
Киста – это образование в прослойке, располагающейся между тканями. Дословно этот термин означает «пузырек». Ее заполняет эпидермий или жидкость. Мы расскажем, что такое ликворная киста головного мозга, почему образуется, какие виды ее бывают, как с ней бороться.
Под давлением содержимое новообразования может вырваться наружу. Это самое опасное, что с ней может случиться.
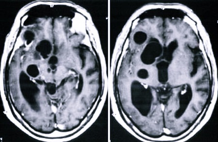
Полость ликворной кисты заполнена спинномозговой жидкостью. Она может образоваться из рубца или родной ткани. По размеру – это крошечное новообразование, которое трудно разглядеть даже при помощи МРТ.
По данным ВОЗ, у четырех взрослых людей из ста есть ликворная киста мозга. Её симптомы проявляются далеко не во всех случаях.
Новообразования чаще всего никак не дают о себе знать и обнаруживаются совершенно случайно. По расположению, этиологии, они бывают разных видов.
Признаки
Симптомы напрямую зависят от того, в каком отделе мозга расположилось новообразование, какой объем оно имеет. Боль начинает беспокоить, если опухоль растет или уже выросла до внушительных размеров. Также может нарушаться работа определенных органов.
Могут появиться:
- головная боль;
- проблемы с опорно-двигательным аппаратом;
- эпилептические припадки;
- паралич;
- нарушение координации;
- нарушение глотания;
- паралич;
- нарушение дыхания.
Удаляют такую кисту лишь в крайнем случае, когда есть явные показания, а симптомы угрожают жизни, нарушают важнейшие функции организма. Если полость быстро растет, появляются эмоциональные, психические нарушения, конвульсии, припадки, это также явные показания к хирургическому вмешательству.
Врачи отмечают, что наличие ликворной кисты не всегда является показанием для тревоги. Многие пациенты живут с этой патологией, не испытывая значительных симптомов. Кисты, как правило, являются доброкачественными образованиями, которые могут не требовать активного лечения. Однако важно регулярно проходить обследования, чтобы контролировать их размер и динамику. В случае появления симптомов, таких как головные боли, нарушения зрения или неврологические расстройства, необходимо обратиться к специалисту. Врач может рекомендовать наблюдение или, в редких случаях, хирургическое вмешательство. Таким образом, жизнь с ликворной кистой возможна, но требует внимательного отношения к своему здоровью.

Виды
Кистозные полости дифференцируют по таким признакам:
- Локализация. Арахноидальная киста головного мозга расположена между мягкой тканью и оболочкой. Церебральная – непосредственно в ткани мозга. Арахноидальная ликворная киста редко дает симптомы. Это объясняется тем, что субарахноидальная киста не затрагивает непосредственно сам мозг, а расположена между ним и внешней оболочкой.
- Расположение. В лобных долях развивается лакунарная киста. В шишковидном теле – пинеальная. Также может быть киста задней черепной ямки, левой височной доли, правой и т.д. В мозжечке располагается ретроцеребеллярная киста. В тяжелых случаях новообразования могут поражать всю гемисферу (полушарие). Это может вызвать критические состояния. Опасно поражение затылочной, лобной области, пириневральной перегородки. Иногда может поражаться спинной мозг.
- Этиология. Учитывает причины появления кисты. Первичная образовывается из-за генетических нарушений. Это врожденная аномалия, которая затрагивает ткани головы. На каком-то этапе развития плода ткани мозга формируются с нарушениями. Малыш может родиться уже с кистой или она вырастет позже. Если младенец развивается нормально, родители еще долгие годы могут даже не подозревать о врожденной аномалии. Часто новорожденные с ней ничем не отличаются от здоровых сверстников. Вторичная – результат родовых травм, операций, перенесенного инсульта, ишемической болезни, инфекций и т.д. Может быть затронута чаще всего одна доля мозга.
Любая киста способна захватывать здоровые ткани или смещать их. При тяжелом патогенезе ткани мозга могут сдавливаться, ущемляться. С одной стороны на них давит киста, с другой – кости черепной коробки. Следствие – расстраиваются функции того отдела, который затронут. Это опасно, так как угрожает здоровью и жизни. Такой вариант требует немедленной медицинской помощи.
Иногда новообразования могут переходить в отдел позвоночника. Это способно спровоцировать опасные последствия.
Когда появляется киста головного мозга, размеры, норма роста имеют немаловажное значение. Чаще всего это крошечные новообразования. Они не сдавливают ткани мозга и практически не мешают нормально жить. А вот большие новообразования требуют срочного лечения и постоянного наблюдения за состоянием больного.
Из-за постишемической кисты может серьезно нарушаться кровоснабжение. Ткани не получают должного питания и атрофируются, образуются зоны некроза.
Нужно не только обнаружить само новообразование, но и выяснить, по каким причинам оно появилось. Лишь зная причины, можно эффективно построить схему лечения.
