
Отек головного мозга – неспецифичная патология, при которой наблюдается нарастание объема тканей из-за увеличения количества содержащейся в них жидкости. Данное патологическое состояние самостоятельным заболеванием не является, потому что образуется из-за воздействия всевозможных эндогенных и экзогенных факторов.
Заболевание такого типа представляет, обычно, серьезную опасность для жизни человека, потому что при его развитии начинают сдавливаться нервы, артерии, ткани, важные мозговые структуры, что неизменно приводит к нарушению работы ЦНС, зрительных и речевых центров, предстательной железы, а также множества других важнейших систем организма.
Этиология
Причин развития отека головного мозга у детей и взрослых может быть множество. Наиболее частыми из них являются:
- Инфекции (токсины повреждают нервную ткань, что и приводит к тому, что может возникнуть очаг воспалительного процесса).
- Травматизация мозга и позвоночника (например, отек мозга после аварии, оперативного вмешательства, сильного удара по голове, падения и т.д.). Место повреждения на голове после травмы в ДТП может сильно опухнуть, что обычно и происходит при ЧМТ.
- Опухолевые процессы (рак), в частности глиобластома и киста, локализованные в различных отделах мозга, которые приводят к проблемам с оттоком ликвора или смещению структур мозга.
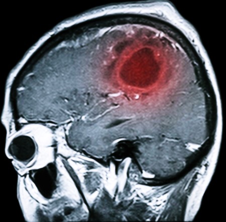
- Геморрагический инсульт, проникновение крови в субарахноидальное пространство.
- Эмболия головных сосудов с одновременным возникновением ишемического инсульта.
- Сильное облучение радиацией.
- Отравление лекарственными средствами, ядами, токсинами (крайне опасно при беременности).
- Укус энцефалитного клеща (вероятность умереть при таком патологическом процессе велика).
- Наличие метастаз в мозге из-за ракового заболевания.
- Метаболическая энцефалопатия (наблюдается при тяжелом течении почечной или печеночной недостаточности, на последних стадиях алкогольной зависимости, при диабете).
- Эклампсия.
- Водная интоксикация.
- Некоторые виды прививок (вопрос спорный).
Случается так, что мозг зачастую начинает отекать у новорожденных детей, которые появились на свет недоношенными, либо при патологическом течении родов. В этом случае отек у младенцев травматический.
Мозг может начать отекать из-за воздействия целого ряда токсинов: бензин, этиловый спирт (и другие виды спиртов), фенол, цианид и т.д. Огромное количество медикаментозных средств, которые применяются для лечения различных заболеваний и дают выраженный нейротоксический эффект, в случаях передозировки также могут привести к токсическому отеку мозга. В эту категорию медицинских препаратов входят: транквилизаторы, нейролептические препараты, антидепрессанты трициклического действия, антигистамины.
Отек головного мозга является серьезным состоянием, которое требует внимательного подхода со стороны медицинских специалистов. Врачи подчеркивают, что данное заболевание может возникать по различным причинам, включая травмы, инфекции и сосудистые нарушения. Они отмечают, что своевременная диагностика и лечение играют ключевую роль в предотвращении серьезных последствий.
Медики акцентируют внимание на том, что отек может привести к повышению внутричерепного давления, что в свою очередь может вызвать повреждение нервной ткани. Врачи рекомендуют проводить комплексное обследование, включая нейровизуализацию, для определения причины отека и выбора оптимальной стратегии лечения.
Кроме того, специалисты подчеркивают важность мониторинга состояния пациента, так как динамика отека может меняться. Врачебное мнение единодушно: раннее вмешательство и индивидуальный подход к каждому случаю являются залогом успешного восстановления.

Патогенез
Отек головного мозга развивается на фоне появления различных микроциркуляторных нарушений, которые формируются в месте дислокации патологического очага в мозговых структурах (после ишемического инсульта, травматизации головы, воспалительного процесса, опухолевого новообразования).
Начинается развитие местной перифокальной отечности. Если течение заболевания будет тяжелым, то в условиях отсутствия лечения или неправильного выбора терапевтической методики наблюдается появление нарушений функционирования сосудов.
Также поднимается гидростатическое внутрисосудистое давление. Из-за этих процессов часть крови выходит через сосудистые стенки, проникая в церебральные ткани. Это, в свою очередь, приводит к развитию генерализированного отека и последующего набухания мозга.
В развитии патологии, если говорить в общем, основную роль играют три основных триггера:
- Увеличение проницаемости сосудистых стенок в головном мозге.
- Артериальная гипертензия.
- Расширение сосудов, что становится причиной выраженного увеличения давления в капиллярах церебральной ткани.
