
Гипертензия головного мозга – опасное заболевание, в процессе развития которого наблюдается увеличение давления во внутричерепной полости. Это синдром повышенного интракраниального давления. Формирование данного патологического процесса могут спровоцировать различные факторы (травмы, специфические болезни, проблемы с обменом веществ, интоксикация и т.п.). Внутричерепную гипертензию не стоит путать с гипертонией (артериальной гипертензией) и гипотензией (патологическое снижение артериального давления).
Вне зависимости от причин, внутричерепная гипертензия (ВЧГ) будет иметь весьма характерную симптоматику, выраженную сильными головными болями распирающего характера. Болевой синдром при этом зачастую комбинируется с тошнотой, рвотой, ухудшением зрения, памяти и интеллектуальных способностей.
Признаки, проявления и основные симптомы внутричерепной гипертензии у детей и взрослых будут зависеть от причин, вызвавших болезнь, и продолжительности развития патологического состояния. Чтобы диагностировать данное заболевание, используются специальные методики обследования. Лечить гипертензию врачи могут с помощью хирургического вмешательства или же умеренным консервативным путем (в зависимости от показаний и состояния человека).
Причины развития заболевания
Человеческий мозг располагается в полости черепа, специальной костной коробке, размеры которой по достижении определенного возраста уже не могут измениться. Во внутричерепной полости располагаются мозговые структуры, ликвор (спинномозговая жидкость), кровь. Все они имеют определенные размеры, всем отведен определенный объем. Формирование ликвора происходит в мозговых желудочках, по специальным путям он проходит в другие структуры мозга, в спинной мозг, попадает в кровеносную систему. Для крови в мозгу существует венозное и артериальное русло.
Если хотя бы одна структура мозга человека начинает увеличиваться в своих размерах и занимать во внутричерепном пространстве больший объем, чем предусмотрено, то, соответственно, происходит и повышение внутричерепного давления.
- Обычно давление начинает повышаться из-за определенных проблем с ликвором. Наиболее частными случаями подобного патологического процесса являются:
- Излишняя продукция спинномозговой жидкости.
- Нарушение оттока ликвора (может возникать по разным причинам).
- Ухудшение всасывания спинномозговой жидкости кровеносной системой и отдельными структурами мозга.
- Повышение давления во внутричерепной полости практически всегда будет наблюдаться в случаях нарушения кровообращения, вызванного недостаточным притоком артериальной крови и ее застоем в венозном русле. Подобный патологический процесс приводит к увеличению общего объема крови во внутричерепной полости, в результате чего возрастают показатели давления.
- В ряде случаев наблюдается увеличение объема тканей мозговых структур из-за формирующегося отека, развития опухолевого процесса (доброкачественных и злокачественных новообразований). Из-за отека будет происходить смещение разных структур мозга, что и приводит к головным болям, а также развитию опасных последствий.
Причин, которые могут привести к внутричерепной гипертензии, может быть множество. Именно поэтому в процессе постановки диагноза крайне важно сначала определить, почему начало повышаться давление в полости черепа. Начинаться лечение заболевания должно именно с устранения первопричины его развития.
Также можно выделить огромное количество факторов, которые потенциально могут спровоцировать (у грудничков, детей, взрослых) развитие внутричерепной гипертензии:
- Черепно-мозговые травмы разной степени тяжести (способны привести к формированию гематом и отеков во внутренних мозговых структурах). В ряде случаев ВЧГ возникает и при получении родовых травм новорожденными младенцами.
- Новообразования, различные опухолевые процессы, развивающиеся в полости черепа. К гипертензии также могут привести метастазы опухолей, расположенных в других частях организма человека.
- Острые и хронические заболевания, вызывающие патологии кровообращения в головном мозге (тромбоз, инсульт и т.п.).
- Воспаления, вызванные развитием различных болезней (чаще всего: менингит, запущенные формы гайморита, энцефалит).
- Врожденные отклонения, связанные с неправильным строением мозга ребенка (мозговых структур, сосудистой системы, костей черепа и т.д.).
