимо этого, у пациента могут отмечаться:
- головокружения;
- боль в области висков и затылка;
- кратковременные проблемы с запоминанием простых вещей;
- закладывание ушей;
- слуховые галлюцинации,
- сонливость и даже предобморочные состояния.
Повороты головы слева-направо, сверху-вниз, по диагонали могут сопровождаться болевым синдромом.
Шейный миозит
Болезнь, появляющаяся вследствие воспаления мышечных тканей в области шеи. Причиной болезни может стать переохлаждение (протянуло шею) или длительное нахождение в противоестественной позе. Болезненные ощущения передаются в затылочную область головы, шейные движения ограничиваются.
Воспалительные процессы
Регулярно возникающая тяжесть в голове, сопровождающаяся болевыми ощущениями, может являться причиной развития воспалительных процессов:
- синусит – воспаление носовых пазух;
- фронтит – лобных;
- гайморит – гайморовых.
- мастоидит – заушных.
Во всех случаях вышеназванные пазухи наполняются густым гнойным содержимым, состоящим преимущественно из мертвых лейкоцитов. Эти образования давят на окружающие стенки, вызывая ощущение распирания в определенной области головы (в зависимости от места локализации воспалительного процесса).
Иногда с подобным ощущением протекает менингит и воспаление миндалин у детей. Обычно эти заболевания сопровождаются повышенной температурой тела.
Яркими симптомами мастоидита являются боль в шее, заложенность ушей, повышенная чувствительность и болезненные ощущения за ухом. Наихудшее состояние – утром, к которому добавляется и тяжесть в глазах.
Тензорные головные боли
Основные симптомы такой разновидности головных болей – стресс и депрессия, нередко сопровождающиеся психическим напряжением. Обычно позволяет заниматься ежедневными делами из-за небольшой интенсивности. Различают две разновидности боли: ноющая, когда кажется, что голова становится тяжелой, и не пульсирующая.
Черепно-мозговые травмы
Повреждение головного мозга или черепа, в зависимости от степени тяжести и ряда иных критериев, на протяжении многих лет может сказываться на самочувствии человека. И поделать с этим фактически ничего нельзя, кроме временного приглушения неприятного ощущения.
Алкоголь
Алкогольная интоксикация, при которой может подташнивать, рвать – знакомая причина тяжести в голове наутро после обильного приема спиртных напитков. Похмелье нужно пережить посредством терпения, при помощи народных методов или предлагаемого современной медициной спектра медикаментов, ускоряющих и облегчающих вывод токсинов из организма.
Вегетососудистая дистония
Порядка 70% людей, обращающихся за медицинской помощью по причине чувства тяжести в голове, страдают от симптомов вегетососудистой дистонии – проблем с функционированием вегетативной нервной системы.
Венозный отток
Проблемы с венозным оттоком вызываются отсутствием клапанов в этих кровеносных сосудах. Кровь перемещается под воздействием на жидкость силы тяжести. У людей с диагнозом «дисплазия соединительных тканей» из-за плохо функционирующего оттока крови после сна появляется чувство тяжести под черепной коробкой.
Неврастения
Психическое расстройство, относящееся к неврозам. Проявляется высокой раздражительностью, сонливостью, быстрой утомляемостью, снижением физической и умственной деятельностей. Чаще всего возникает из-за постоянных физических напряжений, переутомлений, недосыпания.
Болезнь Меньера
Характеризуется повышением объема эндолимфы, что провоцирует:
- приступы прогрессирующей глухоты;
- головокружения;
- проблемы с равновесием;
- шум и давление в ушах;
- тошноту и рвоту на пике приступа.
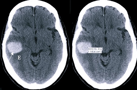
Новообразования
Образование интракраниальной опухоли – спонтанного и неконтролируемого деления клеток в черепе – сопровождается тяжестью в голове. Между мозгом и черепной коробкой немного пространства, а патологически разрастающаяся ткань в черепе начинает давить на головной мозг, так как место для ее расширения отсутствует. Это давление и вызывает сильную боль с чувством, того, что голова становится тяжелой.
Сторонние факторы
Иногда после прохождения диагностических процедур, которые не увенчались обнаружением провоцирующего фактора, состояние тяжести внутри черепной коробки медики могут объяснить:
- холодом:
- быстрое потребление холодной еды (например, мороженного) или напитков в значительных количествах в жаркую погоду или в теплом помещении;
- погружение головы в холодную воду ради ее охлаждения;
- физическим давлением извне – тесный головной убор, каска, шлем, длительное нахождение под водой;
- гормональными изменениями в организме женщины – появление дискомфорта возможно перед месячными и в середине цикла;
- физическим перенапряжением, продолжительной умственной нагрузкой – обычно не сопровождается головной болью;
- сексуальной активностью;
- метеозависимостью – не все быстро адаптируются к изменившейся погоде;
- акклиматизацией в новой местности (городе, стране);
- побочными эффектами от приема лекарственных средств
Типы
«Тяжёлая голова» – может являться единым недомоганием или дополняться иными патологическими явлениями: головокружениями, головными болями, слабость, проблемами с работоспособностью, концентрированием внимания, тошнотой и рвотой, проблемами с речевым и двигательным аппаратом, зрением.
Замечено, что при сердечно-сосудистых болезнях «чугунной» голова становится наряду с учащенным пульсом, неприятными ощущениями в груди слева, появлением одышки, потливостью и изменением цвета кожи из-за уменьшения или увеличения активности кровотока.
