
Киста головного мозга – довольно опасный для человека диагноз, после установления которого необходимо строго соблюдать все предписания и рекомендации лечащего врача. Если заболевание было выявлено на ранних стадиях и пациент выполняет все указания, то в большинстве случаев удается предотвратить проявление нежелательных осложнений. Кистообразная опухоль может находиться в любом месте черепной коробки: именно от этого в большей мере и зависят развитие патологии и особенности лечения.
Что это такое?
Киста в головном мозге – это объемное доброкачественное образование внутри черепной коробки, которое имеет вид полости, заполненной жидкостью. Нередко оно имеет скрытое субклиническое течение, не сопровождающееся постепенным увеличением габаритов. В основном подозрение на появление кисты внутри головы возникает, если человек страдает эпилептическими пароксизмами либо внутричерепной гипертензией. Одной из особенностей данного заболевания головного мозга является то, что у значительной доли пациентов проявляются симптомы, соответствующие очагу образования кисты – это означает, что для диагностики достаточно всего лишь КТ и МРТ, а также нейросонографии для обследования новорожденного младенца или уже подросшего ребенка.
Многие современные нейрохирурги утверждают, что при правильном подходе к лечению локальное скопление жидкости во внутримозговом веществе либо оболочках не представляет слишком большой опасности ни для взрослого пациента, ни для ребенка.
Маленькие по размеру образования обычно отличаются субклиническим течением и поэтому их выявляют совершенно случайно путем нейровизуализирующего обследования головы. Если же киста имеет достаточно большие объемы, то из-за ограниченного интракраниального пространства она может стать причиной развития внутричерепной гипертензии, впоследствии чего произойдет сильное сдавливание соседних мозговых структур.
Клинически значимые размеры этого доброкачественного образования значительно варьируются и зависят от места его возникновения, а также компенсаторных возможностей кисты. Например, у маленького ребенка черепные кости более податливые, за счет чего латентное течение заболевания на протяжении долгого времени не сопровождается выраженной ликворной гипертензией.
Диагностировать образование можно в самые разные периоды человеческой жизни: начиная с рождения и заканчивая пожилым возрастом. Одна из специфических особенностей болезни заключается в том, что даже врожденная киста в голове у взрослого пациента чаще всего обнаруживается после достижения им 30-50-летнего возраста, а не в младенчестве.
Врачи подчеркивают, что киста головного мозга может представлять собой серьезную проблему, однако не всегда она является опасной. Многие кисты не вызывают симптомов и обнаруживаются случайно при проведении МРТ или КТ. Тем не менее, если киста начинает увеличиваться в размерах или располагается в критической области, это может привести к различным неврологическим нарушениям, таким как головные боли, судороги или проблемы с координацией. Врачи рекомендуют регулярное наблюдение за состоянием пациента и, при необходимости, проведение дополнительных исследований. Важно помнить, что своевременная диагностика и лечение могут значительно снизить риски, связанные с этой патологией.

Классификация
Кисты, которые образуются внутри оболочек головного мозга, разделяют на несколько видов по месту их локализации:
- Арахноидальные – это заполненные жидкостью пазухи, возникающие между двумя соседними мозговыми оболочками;
- Внутримозговые – доброкачественные опухоли, месторасположением которых является толща тканей левого или правого полушария головного мозга.
Кроме того, специалисты классифицируют кисты и по происхождению:
- Врожденные – следствие значительного нарушения внутриутробного развития плода. Также распространенной причиной болезни в данном случае может стать гибель большей части тканей мозга из-за внутриродовой асфиксии;
- Приобретенные – этот вид кисты развивается, как правило, вследствие получения различных травм головы, сильных кровотечений либо воспалительных процессов, имеющих разную природу.
Еще одна классификация основана на особенностях тканей, из которых была сформирована обнаруженная киста:
- Арахноидальная – киста, напоминающая небольшое сферическое образование, внутри которого находится спинномозговая жидкость. Следует отметить, что женщины страдают от нее гораздо реже, чем мужчины. Если опухоль не увеличивается со временем, то врачи не проводят пациенту оперативное вмешательство: осуществляется только регулярное наблюдение с целью выявления возможных изменений. В противном случае нельзя пренебрегать хирургическим методом удаления образования.