- Интоксикация (чрезмерное употребление спиртных напитков, отравление угарным газом, свинцом и другими токсинами). Человека могут отравлять (что и приводит к ВЧГ) и собственные метаболиты, что зачастую происходит при циррозе.
- Патологии других внутренних органов, последствия которых связаны с нарушениями оттока венозной крови из черепной коробки (опухоли в области шеи, болезни дыхательной системы и легких, сердечные заболевания).
Это далеко не все факторы, которые могут спровоцировать возникновение внутричерепной гипертензии.
Специалисты также отдельно отмечают такое патологическое состояние, как «доброкачественная внутричерепная гипертензия» (код по МКБ-10 — G93.2). При развитии этого заболевания давление во внутричерепной полости начинает повышаться без явной на то причины. Если врачам не удалось обнаружить факторов, которые спровоцировали повышение давления, то, как ни странно, прогноз в этом случае обычно благоприятный – спустя некоторое время показатели давления приходят в норму сами по себе без соответствующей терапии.
Врачи отмечают, что внутричерепная гипертензия может быть вызвана различными факторами, включая травмы головы, опухоли, инфекционные заболевания и нарушения в венозном оттоке. Кроме того, избыточное количество ликвора или его нарушение в циркуляции также могут привести к повышению давления внутри черепа. Симптомы данного состояния варьируются, но наиболее распространенными являются головные боли, тошнота, рвота, а также изменения в зрении, такие как двоение или затуманивание. Врачи подчеркивают важность своевременной диагностики и лечения, так как игнорирование симптомов может привести к серьезным осложнениям, включая повреждение мозга. Регулярные обследования и внимательное отношение к своему здоровью помогут предотвратить развитие серьезных последствий.

ВЧГ у детей
При наличии симптомов внутричерепной гипертензии у детей лечение должно проводиться незамедлительно. Врачами могут быть использованы любые средства и возможности, чтобы предупредить развитие гипертензионно-гидроцефального синдрома. Патология у новорожденных и маленьких детей может возникнуть на фоне тяжелых родов и беременности, внутриутробных инфекций, гипоксии, врожденных патологий.
Зачастую у детей в возрасте до 1 года достаточно сложно обнаружить симптоматику, которая бы соответствовала внутричерепной гипертензии. Обычно заболевание такого типа у малышей проявляется в виде плохого сосательного рефлекса. Также у таких детей увеличен объем головы, у них часто возникает беспричинная рвота, отмечается повышенная сонливость, выделяются околородничковые вены. Для детей старшего возраста характерна более специфическая симптоматика:
- Периодические головные боли разной степени выраженности.
- Недостаточная (для возраста конкретного ребенка) двигательная активность.
- Плохое зрение, повышенная утомляемость, беспокойство.
Внутричерепная гипертензия для маленьких детей опасна тем, что может в итоге привести к появлению отсталости в развитии, смешанной гидроцефалии, слепоты, паралича. В последние годы поступает много сообщений о том, что маленьким детям ставят диагноз ВЧГ после прививки АКДС.
Симптомы
Повышающееся внутричерепное давление становится причиной сдавливания различных мозговых структур, тканей, вен, артерий, что негативным образом отражается на нормальном функционировании всех систем, расположенных в голове. Вне зависимости от причин, вызвавших ВЧГ, для заболевания характерны следующие проявления:
- Болевой синдром (распирающего, диффузного характера). Боль в голове достаточно часто проявляется у пациентов (мужчин, женщин, малышей, подростков) ближе к вечеру и утром, сразу после просыпания (это связано с тем, что к вечеру и в ночное время отток жидкости из черепной полости ухудшен). Боль тупая, у пациентов складывается ощущение давления на глазные яблоки. Обычно происходит усиление болевого синдрома во время кашля, чихания, при физических нагрузках. Зачастую это сопровождается возникновением шума в голове и головокружением. Если внутричерепное давление повышается незначительно, то вместо боли возникает ощущение тяжести.
