
Амиотрофический склероз, или БАС (боковой амиотрофический склероз) – это неизлечимое заболевание центральной нервной системы. В процессе его развития страдают верхние и нижние двигательные нейроны спинного мозга, а также ствола и коры головного мозга. Все это приводит к параличу, а после – к полной атрофии мышц.
Понятие амиотрофического склероза
По МКБ-10 заболевание БАС трактуется как болезнь двигательного нейрона. В медицине данная патология более известна как болезнь Шарко.
Отдельно можно выделить синдром амиотрофического склероза, который возникает как следствие иного заболевания. Если причина его появления известна, то лечение направлено именно на ее устранение.
При развитии данной аномалии разрушаются мотонейроны, что приводит к отсутствию передачи сигнала к клеткам мозга. Таким образом, нервные клетки не выполняют своих функций, а мышцы человеческого тела атрофируются.
Основной пик заболеваемости отмечается у лиц после 40 лет, но БАС может возникнуть и в более молодом возрасте, особенно у людей с наследственной предрасположенностью.
БАС необходимо отличать от сужения сосудов головного мозга, а также прогрессирующей формы клещевого энцефалита, так как от этого зависит метод лечения.
Амиотрофический склероз, известный также как болезнь Лу Герига, вызывает множество вопросов среди пациентов и их близких. Врачи отмечают, что на сегодняшний день это заболевание считается неизлечимым. Однако медицинская наука не стоит на месте, и исследования в этой области продолжаются. Специалисты подчеркивают, что существуют методы, позволяющие замедлить прогрессирование болезни и улучшить качество жизни пациентов. Лекарственные препараты, такие как рилузол и edaravone, могут помочь в этом процессе. Кроме того, реабилитационные программы, физиотерапия и поддержка со стороны медицинских работников играют важную роль в уходе за больными. Врачи акцентируют внимание на необходимости комплексного подхода, который включает как медикаментозное лечение, так и психологическую поддержку, что может значительно облегчить бремя, связанное с этим тяжелым заболеванием.

Патогенез
Боковой (латеральный) амиотрофический склероз – это заболевание, при котором нейроны становятся уязвимыми и постепенно разрушаются.
Мотонейроны – это самые большие клетки в нервной системе, которые имеют длинные отростки. Для их функционирования требуются значительные энергозатраты.
Каждый из мотонейронов выполняет важную функцию в организме, именно по его каналам передаются импульсы, которые влияют на двигательную активность человека. Этим клеткам требуется большое количество кальция и энергии.
Если эти условия не выполняются, то есть, мотонейроны испытывают недостаток кальция, то наступает патологический процесс, который приводит к:
- токсическому воздействию на клетки мозга, которое происходит из-за аминокислот;
- вредному окислительному процессу;
- нарушению работы мотонейронов;
- сбоям в работе белков, которые образуют определенные включения;
- появлению мутировавших белков;
- гибели мотонейронов.
Эпидемиология
Данное заболевание очень редкое, возникает в 2 случаях на 100000 человек. В основном, это взрослые люди (в возрасте от 20 до 80 лет). Продолжительность жизни невысокая. Например, при бульбарной форме БАС люди обычно живут около 3 лет, а при пояснично-крестцовой – 4 года.
Только 7% всех больных БАС перешагивают отметку продолжительности жизни в пять лет.
Амиотрофический склероз, или БАС, вызывает много вопросов и споров среди людей. Многие пациенты и их близкие ищут информацию о том, возможно ли лечение этого заболевания. В интернете можно встретить разные мнения: одни утверждают, что научные исследования продвигаются, и появляются новые методы терапии, другие же говорят о том, что БАС неизлечим. Некоторые пациенты делятся своими историями о том, как альтернативные методы, такие как диета или физическая активность, помогли им улучшить качество жизни. В то же время врачи подчеркивают важность поддерживающей терапии, которая может облегчить симптомы и замедлить прогрессирование болезни. Важно помнить, что каждый случай индивидуален, и лучше всего обращаться за консультацией к специалистам.

