
Демиелинизирующая болезнь формирует разнородную клинико-морфологическую группу, главный представитель которой – рассеянный склероз. Болезнь, в основном, поражает молодых людей, имеет прогрессивный, преимущественно, долгосрочный хронический курс. Основная морфологическая особенность – демиелинизация, возникающая в результате поражения олигодендроглии или прямого повреждения миелина.
Что это такое?
Демиелинизирующее заболевание головного мозга образуется вторично в связи с инфекциями – воспалительными, вирусными заболеваниями или вакцинацией, иногда является последствием метаболического или генетически обусловленного нарушения метаболизма миелина. Другие причины – гипоксическо-ишемическое повреждение, отравление.
Фактор риска демиелинизации головного мозга – лихорадочные заболевания, симптомы болезни могут быть весьма серьезными. При этих заболеваниях происходит постепенное разрушение миелина (= липопротеин, формирующийся с помощью белков и жирных веществ, задача которого заключается в ускорении проводимости кислорода). Демиелинизирующее заболевание протекает относительно долго, постепенно улучшается. Демиелинизирующие заболевания происходят в результате разрушения миелина, как в ЦНС, так и в ПНС.
Наиболее распространенные заболевания демиелинизирующие болезни:
- рассеянный склероз;
- диффузный склероз, известный также как болезнь Шильдера;
- полинейропатия, затрагивающая ПНС;
- амиотрофический латеральный склероз;
- ОДЭМ = острый диссеминизированный энцефаломиелит.
В соответствии с МКБ-10 демиелинизирующие болезни определяются по следующему коду: G00-G99 – болезни нервной системы → G35-G37 – демиелинизирующие заболевания ЦНС.
Врачи подчеркивают важность классификации демиелинизирующих заболеваний для правильной диагностики и выбора эффективного лечения. Существуют различные типы этих заболеваний, включая рассеянный склероз, синдром Девика и другие. Каждый из них имеет свои клинические проявления и патогенез, что требует индивидуального подхода к пациенту. Специалисты отмечают, что ранняя диагностика и точная классификация позволяют значительно улучшить прогноз и качество жизни больных. Кроме того, понимание различных форм демиелинизации помогает в разработке новых терапевтических стратегий, направленных на замедление прогрессирования болезни и восстановление нервной функции. Врачи призывают к дальнейшим исследованиям в этой области, чтобы углубить знания о механизмах заболеваний и улучшить методы их лечения.

Рассеянный склероз
Sclerosis multiplex cerebrospinalis (множественный цереброспинальный склероз, рассеянный склероз) – это хроническое демиелинизирующее заболевание, при котором иммунная система человека атакует центральную нервную систему. В наших географических условиях является довольно распространенной болезнью. РС затрагивает около 60-100/100 000 (и даже больше) человек, особенно людей молодых и среднего возраста. Иногда может развивается контрастно – у ребенка (МРТ показывает проявления незавершенной миелинизации) или, наоборот, в пожилом возрасте. Заболевание чаще проявляется в 20-40-летнем возрасте, затрагивает больше женщин (соотношение женщин и мужчин составляет 2:1). Точная причина демиелинизирующей болезни пока неуточненная, но в настоящее время РС считается хроническим воспалительным аутоиммунным расстройством, имеющим происхождение в нарушении клеточного иммунитета. Развитие демиелинизирующего заболевания находится под влиянием нескольких факторов – генетических, окружающей среды.
Миелинизация – это процесс формирования оболочек миелина на нервных волокнах. Миелин начинает копиться в течение пренатального периода – около 5 месяца развития, заканчивает – к 2-м годам жизни.
Симптомы
Рассеянный склероз непредсказуем, он проявляется индивидуально у каждого человека. При более легкой форме признаки в течение некоторого времени могут исчезнуть. В других случаях демиелинизирующая болезнь атакует быстро, оставляет постоянные последствия. Преобладающие клинические признаки зависят от местоположения очагов демиелинизации головного мозга. В начале болезни проявляется следующая клиническая картина:
- Оптический ретробульбарный неврит – одностороннее расстройство зрения, которое обычно быстро и полностью корректируется. Иногда остается центральный скотом (место на сетчатке, физиологически не реагирующее на падающий свет, также известное как слепое пятно).
- Чувствительные симптомы – в основном параэстезия (неприятное ощущение покалывания, зуда, жжения кожи без длительных эффектов) в верхних и нижних конечностях, в основном, асимметричная. Слабость или онемение одной или нескольких конечностей – первый признак этого заболевания примерно у половины пациентов. У более молодых пациентов вторичным признаком может быть невралгия тройничного нерва.