- Повышенная утомляемость (при любых физических и интеллектуальных нагрузках). На фоне утомляемости у человека могут возникать различные психоэмоциональные расстройства и нарушения (чрезмерная раздражительность, плаксивость, нервозность и т.п.).
- Спонтанная тошнота и рвота. «Спонтанность» тошноты и рвоты при внутричерепной гипертензии обусловлена тем, что не происходит провоцирования этих симптомов внешними факторами. Также человека не тошнит во время приема пищи. Зачастую тошнота начинает постепенно формироваться при сильной головной боли и с утра на голодный желудок. В ряде случаев рвота достаточно выраженная (может «бить фонтаном»). У пациентов после рвоты отмечается облегчение состояния, снижение болевого синдрома в голове.
- Чувствительность к погоде. Один из наиболее спорных признаков ВЧГ (как и в случае с гипертоническим синдромом). Пациенты, у которых диагностирована внутричерепная гипертензия, практически всегда будут негативно реагировать на скачки атмосферного давления (в особенности перед дождем или иными осадками). В такие моменты отмечается усиление характерной для данной патологии симптоматики.
- Проблемы с нормальным функционированием вегетативной нервной системы (как и у гипертоников). Нарушения такого типа проявляются следующим образом: скачки АД, повышение потливости, ощущение сердцебиения.
- Ухудшение зрения и слуха. Это косвенные признаки внутричерепной гипертензии. Развитие зрительных и слуховых нарушений обычно происходит постепенно, поэтому к четким симптомам патологии их отнести нельзя.
Продолжительность развития описанной симптоматики, ее изменяемость, перспективы к снижению или повышению – всё это будет определяться причинами, которые вызвали ВЧГ. Поэтому крайне важно делать все необходимые обследования, чтобы выяснить первопричины возникновения заболевания.
По мере развития заболевания, если пациент не будет лечиться (либо терапия окажется неправильной), произойдет наращивание патологии, увеличение давления во внутричерепном пространстве, что приведет в итоге к усилению имеющихся симптомов и к появлению новых. Усиление симптоматики проявляется следующим образом:
- Ежедневные утренние приступы рвоты в комбинации с сильными головными болями, возникающими в любое время суток (особенно сильно подобные симптомы будут проявляться с утра). Во время рвоты у больного может возникать икота. Это крайне опасный признак, который зачастую указывает на развитие опухолевого новообразования.
- Нарушение психического здоровья человека. Помимо повышенной раздражительности и утомляемости, человек будет становиться заторможенным, медлительным, серьезно ухудшатся его интеллектуальные способности. Если не принимать лекарства и не проводить операцию (если она требуется и нет противопоказаний), то велика вероятность изменения сознания человека: оглушение, сопор, кома (последовательно).
- Повышение артериального давления, развитие артериальной гипертензии, дистонии, замедление дыхания, снижение частоты сердечных сокращений (менее 60 уд/мин), возникновение генерализованных судорог.
Наличие подобных признаков внутричерепной гипертензии требует немедленной медицинской помощи, осмотра у профильных специалистов, проведения всех необходимых диагностических обследований (МРТ, рентген, КТ и т.д.). Данная симптоматика представляет серьезную опасность для здоровья и жизни человека. Она указывает на существенное увеличение объемов формирующегося отека в мозговых структурах, которые могут быть им защемлены.
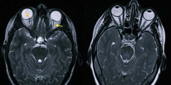
Если при синдроме внутричерепной гипертензии симптомы не будут купированы с помощью медикаментов и хирургического вмешательства, а продолжат развиваться, то произойдет резкое ухудшение зрения. Поэтому при подозрении на ВЧГ пациента обязательно отправляют пройти окулиста, который проведет осмотр глазного дна. В процессе проведения этой процедуры могут быть выявлены застойные диски зрительных нервов. При серьезном развитии внутричерепной гипертензии, застойные диски будут сменены на их вторичную атрофию. Из-за этого происходит нарушение остроты зрения, которую будет невозможно откорректировать с помощью линз. Атрофия зачастую заканчивается тем, что человек становится полностью слепым.