Причины
К развитию амиотрофического склероза может привести:
- мутация генов, передающаяся по наследству;
- накапливание в организме аномальных белков, которые могут привести к уничтожению нейронов;
- патологическая реакция, когда иммунитет уничтожает нервные клетки в своем организме;
- накопление в организме глутаминовой кислоты, избыток которой также уничтожает нейроны;
- ангиодистония. Несоблюдение режима труда и отдыха, частые стрессы, большое количество проведенного за компьютером времени приводит к нарушению нервной регуляции сосудов, а именно, к ангиодистонии.
- попадание в организм вируса, который поражает нервные клетки.
Больше всего патологии предрасположены следующие категории людей:
- с наследственной предрасположенностью к БАС;
- мужчины после 70 лет;
- имеющие вредные привычки;
- перенёсшие инфекционные заболевания, при которых в организме поселился вирус, разрушающий нейроны;
- имеющие раковые опухоли или заболевание моторных нейронов;
- с удалённой частью желудка;
- работающие в условиях, где используется свинец, алюминий или ртуть.
Многие ученые считают БАС дегенеративным процессом, однако факторы его развития до конца еще не изучены. Некоторые исследователи уверены, что причина кроется в попадании в организм фильтрующего вируса.
Амиотрофический склероз поражает только двигательную систему человека, при этом его чувствительные функции остаются неизменными. По этим причинам развитие БАС зависит от таких факторов, как:
- Схожесть вируса с определенным нервным образованием.
- Специфики кровоснабжения участков ЦНС.
- Лимфообращение в позвоночнике или ЦНС.
Симптомы заболевания
В начале течения заболевания поражаются конечности, а после – иные части тела. Мышцы человека ослабевают, что приводит к параличу.
На ранней стадии заболевания имеются следующие характерные признаки:
- Нарушается моторика, становятся слабыми мышцы рук.
- Слабость в ногах.
- Происходит отвисание стопы.
- Появляются судороги плеч, языка, рук.
- Нарушается речь, появляются трудности при глотании.
Чем дальше прогрессирует заболевание, тем сложнее становятся его симптомы, например, может случиться непроизвольный смех или человек может заплакать без причины.
Иногда БАС приводит к слабоумию.
На более поздних стадиях у человека проявляются такие симптомы амиотрофического склероза, как:
- Депрессия.
- Отсутствие возможности двигаться.
- Трудности при дыхании.
Следует разделить симптомы заболевания на два типа:
- Которые наблюдаются при поражении центрального мотонейрона:
- снижение мышечной активности;
- повышение мышечного тонуса;
- гиперрефлексия;
- патологические рефлексы;
- Поражение периферического нейрона проявляется такими симптомами, как:
- подергивания в мышцах;
- судороги с болью;
- атрофия мышц головы и других частей тела;
- гипотония мышц;
- гипорефлексия.
Редкие симптомы
Следует отметить, что амиотрофический склероз у каждого больного проявляется по-разному. Имеются такие его симптомы, которые могут возникнуть лишь у единиц, к ним относят:
- Нарушение чувствительной функции. Это случается из-за сбоев в кровообращении, например, больной может не чувствовать рук, они попросту отвисают.
- Нарушение мочеиспускания, стула, функций глаз.
- Слабоумие.
- Когнитивные нарушения, которые быстро прогрессируют. При этом у пациента снижается память, работоспособность мозга и др.
Виды
Амиотрофический склероз имеет несколько форм:
- церебральный;
- шейно-грудной;
- бульбарный;
- пояснично-крестцовый.
