
Мозг человека – это сложнейший орган, который труден для изучения и проведения диагностики. В то же время это самый главный орган в человеческом организме, который отвечает за работу других важных систем.
МРТ – один из самых эффективных методов изучения мозга и выявления в нем различных патологий. Данное исследование назначается не только взрослым пациентам, но и маленьким детям. По сравнению с другими диагностиками этот метод считается самым безопасным для детей.
Что показывает МРТ, кому его можно сделать, а кому нет, как к нему подготовиться и как расшифровываются полученные результаты – расскажем далее.
Что это такое
МРТ является неинвазивным обследованием с использованием высокочастотного магнитного поля, основанным на получении снимка с детальным изображением мозга. При МРТ головного мозга рентген не применяется. Данная методика помогает выявить опухоли, аневризмы, патологии в сосудистой и нервной системе.
Помимо этого, исследование помогает определить степень активности коры. МРТ головного мозга может проводиться с введением контрастного вещества и без него. Контраст увеличивает отличие между тканями, что дает возможность выявить даже мельчайшие патологии. Его используют достаточно редко из-за риска возникновения аллергических реакций.
МРТ головного мозга является важным инструментом в диагностике различных заболеваний. Врачи отмечают, что данное исследование проводится в случаях подозрения на опухоли, инсульты, травмы головы, а также при наличии неврологических симптомов, таких как головные боли, нарушения координации или изменения в поведении. МРТ позволяет получить детализированные изображения тканей мозга, что помогает выявить аномалии, воспалительные процессы и другие патологии. Специалисты подчеркивают, что отсутствие ионизирующего излучения делает МРТ безопасным методом, что особенно важно для пациентов с хроническими заболеваниями и для детей. Кроме того, результаты МРТ могут быть использованы для мониторинга эффективности лечения и динамики заболевания.

Преимущества методики
Томография головы обладает следующими преимуществами:
- отсутствуют болевые ощущения, и не требуется вводить лишние предметы в организм пациента;
- человек не подвергается ионизирующему облучению;
- готовый снимок получается очень четким, даже если ткани располагаются на разной глубине;
- после процедуры пациенту не требуется восстанавливаться;
- по назначению врача проводится комплексное обследование головы и верхнего отдела позвоночника. Оно оценивает функциональную активность мозга или отдельной его зоны, а также помогает выявить мозговые центры. Эти данные нужны для того, чтобы не повредить функциональную часть мозга во время оперативного вмешательства;
- исследуются те участки головного мозга, которые закрыты костными структурами. Иные диагностические методы такого делать не могут;
- методика очень информативна и помогает дать полную картину сосудистой системы даже без введения контрастного вещества;
- помогает обнаружить опухоли на ранней стадии их формирования.
Зачем проводят обследование
МРТ мозга считается самым чувствительным диагностическим методом.
Он помогает на ранней стадии выявить наличие изменений в мягких и соединительных тканях оболочки мозга: изменения вследствие ДТП, воспалительных процессов, нарушений деятельности ЦНС.
Данная диагностика разработана для изучения всех структур и отделов мозга: мозжечок, гипофиз, зрительные отделы затылочной доли, желудочки мозга, отделы, отвечающие за память и мышление.
Перед обследованием пациент обязательно должен сдать анализы. По ним определяется дальнейшая тактика проведения диагностического обследования. К примеру, если у больного выявлен повышенный уровень гормона пролактина, то ему проводят диагностику мозжечка.
Что может показать МРТ? Данная диагностика выявляет наличие:
- Опухолей в головном мозге. Они могут быть доброкачественными, злокачественными. Методика помогает не только найти опухолевое образование, но и следить за его ростом, прогрессом проводимого лечения или процессом выздоровления пациента после перенесенного оперативного вмешательства.
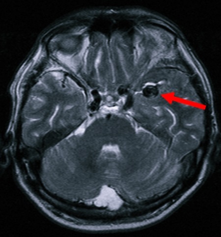
- Ишемических инсультов и инфарктов головного мозга. Снимок позволяет определить зону ишемического поражения, стадию его развития, образование отека, плотность пораженных тканей, наличие некроза в мозговой ткани.
