
Прохождение родовых путей таит для младенца немало опасностей. Одна из них – лейкомаляция головного мозга, формирование патологического очага в перивентрикулярной зоне головного мозга ребенка. Он развивается из-за дефицита кислорода, поступающего к тканям мозга. Располагается очаг поражения в верхних отделах боковых желудочков. Его дальнейшее развитие грозит перерождением в кистообразные новообразования, в образование пустотных полостей. Как результат – тяжелое осложнение в функциях ЦНС у ребенка.
Причины
Гинекологи напоминают будущим мамам, насколько важен период 2-х–3-х месяцев от зачатия ребенка, когда закладывается нервная система будущего человека. Во внутриутробном развитии фактически нет неважных для развития малютки этапов. Последний триместр важен для полноценного формирования мозговых отделов и их функций. Здоровье мамы – залог того, что у ее ребенка не сформируется лейкопатия головного мозга, что он родится доношенным и полноценно развитым.
Статистика показывает, что особую группу риска по образованию лейкомаляции в головном мозге новорожденных составляют дети, родившиеся раньше срока, с фактором недоношенности.
Формированию патологии в перивентрикулярной области мозга подвержены дети, рождающиеся ранней весной.
Перивентрикулярная лейкомаляция представляет собой очаг с некрозом клеток тканей боковых желудочков. Клетки отмирают из-за резкого кислородного голодания, такой же дефицит кислорода ощущает и беременная женщина с повышенной чувствительностью к изменениям метеорологических условий. У будущей мамы болит голова, болезненность спровоцирована спазмами сосудов, как ответ на смену погоды.
Причинами неврологической патологии могут стать:
- диабет у будущей мамы; другие нарушения эндокринной системы;
- анемия и авитаминоз у беременной;
- внутриутробная инфекция во время беременности;
- сильное кровотечение в ходе родов;
- изменение АД новорожденного;
- острый дефицит дыхательной деятельности новорожденного.
И все же главная причина появления лейкомаляций – недоношенность плода. Гинекологи и перинатологи обращают внимание на предупреждение ранних родов, профилактическими мерами пытаются не допустить нарушений внутриутробного кислородного обеспечения.
Перивентрикулярная лейкомаляция (ПВЛ) является одной из наиболее распространенных форм повреждения мозга у недоношенных детей. Врачи отмечают, что основными причинами развития ПВЛ являются недостаток кислорода, инфекции и нарушения кровообращения в мозге. Симптомы могут варьироваться, но часто включают задержку в развитии, проблемы с моторикой и неврологические расстройства. Важно, что ранняя диагностика и интервенция играют ключевую роль в лечении. Специалисты рекомендуют комплексный подход, включающий физиотерапию, логопедическую помощь и медикаментозное лечение для улучшения состояния ребенка. Регулярное наблюдение и поддержка со стороны медицинских работников также имеют большое значение для успешной реабилитации.

Механизм развития
Провоцирующие факторы, вызывающие кислородное голодание, приводят к отмиранию белого вещества нервных клеток в первые часы после рождения ребенка. Нейроциты с полноценными функциями перерождаются в патологическую ткань. На 7-14 сутки эти ткани превращаются в кисты перивентрикулярного типа, пустотные или наполненные жидкостью. Завершающий этап формирования патологии – образование рубцовой ткани на нервных волокнах. Пораженная зона атрофируется.
Перивентрикулярная лейкомаляция у недоношенных детей поражает боковые желудочки мозга плода внутриутробно, если беременность осложняется пиелонефритом, гепатитом. Избежать церебрального поражения плода можно, если женщина постоянно наблюдается у врача, при появлении признаков ухудшения своего состояния принимает соответствующие меры для защиты ребенка.
Поражение мозга необратимо, любое лечение этой патологии не избавляет от заболевания, оно остается с человеком на всю его жизнь.
Симптомы
Родителям трудно увидеть симптомы ПВЛ у своего недоношенного ребенка. Патология проявляется разнообразными и невыразительными признаками, которые следует дифференцировать от других нервных заболеваний. Дефицит кислорода для нервных клеток может вызвать и другие болезни.
