
Мозг, пожалуй, самый плохо изученный орган человеческого тела. Сегодня мы знаем, лишь из каких частей он состоит, и что они координируют функционирование нашего организма. Также известно, что многие болезни возникают именно в мозге, а впоследствии влияют на все системы. Так, инсульт – это нарушение кровотока в мозговой артерии, результатами которого являются нарушение речи, координации движений, умственной деятельности, паралич. Опухоли мозга, болезнь Альцгеймера, эпилепсия – все эти патологии значительно снижают качество и продолжительность жизни.
В наши дни своевременная диагностика позволяет проводить эффективную терапию заболеваний различных структур головного мозга. Рассмотрим, какие методы применяются для обследования головы.
Диагностирование церебральных нарушений можно условно разделить на несколько видов: одни используются для более «узких» целей, другие дают полную картину функционирования мозга.
Узкоспециализированные методы
- Ультразвуковая допплерография – дает подробную информацию о кровообращении в крупных сосудах мозга и шеи. Этот метод позволяет выявлять патологии сосудистой системы на начальных стадиях, а также оценивать результативность проводимой терапии. Преимущества УЗДГ в том, что к ее проведению не нужно специально готовиться, процедура безболезненна и не имеет противопоказаний.
Накануне УЗИ пациенту стоит отказаться от курения, не пить чай, кофе и прочие кофеиносодержащие напитки, чтобы не повлиять на тонус сосудов.
- Электроэнцефалография – исследование мозга, проводимое для анализа его функционального состояния, а также реакции на раздражители. При ЭЭГ происходит запись биотоков мозга, и фиксируются их даже незначительные колебания. Данные о биоэлектрической активности переносятся на специальную бумажную ленту или записываются в файл и отображаются на мониторе компьютера. ЭЭГ применяется для диагностики и лечения эпилепсии, задержки психического и речевого развития, выявления последствий травм головы.
- Эхоэнцефалография — исследование головы при помощи ультразвука. Прибор под названием осциллоскоп улавливает своеобразное эхо, которое возвратилось при посылании ультразвуковых волн на мозг. Таким образом, на дисплее появляется изображение, по которому можно судить о наличии в мозге опухолей и нарушений в его структуре после травм черепа.
- Реоэнцефалография – фиксация колебаний электрического сопротивления тканей в процессе пропускания через них слабого высокочастотного электротока. РЭГ дает точную информацию о состоянии сосудов, позволяя исследовать их тонус, эластичность, заполнение кровью. Метод позволяет увидеть отдельно функционирование венозной и артериальной систем мозга и диагностировать внутричерепную гипертензию, атеросклероз, сосудистую дистонию, субдуральные гематомы. С его помощью также происходит оценка эффективности лечения вышеназванных патологий.
Данные реоэнцефалограммы получают, наложив на поверхность головы электроды, предварительно смазав их специальной пастой для обеспечения лучшего контакта с кожей. При анализе информации, поступившей с реографа, учитываются органические изменения, зависящие от возраста пациентов.
- Электронейромиография – метод исследования головного мозга, представляющий собой фиксацию его биотоков. ЭНМГ позволяет выявить нервно-мышечные заболевания и нарушения функционирования периферической нервной системы.
- Нейросонография – диагностика мозга новорожденных и младенцев в возрасте до 9-12 месяцев. Процедура абсолютно безопасна, ведь проводится с помощью ультразвука. Она высокоинформативная касательно выявления патологий на самых ранних стадиях и может проводиться до зарастания большого родничка в черепе ребенка.
- Краниография – иначе говоря, это исследование головы с помощью рентгеновских лучей. Позволяет делать две проекции черепа (профиль и анфас), чтобы зафиксировать наличие врожденных или приобретенных аномалий костей.
Врачи единодушны в том, что выбор методов обследования головы зависит от конкретной клинической ситуации и предполагаемого диагноза. Наиболее распространенными методами являются магнитно-резонансная томография (МРТ) и компьютерная томография (КТ). МРТ предоставляет высококачественные изображения мягких тканей, что особенно важно при диагностике опухолей и заболеваний мозга. КТ, в свою очередь, более доступен и позволяет быстро оценить состояние при острых травмах.
Кроме того, ультразвуковое исследование и ангиография могут быть полезны для оценки сосудистых заболеваний. Врачи подчеркивают, что комбинированный подход, включающий разные методы, позволяет получить наиболее полное представление о состоянии пациента и повысить точность диагностики. Таким образом, выбор метода обследования должен основываться на индивидуальных потребностях и состоянии здоровья каждого пациента.

