
Опухоль гипофиза – это собирательное понятие, включающее доброкачественные и злокачественные новообразования железы. По данным статистики, опухоли диагностируются в 15% случаев всех проблем с гипофизом. Заболевание одинаково часто встречается у мужчин и женщин, в основном в возрасте от 20 до 40 лет. Клиническая картина складывается из мозговой симптоматики и гормональных нарушений, так как гипофиз является железой внутренней секреции. Для диагностики применяют методы визуализации – компьютерную и магнитно-резонансную томографию. Лечение проводится консервативными и хирургическими методами.
Понятие о болезни
Опухолью гипофиза называют патологическое разрастание ткани органа, вызывающее его дисфункцию. Происходит это из-за сбоя в жизненном цикле клеток, которые начинают усиленно размножаться. Патология развивается в основном у молодых мужчин и женщин, реже встречается у детей и пожилых людей.
Гипофиз – это железа внутренней секреции, которая вырабатывает гормоны, регулирующие деятельность других желез и функций организма. Располагается гипофиз в турецком седле – углублении клиновидной кости черепа. Орган разделен на два отдела, вырабатывающих разные гормоны – аденогипофиз и нейрогипофиз.
Опухоли могут быть самостоятельными, происходящими из гипофизарной ткани, или метастатическими – из других органов.
Врачи отмечают, что опухоли гипофиза могут проявляться разнообразными симптомами, включая головные боли, нарушения зрения и изменения в гормональном фоне. Эти опухоли часто приводят к гиперпродукции гормонов, что может вызывать такие состояния, как акромегалия или синдром Кушинга. Важно, что ранняя диагностика играет ключевую роль в успешном лечении. Врачи рекомендуют проводить регулярные обследования, особенно если у пациента наблюдаются перечисленные симптомы. Лечение опухолей гипофиза может включать хирургическое вмешательство, радиотерапию и медикаментозную терапию. Каждый случай индивидуален, и подход к лечению должен разрабатываться с учетом особенностей пациента и характера опухоли. Своевременное обращение к специалисту может значительно улучшить прогноз и качество жизни пациентов.

Классификация
Опухолевые болезни гипофиза классифицируют по разным признакам.
Таблица — Классификация новообразований.
| Признак | Виды | Характеристика |
| Тип опухоли | Доброкачественная | Отличается сравнительно медленным ростом, не прорастает в окружающие ткани, практически всегда имеет капсулу, не дает метастазов |
| Злокачественная | Характеризуется быстрым ростом, может прорастать в соседние ткани, вызывает общую интоксикацию организма, дает метастазы | |
| Локализация | Аденогипофиз | Передняя часть железы |
| Нейрогипофиз | Задняя часть железы | |
| Размер | Микроаденома | Менее 10 мм в диаметре |
| Макроаденома | Более 1 см в диаметре | |
| Функциональная активность | Немая, или негормональная | Не приводит к усиленной продукции гормонов |
| Активная | Вызывает избыток продукции гормонов в зависимости от локализации: соматотропинома, тиреотропинома, гонадотропинома, АКТГ-аденома, пролактинома. |
Чаще всего наблюдают гормонально-активные опухоли, среди них самой распространенной является пролактинома. Существуют так называемые неоднородные аденомы, которые продуцируют несколько гормонов сразу. Крайне редко развиваются злокачественные образования.
По МКБ 10 заболевание кодируется обозначением С75.1.
Причины
Конкретные причины опухолевых заболеваний гипофиза до сих пор не установлены. Имеются лишь теоретические предположения, объясняющие возникновение болезни:
- Генетическая предрасположенность;
- Гормональный дисбаланс в организме;
- Травмы головного мозга;
- Нейротропные инфекции;
- Хронический синусит — воспаление пазух в костях черепа;
- Радиационное поражение;
- Неблагоприятное воздействие на плод во время беременности;
- Патологические роды.
Заболевание вызывает обычно совокупность предрасполагающих факторов.
