
Рассеянный склероз (РС) – тяжелое заболевание, которое может привести к инвалидности. После того как больному ставят подобный диагноз, его жизнь продолжается около 25-30 лет.
Мы расскажем все про лечение рассеянного склероза, а также опишем его виды, причины, профилактику.
С РС можно и нужно бороться. После детальной диагностики врач подробно расскажет, как лечить рассеянный склероз. Нельзя ставить на себе крест, считая, что запущенный процесс никак нельзя остановить. Если обеспечить правильную медицинскую помощь на ранней стадии, можно продлить полноценную жизнь.
Что значит этот диагноз
Энцефаломиелит или РС – это хроническое заболевание, которое поражает ЦНС. Оно описано еще в 19-м веке неврологом Жаном Мартеном.
Чтобы понять его суть, нужно вспомнить анатомию. Нервы здорового человека покрывает миелин – жироподобная оболочка, которая защищает их от всевозможных воздействий. Когда нарушается целостность миелиновой оболочки, образуются очаги дефектов – бляшки.
Именно бляшки препятствуют нормальному прохождению биоэлектрического сигнала, который направлен из периферической нервной системы к разным участкам мозга. Он буквально рассеивается. Когда заболевание прогрессирует, разрушаются уже не только миелиновые оболочки, но и поражаются рефлекторные дуги. По ним в нормальном состоянии проводится биоэлектрический сигнал. При рассеянном склерозе проходимость этого сигнала нарушена.
Заболеть может человек практически любого возраста. Случается, что болеют очень молодые люди, а иногда – даже дети. То, насколько эффективным будет лечение такого ребенка, во многом зависит не только от врачей, но и от мамы с папой.
Женщины подвержены этой патологии чаще, чем мужчины.
До сих пор точно не установлены причины РС. Подобный диагноз часто становится настоящим ударом для пациента и его родных, ведь эта болезнь неизлечима. Постепенно состояние больного ухудшается, нарушаются двигательные функции, речь и т.д.
РС может иметь разную степень развития, которая определяется по шкале неврологического дефицита. Выделяют 4 типа течения РС:
- Ремиттирующий. Это начальный тип. Он характеризуется острыми приступами, рецидивами, которые очень трудно предсказать. Когда приступ проходит, функции организма можно полностью или частично восстановить. Рецидив длится от нескольких дней до недель или нескольких месяцев. На ранней стадии развития патогенез проявляется следующими симптомами: больные быстро утомляются, чувствуют слабость в мышцах, их походка становится шаткой, появляется головокружение, может нарушаться стул, иногда в глазах двоится. Чаще всего наблюдается лишь один симптом. На этой стадии проводится иммуномодуляция, которая способна затормозить развитие РС и даже остановить его полностью.
- Первичный прогрессирующий. От этой формы чаще страдают пациенты после 40-ка. После первого рецидива через какое-то время ухудшение состояния наступает вторично.
- Вторичный прогрессирующий. Физические функции при данном типе нарушены сильнее. Поначалу он очень похож на склероз ремиттирующий, но потом быстро прогрессируют патологические процессы. Это может случиться сразу после приступа или спустя определенное время. Рецидивы в этом случае не такие частые, но выше вероятность того, что больной придет к инвалидности. Появляется атаксия (человек не может нормально использовать конечности), монопарез (парализует какую-то конечность), сильно нарушаются двигательные функции (больному трудно самостоятельно передвигаться даже на очень короткое расстояние), снижается тактильная и болевая чувствительность, может появиться кашель, учащается пульс и т.д. Во время обострения требуется лечение в условиях стационара.
- Прогрессирующе-ремиттирующий тип. Для него характерны частые острые приступы. Заболевание в этом случае может быстро прогрессировать. Все функции за короткое время снижаются, что ведет к утрате трудоспособности. Такие больные нуждаются в постоянной помощи, контроле. У них может нарушаться мочеиспускание, дефекация, утрачивается чувствительность в области туловища, развивается слабоумие, дизартрия, психосоматические нарушения. В конечном итоге они уже не способны глотать, говорить. Таких больных нужно кормить из ложечки или при помощи зонда.
Есть мнение, что простуда, грипп могут спровоцировать нетипичное поведение иммунной системы и, как следствие, – РС. Важно вылечить простудное заболевание как можно скорее, чтобы организм не был серьезно атакован вирусом.
Врачи отмечают, что подходы к лечению рассеянного склероза могут значительно различаться. Официальная медицина предлагает комплексный подход, включающий иммуносупрессивные препараты, которые помогают замедлить прогрессирование болезни и уменьшить частоту обострений. Специалисты подчеркивают важность регулярного мониторинга состояния пациента и индивидуального подбора терапии.