Также стоит отметить наличие определенной склонности мозговых тканей к накапливанию жидкости, если имеется дефицит кровоснабжения.
У взрослого человека и у ребенка школьного возраста показатели внутричерепного давления варьируются в пределах от 4 до 16 мм.рт.ст. При кашле или чихании наблюдается увеличение давления у взрослых и малышей до уровня в 45-55 мм.рт.ст., однако данный кратковременный процесс не приводит к нарушениям в работе центральной нервной системы.
При развитии отечности в мозге внутричерепное давление стремительно растет из-за того, что увеличиваются церебральные ткани. В результате того, что патологическая зона начала отекать, сдавливаются сосуды, что становится причиной усугубления микроциркуляторных нарушений. На фоне всего этого также наблюдается развитие ишемии клеток мозга. В огромных количествах начинают гибнуть клетки нервной ткани из-за метаболических расстройств (обычно из-за дефицита кислорода). Миндалины мозжечка вклиниваются в зрительный и речевой центр, что приводит к сбоям в их работе. Причем внешне на голове возникает лишь небольшая припухлость (и то не всегда).
В случае стремительного увеличения внутричерепного давления также зачастую происходит перемещение церебральных структур, которые пролегают ниже опухоли. Существует вероятность ущемления мозгового ствола в затылочной части. В этой зоне располагаются терморегуляторный, сердечнососудистый, дыхательный центры. Именно поэтому при нарушении их работы может наступить смерть человека.
Виды отеков головного мозга
Перед тем, как рассказать о симптомах отека головного мозга, нужно отметить, что данная патология может развиваться в четырех основных формах:
- Цитостатическая.
- Вазогенная.
- Осмотическая.
- Интерстициальная.
Чаще всего у людей бывает вазогенный отек, который начинает развиваться на фоне увеличения уровня проницаемости гематоэнцефалического барьера. Важный патологический процесс при этом заболевании – переход жидкости из сосудов в белое вещество мозга. Отечность в этом случае обычно начинает появляться в месте опухолевого процесса, ишемии, зоне проведения операции или абсцессных проявлений.
Цитостатическая форма – это следствие нарушения работы глиальных клеток, а также расстройств при процессах осморегуляции нейронных мембран. Развитие наблюдается обычно в сером веществе. Основные причины отека головного мозга в этом случае: интоксикация, ишемия, дефицит кислорода в мозговых тканях, проникновение вирусов. Отчасти лечением данной патологии занимаются специалисты в области неврологии.
Осмотическая форма проявляется при увеличении осмолярности церебральных тканей. При этом практически никогда не нарушается нормальное функционирование гематоэнцефалического барьера. Развивается заболевание на фоне энцефалопатии, неправильно проведенного гемодиализа, полидипсии, утоплении.
Интерстициальная форма примечательна тем, что отек начинает формироваться возле церебральных желудочков, когда часть спинномозговой жидкости начинает проникать через их стенки.
Отек головного мозга — это серьезное состояние, о котором говорят многие, особенно в медицинских кругах и среди пациентов. Люди часто делятся своими переживаниями, описывая симптомы, такие как головные боли, спутанность сознания и нарушения координации. В социальных сетях можно встретить истории о борьбе с этим недугом, где пациенты рассказывают о своих ощущениях и процессе лечения. Некоторые отмечают, что своевременная диагностика и лечение играют ключевую роль в восстановлении. В то же время, существует много мифов и недопонимания, связанных с этой проблемой. Многие считают, что отек головного мозга — это приговор, однако врачи подчеркивают, что при правильном подходе шансы на выздоровление значительно увеличиваются. Обсуждения на форумах и в группах поддержки помогают людям не только получить информацию, но и найти моральную поддержку в трудные времена.

Симптомы
Несмотря на причины и последствия отека головного мозга, в любом случае клиника заболевания будет включать в себя очаговую и общемозговую симптоматику. Очередность появления признаков патологии будет зависеть от первопричин развития кровоизлияния. Форма заболевания может быть молниеносной (требуется немедленная помощь, ведется настоящая борьба за выживание больного, высока вероятность летального исхода) и постепенной (есть небольшой временной промежуток, который позволяет без проблем не допустить гибели пациента).
К основным симптомам мозговой гематомы отечного типа можно отнести:
- Помрачнение сознания. Этот признак будет проявляться в любой случае, вне зависимости от причин заболевания. Помрачнение сознания может быть по-разному выражено: приступы эпилепсии, стопорное состояние, сопор, кома, помутнение сознания, обморок. Развитие отечности всегда будет сопровождаться наращиванием глубины обморочного состояния человека.