Для перивентрикулярной лейкомаляции характерна особая клиническая картина, которую видит у грудничка детский врач:
- повышенная возбудимость, выражающаяся в частых криках, лишних движениях;
- появление судорог;
- вялые мышечные рефлексы.
У недоношенных детей ПВЛ проявляется более выраженными симптомами:
- температурными перепадами без видимых причин;
- непреходящей вялостью, сонливостью;
- нарушениями сосательного и глотательного рефлексов;
- расстройствами сна, дыхания;
- парезами конечностей;
- зрительными нарушениями в заметном косоглазии.
Внешние проявления патологии в раннем возрасте сами по себе стихают, взрослым кажется, что лейкомаляция была либо ошибочным диагнозом, либо прошла. Но к году она показывает свои симптомы в явном дефиците ЦНС, видимом отставании в развитии.
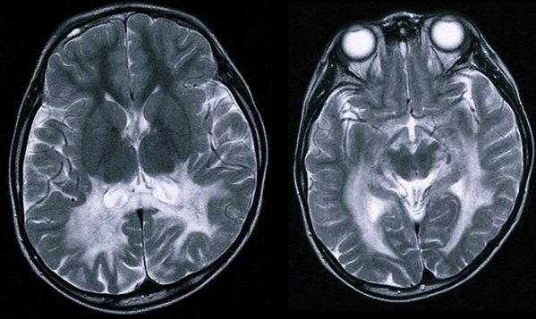
МКБ-10 классифицирует несколько видов поражения мозга, которые врачам важно дифференцировать от ПВЛ: церебральная лейкомаляция, глиоз, поликистозная энцефаломаляция, субкортикальная лейкомаляция. Их симптомы схожи, разницу клинической картины показывает своевременно сделанная МРТ.
МРТ детям делают под наркозом, потому что они не в состоянии без движения вылежать необходимое время обследования.
Перивентрикулярная лейкомаляция (ПВЛ) — это заболевание, которое часто обсуждается среди медицинских специалистов и родителей недоношенных детей. Многие отмечают, что основными причинами ПВЛ являются недостаток кислорода и нарушения кровообращения в мозге. Симптомы могут варьироваться от легких неврологических отклонений до более серьезных проблем с моторикой и когнитивными функциями. Родители делятся своими переживаниями о том, как важно раннее выявление и диагностика, что позволяет начать лечение на ранних стадиях. Лечение ПВЛ в основном включает реабилитационные мероприятия, физиотерапию и, в некоторых случаях, медикаментозную терапию. Обсуждения на форумах показывают, что поддержка со стороны специалистов и других родителей играет ключевую роль в процессе адаптации и восстановления.

Диагностика
В современных перинатальных центрах детям в первые дни после рождения неонатолог назначает проведение НСГ – нейросонографии, если у врача есть подозрения на развитие патологии в головном мозге. Это обследование показывает сформировавшиеся во внутриутробном развитии кисты и полости, локализующиеся в боковых долях полушарий.
Информативным методом обследования состояния головного мозга является УЗИ, которое специалисты могут сделать ребенку, пока еще не закрыт родничок. Аккуратными движениями врач двигает и поворачивает датчик на месте родничка, просматривая все ткани мозга.
Ранняя диагностика позволяет выявить степени церебрального поражения тканей мозга у новорожденных: легкую, среднюю, тяжелую; повышает вероятность установления правильного диагноза, назначение направленного лечения.
Легкая степень ПВЛ показывает симптомы кислородного голодания в течение 1 недели после рождения малютки. К 7 дням состояние малыша стабилизируется, приходит в соответствие возрастным нормам. При средней степени ПВЛ патогномоничные признаки сохраняются до 2-х недель, могут проявиться судорожные приступы, угасание рефлексов. Такое состояние для малыша опасно дальнейшими последствиями, нарушением вегетатики, нервной проводимости, нарушением речи, поэтому обязательно требуется наблюдение и лечение у детского невропатолога.
Тяжелая степень ПВЛ проявляется в длительном угнетении ЦНС вплоть до комы. Состояние угрожает жизни ребенка, его лечат в условиях реанимации. Если врачам удается вывести малютку из коматозного состояния, то ему на всю жизнь грозит инвалидность.
