
Глиоз головного мозга – довольно распространенная патология. Это идиопатический процесс. Он возникает при травмах тканей или сосудов мозга. Поврежденные ткани быстро замещаются клетками глии. Вещество разрастается и заменяет неработоспособные или утраченные нейроны.
Это тяжелое состояние, которое нередко приводит к инвалидности и даже гибели.
Суть процесса
Глиоз поражает нервные ткани в результате запуска особого механизма – при повреждении мозга. Клетки и волокна глии замещают утраченные нейроны. Происходят вторичные кистозно-глиозные изменения. Когда глия разрастается, очаги повреждения изолируются, создается защита неповрежденных тканей. Кистозно-глиозные изменения головного мозга напоминают рубцевание раны.
Величина поражения может быть разной. При расчете этого показателя учитывают соотношение доли разросшейся глии к клеткам ЦНС в единице объема. Если развивается глиоз головного мозга, прогноз зависит от степени разрастания участков поражения. Этот патологический процесс может вызвать серьезные нарушения функций мозга. Вылечить его невозможно. Если установить генез, можно замедлить или приостановить развитие болезни.
Врачи отмечают, что очаги глиозных изменений в головном мозге могут быть следствием различных патологий, включая травмы, инсульты и нейродегенеративные заболевания. Глиоз — это процесс, при котором глиальные клетки, отвечающие за поддержку нейронов, начинают пролиферировать в ответ на повреждение. Специалисты подчеркивают, что наличие таких изменений не всегда свидетельствует о серьезном заболевании, однако требует внимательного наблюдения. Важно учитывать клинические проявления и сопутствующие факторы, такие как возраст пациента и его анамнез. Врачи рекомендуют проводить регулярные обследования и использовать современные методы визуализации для мониторинга состояния мозга. Это позволяет своевременно выявлять и корректировать возможные осложнения, что в конечном итоге способствует улучшению качества жизни пациентов.

Из каких клеток состоит ЦНС
Чтобы понять, как развиваются глиозные изменения головного мозга, следует разобраться в том, из чего состоит ЦНС.
- Нейроны. Это основные и самые важные клетки нервной системы. Именно они генерируют и передают импульсы. Эта система имеет сложную структуру.
- Эпендимы. Данные клетки выстилают центральный канал спинного мозга, а также желудочки головного мозга.
- Нейроглии. Эти клетки нервной системы являются вспомогательными. Их достаточно много. Общий объем нейроглии в ЦНС – 40-50 %. Их больше, чем столь важных нейронов, в 10-50 раз. Они защищают нервные ткани, восстанавливают их после травм, инфекций, обеспечивают обменные процессы. Без глии невозможна нормальная работа нейронов. Глия замещает их в случае гибели, обеспечивает заживление.
Виды заболевания
Могут образовываться как единичные очаги глиоза, так и обширные поражения. По расположению выделяют такие виды:
- Анизоморфный (расположение хаотичное, многочисленное).
- Волокнистый (продолговатые участки, более выражены волокна, чем клетки глии).
- Изоморфный (волокна располагаются относительно правильно).
- Диффузный (глия распространяется на больших участках головного и спинного мозга).
- Субэпендимальный (глия разрастается под эпиндимой).
- Субкортикальный (разросшийся рубец располагается под корой мозга).
- Периваскулярный (глия располагается локально вокруг сосудов, которые воспалились и склерозировались. Часто это множественные изменения).
- Маргинальный (глия разрастается под оболочками мозга).
Ткань глии может быстро расти. При первых подозрениях на патологию следует посоветоваться с невропатологом. Нельзя упускать время. Реакция организма может быть очень острой. Часто развивается судорожный синдром. Трансформация нейронов в ткань глии означает утрату части функций мозга. Пострадавший участок уже никогда не восстановится. Фиброзная ткань не может выполнять функции нейронов. Изменения носят постоянный характер.
Очаги глиоза – это патологическое разрастание глии, при котором разрушенные нейроны замещаются. Поражение может быть парциальным, то есть частичным, или множественным. Появление очагов могут обусловить такие патологии:
- рассеянный склероз;
- воспаления (энцефалиты);
- туберозный склероз;
- гипоксия;
- эпилепсия;
- энцефалопатия;
- длительная гипертония;
- травма новорожденного при родах;
- ЧМТ (черепно-мозговая травма), сильный удар;
- гипертензивная энцефалопатия в хронической форме;
- осложнения после операции;
- химиотерапия.