С другой стороны, сторонники народных методов лечения акцентируют внимание на использовании трав, диет и альтернативных практик, таких как иглоукалывание или физиотерапия. Однако врачи предупреждают, что такие методы не могут заменить традиционное лечение и могут привести к ухудшению состояния, если использовать их без консультации со специалистом. Важно, чтобы пациенты принимали обоснованные решения, основываясь на научных данных и рекомендациях врачей, чтобы обеспечить себе наилучший уход и качество жизни.

Лечение
Теперь выясним, как лечат рассеянный склероз. Об этом заболевании медикам известно уже очень давно, но действенные методы полного исцеления пока не найдены. Это вовсе не означает, что таким пациентам нельзя помочь. Терапия рассеянного склероза позволяет надолго продлить периоды ремиссии, улучшить качество жизни. На современном этапе развития медицины уже есть препараты, которые могут существенно облегчить такое состояние. Рассеянный склероз лечится комплексно. Потребуются совместные усилия невролога, физиотерапевта, реабилитолога, психолога, логопеда и других специалистов.
В лечении РС существует три тактики:
- терапия обострений;
- превентивное лечение (есть препараты, которые способны менять течение склероза);
- симптоматическая терапия.
При выборе тактики врач руководствуется тем, на какой стадии находится заболевание Его цель – сделать так, чтобы обострения случались как можно реже, а болезнь прогрессировала максимально медленно.
На эффективность лечения будут влиять разные факторы:
- тип заболевания;
- скорость прогрессирования;
- частота обострений;
- соблюдение пациентом рекомендаций врача;
- общее состояние организма и т.д.
Крайне важно приступить к терапии на самых ранних этапах развития заболевания. Тогда можно добиться устойчивой ремиссии, а сам процесс деградации замедлить. Это значит, что продлится тот отрезок жизни больного, при котором он может полноценно ею наслаждаться и сохранять трудоспособность. Проявления можно максимально уменьшить.
Сейчас смертность от РС снизилась на 30%.
К сожалению, даже самые опытные неврологи не в состоянии полностью избавить пациента от проявлений РС. Можно добиться резкой ремиссии большинства симптомов, но рецидив все-равно случится. Его можно лишь оттянуть во времени.
Если же не лечить заболевание совсем, период ремиссии будет намного меньше. После каждого следующего приступа улучшение будет все короче, а обострения начнут происходить все чаще.
Больной должен осознавать, что восстановить миелиновую оболочку – не означает обеспечить стойкую ремиссию. Сигнал поступает по так называемой рефлекторной дуге, а ее восстановить полностью не всегда удается.
В нашем организме все процессы взаимосвязаны. Чтобы обеспечить его полноценное функционирование, биоэлектрический сигнал через нервные волокна должен беспрепятственно отправляться по рефлекторным дугам к месту назначения. Крайне важно заниматься восстановлением именно рефлекторных дуг. Тогда можно обеспечить остановку патогенеза при ремиттирующей форме склероза (непостоянно прогрессирующего). В этом состоит задача терапии и реабилитации.
Современные методы лечения РС
Все, что может обеспечить современная медицина, – это максимально сократить продолжительность обострения и, по возможности, максимально продлить период ремиссии.
Задачи врачей:
- адаптировать организм пациента к появившемуся неврологическому дефициту;
- предупредить развитие всевозможных вторичных осложнений (остеопороз, инфекция мочевыводящих путей, атрофия мышц).
Терапия должна обеспечить пациенту приемлемое качество жизни.
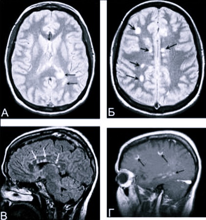
Чтобы обеспечить качественное лечение, важно установить точный диагноз. Он должен отражать вид заболевания, его причину. При диагностике могут применять такие методы:
- МРТ;
- люмбальная пункция;
- исследование потенциалов мозга.
Чем лечат рассеянный склероз сегодня? Волшебного лекарства, способного полностью излечить РС, нет, но медикаментозная терапия довольно эффективна. Сейчас широко применяются глюкокортикостероиды, моноклональные антитела, интерферон, химиопрепараты, пирацетам, витамины и т.д. Также могут назначить препарат патогенетической терапии для лечения рассеянного склероза.
На ход лечения не в последнюю очередь влияет возраст пациента. У молодых пациентов больше шансов на восстановление.
Конкретные методы лечения зависят от типа заболевания.