Лечение опухоли гипофиза вызывает множество обсуждений среди пациентов и врачей. Многие отмечают, что ранняя диагностика играет ключевую роль в успешном исходе. Симптомы, такие как головные боли, нарушения зрения и изменения в гормональном фоне, часто становятся поводом для обращения к специалистам. Пациенты делятся опытом, как важно не игнорировать эти признаки и своевременно проходить обследования. Методы лечения варьируются от медикаментозной терапии до хирургического вмешательства, и каждый случай уникален. Некоторые пациенты отмечают, что после операции качество жизни значительно улучшается, хотя восстановление может занять время. Важно, чтобы врачи и пациенты работали в команде, обсуждая все возможные варианты и выбирая оптимальный путь к выздоровлению.

Клиническая картина
Симптомы опухоли гипофиза у женщин и мужчин определяются характером новообразования, его размером и функциональной активностью.
В 20% случаев патология протекает бессимптомно, что значительно затрудняет диагностику.
Клинические проявления опухолей различаются у детей и взрослых. Это обусловлено разным действием гормонов на детский и взрослый организм.
Таблица -Проявления разных гормональных типов опухоли
| Тип | Симптомы |
| Пролактинома | У мужчин вызывает гинекомастию — увеличение грудных желез. У женщин нарушается менструальный цикл, из груди выделяется молоко. Изменяется состояние кожи — она становится жирной, появляется угревая сыпь, увеличивается количество волос. Из-за нарушения менструального цикла наблюдается вторичное бесплодие. |
| Соматотропинома | У взрослого человека развивается акромегалия — утолщение и расширение костей лица, пальцев. Происходит уплощение носа, гипертрофия надбровных и скуловых дуг, выступание подбородка. Акромегалия сопровождается повышением артериального давления, мышечными болями. При формировании опухоли у ребенка, когда еще не закончен рост костей, развивается гигантизм, неправильный прикус. |
| Гонадотропинома | У женщин нарушается менструальный цикл, появляются маточные кровотечения. У мужчин заболевание вызывает импотенцию, недостаток либидо. У обоих полов формируется вторичное бесплодие. |
| Тиреотропинома | Развивается тиреотоксикоз — гиперфункция щитовидной железы. Проявляется это снижением либидо, похуданием, повышенной раздражительностью, сухостью кожи, экзофтальмом. У человека с тиреотоксикозом наблюдается учащенное сердцебиение и повышенное артериальное давление. |
| АКТГ-аденома | Формируется болезнь Иценко-Кушинга — ожирение в области живота и бедер, круглое лицо, растяжки на коже. Отмечается уреженное сердцебиение, низкое давление, постоянная слабость. |
Также в клиническую картину входят признаки сдавления растущей опухолью мозговых структур. В зависимости от функции сдавливаемого участка развиваются следующие симптомы:
- снижение четкости и остроты зрения вплоть до слепоты;
- двоение в глазах;
- опущение век;
- головные боли;
- хронический насморк;
- судорожный синдром;
- у подростков развивается дефицит внимания;
- снижение интеллекта;
- обмороки.
Эти проявления обусловлены сдавливанием разных черепных нервов и нарушением кровообращения в мозговом веществе.
Головная боль, вызванная опухолью, имеет постоянный тупой характер и не устраняется приемом анальгетиков. Голова болит одинаково в разное время суток и при разном положении тела. Локализуется боль в области затылка.
При сдавлении гипоталамуса, расположенного выше гипофиза, формируются следующие симптомы:
- нарушение температурной регуляции организма;
- повышенный аппетит;
- расстройство сна;
- изменение эмоционального состояния.
Ниже гипофиза располагаются желудочки мозга. Если опухоль давит на них, может накапливаться ликвор и формируется гидроцефалия — водянка мозга.
Доброкачественная
Проявления доброкачественной опухоли обусловлены гиперпродукцией гормона и сдавливанием отделов головного мозга объемным образованием. Небольшие новообразования обычно не вызывают яркой симптоматики. Клиническая картина становится оформленной, когда аденома увеличивается до таких размеров, что начинает сдавливать ткани.