- Боли в голове. Головные боли в результате развития отека наблюдаются только у тех пациентов, которые имеют в анамнезе острую форму какой-то патологии мозга.
- Симптоматика менингита. При развитии воспаления, опухоли, отека в мозговых структурах часто проявляются менингеальные симптомы. Должно настораживать их наличие у пожилых пациентов, т.к. подобная симптоматика для них крайне опасна.
- Очаговая симптоматика. Обычно признаки такого типа регистрируются на стадии развития отечности. У больного может быть нарушено движение конечностей, развивается паралич половины туловища и лица. Также зачастую наблюдаются проблемы с работой зрительного и речевого центра, визуальные и звуковые галлюцинации, сложности с координацией движений. Традиционно отек мозга, приводящий к потере сознания больным, приводит к невозможности ведения высшей нервной деятельности.
- Судороги. По мере увеличения зоны отечности могут проявиться непродолжительные судороги, которые длятся всего несколько минут. Высшая степень этого симптома – развитие мышечной атонии.
- Снижение АД, нестабильный пульс. Опасная симптоматика, которая наглядно свидетельствует о том, что отек распространяется на ствол, где находятся основные центры ЦНС, отвечающие за жизнедеятельность организма.
Последствия отека мозга будут напрямую зависеть от терапевтического влияния, формы патологии, возраста пациента и ряда других факторов. Причем крайне сложно ликвидировать отек полностью (это возможно только у больных молодого возраста). Чаще всего отечность не удается убрать полностью, поэтому последствием заболевания является инвалидность.
Диагностика
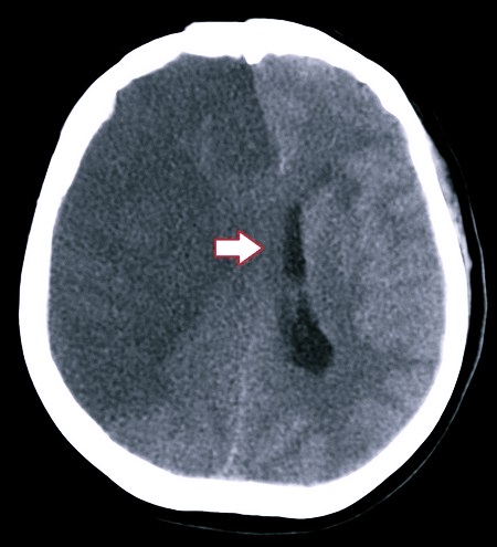
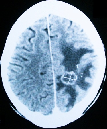
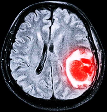
Для диагностики заболевания используются различные современные методы: МРТ, КТ, УЗИ и многие другие. Если форма патологии не молниеносная, то заподозрить наличие заболевания может невролог, который отметит прогресс ухудшения состояния больного, наращивание процессов нарушения сознания вместе с симптоматикой менингита.
Чтобы подтвердить диагноз, используются методы магнитно-резонансной и компьютерной томографии.
Люмбальная пункция выполняется далеко не во всех случаях, потому что есть определенная опасность, что церебральные структуры в результате развивающегося отека сменили свое местоположение одновременно со сдавливанием ствола. Также помогают в постановке диагноза: биохимия крови, сбор анамнеза, анализ неврологического статуса, нейровизуализирующие обследования.
Учитывая тот факт, что отек головного мозга вызывает серьезные осложнения, а сам пациент зачастую нуждается в неотложной помощи, диагностирование должно отнимать минимальное количество времени. Диагностика выполняется в условиях стационара с одновременным проведением всех необходимых терапевтических мероприятий. После больного помещают в реанимацию или интенсивную терапию.
Лечение
Если у человека после ДТП, удара, падения или по любой другой причине проявляются признаки отека мозга, то необходимо предпринять целый комплекс мер. При выраженной симптоматике требуется обеспечить приток свежего воздуха к больному, проследить за тем, чтобы в дыхательный тракт не попали рвотные массы.
При наличии высокой температуры рекомендуется охладить голову пакетиком льда. За счет этого также произойдет расширение сосудов, что позволит обеспечить улучшение циркуляции крови. Если есть такая возможность, на человека надо обязательно надеть кислородную маску.
Сразу после оказания первой помощи больного необходимо транспортировать в больницу в лежачем состоянии.
При лечении отека мозга зачастую применяется дегидратационная терапия, с помощью которой из тканей выводится лишняя жидкость. Для проведения терапии используются следующие лекарства:
- Петлевые диуретики (в высокой дозировке, что позволяет обеспечить формирование выраженного мочегонного эффекта).
- Осмотические диуретики (обычно назначаются сразу после постановки диагноза, вместе с петлевыми препаратами осмотические лекарства позволяют обеспечить качественный эффект дегидратации).