- Ремиттирующий тип лечится кортикостероидами. При обострении они помогают устранить воспаление ЦНС, восстановить нарушенные функции. Также назначают препараты, которые меняют течение самого заболевания. Они предотвращают появление новых обострений.
- При первично прогрессирующем типе состояние больного ухудшается с самого начала. Этот вид лечится хуже всего. Терапия сводится к постоянной борьбе с симптомами, поддержанию на должном уровне качества жизни.
- При вторично прогрессирующем склерозе назначают высокие дозы иммуномодуляторов или иммуносупрессоров.
- При ремиттирующе-прогрессирующем типе лечение такое же, как при ремитирующем развитии. Нередко назначается сразу вторая линия ПИТРС.
Нужно постоянно контролировать, как организм отвечает на лечение, как развивается заболевание. Чтобы выявить очаги демиелинизации, регулярно используют МРТ. Также исследуют кровь, определяя состояние иммунной системы.
Вовсе не означает, что все перечисленные группы препаратов должны быть задействованы в лечении. Чем лечить рассеянный склероз, решает исключительно врач-невропатолог. Самолечение недопустимо. Схема и продолжительность лечения, дозировка препаратов должны подбираться для каждого пациента индивидуально. Это очень тонкий и ответственный процесс. Задача врача – детально изучить анамнез и подобрать для отдельно взятого пациента сбалансированный список препаратов. Они должны обеспечить максимальную эффективность при минимальном вреде для здоровья.
Чаще всего лечением таких пациентов занимается невропатолог, но могут подключаться и узкие специалисты. Решающую роль здесь играет вид РС. Может потребоваться помощь нейропсихолога, ортопеда, физиотерапевта, хирурга.
Невролог, нейропсихолог помогут отрегулировать эмоциональную, когнитивную сферы, отсрочить возникновение приступов. Ортопед и физиотерапевт знают, как восстановить координацию, двигательные функции (насколько это возможно), предупредить возможные нарушения опорно-двигательного аппарата. А еще может быть необходима помощь офтальмолога, логопеда, эндокринолога, эрготерапевта, диетолога, психолога.
Люди, страдающие рассеянным склерозом, часто делятся своими мнениями о народных и официальных методах лечения. Официальная медицина предлагает комплексный подход, включая медикаменты, физиотерапию и психологическую поддержку. Многие пациенты отмечают, что современные препараты помогают замедлить прогрессирование болезни и улучшить качество жизни. Однако побочные эффекты и высокая стоимость лекарств вызывают недовольство.
С другой стороны, сторонники народных методов лечения, таких как фитотерапия, диеты и альтернативные практики, утверждают, что они помогают облегчить симптомы и укрепить иммунитет. Некоторые пациенты делятся положительными результатами от использования трав и натуральных добавок, однако научные исследования по этой теме ограничены. В итоге, многие выбирают комбинированный подход, основываясь на личном опыте и рекомендациях врачей, стремясь найти оптимальное решение для своего здоровья.

Суть фармакологического подхода при лечении РС
Главная причина РС – неправильная работа иммунитета. Лимфоциты, которые обычно защищают организм, начинают «нападать» на нейроны и разрушать их оболочку – миелин. Из-за этого патологического процесса нервные волокна спинного и головного мозга быстро разрушаются.
Лечение РС в первую очередь сводится к тому, что подавляется активность лимфоцитов и иммунитета в целом. Второй шаг – борьба с симптомами, которые могут серьезно ухудшить качество жизни и даже угрожать ей.
Симптоматическая терапия
Любой невролог согласится, что нет пациентов с одинаковым набором симптомов при РС. Течение заболевания очень индивидуально. Терапия должна убрать появившиеся симптомы или предупредить их проявление.
Один из распространенных симптомов – мышечные спазмы. Для их устранения применяют лекарства, которые могут снижать тонус мышц (они содержат баклофен, тизанидин, толперизон).
Другая распространенная проблема – нарушенное мочеиспускание. Для борьбы с ней используют левокарнитин внутривенно. Он нормализует метаболизм, устраняет тремор.
Ноотропные и стимулирующие лекарства повышают активность мозга.
Чтобы снизить иммуновоспалительный процесс, назначают кортикостероиды, адренокортикотропный гормон. Нужно постоянно следить за тем, сколько в крови содержится антител. Их избыток может спровоцировать очередное обострение. Кортикостероиды способны препятствовать этому. Они уменьшают проходимость капилляров, подавляют лимфоциты, повышают активность нейронов, но важно понимать, что само заболевание они не замедлят.