Злокачественная
Такие опухоли встречаются крайне редко. При раке гипофиза будут наблюдаться, прежде всего, признаки общей интоксикации организма:
- головные боли;
- тошнота и рвота;
- похудание;
- повышенная утомляемость;
- бледность кожи;
- потеря аппетита;
- гипотрофия мышц.
Карцинома быстро прорастает в окружающие ткани, дает метастазы в другие органы. Это приводит к летальному исходу в течение нескольких месяцев. Метастазы обычно появляются в регионарных, а затем и в отдаленных лимфатических узлах.
При возникновении подозрительных признаков необходимо обратиться к эндокринологу или неврологу.
Диагностика
Опухолевое нарушение гипофиза диагностируют по определенному алгоритму:
- Выявление жалоб пациента;
- Объективный осмотр;
- Лабораторные методы;
- Инструментальные методы.
Таблица — Исследования для диагностики опухоли.
| Метод | Результат |
| Анализ крови на уровень гормонов | Отклонение от нормы содержания одного или нескольких гормонов гипофиза |
| Осмотр глазного дна | Отек диска зрительного нерва. Дополнительно проверяют остроту зрения. |
| Рентгенография черепа | Расширение турецкого седла, атрофия его дна, утолщение лицевых костей. Рентгеновский снимок делают в двух проекциях. |
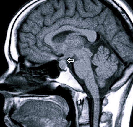
| КТ и МРТ | Визуализация самой опухоли — можно определить образование от 2 мм в диаметре. МРТ позволяет с большой точностью распознать инвазивный рост опухолевого образования. |
| Ангиография сосудов головного мозга | Смещение сонной артерии |
Для постановки диагноза требуются положительные признаки в нескольких исследованиях. Дифференцировать опухоль необходимо с другими объемными процессами — киста, аневризма сосудов. Также необходимо отличать патологию от синдрома пустого турецкого седла, при котором тоже есть офтальмологические симптомы. Для дифференциальной диагностики необходимо провести комплексное обследование пациента.
Методы лечения
Тактика лечения определяется индивидуально для каждого пациента врачом-эндокринологом и нейрохирургом. В зависимости от характеристик опухоли и общего состояния организма применяют лекарственную и лучевую терапию, хирургическое вмешательство. Осуществляется лечение в условиях онкологического диспансера.
Консервативное
Специальной диеты для пациентов с нарушениями работы гипофиза не требуется. Рекомендуется придерживаться принципов здорового питания. Из рациона исключают:
- жирную и жареную пищу;
- консерванты;
- красители и усилители вкуса;
- специи;
- алкоголь.
Полезными являются орехи, сухофрукты, нежирное мясо, морская рыба, овощи, фрукты и зелень.
Для лечения пролактином и АКТГ-аденом применяют препараты — агонисты дофамина. К ним относятся:
- Каберголин;
- Бромокриптин;
- Октреотид;
- Ципрогептадин.
Препарат Каберголин не только способствует уменьшению опухолевого образования, но и нормализует гормональный фон организма. У мужчин происходит восстановление потенции и либидо. У женщин на фоне лечения Каберголином возможно наступление беременности.
Лечение соматотропином осуществляется синтетическими аналогами соматостатина — вещества, подавляющего выработку соматотропного гормона. К таковым относится препарат Сандостатин.
При тиреотоксикозе, вызванном тиреотропиномой, показан прием тиреостатиков, например, Тирозола. Следует помнить, что медикаментозное лечение в данном случае является лишь симптоматическим, устраняющим последствия повышенной продукции гормонов. Для воздействия на причину патологии, то есть аденому, требуется лучевая терапия или хирургическое вмешательство.
Прием лекарственных препаратов продолжается в течение длительного времени — не менее двух лет. Медикаментозное лечение показано при макроаденомах, которые невозможно удалить хирургическим путем.