- Киста коллоидального типа – она представляет собой доброкачественное образование, развитие которого начинается еще при формировании центральной нервной системы (ЦНС). Обычно заболевание протекает без каких-либо симптомов до той поры, пока не достигнет критических параметров. После этого начинается блок оттока жидкости, которая проходит через головной мозг, и зачастую развивается гидроцефалия. В таких условиях назначается срочная операция, чтобы убрать опасную опухоль.
- Дермоидальную кисту еще нередко называют дермоидом – это аномалия развития человеческого головного мозга, при котором зародышевые клетки, предназначающиеся для формирования тканей лобной, височной и других частей фронтальной стороны лица, продолжают оставаться между спинным и головным мозгом. Тут поможет только хирургия.
- Эпидермоидная (эпидермоид) – разновидность кисты, характерной особенностью которой является формирование из зародышевых клеток, требующихся человеку для развития кожи, ногтей и волос. Избавиться от нее с помощью медикаментозных средств невозможно, необходим лишь хирургический способ устранения этого сплетения;
- Пинеальная киста – шишковидное тело, которое может иметь разные размеры. Ее диагностируют примерно у 1-4% пациентов. Характерным симптомом заболевания является возникновение достаточно сильной головной боли в случае поднятия глаз кверху, но у большинства людей киста не вызывает дискомфорта.
Причины возникновения
К факторам, которые оказывают влияние на появление врожденной кисты головного мозга, относятся практически все неблагоприятные воздействия на плод в антенатальный период беременности. Наиболее распространенными причинам развития болезни называют следующие:
- Проникновение в кровь плода различных внутриутробных инфекций;
- Фетоплацентарная недостаточность;
- Если женщина в период вынашивания ребенка принимала лекарственные препараты, которые оказывают тератогенное действие;
- Резус-конфликт;
- Гипоксия плода;
- Травма во время родов;
- Если внутриутробное развитие ребенка происходило в условиях отравления наркотическими средствами, никотином либо спиртными напитками;
- Если у будущей матери диагностировали хроническую декомпенсированную болезнь.
Киста приобретенного типа имеет другие причины развития:
- Получение черепно-мозговой травмы в любом возрасте;
- Нанесение достаточно сильного удара в затылочную и теменную область;
- Перенесение разных заболеваний воспалительной этиологии, к которым относятся арахноидит, энцефалит, менингит, а также абсцесс головного мозга;
- Ряд острых нарушений внутримозговой циркуляции крови, наступающих после приступа геморрагического либо ишемического инсульта, церебрального паралича тела, субарахноидального кровоизлияния в мозг;
- Постинсультное осложнение;
- Лакунарный инсульт и инфаркт мозга;
- Субэпидермальная ишемия;
- Постгеморрагическое осложнение.
Нередко приобретенная опухоль имеет паразитарное происхождение (при парагоминозе, эхинококкозе, церебральном тениозе).
Врачи выделяют тип образования с ятрогенным происхождением. Фактором, вызывающим его, называют послеоперационные осложнения. Кроме того, в голове могут протекать дегенеративные либо дистрофические процессы, провоцирующие замещение кистой церебральных тканей.
Дополнительно медики выделяют ряд факторов, которые «заставляют» доброкачественное кистозное образование постоянно расти, приводя к серьезным осложнениям:
- Различные нейроинфекции;
- Всевозможные травмы головы разной степени тяжести;
- Протекание воспалительных процессов внутри черепной коробки, вне зависимости от их природы;
- Развитие гидроцефалии;
- Сосудистые нарушения, включая инсульт и ухудшение венозного оттока из черепной полости.