В чем опасность
Считается, что четыре из пяти полостных ликворных образований ничем не угрожают человеку. Они никак не проявляются и практически не растут. Кисты в большинстве случаев находят случайно, при проведении МРТ. Вмешательство хирурга при таком развитии новообразования не требуется.
Иногда такие внутричерепные аномалии могут вести себя агрессивно. Чаще всего это те нарушения, которые развиваются по второму типу. Быстро растут кисты после полученного сотрясения мозга, воспалительного процесса. Они могут достигать внушительных габаритов.
Если киста растет, она начинает давить на ткани мозга. Это провоцирует боль и функциональные расстройства. Очень опасно то, что нарушается кровообращение, дыхательный рефлекс. Это ведет к необратимым последствиям и омертвению тканей. Со временем, если новообразование ведет себя агрессивно, не замедляет свой рост, появляются неврологические расстройства. Могут наблюдаться судороги, частичный или полный паралич. Как следствие – такое состояние может привести к инвалидности. Жить с такими кистами нельзя, их нужно лечить.
Важно, чтобы человек прислушивался к своим ощущениям. Нужно заметить признаки аномалии на самых ранних этапах ее развития. Если речь идет о ребенке, то родители должны максимально тщательно следить за любым изменением его поведения, физического состояния.
Самое опасное – разрыв тканей кисты. Внутрь черепа попадает экссудат. Результат – сильнейшая интоксикация и гибель больного. Если уплотнение достигло крупных размеров, полость удаляют или ставят дренаж.
Если киста расположилась на прозрачной перегородке мозга, даже небольшие по размерам новообразования могут спровоцировать боль, невралгию. Чтобы уменьшить напряжение, болезненность, врач может выписать мочегонные препараты в комплексе с анальгетиками.
Ликворная киста — это образование, которое возникает в результате скопления ликвора, и многие люди задаются вопросом о возможности жизни с таким диагнозом. Мнения варьируются: некоторые утверждают, что с кистой можно жить без особых ограничений, если она не вызывает симптомов и не увеличивается в размерах. Другие же подчеркивают важность регулярного наблюдения у врача, так как в редких случаях киста может привести к осложнениям.
Люди делятся своим опытом, отмечая, что при соблюдении рекомендаций врачей и здоровом образе жизни можно вести активную жизнь. Однако важно помнить, что каждый случай индивидуален, и лучше всего консультироваться с медицинским специалистом для получения точной информации и рекомендаций. В конечном итоге, многие находят способы адаптироваться и жить полноценной жизнью, несмотря на наличие кисты.

Симптомы
Симптомы проявляются, если киста имеет средние и крупные размеры. Это могут быть:
- нарушение зрения;
- нарушение слуха, шум в ушах;
- головная боль, которая не снимается медикаментами;
- пульсация в области головы;
- тошнота, которая не проходит после рвоты;
- проблемы с координацией;
- изменение чувствительности кожи;
- непроизвольные движения руками, ногами;
- нарушение тонуса мышц;
- хромота;
- паралич;
- судороги;
- галлюцинации, расстройства психики.
Как жить
Если нет симптомов аномалии, она не растет, можно спокойно жить с ней. Такие пациенты лишь должны регулярно проходить МРТ, чтобы следить, не начала ли она увеличиваться. Подобные доброкачественные аномалии перерождаются нечасто. Чтобы помочь пациенту, врач может назначить восстанавливающее консервативное лечение. Есть медикаменты, которые улучшают кровообращение, питание тканей кислородом.
Больным с кистой важно находиться под контролем и регулярно проходить обследование.
Лечение
Применяют два метода лечения:
- Консервативное. Используются медицинские препараты, которые поддерживают состояние пациента. Они улучшают кровообращение, обмен веществ. Особенно целесообразна медикаментозная терапия, если кист много. Тут важно определиться с тактикой лечения. Она зависит от причины появления новообразований, их размера, расположения, скорости роста.
- Оперативное. Далеко не всегда требуется делать операцию. Да и киста может быть неоперабельной, если она расположилась в глубинных структурах мозга. Если же операция показана, есть разные виды: шунтирование, дренирование, операция с эндоскопом. На самом деле к помощи нейрохирурга при наличии ликворной кисты прибегают очень редко. Это крайняя мера. Иногда требуется полное удаление тканей кисты, чтобы сохранить качество жизни. Прогноз зависит от расположения аномалии, ее размера, состояния организма больного, возраста и т.д. Процент удачных операций достаточно высок.
Если у новорожденного была обнаружена врожденная киста, ее могут оперативно удалить с использованием шунтирования или эндоскопа. Возможна микрохирургия. Арахноидальная киста у ребенка самостоятельно не рассасывается. Такие случаи требуют пристального внимания врачей. Важно сразу определиться с тем, как с ней бороться, по каким причинам она появилась. Младенца должен тщательно наблюдать невролог. Если новообразование будет прогрессировать, операция проводится обязательно.