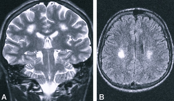
Чтобы выявить очаги глиоза, применяют МРТ. Процедура позволяет определить размер и локализацию очага, его порог. На основе этих данных в комплексе с другими исследованиями, анализами невропатолог может установить точную причину появления очагов поражения, а также предвидеть возможные последствия.
Часто страдает вся гемисфера (полушарие) мозга. Поврежденная сторона утрачивает много своих функций.
Опасно, если поврежден мозжечок. Он отвечает за координацию, тонус мышц и т.д.
Клинически глиоз может никак не проявляться. Нередко его обнаруживают случайно. Легче обнаружить обширный процесс. Он очень опасный, прежде всего тем, что может повлиять на работу внутренних органов, рефлексы.
Если после МРТ в медицинской карте появилась запись «признаки глиоза», это вовсе не означает, что такой диагноз уже поставлен. Он является предположением. Это лишь повод пройти детальное обследование у невропатолога. Если подтвердится атрофия, лечить нужно будет не сам очаг, а причину, которая спровоцировала его появление.
Очаги глиозных изменений головного мозга вызывают множество обсуждений среди медицинских специалистов и пациентов. Многие люди, столкнувшиеся с этой проблемой, описывают свои переживания как тревожные и запутанные. Врачи объясняют, что глиоз — это реакция мозга на повреждения, воспаления или другие патологические процессы. Часто пациенты задаются вопросом о причинах появления этих изменений и их возможных последствиях. Некоторые отмечают, что информация о глиозе может быть противоречивой, что вызывает дополнительный стресс. Важно, чтобы пациенты получали доступ к качественной информации и поддержке, чтобы лучше понимать свое состояние и принимать обоснованные решения о лечении. Общение с врачами и другими людьми, имеющими схожие проблемы, может помочь снять напряжение и найти пути к восстановлению.

Глиоз головного мозга
При этом заболевании глиальные ткани быстро разрастаются. Они занимают большой объем. Образуются шрамы, спайки. Такие изменения происходят в местах некроза. Это может быть постишемический процесс. Большинство невропатологов считает, что глиоз мозга – не самостоятельное заболевание, а результат других патологий. Они и влияют на конкретные признаки. У разных пациентов глиоз может развиваться по-разному, отличаться размером, типом, локализацией и т.д.
Глиоз – это защитная реакция нашего организма, который пытается восполнить утраченные нейроны. На месте некроза происходит рубцевание. С одной стороны рубец защищает здоровые ткани, а с другой – наносит вред процессу передачи импульса нейронами.
Наследственный глиоз
Наследственная форма не оставляет никаких шансов на излечение. Это крайне тяжелое состояние, которое развивается постепенно. Наследственный глиоз мозга может прогрессировать при нарушении жирового обмена. При генетически обусловленной форме болезни сильно поражается ЦНС.
Данная форма редко встречается. Она связана с тем, что один из генов мутирует. Нарушается синтез вещества гексозоаминидаза. Этот фермент участвует в расщеплении жиров. Они накапливаются в клетках ЦНС, препятствуя нормальной их работе.
Если родители стали носителями такого гена, вероятность заболеть глиозом составляет 25%.
Одна из форм патологии – заболевание Тея-Сакса. Часто встречается, если родителями стали близкие родственники. Если у новорожденного глиоз, первые несколько месяцев он нормально развивается. После 4-6 месяцев начинается регресс. Страдает умственная и физическая сферы. Постепенно пропадает зрение, слух, глотательный рефлекс, мышцы атрофируются, появляются судороги, в конце наблюдается паралич. Такие дети могут прожить максимум до 4-х лет.
Причины
Еще раз подчеркнем, что это не самостоятельное заболевание, а результат ряда патологий, при которых атрофируются ткани мозга.
Глиоз может стать итогом приема наркотиков и отдельных лекарственных препаратов. Медики также установили зависимость между развитием глиоза и алкоголизмом.
Умеренное употребление спиртного улучшает кровообращение, обмен веществ в головном мозге. А вот при чрезмерном распитии алкоголя происходят деструктивные изменения.
Наркотики также вызывают атрофию тканей мозга. Это подтвердили многочисленные медицинские исследования. У наркоманов появляются очаги некроза, воспаляются сосуды. Начальная стадия глиоза наблюдается даже у тех больных, которые вынуждены были принимать наркотические препараты для лечения заболеваний.
Характерные симптомы
Из-за очагов глиоза нарушается мозговая активность, атрофируются ткани. Со временем наблюдаются симптомы различных заболеваний ЦНС:
- Головная боль. Она носит регулярный характер. Голова может болеть с разной интенсивностью, чаще всего это сильная боль. Нередко она появляется в те моменты, когда человек пытается сосредоточиться, занимается умственной деятельностью. Часто так дают о себе знать глиозные изменения после полученных травм, особенно если была поражена область виска. Мозг в этой зоне отвечает за ассоциации. Головная боль считается прямым симптомом глиоза.
