
Болезнь Денди-Уокера – это природная аномалия, протекающая в головном мозге. При подобном недуге ликворная система развита в недостаточной степени, как следствие отсутствует всасывание спинномозговой жидкости, что приводит к нарушению питания и обменных процессов в головном мозге. Из-за этого происходит аномальное развитие черепной коробки, поскольку начинается расширение костей благодаря давлению ликвора. Заболевание диагностируется практически сразу после рождения младенца, причем зачастую недуг проявляется у девочек, мальчики подвержены данной болезни в редких случаях.
Источники, провоцирующие формирование болезни
Сегодня специалисты продолжают спорить о том, каковы источники, провоцирующие формирование болезни. Некоторыми врачами утверждается, что мальформация Денди-Уокера – это отправное структурное отставание в развитии головного мозга. Иными считается, что болезнь начинает развиваться при высоком пренатальном выделении цереброспинальной жидкости и возникшего благодаря этому нарушению формирования мозжечка и наращиванию объемов задней ямки черепа.
Основой формирования недуга бывает чрезмерно высоко расположенная палатка мозжечка и поднятие находящегося в её основании поперечного синуса. Иногда заболевание бывает связано с наличием таких недугов:
- Сирингомиелии – хроническая болезнь, которой подвержены в основном молодые и люди в среднем возрасте. Для данного недуга характерно формирование пустот в спинном мозге, в основном в зоне шеи;
- Агенезии (природного недостатка) мозолистого тела;
- Окклюзии в ликворопроводящей системе, как следствие происходит нарушение протекания питательных процессов и метаболизма меж кровотоком и мозгом;
- Аномального увеличения в объемах пустот, которые располагаются в головном мозге, благодаря чему происходит повышение давления внутри черепа и рост головы в объеме.
О точных источниках, провоцирующих образование подобного недуга, неизвестно. Специалисты предполагают, что фактором, приводящим к образованию этой болезни, может стать:
- Вирусное инфицирование;
- Употребление беременной женщиной спиртного;
- Наличие сахарного диабета у представительницы женского пола в положении.
В особенности воздействуют данные источники в первые три месяца беременности – приблизительно 7-10 недельный срок формирования будущего малыша, когда активно строится головной мозг ребёнка. В отдельных ситуациях источником недуга может стать наследственный фактор.
Врачи отмечают, что синдром Денди-Уокера является редким врожденным заболеванием, которое связано с аномалиями развития мозжечка и четвертого желудочка. Основными причинами возникновения данного синдрома могут быть генетические факторы, а также влияние неблагоприятных условий во время беременности, таких как инфекции или токсические вещества. Прогноз для пациентов с синдромом Денди-Уокера варьируется в зависимости от степени выраженности симптомов и наличия сопутствующих заболеваний. Многие пациенты могут вести относительно нормальную жизнь, однако у некоторых могут развиваться серьезные неврологические нарушения. Врачи подчеркивают важность ранней диагностики и комплексного подхода к лечению, включая реабилитацию и поддержку, что может значительно улучшить качество жизни пациентов.

Симптоматика болезни
Подобная болезнь в развитии малыша определяется, когда проводится УЗИ уже вначале беременности. А именно, вся симптоматика этого недуга видна уже к 20-й неделе. Основное доказательство появления патологии – это всевозможные показатели, свидетельствующие о поражении в головном мозге: ясно видно кистозное формирование в ямке черепной коробки, плохо развивается мозжечок, чрезмерно расширен 4-й желудочек. Причем УЗИ-показатели ярче выражаются по мере того, как развивается плод.
В дальнейшем можно заметить образование расщелин в области твердого нёба и губ, неправильное формирование почечной системы и порока. В случае, когда ультразвуковое исследование вследствие каких-то причин у беременной не проводилось, признаки синдрома можно заметить невооруженным глазом после появления новорожденного на свет. Благодаря высокому внутричерепному давлению такой ребенок зачастую очень беспокоен. У него формируется гидроцефалия со спазмом мускулатуры и нистагм. Иногда симптоматика гидроцефалии может отсутствовать.
Изначально можно заметить формирование такой симптоматики:
- Атрезии (зарастания либо природного недостатка) отверстия Мажанди и Лушки;
- Расширение в объемах задней ямки черепа;
- Отмирания мозжечковых полушарий;
- Появление кистозного формирования и свища;
- Гидроцефалии на разных стадиях.
Данная симптоматика хорошо видна при проведении УЗИ будущего ребенка. По этой причине немаловажным является регулярное проведение исследований и сдача анализов будущей матерью.
У детей
Подобное заболевание считают детским. Эта болезнь достаточно редко проявляется, её симптомы заметны, когда формируется плод, при проведении УЗИ. Если же по каким-то причинам обследование не сделали, для ребенка это чревато довольно серьезными осложнениями.