При длительном проявлении симптомов ВЧГ отек начинает распирать мозговые структуры изнутри, что в ряде случаев приводит к костным изменениям: происходит истончение пластинок черепной кости, разрушение спинки турецкого седла. Подобные особенности могут быть обнаружены во время рентгенографии.
Осмотр у врача-невролога зачастую не дает каких-либо результатов, если внутричерепная гипертензия находится на первых стадиях развития. Иногда, когда синдром ВЧГ существует у человека уже достаточно давно, неврологи могут констатировать наличие изменений рефлексов, различные расстройства когнитивных функций, симптоматику Бабинского. Но подобные проявления специфичными для ВЧГ не являются, поэтому с их помощью, без проведения рентгеноскопии и других обследований, диагностировать именно внутричерепную гипертензию будет невозможно.
Внутричерепная гипертензия вызывает множество обсуждений среди пациентов и врачей. Многие люди отмечают, что основными симптомами являются сильные головные боли, которые могут усиливаться при наклонах или физической активности. Часто упоминаются и другие проявления, такие как тошнота, рвота, а также проблемы со зрением, включая двоение в глазах. Некоторые пациенты делятся своими переживаниями о том, как это состояние влияет на их повседневную жизнь, ограничивая физическую активность и снижая качество сна. Важно отметить, что причины гипертензии могут быть разнообразными: от травм головы до опухолей и инфекций. Многие люди подчеркивают необходимость ранней диагностики и обращения к специалистам, чтобы избежать серьезных последствий.

Диагностика
Если у человека имеются симптомы, указывающие на внутричерепную гипертензию, то помимо осмотра у узкопрофильных специалистов, ему назначается прохождение нескольких обследований.
- Сначала пациента отправляют к офтальмологу, который должен осмотреть глазное дно.
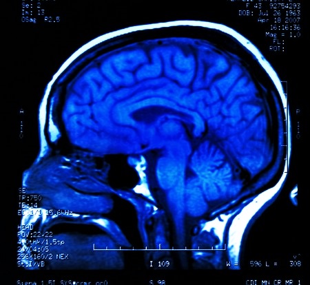
- Затем больному необходимо пройти рентгенографию и получить снимок черепа. Более предпочтительным решением в этом случае является проведение КТ или МРТ, потому что с помощью этих исследований можно будет получить данные не только о костных мозговых структурах, но и о мозговой ткани, сосудах. Эти процедуры необходимы для определения первопричины повышения давления внутри черепа.
В каждой отдельной ситуации могут использоваться различные диагностические методы и инструменты. Многое будет зависеть от возраста пациента, наличия сопутствующих заболеваний (которые потенциально могли бы привести к развитию ВЧГ) и других индивидуальных особенностей.
В ряде случаев, чтобы измерить давление внутри черепа, выполняют спинномозговую пункцию. Но в настоящее время в современных больницах подобная процедура при подозрении на ВЧГ не проводится, потому что считается нецелесообразным измерять внутричерепное давление исключительно в диагностических целях.
Лечение
Лечение внутричерепной гипертензии может быть начато в тот момент, когда будет достоверно установлена первопричина развития патологии. Это связано с тем, что терапевтические тактики, в зависимости от причин, вызвавших заболевание, будут различаться. Нельзя без точного диагноза начинать лечение, т.к. зачастую оно будет или бессмысленным, или опасным для здоровья человека.
Как только будет поставлен точный диагноз, начинается лечение основной патологии, которая привела к появлению внутричерепной гипертензии.
- Это могут быть опухолевые новообразования, гематомы, которые удаляются хирургическим путем. После удаления лишней крови (при гематоме) и новообразования внутричерепное давление приходит в норму без проведения дополнительного лечения с помощью каких-либо медикаментозных препаратов и народных средств.