- Скачет давление. Такое часто наблюдается при сосудистом глиозе. Он серьезно влияет на показатели артериального давления. Из-за того, что передавливаются кровеносные сосуды и атрофируются ткани, просвет сосудов сужается. Нарушается кровообращение. Это ухудшает самочувствие человека, появляются спонтанные перепады давления.
- Головокружение, судороги. Они фиксируются, если глиозу способствовала хирургическая операция или травма. Даже маленькое повреждение мозга чревато большими последствиями.
- Неврологические симптомы, нарушение в ЦНС. Такое наблюдается на поздних стадиях развития этой патологии. Чтобы определить, какая область мозга поражена, используют инструментальную диагностику.
В чем опасность
Последствия глиоза напрямую связаны с его расположением и тем катализатором, который спровоцировал патологию. Его могут вызвать энцефалиты, скачки давления, травмы, рассеянный склероз, гипертензия.
На прогноз и продолжительность жизни влияет степень повреждений мозга. Если затронуты отделы, которые регулируют функции внутренних органов и систем, прогноз неблагоприятный. Благоприятный исход можно обеспечить ранней диагностикой и своевременным комплексным лечением. Важно бороться не с самим глиозом, а с его причиной. Терапию должен назначать опытный невролог.
Методы диагностики
Данную патологию легко перепутать с другими заболеваниями и травматическими изменениями. Очень важно точно установить причины, которые спровоцировали перерождение тканей мозга. Для этого сейчас широко применяются инструментальные методы:
- ЭЭГ. Поможет выявить нарушения в работе нейронов. Такое исследование назначают, если нарушена активность мозга. Диагностическая процедура обнаруживает патологическую судорожную активность, что способствует предотвращению новых припадков.
- Томография (КТ, МРТ). Визуально покажет состояние мозга, поможет определить объем и локализацию повреждений. При томографии можно легко выявить заболевания сосудистого генезиса. МРТ фиксирует нарушенный обмен веществ, рубцы, опухоли и т.д. При помощи МРТ можно диагностировать глиоз белого вещества в лобных долях. Другими методами этот процесс не выявить. Именно МРТ позволяет обнаружить перивентрикулярный глиоз, который поражает зоны около желудочков мозга. Также этот метод помогает диагностировать периферические и перифокальные поражения.
Эти методы позволяют выявить также источник, спровоцировавший патологические изменения.
Глиозные изменения лобных долей часто наблюдаются в пожилом возрасте. При этом нет сопутствующих патологий.
Лечение
Сейчас нет эффективной методики лечения подобных рубцов. После того, как будет проведена общая диагностика всех сохранившихся функций организма, невропатолог назначит симптоматическое лечение. Оно будет направлено на катализатор, который и спровоцировал появление рубцов. Задача препаратов – снижение его влияния. Также назначаются средства, которые помогут избежать появления новых очагов.
Важную роль играет готовность больного выполнять все предписания невропатолога. Он должен не только принимать лекарства, но и придерживаться диеты, отказаться от вредных привычек, вести активную жизнь. Нужно бороться всеми доступными способами.
Легкая форма глиоза позволяет купировать очаг и сохранить здоровые участки. Чтобы зоны глиоза не росли дальше, выполняется ряд профилактических мер. Важно не только принимать медикаменты, но и ограничить себя в потреблении жирного. Большое количество животных жиров плохо влияет на состояние мозга.
Глиоз у плода можно выявить на 18-20-й неделе. При этом берется на анализ амниотическая жидкость. Если точно установлено, что плод болен, беременность рекомендуется прервать.
Стоит уточнить, что лечение относительно эффективно лишь при негенетических формах заболевания.
Традиционные методы лечения
Медикаментозную терапию подбирает невропатолог. Она будет пожизненной. В отдельных случаях можно остановить патологический процесс. Это не отдельное заболевание. Ни один из существующих препаратов не в силах справиться с дегенеративными изменениями мозга.
В традиционной медицине используется три направления:
- Профилактика. На ранних этапах развития подобных изменений организм еще способен сам с ними справиться. Врач может порекомендовать рациональное питание, отказ от алкоголя, курения, ведение активного образа жизни.
- Лечение медикаментами. Консервативная терапия поможет облегчить состояние, восстановить некоторые утраченные функции. Назначаются препараты-стимуляторы мозговой активности. Также применяются средства, повышающие проводимость нейронов, укрепляющие артерии, восстанавливающие эластичность сосудов. Если есть атеросклероз, назначаются препараты для его лечения.