В дальнейшем появляется заметная мозжечковая симптоматика. У детей постарше происходит расстройство двигательной координации, по этой причине они с трудом двигаются и ходят (в отдельных ситуациях даже совсем не умеют). Основной признак – почти неизлечимая отсталость в интеллектуальном развитии. Можно заметить и развитие сопутствующих проблем: заболевания почечной и сердечной систем, неправильное формирование пальцев, лица и рук, а также нарушение зрительной функции.
Синдром Денди-Уокера вызывает множество вопросов и обсуждений среди пациентов и их семей. Многие люди отмечают, что недостаток информации о причинах этого состояния создает чувство неопределенности. Исследования показывают, что синдром может быть связан с генетическими факторами, а также с аномалиями в развитии мозга. Некоторые пациенты сообщают о наличии сопутствующих заболеваний, что усложняет диагностику и лечение.
Прогноз для больных варьируется: некоторые могут вести относительно нормальную жизнь, в то время как другие сталкиваются с серьезными неврологическими проблемами. Важно, чтобы пациенты получали комплексную медицинскую помощь и поддержку. Сообщества и группы поддержки играют ключевую роль в обмене опытом и информацией, помогая людям справляться с вызовами, которые приносит этот синдром.

У взрослых
Данный недуг – это клинико-анатомический вариант неправильной водянки. Для патологии характерны такие признаки, как атрезия отверстий в головном мозге и увеличение в объемах 3-го и 4-го желудочка.
Хотя такую аномалию считают природной, иногда она начинает появляться у четырехлетнего ребёнка либо позже. Длительно любые признаки этого недуга не проявляются. В отдельных ситуациях декомпенсация заметна уже в школьном либо подростковом возрасте. В редчайших ситуациях начальные показатели недуга могут появиться у взрослого человека.
Главная симптоматика этого заболевания во взрослом возрасте следующая:
- Постепенное увеличение объемов головы;
- Сильное расстройство двигательной координации, появление неточных и широких движений;
- Формирование нистагма, проявляющегося в мерцательном движении из одной стороны в иную;
- Формирование частых судорожных припадков;
- Сильно повышенный мышечный тонус (иногда проявляется спастичность). Мускулатура постоянно напряжена.
- Развивается интеллектуальная неполноценность, проявляющаяся в невозможности узнавать родных, тяжелом чтении и отличии букв, невозможности что-нибудь написать.
Виды болезни
Уровнем расстройства в анатомической структуре обусловлено выделение двух вариантов недуга Денди-Уокера: полного и неполного. Для первого характерно полное отставание в развитии червя в мозжечке, а для второго – только частичное недоразвитие.
Наличием гидроцеле в головном мозге и скопившейся жидкостью в пустотах черепа обусловлено протекание заболевания, сопровождающееся гидроцефалией, а также без неё.
Диагностирование
Когда женщина находится в положении, развитие синдрома Денди-Уокера у ребенка определяется посредством УЗИ. После рождения малыша для выявления недуга:
- Оценивается состояние ребенка, определяются первичные симптомы недуга в виде неточного движения, измененного тонуса в мышцах, увеличенной в объемах головы. Опрашивают родителей о наличии в семье детей с подобным недугом;
- Осуществляется неврологический осмотр. Выявляется наличие нистагмов, понижение тонуса в мускулатуре и иных признаков аномалии;
- Обследуют сердце на УЗИ. В процессе исследования определяется наличие пороков, и проводится оценка состояния аорты;
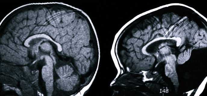
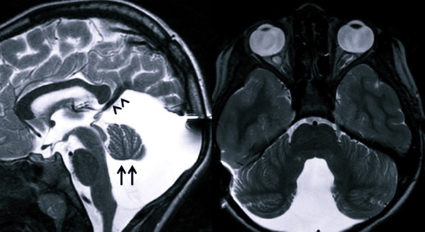
- Делается КТ и МРТ. Во время процедуры определяют факт разрастания задней ямки черепной коробки, увеличения в объемах 4-го желудочка, скопления жидкости в мозговых пустотах, недоразвитие мозжечка.
Иногда врач может назначить консультацию у генетика и нейрохирурга.
Можно ли вылечить заболевание
Недуг Денди-Уокера бывает разного уровня тяжести. Обычно у малышей, рожденных с подобной болезнью в тяжелой форме, наступает летальный исход на протяжении 1-го месяца жизни. При наличии болезни совместимой с жизнью, ребенок будет развиваться в психологическом плане довольно проблематично. Родители должны будут подготовиться к тому, что у чада будет отсталый интеллект, который невозможно переменить даже коррекционным обучением. Прогнозирование формирования ребенка, страдающего подобным недугом, крайне неблагоприятно.