Киста головного мозга вызывает у людей множество вопросов и опасений. Многие считают, что это заболевание неизбежно приведет к серьезным последствиям, таким как потеря памяти, судороги или даже смерть. Однако, на самом деле, кисты бывают разные: некоторые из них не требуют лечения и не оказывают влияния на здоровье. Важно понимать, что многие пациенты живут с кистами, не подозревая об их наличии. Тем не менее, существует и другая сторона медали — кисты могут вызывать головные боли, нарушения зрения и другие симптомы, если начинают расти или давить на окружающие структуры. Поэтому регулярные обследования и консультации с врачом играют ключевую роль в управлении состоянием. В конечном итоге, информация и поддержка специалистов помогают развеять страхи и лучше понять, как жить с этим диагнозом.

Симптомы заболевания
Киста головного мозга зачастую имеет следующие симптомы:
- Часто повторяющиеся и продолжительные приступы головной боли;
- Регулярные головокружения;
- Внутри черепной коробки ощущается сильная пульсация в левом и правом полушарии, которая практически всегда мучает пациента;
- Мешает полноценно жить чувство давления, а также распирания в голове;
- Заметное ухудшение координации движений всех частей тела;
- Нарушение слуха и появление постороннего шума в ушах;
- Ухудшение зрения, которое может проявляться размытостью объектов и их раздвоением;
- Возникновение галлюцинаций;
- Значительное снижение уровня чувствительности поверхности кожных покровов;
- Паралич;
- Парез верхних и нижних конечностей;
- Развитие рассеянного склероза;
- Базальный пневмосклероз;
- Аневризма кровеносных сосудов;
- Довольно частые эпилептические припадки;
- Выраженный тремор верхних и нижних конечностей;
- Частые потери сознания;
- Приступы тошноты, обычно сопровождающиеся рвотой;
- Отсутствие полноценного сна.
Специалисты утверждают, что если опухоль обладает клинически незначимыми параметрами, то в большинстве случаев полностью отсутствуют какие-либо из множественных признаков заболевания. Однако при достижении полостью крупных объемов за короткий промежуток времени проявляется характерная клиническая картина, особенности которой определяются локализацией опухоли, силой сдавливания окружающих ее тканей и степенью ухудшения оттока церебральной мозговой жидкости.
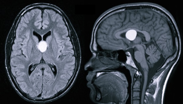
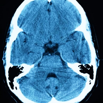
Особенности диагностики
На сегодняшний день основными методами диагностики и последующего прогноза данной болезни являются МРТ (магнитно-резонансная томография) и КТ. Полученная томограмма показывает состояние всех составляющих мозга (эпифиза, мозжечка, гипофиза, нервных ганглий и других частей). С ее помощью можно увидеть место расположения перивентрикулярного глиозного очага и атрофических рубцовых следов внутри головного мозга без вскрытия черепной коробки, оценить их форму, размеры и интраселлярный рост.
Кроме того, данные способы обследования позволяют сделать дифференциальную диагностику промежуточного состояния между доброкачественной кистой и злокачественной опухолью. После внутривенного введения специального контрастного вещества его продукт накапливается в опухолевых тканях, а киста при этом не становится контрастной.
Также нередко проводится эндоскопия и доплеровское ультразвуковое сканирование кровеносных сосудов с целью исследования их состояния, кровоснабжения тканей мозга, выявления локализации ишемии, в которой и активизируется образование кист.
Для уточнения диагноза врач может назначить пациенту ЭКГ и Эхо-КГ, использующиеся для проверки наличия симптомов сердечной недостаточности, присутствия сбоев в работе сердца, приводящих к ухудшению кровоснабжения всех частей мозга и появлению зон ишемии.
Постоянное измерение артериального давления дает специалисту возможность определить серьезность риска развития приступа инсульта, который может быть не только причиной возникновения так называемой «послеинсультной кисты», но и смертельно опасной для человеческой жизни.
Бывает, что пациентам назначаются и другие анализы:
- Проведение анализов крови для точного определения причины заболевания;
- Определение маркеров воспаления;
- Выявление различных аутоиммунных процессов, негативно сказывающихся на общем состоянии организма;
- Исследование степени свертываемости крови;
- Определение концентрации холестерина в крови;
- Наличие инфекций в организме пациента.
Лечение
Если у человека диагностирована киста головного мозга, необходимо подобрать лечение, которое будет максимально эффективным и позволит полностью вылечить данное заболевание, приостановить увеличения размеров кисты, а также предотвратить возникновение каких-либо осложнений.