Широко используемые методы
Компьютерная томография
Диагностика заболеваний головного мозга при помощи КТ базируется на вычислении интенсивности проникновения рентгеновских лучей через мозговые ткани. Таким образом, удается получить их детальное изображение в поперечном сечении. Современные аппараты для компьютерной диагностики имеют низкий уровень облучения, что не отражается на точности результатов.
Подобное обследование головного мозга может быть назначено, если в анамнезе пациента имеются:
- головокружения;
- головные боли;
- потери сознания;
- судороги;
- инсульты;
- расстройства речи и памяти;
- слуховые и зрительные нарушения.
Противопоказан этот способ диагностики патологий головного мозга детям и беременным женщинам. При необходимости внутривенного введения контрастного вещества в перечень противопоказаний добавляются: почечная и печеночная недостаточность, сахарный диабет, заболевания сердца, астма, патологии щитовидной железы, аллергическая реакция на йод.
Если противопоказания отсутствуют, компьютерная томография проводится столько раз, сколько необходимо для постановки диагноза и контроля результативности терапии.
КТ не требует особой подготовки пациента. Разве что перед процедурой с контрастированием нельзя употреблять пищу и жидкость в течение 4 часов. Обследование длится от 15 минут до получаса. В это время человек находится на подвижном столе, который перемещается в томограф. Пациенту запрещено шевелиться, а иногда нужно будет задерживать дыхание по команде медперсонала.
Мнения людей о лучших методах обследования головы варьируются в зависимости от личного опыта и медицинских рекомендаций. Многие пациенты отмечают высокую информативность магнитно-резонансной томографии (МРТ), которая позволяет детально визуализировать мозг и выявлять различные патологии. Другие предпочитают компьютерную томографию (КТ) за скорость и доступность, особенно в экстренных ситуациях. Некоторые респонденты подчеркивают важность ультразвукового исследования, которое безопасно и безболезненно, особенно для детей. В то же время, многие специалисты рекомендуют комплексный подход, сочетая разные методы для получения наиболее полной картины состояния здоровья. В конечном итоге, выбор метода зависит от конкретной ситуации и рекомендаций врача.

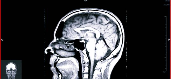
Магнитно-резонансная томография
Не зря в зарубежных фильмах о работе медицинских учреждений врачи постоянно направляют больных на МРТ – сегодня она находится в лидерах среди методов исследования головного мозга. Визуализация состояния органа происходит благодаря магнитному полю, постоянно поддерживаемому в томографе. Через него пропускают электромагнитные волны, энергетический поток от которых отбивают атомы водорода, присутствующего во всех клетках человеческого тела. Компьютерное оборудование преобразовывает полученные данные в снимки тканей мозга.
МРТ эффективна для диагностирования широкого спектра заболеваний: от патологий сосудов до опухолей.
Современные томографы излучают электромагнитные поля низких частот и комплектуются целым рядом специализированных компьютерных программ, что позволяет получить детальную картину функционирования мозга.
Осмотр в томографе противопоказан в следующих случаях:
- пациент является психически неуравновешенным, имеет острый болевой синдром или находится в коме;
- в теле больного имеются металлические и ферромагнитные имплантаты, штифты, клипсы на сосудах, несъемные коронки на зубах.
- на коже пациента есть татуировки, нанесенные краской с металлическими частицами.
Беременные женщины перед МРТ обязаны сообщить доктору о наличии беременности и ее сроке.
Как и при КТ, для обследования человек должен лечь на подвижный стол, где его тело будет закреплено специальными ремнями, а к голове присоединены сенсорные датчики, посылающие и считывающие сигнал. После стол перемещается в томограф. В зависимости от количества программ, задействованных для сканирования, длительность процедуры составляет 15-40 минут. Все это время человек должен лежать неподвижно.
Принцип использования низкочастотного электромагнитного поля делает МРТ полностью безопасной для детей и взрослых.
Магнитно-резонансная ангиография
Эта методика исследования головного мозга основана на тех же принципах, что и МРТ, однако ее главная задача – выявление патологий сосудистого русла. Современное оборудование предназначено для получения трехмерного изображения всей сети сосудов мозга, а также выделения тонких срезов отдельных сосудов и нервных стволов.