- Рассеянного склероза. На снимке будут показаны очаги поражения миелиновой оболочки нервных волокон. Также диагностика помогает изучить степень их распространения, стадию, эффективность проводимой терапии.
- Психических расстройств, которые носят экзогенный и эндогенный характер. Такие патологии могут быть наследственными, полученными в результате черепно-мозговой травмы и в результате развития вирусной инфекции, токсического отравления. Эта методика определяет наличие функциональных отличий в различных частях головного мозга, структурных нарушений в мозге. Благодаря чему только МРТ может обнаружить такую болезнь как шизофрения.
- Болезней коры головного мозга. Сюда следует отнести болезнь Альцгеймера, Паркинсона. Диагностика дает возможность определить плотность серого и белого вещества, церебральную атрофию коры и подкорки головного мозга.
- Повреждений, которые связаны с полученными ранее травмами. Диагностика определяет наличие повреждений в сосудах, последствия, нанесенные головному мозгу. Помимо этого, определяется появление первых признаков ВСД.
Магнитно-резонансная томография головы детям назначается при:
- развитии внутриутробных инфекционных процессов и после травмирования, ушиба головы, получения сотрясения мозга;
- нарушениях в развитии, гипоксии, ишемии;
- появлении первых признаков такого заболевания как рассеянный склероз;
- эпилептических припадках и мозговом кровоизлиянии;
- повышенном внутричерепном давлении;
- появлении кист, опухолей в мозге и подозрений на них;
- изменении работы гипофиза или наличии в нем опасных заболеваний;
- нарушении работы внутреннего уха, резком ухудшении слуха и зрительной активности.
Таким образом, МРТ дает возможность изучить состояние всех структур головного мозга, выявить причину появления у ребенка частых головных болей.
Помните, что проблемы в головном мозге порой становятся причиной развития у ребенка аутизма, поэтому данная методика очень активно применяется в неврологии.
Магнитно-резонансная томография (МРТ) головного мозга — это высокоинформативный метод диагностики, который позволяет получить детализированные изображения структуры мозга. Многие пациенты отмечают, что процедура безболезненная и не требует специальной подготовки. МРТ часто назначают при подозрении на различные заболевания, такие как опухоли, инсульты или травмы. Люди говорят о важности этой диагностики для выявления патологий на ранних стадиях, что значительно увеличивает шансы на успешное лечение. Кроме того, результаты МРТ помогают врачам в выборе оптимальной тактики лечения и мониторинге динамики заболевания. Однако некоторые пациенты выражают беспокойство по поводу длительности процедуры и необходимости находиться в замкнутом пространстве, что может вызывать чувство дискомфорта. В целом, МРТ головного мозга воспринимается как надежный и необходимый инструмент в современной медицине.

Есть ли отличия в МРТ и КТ головного мозга
МРТ головного мозга отличается от других диагностических процедур, к примеру, КТ. Особенности у него следующие:
- Исследование проводится в нескольких проекциях, поэтому обладает большими возможностями.
- Помогает увидеть патологию на ранних стадиях ее развития. К примеру, прогрессирование ишемического инсульта с помощью МРТ можно выявить через 2-3 часа.
- Выявляет незначительные нарушения в мозге при рассеянном склерозе.
- Используется, чтобы рассмотреть те отделы мозга, которые при помощи компьютерной томографии изучить нельзя: мозжечок, ствол мозга.
Показания к проведению
Обследование мозга проводится для постановки диагноза или его уточнения при подозрениях на развитие серьезных патологий.
МРТ головы используется медиками при появлении:
- болезней и аномалий в сосудах головного мозга;
- ушибов и травм головы, сопровождающихся внутренними кровоизлияниями;
- опухолей в голове и мостомозжечковом узле;
- проблем со слуховой и зрительной активностью;
- инфекционных заболеваний в ЦНС. Сюда относится развитие менингита, абсцессов, ВИЧ-инфекции;
- пароксизмальных состояний;
- аномалий в сосудах головного мозга. В данную категорию входит развитие аневризмов, тромбозов;
- эпилепсии и аденоме гипофиза;
- рассеянного склероза и синусита;
- патологий в основании черепа;
- нейродегенеративных болезней.