- Гиперсмолярные растворы (увеличивают давление плазмы, улучшают работу диуретиков, обеспечивают снабжение нервных клеток полезными веществами).
- L-лизина эсцинат (позволяет вывести лишнюю жидкость из мозговых тканей без выраженного мочегонного действия, снижает симптомы отечности во внутримозговом пространстве, снимает выраженность воспаления).
При отеке мозга крайне важно быстро установить причину развития патологии, а также начать лечение сопутствующей симптоматики. Поэтому после поступления в реанимацию врачи отслеживают у пациента работу сердца, симптомы интоксикации, температуру тела, проводят лечение антибиотиками, выводят токсины из организма, удаляют опухолевые новообразования.
Также медики часто делают операции по дренированию ликвора (для этого формируются обходные пути для течения спинномозговой жидкости). С точки зрения хирургии, эта процедура позволяет уменьшить внутричерепное давление, снизить отечность, частично обеспечить удаление отека. В послеоперационный период показана длительная реабилитация. При наличии онкологии (если это стало причиной появления отека) обязательно проводится лучевая терапия.
Лечить отек мозга народными средствами в домашних условиях нельзя – при наличии подозрения на такую патологию больному оказывают неотложную помощь и отправляют в реанимацию, терапия в которой может длиться не один день. Убрать внутреннюю гематому народными средствами не получится. При отсутствии адекватного лечения в течение нескольких дней после начала развития патологии больные с высокой долей вероятности погибают из-за возникающих осложнений.
Восстановление
Процессы возникновения осложнений, их тяжесть и выраженность, будут напрямую зависеть от качества и оперативности оказания медицинской помощи. Восстановительные мероприятия после проведенной операции осуществляются в стационаре. Если в процессе развития отечности головного мозга были задеты зрительный и речевой центры, зона опорно-двигательного аппарата, то человеку придется заново учиться ходить и говорить.
Последствия после острой стадии заболевания не всегда будут серьезными, но в ряде случаев есть вероятность и летального исхода. Патология такого типа, с учетом индивидуальности клинических проявлений, множества причин возникновения, практически всегда остается непредсказуемой для врачей, поэтому в любом случае всегда рассматриваются три основных пути течения заболевания:
- Последующее развитие патологии, сдавливание мозговых структур отеком, смерть человека.
- Устранение отечности, инвалидность пациента.
- Ликвидация отека без каких-либо серьезных последствий.
По мировой статистике, пять из десяти пациентов, у которых был диагностирован отек мозга, умирают в течение нескольких суток после начала развития патологического процесса.

Вопрос-ответ
Что происходит с человеком при отеке головного мозга?
При отеке полушарий мозга происходит нарушение сознания, появляются генерализованные клонические судороги. Отек подкорковых и глубинных структур приводит к психомоторному возбуждению, гиперкинезам, появлению хватательных и защитных рефлексов и др.
Можно ли снять отек головного мозга?
Поэтому в тяжелых случаях единственный действенный способ лечения при отеке головного мозга – это хирургическое вмешательство. Не допустить опасной и требующей длительной реабилитации терапии можно, обратившись к врачу при первых же симптомах отека головного мозга.
Можно ли спасти при отеке мозга?
Изолированно (отдельно) отек и набухание не встречаются, эти процессы взаимосвязаны и всегда происходят одновременно. Медицинская помощь должна быть оказана немедленно, иначе спасти пациента невозможно. Нужно отметить, что другие органы человеческого тела тоже отекают во время болезни.
Как распознать отек головного мозга?
Расстройство сознания – от легкого помрачения до состояния комы при отеке мозга, судороги – возникают при прогрессировании отека, мышечная атония – развивается после судорог, оболочечные симптомы.
Советы
СОВЕТ №1
Обратитесь к врачу при первых признаках отека головного мозга, такими как головная боль, тошнота, рвота или изменения в сознании. Быстрая медицинская помощь может предотвратить серьезные последствия.
СОВЕТ №2
Следите за своим здоровьем и избегайте факторов риска, таких как травмы головы, высокое кровяное давление и инфекции. Регулярные медицинские осмотры помогут выявить потенциальные проблемы на ранних стадиях.
СОВЕТ №3
Если вам уже поставлен диагноз отека головного мозга, строго следуйте рекомендациям врача и не прерывайте курс лечения. Это может включать прием медикаментов и соблюдение режима отдыха.
СОВЕТ №4
Изучите методы профилактики отека головного мозга, такие как контроль уровня сахара в крови, поддержание нормального веса и отказ от вредных привычек, чтобы снизить риск возникновения данной проблемы в будущем.