Лечение
Новорожденным с нарушенными функциями дыхания дают Сурфаксин, Альвеофакт, позволяющие со временем перейти с искусственной вентиляции легких на естественное дыхание. При признаках ослабленного дыхания ребенка возвращают в кювез и вновь дают препараты, поддерживающие дыхательные функции.
В годовалом возрасте лечебные рекомендации направлены на снижение последствий острой ПВЛ, проводится симптоматическая терапия. При среднем и тяжелом течении болезни врачи предупреждают, что от приема лекарства будет только временное улучшение. Киста не рассосется, основные симптомы патологии останутся. Прогноз болезни на тяжелой стадии – только инвалидность человека.
Лечат ПВЛ у детей после года:
- Мексидолом, Мексипримом, Армадином – они улучшают кислородное насыщение крови.
- Актовегином, Церебролизином – это ангиопротекторы, они укрепляют стенки сосудов.
- Нейромультивитом – отлично зарекомендовавшим себя витаминным препаратом.
- Дибазолом, Тропацином – это спазмолитики, они улучшают нервную проводимость.
- Пироцетамом, Ницерголином – ноотропами, улучшающими артериальное кровоснабжение и функции мозга.
- Карбамазепином, Зептолом, Конвулексом – противосудорожными и противоэпилептическими средствами.
- Диакарбом – для снижения внутричерепного давления; с ним вместе обязателен прием кальцийсодержащих препаратов.
- Мелиссой, Валерианой, Пионом – мягкими седативными средствами, допустимыми с раннего возраста.
Разовые и суточные дозы приема препарата рассчитывает невропатолог по возрасту, весу, состоянию ребенка. Родителям запрещается менять или нарушать режим приема препаратов, это влечет необратимые последствия.

Вопрос-ответ
Какова причина перивентрикулярной лейкомаляции?
Расстройство вызвано недостатком кислорода или притока крови к перивентрикулярной области мозга . Перивентрикулярная область — это область вокруг желудочков (заполненные жидкостью полости/пространства в мозге), где нервные волокна передают сообщения от мозга к мышцам тела.
Когда появляется ПВЛ?
Факторами риска ПВЛ у детей с ЭНМТ являются: врожденная инфекция (хориоамнионит, сепсис), нарушения фето-плацентарного и маточно-плацентарного кровотока, нестабильность показателей артериального давления у ребенка. Типичная ультразвуковая картина кистозной ПВЛ развивается к 3–6 неделе.
Может ли перивентрикулярная лейкомаляция возникнуть у взрослых?
Некоторых случаях. Зоны. У младенца, возникающие в результате ишемического инфаркта в перивентрикулярных артериальных конечных и пограничных зонах при рождении. 1 У взрослых его возникновение встречается редко .
Что такое PVL?
Перивентрикулярная лейкомаляция — это гипоксически-ишемическая энцефалопатия, характеризующаяся поражением белого вещества головного мозга новорожденных. Состояние чаще возникает у недоношенных, провоцируется патологиями течения беременности и родов, неадекватной респираторной поддержкой в постнатальном периоде.
Советы
СОВЕТ №1
Обратите внимание на ранние симптомы. Перивентрикулярная лейкомаляция может проявляться различными неврологическими признаками, такими как задержка в развитии, проблемы с координацией и тонусом мышц. Регулярные осмотры у педиатра помогут выявить эти симптомы на ранней стадии.
СОВЕТ №2
Следите за состоянием здоровья вашего ребенка. Если у вас есть риск преждевременных родов или другие факторы, способствующие развитию ПВЛ, важно вести здоровый образ жизни во время беременности и регулярно проходить медицинские обследования.
СОВЕТ №3
Обсуждайте с врачом возможные методы лечения. Лечение перивентрикулярной лейкомаляции может включать физиотерапию, логопедию и другие реабилитационные мероприятия. Консультируйтесь с медицинскими специалистами для выбора наиболее подходящего подхода для вашего ребенка.
СОВЕТ №4
Поддерживайте эмоциональное здоровье. Забота о ребенке с ПВЛ может быть эмоционально сложной. Не забывайте о поддержке со стороны семьи и друзей, а также о возможности обратиться к психологу или группе поддержки для родителей.