Помимо этого такое обследование проводится перед или после хирургической операции.
Также МРТ головного мозга назначается пациентам, которые жалуются на:
- головную боль, мигрень, головокружения, обмороки. Они часто возникают, когда нарушена ликвородинамика;
- шум в ушных проходах;
- кровотечения из носовой полости;
- резкое ухудшение памяти и снижение концентрации внимания;
- нарушение чувствительности и координации движений;
- психические расстройства.
Противопоказания к применению
Врачи отмечают, что противопоказания к проведению данной диагностики могут быть относительными или абсолютными. Если у пациента выявлены относительные противопоказания, то это свидетельствует о том, что ему диагностику проводить не желательно. Проводится она тогда, когда на это имеются серьезные причины.
Абсолютные показания – это те, при наличии которых МРТ диагностику проводить категорически запрещено.
Этими показаниями является наличие у пациента:
- кардиостимуляторов, нейростимуляторов;
- кохлеарного имплантата, протезов в области внутреннего уха, инсулиновых помп;
- ферромагнитных и электронных имплантатов в среднем ухе;
- протезов в клапанах сердца;
- больших металлических имплантатов, ферромагнитных осколков;
- аппарата Илизарова.
Список относительных показаний к проведению данной диагностики следующий:
- тремор и невозможность человеком надолго задерживать дыхание при проведении различных обследований;
- зубные протезы, брекет-системы, кава-фильтры, стенты;
- аортокоронарное шунтирование;
- клипса, установленная после удаления желчного пузыря;
- сердечная недостаточность;
- беременность;
- боли, при которых человек не способен долго находиться в неподвижном состоянии;
- клаустрофобия и проведение физиологического мониторинга.
Подготовка
Первоначально врачом определяется то, будет ли проводиться МРТ с введением контраста или без него. От этого решения зависят все процедуры по подготовке к исследованию. Если диагностика проводится с введением контрастного вещества, то больному рекомендуется за 5 часов до проведения процедуры полностью отказаться от приема пищи и жидкости. Непосредственно перед процедурой пациент должен снять с себя все украшения и аксессуары, наручные часы.
Помните, что если пациентка находится в положении, то об этом следует сообщить специалисту перед диагностикой.
Также нужно сообщить о наличии хронических болезней и аллергической реакции на некоторые лекарственные препараты, клаустрофобии.
Если процедура будет проводиться ребенку, то ему не рекомендуется пить и есть за 3 часа до обследования. Если ему будет вводиться контрастное вещество или наркоз, то обследование проводится на голодный желудок. Перед процедурой ребенка следует показать анестезиологу, который проверит наличие у него аллергической реакции на вводимый препарат.
Особенности проведения процедуры
Если МРТ головного мозга будет проводиться с введением контрастного вещества, то диагностика займет больше времени.
Этапы проведения обследования:
- Пациент снимает с себя одежду и все предметы, которые содержат металлические вкладки.
- Далее он ложится на движущийся стол. Обычно его укладывают на спину.
- Затем ему вводится внутривенно контрастное вещество. Его вводят с помощью специального катетера или вручную.
- Если пациент не может долгое время находиться в неподвижном состоянии, то он принимает седативное средство.
- Руки и ноги фиксируются на столе с помощью ремней. Под голову кладутся валики. Чаще всего их используют для детей, так как они не могут долгое время находиться в неподвижном состоянии.
- Стол приходит в движение и направляется внутрь капсулы томографа. Врач должен покинуть помещение, где находится больной. Он следит за процедурой из специальной комнаты. Это связано с тем, что лучи, которые выделяются во время диагностики, могут быть опасными для здоровья человека, постоянно присутствующего в помещении.
- Процедура является совершенно безопасной и безболезненной. Во время нее пациент практически ничего не чувствует.
- Во время диагностики пациент слышит легкий механический треск от работы прибора. В месте введения контрастного вещества он может почувствовать легкое покалывание.
- Длительность процедуры составляет 1 час. Все это время пациент должен быть неподвижным. Благодаря этому результаты будут более точными.