Необходимо применять иммуномодуляторы, например, интерфероны-бета, ацетат глатирамера, которые вводятся под кожу. Интерфероны-бета способны замедлить рост иммунных клеток, способствуют их разрушению, не дают мигрировать в мозг. Ацетат глатирамера – аналог миелина. Когда он оказывается внутри организма, то становится настоящей мишенью для иммунитета вместо оболочки нервных клеток.
Реабилитация
Постоянная реабилитация становится частью лечения РС. Дело в том, что по мере прогрессирования заболевания больной теряет все больше способность выполнять движения, ориентироваться в пространстве и т.д. Комплексное лечение постоянно дополняется элементами реабилитации.
Реабилитолог в каждом конкретном случае подбирает уникальный комплекс методов, задача которых – хоть немного восстановить двигательные функции. Обязательно должны использоваться упражнения для тренировки мелкой моторики. Также нужно заботиться о решении проблем с памятью. Следует улучшать способность концентрироваться. Если нарушена речь, реабилитолог будет работать в тандеме с логопедом.
Задача реабилитолога – систематично восстанавливать утраченные функции. Полностью их возобновить, скорее всего, не получится.
Для коррекции используются всевозможные методы реабилитации:
- лечебная гимнастика;
- работа с тренажерами;
- рефлексотерапия;
- физиотерапия;
- мануальная терапия;
- массаж;
- психотерапия;
- эрготерапия;
- сеансы с психологом;
- иппотерапия и т.д.
Рассмотрим отдельные методы более подробно.
Кинезитерапия. Используется для восстановления мелкой моторики, борьбы со спазмами, возобновления координации. Эти упражнения хорошо помогают разработать мышцы, суставы, развивают ловкость, скорость, восстанавливают утраченное чувство баланса, разрабатывают ходьбу.
Кинезитерапевт поможет восстановить артикуляцию, для чего применяется специальная мимическая гимнастика.
Механотерапия. Используется для того, чтобы восстановить координацию, устойчивость. Важно, чтобы реабилитолог подобрал оптимальный комплекс упражнений. При этом учитывается состояние конкретного пациента, динамика его заболевания. В современных тренажерах нередко применяются электростимуляторы, которые эффективно воздействуют на мышечную систему.
Тренажеры позволяют быстро активизировать мышечную деятельность, снять спастичность. Такая лечебная физкультура поможет безболезненно восстановить подвижность суставов, предотвратить осложнения. Особенно важно возобновить работу коленных, локтевых, голеностопных суставов, а также плечевого, лучезапястного.
Логопедические занятия помогут устранить нарушения речи. Специалист комбинирует упражнения по правильному произношению звуков с развитием автоматизации речи. Также применяются специальные аппараты, устраняющие речевые расстройства.
Нейротерапия формирует у больного возможность контролировать физиологические процессы. Сначала специалист, используя компьютерные программы, анализирует мозговую активность, а потом прицельно воздействует именно на пораженные участки. Опытные нейротерапевты способны хоть частично возобновить способность двигаться, общаться даже у парализованного пациента.
На занятиях нейропсихолог применяет аппарат, создающий виртуальную реальность. Это позволяет тренировать слух, координацию, излечивать двигательные нарушения.
Психотерапия помогает избавиться от невроза, стабилизировать неустойчивое психическое состояние, настроение. Активно используется арт-терапия, при которой больной получает возможность рисовать, лепить, выполнять аппликации. Такие занятия благотворно влияют на речь, стабилизацию эмоций. Также может применяться гипноз.
Не стоит недооценивать помощь психотерапевта, психолога. Эти специалисты вселяют в пациента чувство уверенности, оптимизм, внутреннюю силу, помогают ему наладить диалог с окружающим миром, своим организмом, преодолеть полученные травмы. Важно, чтобы человек принял то, что уже нельзя изменить и научился полноценно жить в этом состоянии. Он не должен зацикливаться на этих проблемах.
Лечебная физкультура (ЛФК) поможет улучшить общее состояние. Она будет эффективна, если удается избежать переутомления. Важно установить для себя границу, которую нельзя нарушать, чтобы не изнурять и без того подорванный болезнью организм. Чтобы сохранить тонус мышечного корсета, физическая активность просто необходима. На занятиях могут применяться мяч, валики, упражнения на скамейке, коврике. Это хороший способ повысить жизненный тонус.
Чтобы лечебная физкультура максимально приносила эффективность, в день должно быть 2-3 занятия. Их продолжительность – не более 15-ти минут. Тренер должен тщательно следить за тем, чтобы больной не переутомлялся.