Лечение подобного заболевания почти бессмысленно. Однако при нарастании гидроцефалии потребуется проведение операции. Давление внутри черепа может быть снижено посредством шунтирования 4-го желудочка мозга.
Лечение бывает лишь симптоматическое. Умственное недоразвитие у ребёнка корректировать не получится, двигательная функция в организме сильно нарушается, по этой причине зачастую малыш не может сам находиться в сидячем либо стоячем положении.
Во время лечения не стоит забывать о сопутствующих проблемах с сердцем, почками, челюстно-лицевых аномалиях. Для их устранения зачастую требуется вмешательство квалифицированных врачей.
Когда специалистом во время вынашивания ребенка выявлен данный синдром, родителям придется принять серьезное решение: сделать аборт либо сохранить малыша, которому придется на протяжении всей жизни страдать неизлечимым заболеванием.
Хирургическое вмешательство
Единственный метод хирургического лечения подобного заболевания – это шунтирование. Так симптоматика гидроцефалии становится менее выраженной, а также улучшается отхождение ликвора.
Последствия
Зачастую прогноз при такой аномалии неблагоприятен. Продолжительность жизни ребенка обусловлена наличием сопутствующего недуга. В соответствии со статистическими данными, смерть малыша может зачастую наступить, если синдром развился после родов. К серьезным осложнениям заболевания относятся:
- Интеллектуальные и психологические пороки, не исправляемые в течение всей жизни;
- Замедленная психомоторика;
- Невротические болезни, а именно, повышенный тонус мышц, поврежденная двигательная функция.
Поскольку недуг врожденный и прогрессирует на генетическом уровне, предупредить его появление не получится. Поэтому профилактические меры будут бессмысленны. Однако, пока женщина вынашивает малыша, она должна периодически обследоваться с помощью УЗИ для своевременного обнаружения развития аномалии. Беременная, если имеется подозрение на формирование у малыша синдрома Денди-Уокера, назначается прохождение ультразвукового исследования с периодичностью в несколько недель. При обнаружении патологии исследуется уровень пораженности ребенка и принимается решение о том, целесообразно ли в дальнейшем сохранять беременность.
Следует заметить, что в значительной степени увеличивается опасность формирования подобной аномалии, если женщина продолжает курить и употреблять спиртные напитки в процессе беременности. По этой причине беременным рекомендуется соблюдение здорового образа жизни, поскольку последствия, которые могут возникнуть при подобном отношении, зачастую не совмещаются с жизнью.

Вопрос-ответ
Чем опасен синдром Денди Уокера?
У большей части больных наблюдается умственная отсталость, психоэмоциональные расстройства, невозможность социализации. Наиболее распространенными осложнениями выступают сердечно-сосудистые патологии, нарушение функции почек, офтальмологические заболевания.
Что является причиной порока развития «денди-уокера»?
Во многих случаях причина неизвестна. Исходя из того, что мы знаем, возможные причины включают: Генетика: Определенные генетические синдромы связаны с пороком развития Денди-Уокера. Инфекция: Вирусная инфекция может передаваться от матери к ее развивающемуся ребенку и вызывать дефект .
Может ли ребенок выжить с синдромом Денди Уокера?
Долгосрочная выживаемость младенцев с изолированным DWS очень хорошая . Если DWS появляется с другими генетическими заболеваниями, результаты могут различаться. Раннее лечение для поддержки физического и умственного развития повышает шансы ребенка на наилучшее качество жизни, возможное для его состояния.
Какова продолжительность жизни человека с пороком развития «денди-уокера»?
Продолжительность жизни людей с DWM зависит от наличия и тяжести гидроцефалии и других сопутствующих проблем. Большинство детей с DWM доживают до взрослого возраста .
Советы
СОВЕТ №1
Обратитесь к специалисту. Если у вас или вашего ребенка диагностирован синдром Денди-Уокера, важно регулярно консультироваться с неврологом или генетиком, чтобы получить актуальную информацию о состоянии и возможных вариантах лечения.
СОВЕТ №2
Ищите поддержку. Присоединяйтесь к группам поддержки для родителей и пациентов с синдромом Денди-Уокера. Общение с людьми, которые сталкиваются с аналогичными проблемами, может помочь вам справиться с эмоциональными трудностями и обменяться полезной информацией.
СОВЕТ №3
Следите за развитием ребенка. Регулярно оценивайте физическое и умственное развитие вашего ребенка. Это поможет вам вовремя выявить возможные задержки и обратиться за дополнительной помощью, если это необходимо.
СОВЕТ №4
Изучайте информацию. Ознакомьтесь с последними исследованиями и рекомендациями по лечению синдрома Денди-Уокера. Это поможет вам быть в курсе новых методов и подходов, которые могут улучшить качество жизни пациента.