- Хирургическое вмешательство. Помощь нейрохирурга требуется в редких случаях. Операцию проводят тем пациентам, которые страдают от эпилепсии, судорог, нарушений работы внутренних органов. Если очагов много, они не подлежат хирургическому лечению. Таким пациентам назначают консервативное лечение пожизненно. При операции хирург может удалить опухоль, отвести ликвор, шунтировать сосуд.
Возможности народной медицины
В данном вопросе народная медицина мало чем сможет помочь. Народные методы иногда применяют на ранних этапах. Их задача – удалить появившиеся мелкие очаги, стабилизировать состояние, улучшить обмен веществ, стабилизировать кровообращение.
Замечено, что глиоз может спровоцировать лишний вес. Такое состояние губительно для сосудов, в том числе и сосудов мозга. Народные методы помогают организовать лечебное голодание. Также практикуется сыроедение, разгрузочные дни.
Травы, отвары, настойки помогут улучшить обмен веществ, устранить неприятные симптомы. Часто используют клевер луговой, дискореим, болиголов, лечебные сборы.
Осложнения, последствия
Чаще всего данная патология не вызывает явных симптомов. В этом ее коварство. При больших очагах, поразивших нейроны, может:
- Страдать интеллект.
- Появиться проблемы с речью, памятью.
- Скакать давление.
- Развиться астения.
- Появиться парез, паралич.
- Нарушаться координация.
- Появиться зрительные, слуховые патологии.
- Деформироваться психика.
- Развиться деменция (слабоумие).
Чаще подобная беда случается со взрослыми людьми. В таком случае человеку становится сложно выполнять даже простейшую трудовую деятельность. Он не может водить автомобиль, его освобождают от службы в армии.
Осложнения могут быть очень тяжелыми. Все зависит от того, какие размеры имеет шрам, насколько активна патология, которая спровоцировала его появление.
Вывод
Глиоз крайне опасен не только для здоровья, но и для жизни. Если глиальных клеток образуется слишком много, последствия будут несовместимы с жизнью. В лучшем случае такие люди утрачивают способность обслуживать себя, становятся инвалидами.
Чтобы лечение принесло желаемый эффект, важно устранить причину, которая привела к столь серьезным изменениям. Если катализатор не устранить, ни способы официальной медицины, ни народной не будут эффективными. Берегите свое здоровье!

Вопрос-ответ
Чем опасны очаги глиоза в головном мозге?
Появление большого количества очагов глиоза, особенно, если они сливные, — основание для проведения дополнительных диагностических процедур. Большое количество очагов может вызывать клиническую симптоматику, то есть поражение центральной нервной системы.
Что такое глиозные изменения в головном мозге?
По мере того, как нейроны гибнут в результате естественных или патологических причин, они замещаются глиозной тканью. Глиозом называется патологическое разрастание глиозной ткани, появление крупных единичных или множественных очагов соединительной ткани (по виду они напоминают рубцы) в структурах головного мозга.
Нужно ли лечить глиоз?
Недуг не подлежит лечению, потому как это – не самостоятельное заболевание, а следствие патологических процессов в организме. Обнаружив заболевание, лечат не саму болезнь, а первопричину ее образования. Чтобы избежать разрастания очагов, врачами рекомендуется отказаться от приема жирной пищи.
Что значит очаговые изменения в головном мозге?
Очаговые изменения могут быть результатом некроза, гнойных процессов, ишемии, воспаления тканей, разрушения нервных волокон и т. П. Фокальная патология на МР-сканах почти всегда свидетельствует о развитии серьезного заболевания, а в некоторых случаях указывает на опасность для жизни больного.
Советы
СОВЕТ №1
Регулярно проходите медицинские обследования. Если у вас есть предрасположенность к заболеваниям головного мозга или вы замечаете изменения в своем здоровье, важно своевременно обращаться к врачу для диагностики и контроля состояния.
СОВЕТ №2
Обратите внимание на свое питание. Здоровая диета, богатая антиоксидантами, омега-3 жирными кислотами и витаминами группы B, может поддерживать здоровье мозга и снижать риск развития глиозных изменений.
СОВЕТ №3
Поддерживайте активный образ жизни. Регулярные физические упражнения способствуют улучшению кровообращения в мозге и могут помочь в профилактике различных неврологических заболеваний.
СОВЕТ №4
Управляйте стрессом. Хронический стресс может негативно сказываться на здоровье мозга. Практикуйте методы релаксации, такие как медитация, йога или дыхательные упражнения, чтобы снизить уровень стресса.