Пояснично-крестцовый
Данная форма заболевания может развиваться в двух вариантах:
- Угнетение периферического мотонейрона в переднем роге пояснично-крестцового отдела спинного мозга. Появляется мышечная слабость в одной, а после и в другой ноге, снижаются рефлексы и тонус в них, в результате начинается процесс атрофирования. Вместе с этим в ногах можно ощущать частые подергивания. Затем заболевание переходит на руки и выше. Человеку становится сложно глотать, речь становится нечеткой, изменяется голос и происходит истончение языка. Нижняя челюсть начинает отвисать, появляются проблемы с жеванием и глотанием пищи.
- Второй вариант течения заболевания предусматривает одновременное поражение центрального и периферического мотонейрона, которые обеспечивают движение ног. При его течении наблюдается чувство слабости в конечностях, появляется тонус мышц, происходит постепенная атрофия мышц, артрит. Затем процесс переходит на руки, вовлекаются и мотонейроны головного мозга, нарушается процесс жевания, речь, появляются подергивания в языке, возможны приступы непроизвольного смеха или плача.
Шейно-грудная форма
Она также может протекать в двух вариантах:
- Поражается только периферический мотонейрон. Атрофия мышц и снижение тонуса затрагивает только одну кисть, и только через несколько месяцев – другую. Руки начинают напоминать обезьянью лапу. Одновременно с этими процессами в ногах повышаются рефлексы, но без атрофии. Затем происходит снижение мышечной активности в ногах и в паталогический процесс вовлекается бульбарный отдел головного мозга.
- Одновременное поражение центрального и периферического мотонейрона. Мышцы рук начинают атрофироваться, повышается их тонус, одновременно происходит повышение рефлексов и снижение силы в ногах. Позже происходит поражение бульбарного отдела.
Бульбарная форма
При развитии данной формы заболевания поражается периферический мотонейрон. В результате чего нарушается артикуляция, изменяется голос, атрофируются мышцы языка. Если одновременно поражается и центральный мотонейрон, то нарушается глоточный и нижнечелюстной рефлекс, может случиться непроизвольный смех или плач. Усиливаются рвотные рефлексы.
По мере развития заболевания образуется парез с атрофией рук, повышаются рефлексы и тонус в них. То же самое происходит и в ногах.
Церебральная форма
В данном случае происходит преимущественное поражение центрального мотонейрона. Во всех мышцах туловища и конечностей появляются парезы и повышение их тонуса, а также патологические симптомы БАС. Кроме нарушения двигательной активности могут возникнуть и психические расстройства, нарушение памяти, снижение интеллекта, слабоумие, постоянные приступы агрессии из-за невозможности ухаживать за собой.
Клиническая картина БАС
Заболевание очень быстро прогрессирует, парезы приводят к отсутствию возможности передвигаться и ухаживать за собой. Если в процесс заболевания вовлекается и дыхательная система, то больного беспокоит одышка и нехватка воздуха даже при малейшей нагрузке. В запущенных случаях больные не могут самостоятельно дышать и постоянно находятся под аппаратом для вентиляции легких.
У больных БАС происходит скорейшее развитие импотенции, в редких случаях возможно недержание мочи. Так как нарушается процесс жевания и глотания, они быстро теряют вес, конечности могут становиться ассиметричными. Присутствует и болевой синдром, так как из-за парезов суставам трудно двигаться.
БАС приводит и к таким расстройствам, как повышенное потовыделение, жирность кожи лица, изменение его цвета. Прогноз на выздоровление не делают, а вот средняя продолжительность жизни человека с таким недугом обычно составляет от 2 до 12 лет. Большинство больных умирает в течение 5 лет после установления диагноза. Если этого не произошло, то дальнейшее развитие БАС приводит к полной инвалидности.
Диагностика
Для того, чтобы точно поставить точный диагноз БАС, необходима совокупность таких факторов, как:
- Симптоматика поражения центрального мотонейрона (мышечный тонус, патологии кистей и стоп и т.д.).
- Признаки поражения периферических нейронов, которые подтверждаются электромиографией и биопсией.
- Прогрессирование заболевания с вовлечением новых мышц.
Самое главное для успешной терапии – исключить другие заболевания, схожие с амиотрофическим склерозом.