Проблемы с позвоночником проявляются болезненными ощущениями в шейно-воротниковой области, которые переходят к запястьям и предплечьям. Нередко отдают в виски, лоб или затылок.
Неврастения, в дополнение к тяжести в голове, делает человека более раздражительным, возбудимым, снижает его память, он быстрее устает и отличается пониженной работоспособностью.
Диагностика, лечение
Только точно зная причину тяжести в голове, от недомогания можно избавиться, пройдя курс назначенных доктором процедур и подкорректировав образ жизни. Основой диагностики в данной ситуации являются: подробное описание проблемы пациентом, изучение истории его болезней, внешний осмотр, лабораторные анализы и инструментальные методы:
- электроэнцефалография;
- магнитно-резонансная и компьютерная томография;
- реоэнцефалография;
- эхоэнцефалография.
При неясных причинах состояния необходимо посетить своего терапевта. После сбора первичного анамнеза, беседы и осмотра он назначит диагностические процедуры и направит к нужному специалисту: вертебрологу, кардиологу, неврологу, травматологу, отоларингологу, флебологу, инфекционисту, онкологу.
Лечение
Терапия в каждом случае индивидуальна и зависит от огромного количества факторов. Для временного устранения симптома или уменьшения его влияния на самочувствие рекомендуется:
- натереть виски и лоб мятным маслом (достаточно 1 капли);
- нанести на лоб растворенную 1 ч. л. корицы в нескольких ложках воды, чтобы получилась консистенция сметаны, и прилечь на полчаса;
- выпить чашку кофе с 1-2 ч. л. лимонного сока, который ускорит воздействие кофеина;
- посетить сеанс точечного массажа или сделать самомассаж шеи, темени, висков, затылка.
Профилактика
Чтобы предотвратить неприятные симптомов в виде тяжести в голове, необходимо вести здоровый образ жизни и учитывать состояние своего организма. В зависимости от перенесенных или присутствующих заболеваний выполнять все рекомендации медиков. Под здоровым образом жизни подразумеваются такие пункты:
- спать не менее 7-8 часов в сутки, стараясь ложиться и просыпаться в одинаковое время;
- чередовать нагрузки с отдыхом;
- больше употреблять здоровой пищи, свежих овощей и фруктов;
- избавиться от вредных привычек;
- по возможности минимизировать время, проводимое с телефоном и за компьютером;
- каждый день проводить пару часов на свежем воздухе;
- своевременно обращаться к медикам, не дожидаясь, что регулярно появляющиеся одинаковые симптомы пройдут сами;
- при малоподвижной работе периодически делать гимнастику;
- спать на ортопедическом матраце;
- посещать сеансы массажа;
- улучшать состояние организма медикаментами или народными средствами после согласования с доктором.
Самостоятельно убрать тяжесть в голове во многих случаях не получится. Если недомогание сопровождает регулярно – это повод обратиться к терапевту, который назначит диагностику и направит к нужным специалистам для поиска и устранения причины неприятного ощущения.
https://youtube.com/watch?v=L7_qAded9RQ
Вопрос-ответ
Почему как будто тяжесть в голове?
Тяжесть в голове — признак недостатка сна и умственного переутомления, неврастении, артериальной гипертензии. Симптом также встречается при головных болях напряжения, ЛОР-патологиях (синусит, евстахиит, болезнь Меньера), дегенеративно-дистрофических процессах в шейном отделе позвоночника.
Как снять тяжесть в голове?
Примите обезболивающее, отпускаемое без рецепта. Пейте достаточное количество воды. Найдите спокойное и темное место, чтобы отдохнуть. Используйте холодные компрессы. Помассируйте кожу головы, шею и мочки ушей.
Какие таблетки снимают тяжесть в голове?
Такие препараты, как «Кофетамин» и «Мигренол», «Суматриптан», помогают быстро снять головную боль при мигрени в домашних условиях. При этом многие сосудосуживающие таблетки не отпускаются без рецепта могут быть назначены только лечащим врачом при наличии показаний.
Как снять нервное напряжение в голове?
Ингибиторы обратного захвата серотонина (прозак, паксил), трициклические антидепрессанты, седативные препараты, физиотерапия (электрофорез, электросон), массаж шейно-воротниковой зоны, иглорефлексотерапия.
Советы
СОВЕТ №1
Обратите внимание на свой уровень стресса. Часто тяжесть в голове может быть следствием эмоционального перенапряжения. Попробуйте практиковать методы релаксации, такие как медитация, йога или глубокое дыхание, чтобы снизить уровень стресса и улучшить общее самочувствие.
СОВЕТ №2
Следите за своим режимом сна. Недостаток сна или его плохое качество могут привести к ощущению тяжести в голове. Убедитесь, что вы спите не менее 7-8 часов в сутки и создайте комфортные условия для сна, избегая использования гаджетов перед сном.
СОВЕТ №3
Обратите внимание на свое питание. Неправильное или нерегулярное питание может вызывать головные боли и тяжесть в голове. Старайтесь употреблять разнообразные продукты, богатые витаминами и минералами, и не забывайте пить достаточное количество воды в течение дня.
СОВЕТ №4
Регулярно занимайтесь физической активностью. Физические упражнения способствуют улучшению кровообращения и могут помочь снять напряжение, что в свою очередь уменьшает тяжесть в голове. Выберите вид активности, который вам нравится, будь то прогулка, бег или занятия спортом.