Позитронно-эмиссионная томография
При помощи данного метода можно обследовать мозг, чтобы зафиксировать в трехмерной проекции все функциональные процессы, протекающие в нем. Анализ метаболизма структур мозга происходит на клеточном уровне, потому ПЭТ – лучший способ отличить доброкачественное новообразование от злокачественного на ранних стадиях. Также этот вид томографии применяется, чтобы получить информацию о последствиях травм, отклонениях в работе мозга, оценить состояние больных после инсультов.
ПЭТ нельзя проводить при беременности и кормлении грудью, а также при сахарном диабете.
За 4-6 часов до процедуры нельзя кушать. Накануне рекомендуется ужинать безбелковой пищей. Частью обследования является внутривенное введение радиофармпрепарата. Само сканирование продолжается 30-75 минут.
Выбор метода обследования
Исследование структур мозга с помощью ультразвука более простое и не требует специальных условий для размещения оборудования. А вот аппараты для КТ, МРТ, ПЭТ могут позволить себе не все диагностические центры, потому и стоимость сканирования, соответственно, будет выше.
При подозрении на серьезное заболевание мозга нельзя ориентироваться только на цену или популярность того или иного метода обследования. Прежде всего, следует обратить внимание на рекомендации лечащего врача и то, что некоторые методы диагностики имеют неодинаковую информативность в разных областях.
- ПЭТ безошибочно определяет наличие опухоли, в том числе злокачественной, еще до того, как она начала себя как-либо проявлять.
- МРТ отдают предпочтение в неврологии и нейрохирургии.
- КТ прекрасно выявляет травмы головы и повреждения сосудов.
С точки зрения безопасности, пальму первенства занимает МРТ из-за отсутствия ионизирующего и рентгеновского излучения. Хотя современное оборудование для УЗ и рентгенографии минимизирует риск генных мутаций.
КТ и ПЭТ противопоказаны беременным. МРТ использовать будущим мамам можно, но только если потенциальная польза для женщины превышает возможный риск для ребенка.
Дополнительные сложности возникают в проведении томографии детям. Ребенку сложно провести длительное время в положении лежа, не двигаясь. Потому детей постарше к процедуре должны подготовить родители, приравняв ее, например, к полету на ракете. Самым маленьким пациентам подобные исследования делают под общим наркозом.
Какое именно обследование нужно конкретному человеку, должен решать квалифицированный врач. В целях максимально точной диагностики он может назначить сразу несколько различных сканирований мозга.
https://youtube.com/watch?v=vlPtpKIJitc
Вопрос-ответ
Какое обследование головы лучше всего?
Именно компьютерная томография считается самым точным методом обследования, когда речь идет о нарушениях в работе головного мозга. Она позволяет выявлять аномалии, спровоцированные черепно-мозговыми травмами, а также проблемами с плотными тканями черепа.
Что лучше МРТ или КТ для головы?
КТ хорошо показывает твердые ткани, инородные тела, свежие кровоизлияния. Тогда как опухоли или давние органические поражения мозга видны недостаточно, иногда совсем незаметны. Чтобы диагностировать патологические изменения мягких тканей, требуется МРТ.
Что эффективнее МРТ или ЭЭГ?
МРТ показывает состояние мягких тканей, наличие опухоли а также природу новообразований. С помощью ЭЭГ можно выявить только нарушения в проводимости электромагнитных импульсов, что необходимо при определении отклонений в работе мозга. Электроэнцефалограмма не лучше или хуже магнитно-резонансной томографии.
Что можно сделать вместо МРТ головного мозга?
Нужно углубленное исследование. Проверить голову без МРТ можно как посредством УЗИ, так и с помощью компьютерной томографии, рентгена, ЭЭГ. Чтобы узнать о состоянии мозга как можно больше, требуется целый комплекс методик.
Советы
СОВЕТ №1
Перед проведением обследования головы обязательно проконсультируйтесь с врачом. Он поможет определить, какие методы диагностики наиболее подходят для вашей ситуации, учитывая ваши симптомы и медицинскую историю.
СОВЕТ №2
Не забывайте о важности подготовки к обследованию. Например, если вам назначено МРТ, уточните у врача, нужно ли вам воздерживаться от пищи или жидкости перед процедурой.
СОВЕТ №3
Обсуждайте с врачом все возможные риски и побочные эффекты различных методов обследования, таких как КТ или рентген. Это поможет вам лучше понять, чего ожидать и как подготовиться к процедуре.
СОВЕТ №4
Записывайте все свои симптомы и вопросы перед визитом к врачу. Это поможет вам не забыть важные детали и получить максимально полную информацию о вашем состоянии и необходимых обследованиях.