В самом начале лечения БАС врачом собирается полный анамнез больного, сбор его жалоб и проводится неврологический осмотр. Затем пациенту назначают:
- электромиографию;
- магнитно-резонансную томографию;
- анализы крови, мочи;
- исследование спинномозговой жидкости;
- молекулярно-генетический анализ.
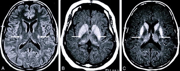
Также проводится игольчатая ЭМГ, которая указывает на поражение мышц и их атрофию. МРТ необходима для уточнения диагноза, по ней можно проследить атрофию моторной коры головного мозга, дегенерацию путей, которые связывают центральные и периферические нейроны.
Во время диагностирования БАС анализ крови показывает увеличение креатинфосфокиназы, которая выделяется при распаде волокон мышц. При исследовании спинномозговой жидкости будет обнаружено повышенное содержание белка, а молекулярный анализ может выявить мутацию гена 21 хромосомы.
Лечение
Данный вид заболевания нельзя вылечить, имеются некоторые виды лекарственных средств, способные немного продлить жизнь пациента. Одно из таких веществ – это Рилузол. Его принимают постоянно по 100 мг. В среднем, продолжительность жизни увеличивается на 2-3 месяца. Обычно его назначают пациентам, у которых заболевание имеется уже 5 лет, и которые могут самостоятельно дышать. Данный препарат негативно сказывается на состоянии печени.
Также больным назначают симптоматическую терапию. Сюда относят такие лекарства, как:
- Сирдалуд, Баклофен – при фасцикуляциях.
- Берлитион, Карнитин, Левокарнитин – улучшают мышечную активность.
- Флуоксетин, Сертралин – для борьбы с депрессией.
- Витамины группы B – для улучшения метаболизма в нейронах.
- Атромин, Амитриптилин – назначают при слюнотечении.
При атрофии мышц челюсти у больного могут появиться трудности при жевании и глотании пищи. В таких случаях еду следует протирать или готовить суфле, пюре и прочее. После каждого приема пищи нужно очищать полость рта.
В случаях, когда пациент не может глотать, долго пережевывает пищу и не в состоянии пить достаточное количество жидкости, ему могут назначить эндоскопическую гастростомию. Можно использовать и альтернативные методы, например, питание через зонд или внутривенно.
При нарушении речи, когда человек уже не может внятно говорить, общаться с внешним миром ему помогут специальные пишущие машинки. Следует следить и за венами нижних конечностей, чтобы там не появились тромбозы. Если присоединилась любая инфекция, необходимо немедленно лечиться антибиотиками.
Чтобы поддерживать двигательную активность, следует использовать ортопедическую обувь, стельки, трости, ходунки и т.п. Если обвисает голова, можно приобрести специальные головодержатели. На более поздних стадиях заболевания больному потребуется функциональная кровать.
Если у человека с БАС нарушается процесс дыхания, то ему назначают аппараты периодической неинвазивной вентиляции. Если больной уже не может дышать сам, то ему показана трахеостомия или искусственная вентиляция легких.
Что использовать нельзя
При развитии бокового амиотрофического склероза запрещено использование таких методов лечения, как:
- Цитостатики – ухудшают процесс пищеварения и могут снизить иммунитет.
- Гипербарические оксигенации – насыщают кровь излишком кислорода.
- Инфузии с физиологическим раствором.
- Гормональные препараты, которые приводят к миопатии мышц легких.
- Разветвленные аминокислоты, которые сокращают продолжительность жизни.
Физические упражнения
При данном виде заболевания очень важно поддерживать тонус мышц. Для этого необходима эрготерапия и физическая терапия.
Эрготерапия дает пациенту возможность жить нормальной жизнью как можно дольше. Этот метод просто необходим в тяжелых случаях заболевания. Физическая терапия помогает сохранить физическую форму, подвижность мышц.