Лучевая терапия предпочтительна для пожилых пациентов, а также при наличии противопоказаний к хирургическому вмешательству. Назначают ее в случае онкологии, то есть злокачественном характере опухолевого процесса. Безоперационный метод уничтожения опухоли проводится с помощью гамма-ножа. При этом осуществляется воздействие излучением на новообразование со всех сторон, прилежащие ткани в это время не затрагиваются. Излучение вызывает инволютивный процесс в опухолевой ткани и позволяет уменьшить ее в несколько раз. Эффект от лучевой терапии наступает не сразу,требуется проведение нескольких процедур. Такое лечение сопряжено с развитием неприятных побочных эффектов — утомляемость, тошнота и рвота, головные боли, воспаление слизистых.
Рекомендуется лучевая терапия в следующих ситуациях:
- процесс не затрагивает зрительные нервы;
- объемный процесс не распространяется за пределы турецкого седла;
- нет гипертрофии турецкого седла;
- размеры новообразования не превышают 3 см.
Известны и народные рецепты лечения гипофизарных опухолей.
- Настойка клоповника. Траву нарезают и заливают 70% спиртом в соотношении 1:10. Помещают в стеклянную посуду, встряхивают. Настаивают в темном месте в течение недели. Принимают по 10 капель по утрам, растворяя в половине стакана воды.
- Для приготовления еще одного средства берут в равных количествах льняные и тыквенные семечки, нарезанный имбирный корень, мед. Все тщательно измельчают в блендере. Смесь хранят в холодильнике и принимают по чайной ложке перед едой.
- Настойка болиголова. Это ядовитое растение, поэтому необходимо тщательно соблюдать дозировки. Траву заливают 70% спиртом в соотношении 1:10, настаивают в течение недели в темном месте. Принимать средство нужно по определенной схеме. Начинают с одной капли настойки, затем ежедневно добавляют по капле. С сорокового дня принимают в обратном порядке — на одну каплю меньше каждый день.
Лечить опухоли народными средствами не рекомендуется, так как эффективность их не доказана, а откладывание правильного лечения может привести к развитию осложнений.
Хирургическое
Наиболее эффективный метод лечения. Доступ осуществляется через лобную или клиновидную кость. Более современный метод — транссфеноидальный доступ (через носовые ходы с помощью эндоскопического оборудования). Операцию делают при размере опухоли более 5 мм. Заживление при эндоскопической операции происходит намного быстрее, чем при открытой.
- Трансназальное удаление. Рекомендуется, если опухолевое образование находится в пределах турецкого седла или незначительно выходит за него. Осуществляется под местной анестезией, реже – под внутривенным наркозом. Эндоскоп проводится через носовые ходы, затем через решетчатую пазуху, достигая гипофиза. Ход операции контролируется с помощью передачи изображения на экран компьютера. Опухолевые ткани удаляются, кровотечение останавливается с помощью электрокоагулятора.
- Краниотомия. Показана при асимметричном росте опухолевых тканей, прорастании их в близлежащие органы. Доступ осуществляется через лобную или височную кость. Операция проводится под наркозом. После вскрытия черепной коробки происходит удаление опухолевых тканей и участка внешне здоровой ткани вокруг. Это необходимо, чтобы снизить риск рецидивирования.
После оперативного вмешательства пациент находится в медицинском учреждении сроком от 5 до 15 дней, получает антибиотикотерапию, гормональные средства. Это нужно для профилактики послеоперационных воспалительных осложнений, восстановления организма. Дальнейшее лечение осуществляется эндокринологами и неврологами. После оперативного вмешательства требуется ежегодно проходить МРТ, чтобы контролировать состояние гипофиза.
Почему доктора рекомендуют, как можно раньше проводить хирургическое лечение? Чем меньше размер новообразования, тем легче удалить его с наиболее низким риском рецидивирования. Большая опухоль приводит к развитию необратимых осложнений. Поэтому оперативное лечение является наиболее оптимальным вариантом на ранних стадиях заболевания. Прямым показанием к оперативному вмешательству является гормонально-активная опухоль. Иногда требуется сочетание операции и лучевой терапии.
Осложнениями операции могут стать:
- повреждение зрительных нервов и слепота;
- кровотечение из поврежденных сосудов;
- головные боли вследствие массивного истечения ликвора;
- инфицирование мозговой ткани.