Массаж улучшит кровообращение, чувствительность, моторику, способствует укреплению тонуса мышц. Частота и длительность массажа подбирается индивидуально.
Запрещено при лечебном массаже использовать вибрацию, так как она может негативно влиять на неврологические функции. Лучше применять поглаживания, разминание, растирание.
Эрготерапия помогает адаптироваться социально и в быту. Эта методика способна помочь быстро вернуться к активной жизни. На тренингах учат концентрировать внимание, правильно обрабатывать поток информации, одновременно выполнять несколько важных задач.
Занятия с эрготерапевтом проходят в специальной сенсорной комнате, эргоавтомобиле и даже эргоквартире. В таких условиях создается максимальное воздействие на все органы чувств.
Реабилитация может забирать довольно много финансовых средств. Это удовольствие не из дешевых, но оно помогает восстановить утраченные функции и продлить качественную полноценную жизнь.
Гомеопатия
Гомеопатия может предложить ряд препаратов, которые используются при РС. Их эффективность клинически не доказана. Пациенту обязательно следует расспросить своего лечащего врача, стоит ли применять препараты гомеопатии. В любом случае, они могут быть лишь незначительным дополнением к основному лечению.
Народная медицина предлагает при РС использовать перекись водорода, соль, пчел, сыроедение и т.д. Не стоит всерьез воспринимать подобное лечение. Терапевтический эффект при нем будет нулевым. Можно лишь потерять драгоценное время, не получив никакого результата. Течение заболевания при этом усугубится, ведь домашние средства и народные методы в данном случае бессильны. Эффективны лишь современные медицинские препараты, которые работают на клеточном уровне. Напомним, что самое эффективное лечение наблюдается на раннем этапе развития заболевания.
Также стоит подумать о превентивных мерах. Следует вести активный здоровый образ жизни, полноценно питаться, пить больше чистой воды.
Важное условие успешного лечения – вера в себя, свои силы. Официальные научные наблюдения подтвердили, что те пациенты, которые не были склонны предаваться унынию, верили в благополучный исход, добивались устойчивой и длительной ремиссии. Немаловажна и поддержка близких.
Вывод
Если прозвучал диагноз «рассеянный склероз» – это не повод для отчаяния. Нужно мобилизировать свои силы и заняться комплексным лечением. Оно обязательно принесет хорошие результаты. К тому же, современная медицина достигла значительных высот. Ученые не перестают вести активный поиск новых методов лечения этого распространенного аутоиммунного заболевания.
https://youtube.com/watch?v=vRezL1EQ41c
Вопрос-ответ
Как называется первый российский оригинальный препарат для терапии рассеянного склероза?
Лекарственное средство получило торговое наименование Ивлизи® (МНН дивозилимаб).
Что надо пить от рассеянного склероза?
АРМАДИНТРЕНТАЛПИРАЦЕТАМГИНКГО БИЛОБАБАКЛОФЕНТИЗАЛУДНЕЙРОДАРКАРБАМАЗЕПИНЕщё
Как сейчас лечат рассеянный склероз?
Лечение РС заключается в иммуномодуляции — коррекции работы иммунной системы. Обострения лечатся гормональными препаратами, а в более тяжелых случаях — плазмаферезом, направленным на удаление антител из крови. Профилактика обострений проводится препаратами, изменяющими течение рассеянного склероза — ПИТРС.
Что пьют от рассеянного склероза?
Например, интерфероны, копаксон, абаджио относятся к препаратом со слабой или умеренной эффективностью, гилениа и текфидера обладают средней эффективностью, а окревус, тизабри, мавенклад, леммтрада – препараты с высокой эффективностью.
Советы
СОВЕТ №1
Изучите информацию о рассеянном склерозе и его лечении. Понимание заболевания поможет вам лучше ориентироваться в доступных методах лечения и принимать обоснованные решения.
СОВЕТ №2
Обсудите с врачом все возможные варианты лечения, включая как официальные, так и народные методы. Важно, чтобы ваш врач знал о любых дополнительных методах, которые вы планируете использовать, чтобы избежать возможных взаимодействий.
СОВЕТ №3
Не забывайте о поддерживающей терапии и реабилитации. Физическая активность, занятия с психологом и поддержка близких могут значительно улучшить качество жизни и помочь справиться с симптомами рассеянного склероза.
СОВЕТ №4
Будьте осторожны с народными средствами. Перед тем как начать использовать какие-либо альтернативные методы лечения, проконсультируйтесь с врачом, чтобы убедиться в их безопасности и эффективности.