Больному просто необходимы растяжки, которые помогут справиться с болью и уменьшить спазмы мышц. Также они вносят свой вклад в избавление от непроизвольных судорог. Делать растяжку можно самостоятельно (с использованием специальных ремней) или с помощью другого человека.
Любые занятия должны быть продолжительными и регулярными, тогда и эффект будет положительным.
Прогноз на выздоровление
Шансы на выздоровление очень малы, к сожалению, все больные БАС умирают в течение 2-12 лет. Осложняет все наступившая пневмония, проблемы с дыханием и другие заболевания. Симптомы болезни прогрессируют очень быстро, общее состояние пациента становится все хуже. За всю историю медицины имелись только два человека, которым удалось выжить. Один из таких – Стивен Хокинг, который около 50 лет прожил и боролся с амиотрофическим склерозом. Благодаря специальной терапии, креслу, на котором он передвигался и компьютеру, предназначенному для контакта с окружающими людьми, Хокинг до последнего дня вел активную научную деятельность.
Как не запустить болезнь
Понять о развитии у себя данного заболевания на первых порах практически невозможно, так как точные причины его возникновения до конца не изучены. Вторичные профилактические меры направлены на замедление развития заболевания. К ним относят:
- Регулярные консультации невролога и прием лекарственных препаратов.
- Отказ от вредных привычек.
- Правильное и грамотное лечение.
- Сбалансированное питание и прием витаминов.
БАС болезнь неизлечима, учеными и по сей день не установлены ее точные признаки и причины. На данном этапе развития медицины нет такого препарата, который мог бы полностью излечить человека от недуга.

Вопрос-ответ
Можно ли излечиться от БАС?
К сожалению, на сегодняшний день не существует лекарства для полного излечения бокового амиотрофического склероза. Основной целью лечения БАС в клиниках Германии, Израиля, Турции и Австрии является повышение качества жизни, облегчение симптомов и продление жизни пациента.
Как долго люди могут жить с БАС?
БАС чаще развивается у мужчин. Болезнь, как правило, дебютирует в возрасте 58–63 лет — при спорадической форме, и в 47–52 года — при семейном варианте. Средняя продолжительность жизни пациентов с таким диагнозом — всего 2–3 года. Только 7% людей живут дольше 5 лет.
Откуда берется болезнь БАС?
При боковом амиотрофическом склерозе нервные клетки, контролирующие движения (моторные нейроны) начинают постепенно отмирать, что приводит к постепенному ослаблению мышц и их атрофии. БАС передается по наследству в 5-10 процентах случаев. В остальных случаях БАС возникает, судя по всему спонтанно.
Как остановить БАС?
Для лечения БАС широко используются препараты рилузол и эдаравон (Radicava). Препараты подавляют высвобождение глутамата и обладают модифицирующим заболевание (нейропротекторным) действием. Два крупных рандомизированных контролируемых исследования показали, что прием рилузола продлевает жизнь пациентов на 3-6 месяцев.
Советы
СОВЕТ №1
Обратитесь к специалистам. Если у вас или у ваших близких есть подозрения на амиотрофический склероз, важно как можно скорее обратиться к неврологу для диагностики и получения профессиональной помощи.
СОВЕТ №2
Изучите доступные методы лечения. Хотя амиотрофический склероз не поддается полному излечению, существуют различные методы, которые могут помочь замедлить прогрессирование болезни и улучшить качество жизни. Ознакомьтесь с медикаментозными и немедикаментозными подходами.
СОВЕТ №3
Поддерживайте активный образ жизни. Физическая активность и регулярные упражнения могут помочь сохранить мышечную силу и улучшить общее состояние здоровья. Проконсультируйтесь с врачом о подходящих для вас упражнениях.
СОВЕТ №4
Не забывайте о психологической поддержке. Заболевание может оказывать значительное влияние на эмоциональное состояние. Рассмотрите возможность обращения к психологу или участию в группах поддержки для людей с амиотрофическим склерозом.