Правильно проведенная операция восстанавливает нарушенные зрительные функции в 67% случаев, эндокринные нарушения исчезают в 23% случаев. Рецидивирование патологии наблюдается у 13% пациентов.
Осложнения
Большинство осложнений связано с эндокринными нарушениями:
- несахарный диабет;
- артериальная гипертензия;
- остеопороз;
- стероидная язва желудка;
- психозы;
- кардиомиопатия;
- сердечная недостаточность.
Доля развивающихся осложнений составляет примерно 10% при условии своевременного лечения, и увеличивается до 80% при отсутствии лечебных мероприятий.
Прогноз
В случае доброкачественной опухоли прогноз для жизни благоприятный — излечению поддаются 80% случаев. Продолжительность жизни человека не страдает. Крупные опухоли более 2 см в диаметре удалить сложно, поэтому возможно рецидивирование болезни в течение пяти лет. Лечиться необходимо своевременно, не дожидаясь увеличения новообразования. Длительное течение заболевания может привести к необратимым последствиям, связанным со сдавливанием мозговых структур.
Карцинома практически в 100% случаев заканчивается летальным исходом. Своевременное обнаружение болезни и адекватное лечение позволяет продлить жизнь на 5-7 лет. Карцинома нередко приводит к рецидивированию. Вылечить злокачественную опухоль гипофиза полностью невозможно.
Пациенты с излеченной аденомой могут жить полноценной жизнью, несмотря на появившиеся осложнения. Большинство из них могут работать на прежней работе, некоторым присваивается инвалидность.
Профилактики заболевания не существует. Чтобы снизить риск возникновения недуга, требуется избегать травмоопасных ситуаций, своевременно лечить любые инфекционные заболевания, правильно вести беременность и роды.

Вопрос-ответ
Как проявляет себя опухоль гипофиза?
Опухоль давит на соседние структуры мозга, нарушает гормональный обмен в организме пациента. При значительном увеличении образования возникают общие симптомы в виде тошноты, головной боли, рвоты, паралича мышц. Прогноз при аденоме гипофиза зависит от того, на какой стадии обнаруживается опухоль.
Где болит голова при опухоли гипофиза?
Она тупая, не сопровождается тошнотой, ее интенсивность не зависит от положения тела. Головная боль при аденоме гипофиза обычно распространяется на виски и лобную часть. Она практически не купируется обезболивающими препаратами.
Какие таблетки пьют при аденоме гипофиза?
При пролактин-продуцирующих опухолях назначают каберголин и бромокриптин, АКТГ-продуцирующих опухолях — кетоконазол, митотан, метирапон, пасиреотид, опухолях, продуцирующих гормон роста — аналоги соматостатина и ланреотид.
Как понять, что есть проблемы с гипофизом?
Гипофизарную недостаточность, головные боли, офтальмологическую симптоматику, в том числе снижение остроты зрения, диплопию, уменьшение поля зрения, в тяжелых случаях – слепоту, вегетативные кризы.
Советы
СОВЕТ №1
Обратите внимание на симптомы: если вы замечаете изменения в зрении, постоянные головные боли, нарушения гормонального фона или резкие изменения веса, не откладывайте визит к врачу. Раннее выявление опухоли гипофиза значительно увеличивает шансы на успешное лечение.
СОВЕТ №2
Регулярно проходите медицинские обследования: если у вас есть предрасположенность к заболеваниям эндокринной системы или в вашей семье были случаи опухолей, важно проходить регулярные обследования, включая МРТ и анализы на гормоны.
СОВЕТ №3
Обсуждайте все варианты лечения с врачом: лечение опухоли гипофиза может включать хирургическое вмешательство, радиотерапию и медикаментозную терапию. Обсуждайте с врачом все доступные варианты и выбирайте тот, который наиболее подходит для вашего случая.
СОВЕТ №4
Поддерживайте психологическое здоровье: диагноз опухоли гипофиза может быть стрессовым. Рассмотрите возможность обращения к психологу или группе поддержки, чтобы справиться с эмоциональными и психологическими последствиями заболевания.