Особенности обследования детей
Ребенку любого возраста очень трудно долгое время находиться в неподвижном состоянии. В связи с этим томография головного мозга ему проводится под медикаментозным наркозом: вводится Пропофол.
Если ребенку больше 5 лет, то ему вводится успокоительное. Перед процедурой с ним разговаривают и настраивают на нее.
Во время проведения обследования малышу могут показывать мультики и игрушки. В настоящее время все большей популярностью пользуются открытые томографы, где внутрь капсулы может входить только голова малыша, а родители находятся рядом и держат его за руку.
Перед процедурой ребенок должен посетить туалет. У него следует забрать все электронные устройства и предметы, содержащие металлические части. Далее его переодевают в специальную одежду. Войдя в комнату, малыша следует познакомить с прибором и дать послушать, как он работает.
Диагностику можно проводить только тогда, когда ребенок успокоился и дает согласие на обследование.
Расшифровка полученных данных
Результаты расшифровываются сразу же после проведения диагностики. Снимки смотрит врач-радиолог. Расшифровка длится около 30 минут. Результаты анализа выдаются больному или отдаются лечащему врачу.
Что покажет МРТ снимок? В расшифровке содержится информация про:
- скорость кровяного потока;
- жидкость в канале спинного мозга;
- степень диффузии тканей;
- активность коры головного мозга во время влияния различных раздражителей.
Может ли болеть голова после диагностики
Если у человека после диагностики возникло недомогание, слабость, тошнота, рвота, головокружение и дезориентация в пространстве, это нормально. Такая реакция возникает у людей:
- с повышенной чувствительностью;
- при нарушении правил проведения процедуры;
- при наличии на теле пациента или на его одежде металлических предметов.
Обычно неприятные ощущения проходят самостоятельно, но если симптомы долго не исчезают, то пациенту следует обратиться к врачу.
Таким образом, магнитно-резонансная томография головного мозга – это больше полезная процедура, чем вредная. Привести к появлению у человека головных и иных болей не может. Она лишь поможет доктору определить характер возникающих болевых ощущений и поставить диагноз. В настоящее время данное обследование назначается практически каждому пациенту, который жалуется на неприятные ощущения в области головы.
Вопрос-ответ
Какие болезни видно на МРТ мозга?
Кистообразование, аневризмы, тромбоз и другие сосудистые патологии, гематомы, опухоли – доброкачественные и злокачественные, ишемические зоны, повышение внутричерепного давления.
Какие диагнозы может показать МРТ головного мозга?
Ишемический, геморрагический инсульт, тромбозы и аневризмы сосудов, новообразования, кисты, болезнь Альцгеймера, эпилепсия, атеросклероз, рассеянный склероз, Ещё
Что можно определить с помощью МРТ головного мозга?
МРТ поможет определить расположение тромба, объем поражения головного мозга. Самое главное – МР-томография головного мозга позволяет отличить ишемический инсульт от геморрагического, что значительно влияет на тактику лечения и может спасти пациента от тяжелых последствий и гибели, энцефалит, менингит.
В чем разница между МРТ головы и головного мозга?
Основное отличие МРТ сосудов головного мозга и МРТ головного мозга заключается в том, что эти два обследования дают нам совершенно разный фокус сканирования, и назначаются они для выявления совершенно разных заболеваний головы.
Советы
СОВЕТ №1
Перед проведением МРТ головного мозга обязательно проконсультируйтесь с врачом. Он поможет определить необходимость исследования и объяснит, какие симптомы могут требовать данного обследования.
СОВЕТ №2
Убедитесь, что у вас нет противопоказаний для проведения МРТ, таких как металлические имплантаты или аллергия на контрастные вещества, если они будут использоваться. Сообщите об этом своему врачу.
СОВЕТ №3
Перед процедурой постарайтесь расслабиться и не нервничать. МРТ может занять от 15 до 60 минут, и важно оставаться неподвижным для получения качественных изображений.
СОВЕТ №4
После получения результатов МРТ обсудите их с врачом. Он сможет объяснить, что показывают снимки, и назначить дальнейшие действия, если это необходимо.