Способ лечения болезни зависит от локализации образования и его размеров. Если параметры кисты соответствуют установленным нормам и не несут опасности для человеческой жизни, то, как правило, назначается традиционная терапия: гомеопатия с применением индивидуально подобранных препаратов, к которым у пациента нет никаких противопоказаний. Достаточно часто назначаются лекарства, содержащие железо. Такие медикаменты способствуют укреплению кровеносных сосудов и улучшению кровоснабжения.
Если киста постепенно увеличивается в размерах, оказывая повышенное давление на соседние части головного мозга, то не следует ждать, пока она рассосется самостоятельно. Подобный случай, как и заметное ухудшение самочувствия пациента, является показанием к хирургическому вмешательству и проведению операции с помощью лазера. Данная процедура позволяет полностью избавиться от полости, наполненной жидкостью.
Многие люди занимаются лечением народными средствами. Согласно результатам многочисленных исследований, положительно влияют на лечение заболевания средства, приготовленные на основе девясила и лопуха. Они замедляют рост кисты, улучшают кровообращение, нормализуют внутричерепное давление. Кроме того, часто врачи рекомендуют человеку, в головном мозге которого выявлена киста, соблюдать сбалансированное диетическое питание.
Киста головного мозга считается одним из достаточно распространенных заболеваний. Даже с учётом, что это доброкачественное образование, оно может привести к серьезным последствиям. Поэтому за кистой даже маленького объема требуется постоянное наблюдение. Чтобы вылечиться и забыть о данной проблеме, пациенту необходимо строго соблюдать все назначения лечащего врача. Таким образом, можно избежать хирургического вмешательства и обойтись только лекарственными препаратами и средствами народной медицины.
https://youtube.com/watch?v=Q2Ci-jFmO18
Вопрос-ответ
Можно ли вылечить кисту в головном мозге?
Болезнь успешно излечивается, в первую очередь, благодаря огромному опыту врачей. Нейрохирурги клиники, специалисты международного уровня, удаляют кисты мозга щадящими, эндоскопическими методами, не нарушающими целостность и функционирование мозга. Ключевую роль в успешности лечения играет своевременная диагностика.
Что будет, если не удалить кисту головного мозга?
Реже кисты сопутствуют развитию опухолевого процесса в мозге. Зачастую киста увеличивается медленно, прогрессирует бессимптомно. Однако при значительных размерах возможна компрессия тканей мозга с возникновением очагового синдрома, проявления которого зависят от локализации образования.
Что провоцирует рост кисты в голове?
Причинами кисты головного мозга у ребенка и взрослых людей могут быть перенесенные инфекционные заболевания, травмы головы, воспалительные процессы, аномалии внутриутробного развития, нарушение мозгового кровообращения с образованием некроза и ишемии.
Что будет, если лопнет киста в головном мозге?
Большие полости с жидкостью могут приводить даже к параличам и парезам, спутанному сознанию, эпилепсии, тремору, обморокам. Аномалия может лопнуть, сильно сдавить головной мозг, вызвать разрыв сосуда, увеличить внутричерепное давление.
Советы
СОВЕТ №1
Регулярно проходите медицинские обследования, особенно если у вас есть предрасположенность к заболеваниям нервной системы. Раннее выявление кисты может значительно снизить риск осложнений.
СОВЕТ №2
Обратите внимание на свои симптомы. Если вы испытываете головные боли, изменения в зрении, слухе или координации, обязательно проконсультируйтесь с врачом для проведения необходимых исследований.
СОВЕТ №3
Не игнорируйте рекомендации врача. Если вам поставили диагноз кисты головного мозга, следуйте назначенному лечению и регулярно посещайте контрольные обследования для мониторинга состояния.
СОВЕТ №4
Поддерживайте здоровый образ жизни: правильно питайтесь, занимайтесь физической активностью и избегайте стрессов. Это поможет укрепить вашу иммунную систему и общее состояние здоровья, что может снизить риск развития осложнений.