- Если развитие ВЧГ произошло из-за возникновения воспалительного процесса (к примеру, на фоне менингита или энцефалита), то пациенту назначаются антибиотики. Препараты такого типа, если патология сложная, могут вводиться больному непосредственно в субарахноидальное пространство с извлечением ликвора (подобный подход позволяет уменьшить давление внутри черепа при каждой процедуре).
- Для симптоматического снижения внутричерепного давления назначают мочегонные лекарства.
Больным обязательно показан особый питьевой режим (потребление минимального количества жидкости в день), что позволяет уменьшить объем жидкости, которая будет поступать в мозговые структуры. В ряде случаев при ВЧГ также назначают иглоукалывание, остеопатические процедуры, ЛФК, массажи.
В особо сложных случаях, когда патология находится на поздних стадиях развития или же при отсутствии эффекта от лечения медикаментозными средствами, назначается проведение операции. Тип хирургического воздействия, объем проводимых мероприятий и многие другие аспекты операции будут зависеть от ряда факторов, поэтому в каждом случае всё будет определяться персонально.
Чаще всего, если при ВЧГ требуется операция, выполняется традиционное шунтирование (формирование отдельного хода для оттока ликвора). Для этого берется шунт (трубка), который располагают между ликворным пространством и сердцем, брюшной полостью, что позволяет обеспечить постоянный отток жидкости из внутричерепной части и привести в норму давление.
В ситуациях, когда давление внутри черепа увеличивается стремительно, возникает угроза для жизни пациента, поэтому в этих случаях используются неотложные меры:
- вводятся гиперсмолярные растворы;
- выполняется срочная интубация;
- проводится искусственная вентиляция легких;
- пациент вводится в искусственную кому;
- излишки ликвора выводятся пункцией.
В качестве крайней меры, когда другие лечебные мероприятия не приносят должного эффекта, врачами выполняется декомпрессионная трепанация черепа. Смысл этого хирургического вмешательства заключается в том, чтобы сформировать искусственный дефект черепа. В этом случае мозговые структуры в процессе развития отека не будут «упираться» в кости.

Вопрос-ответ
Почему возникает внутричерепная гипертензия?
Возникает в результате увеличения объёма внутричерепного содержимого: спинномозговой жидкости (ликвора), тканевой жидкости (отёк мозга), крови (венозный застой) или появления инородной ткани (например, при опухоли мозга).
Что может спровоцировать повышение внутричерепного давления?
Причинами патологий, вызывающими повышенное внутричерепное давление у больного, являются: ситуации черепно мозговых травм (ЧМТ), опухоли, излияние крови внутри черепа, менингоэнцефалит (поражается мозг), гидроцефалия («водянка» из-за ликвора), лишний вес, излишняя жидкость, а также иные факторы, когда объём жидкости
Какие симптомы у внутричерепного давления?
Периодическая головная боль различной интенсивности, раздражительность, ухудшение внимания и слабость, головокружение и падение артериального давления, тошнота, озноб, перепады эмоционального фона (эмоциональная лабильность), ухудшение зрения.
Советы
СОВЕТ №1
Обратите внимание на симптомы. Если вы испытываете постоянные головные боли, тошноту, рвоту, изменения в зрении или сознании, это может быть признаком внутричерепной гипертензии. Не игнорируйте эти симптомы и проконсультируйтесь с врачом.
СОВЕТ №2
Регулярно проходите медицинские обследования. Если у вас есть предрасположенность к заболеваниям, связанным с внутричерепной гипертензией, такие как травмы головы или опухоли, важно регулярно проверять свое здоровье у специалиста.
СОВЕТ №3
Следите за своим образом жизни. Правильное питание, регулярные физические нагрузки и достаточное количество сна могут помочь снизить риск развития внутричерепной гипертензии. Избегайте стрессов и старайтесь поддерживать психоэмоциональное равновесие.
СОВЕТ №4
Не занимайтесь самолечением. Если у вас есть подозрения на внутричерепную гипертензию, не пытайтесь самостоятельно лечить это состояние. Обратитесь к врачу для получения профессиональной помощи и назначения необходимых исследований.