Чтобы не было осложнений, после операции обязательно проводится восстановительное лечение. В противном случае может образоваться уже послеоперационная киста.
Что ее рассосет
Если киста не подлежит хирургической операции, показано медикаментозное лечение. Есть препараты, способные рассасывать рубцы и швы после оперативных вмешательств. Они могут уменьшить ликворные кисты.
Один из таких препаратов – Актовегин. Он считается довольно эффективным. Перед тем, как назначить препарат, врач направляет больного на полное обследование. Он должен знать, в какой области располагается новообразование, какого оно размера, и главное – почему появилось.
Не стоит недооценивать возможности современных медицинских препаратов. Они способны улучшить обмен веществ, кровообращение. Это хороший стимул для организма. Важно пройти полный курс. Не исключено, что для профилактики потребуется регулярно повторять его. Полностью убрать такие новообразования при помощи медикаментов трудно.
Чем поможет народная медицина
Задача народных средств такая же, что и традиционных – улучшить кровообращение, обмен веществ, устранить симптомы. Правильно подобранные рецепты помогут справиться с назойливой головной болью и даже могут затормозить рост полости.
В народной медицине принято использовать:
- Болиголов. Измельченные семена растения можно настоять в половине литра оливкового масла. Нужно перемешать и оставить средство на три недели там, где прохладно. Такой масляный раствор рекомендуется закапывать по 2 капли в нос 2-3 раза/день.
- Диоскореим кавказский (корень). 4 части корня нужно измельчить и залить водкой (1400мл). Настой заливают поэтапно. Сначала берут половину корней и заливают 700 мл водки в стеклянном сосуде. Нужно оставить его на 5 дней. Потом необходимо слить всю жидкость и залить корни свежей порцией водки (700 мл). Вновь оставить на 5 суток. Настой нужно принимать по чайной ложке трижды в день.
- Отвары малины, солодки, полыни, девясила, ромашки, календулы помогут снизить внутричерепное давление.
Почему-то многие считают, что народные средства безопасны. Это не так. Чтобы избежать неприятных последствий, нужно обязательно расспросить лечащего врача, можно ли конкретно вам их применять. Именно врач должен подбирать народное средство. В противном случае оно может не только не помочь, но и серьезно навредить. К тому же, некоторые лекарства несовместимы с травами или алкоголем.
Вывод
Арахноидальная киста – это вовсе не приговор. Главное – точно установить причину ее появления и следить за динамикой развития. Правильное и своевременное лечение позволит еще долгие годы радоваться полноценной жизни.
https://youtube.com/watch?v=wXlOR0xt5J4
Вопрос-ответ
Что такое ликворная киста и как она образуется?
Ликворная киста — это заполненное жидкостью образование, которое возникает в головном мозге или спинном мозге. Она образуется в результате нарушения оттока ликвора, что может быть вызвано травмами, инфекциями или врожденными аномалиями. Кисты могут быть как бессимптомными, так и вызывать различные неврологические симптомы в зависимости от их размера и расположения.
Какие симптомы могут указывать на наличие ликворной кисты?
Симптомы ликворной кисты могут варьироваться в зависимости от её размера и места расположения. Некоторые пациенты могут не испытывать никаких симптомов, в то время как другие могут ощущать головные боли, головокружение, проблемы с координацией, а также изменения в зрении или слухе. Важно обратиться к врачу для диагностики, если возникают подозрительные симптомы.
Каковы рекомендации по лечению ликворной кисты?
Лечение ликворной кисты зависит от её размера, симптомов и общего состояния здоровья пациента. В некоторых случаях может быть достаточно наблюдения и регулярного контроля с помощью МРТ. Если киста вызывает симптомы или увеличивается в размере, может потребоваться хирургическое вмешательство для её удаления или дренирования. Важно обсудить все варианты с врачом, чтобы выбрать наилучший подход.
Советы
СОВЕТ №1
Постоянно консультируйтесь с врачом. Регулярные медицинские осмотры помогут контролировать состояние ликворной кисты и избежать возможных осложнений. Не пренебрегайте назначениями и рекомендациями специалиста.
СОВЕТ №2
Следите за своим состоянием. Обратите внимание на любые изменения в самочувствии, такие как головные боли, нарушения зрения или слуха. Если вы заметили ухудшение, немедленно обратитесь к врачу.
СОВЕТ №3
Поддерживайте здоровый образ жизни. Правильное питание, регулярные физические нагрузки и отказ от вредных привычек могут помочь укрепить общее состояние здоровья и снизить риск осложнений.
СОВЕТ №4
Ищите поддержку. Общение с людьми, которые сталкиваются с подобными проблемами, может быть полезным. Рассмотрите возможность участия в группах поддержки или форумах, где можно обмениваться опытом и получать советы.