- Вестибулярный синдром (нарушение баланса вестибулярного аппарата) – в основном центральный, иногда с сильным головокружением. Нистагм (колебательное движение глазных луковиц) распространен даже без субъективных вестибулярных симптомов. Частые симптомы – это диплопия (двойное зрение) и интернуклеарная офтальмоплегия (поражение нервов шейного отдела – затылочных). Иногда РС может начаться картиной острого диссеминированного энцефалита (острого воспаления головного мозга).
- Спастические двигательные симптомы – в начале заболевания отсутствует выраженный паралич или спастичность (повышенное напряжение мышечных волокон с более или менее частым мышечным подергиванием). Симптомы сопровождаются повышенной усталостью, неопределенностью в ходьбе, слабостью, неуклюжестью. В ходе обследования обнаруживается гиперрефлексия (повышенные рефлексы) со спазматическими пирамидальными явлениями, часто – приглушение абдоминальных рефлексов.
- Расстройства мозжечка – распространенный мозговой симптом, варьирующийся по интенсивности, от легкой атаксии (нарушение координации движения) одной конечности до тяжелой атаксии ходьбы, нарушений равновесия, которые также могут быть связаны с атаксией позвоночника (нарушение равновесия ухудшается в темноте и при закрытых глазах).
- Нарушения сфинктеров, особенно мочеиспускательного, частые позывы к мочеиспусканию, которые должны быть немедленно выполнены (мочевой пузырь имеет низкую емкость, часто сокращается, когда накапливается содержимое). Позднее добавляется удержание или недержание мочи. Могут также возникнуть сексуальные расстройства (импотенция).
- Психические симптомы – аффективность, депрессивные синдромы, эйфория. Интеллект не повреждается. Распространена усталость.
Другие проявления очень разнообразны. Существуют разные варианты опасной злокачественной формы, при которой в течение нескольких лет пациент прикован в постели. Может наступить смерть. При доброкачественных формах в течение многих лет больной подвижен, имеет лишь незначительные симптомы. Тем не менее, в большинстве случаев в течение нескольких лет прогрессивно снижается динамика, в ней могут преобладать спастические и мозжечковые симптомы с тяжелой атаксией, преднамеренным тремором, комбинированными спастическо-атаксичными проявлениями.
Изменения и нарушения сосудистого генеза часто приводят к психическим расстройствам. Но, субкортикальные локализации не обязательно имеют симптомы – они могут протекать в латентном состоянии. Дисциркуляторные очаги (многоочаговое поражение) имеют выраженную симптоматику.
Классификация демиелинизирующих заболеваний вызывает много обсуждений среди специалистов и пациентов. Многие отмечают, что четкая классификация помогает лучше понимать механизмы заболеваний и разрабатывать эффективные методы лечения. Например, рассеянный склероз, как наиболее распространенное демиелинизирующее заболевание, имеет множество подтипов, что усложняет диагностику и требует индивидуального подхода к каждому пациенту.
Некоторые врачи подчеркивают важность ранней диагностики и дифференциации между различными формами заболеваний, чтобы избежать прогрессирования симптомов. Пациенты, в свою очередь, часто выражают недовольство недостатком информации о своих диагнозах и путях лечения. Обсуждения в медицинских кругах также касаются необходимости улучшения междисциплинарного взаимодействия для более точного понимания и классификации этих заболеваний. В конечном итоге, правильная классификация может стать ключом к более эффективной терапии и улучшению качества жизни пациентов.

Диагностика
Демиелинизирующий процесс головного мозга требует проведения тщательного диагноза:
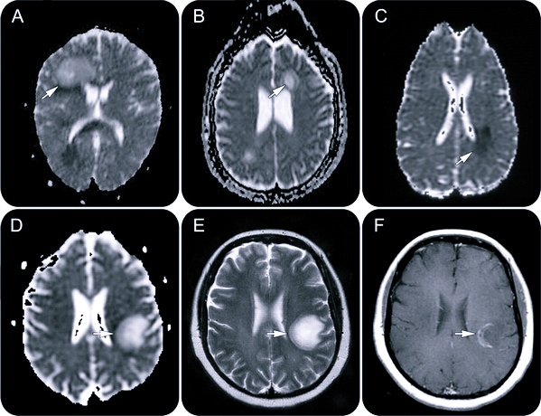
- МРТ – магнитная томограмма показывает гиперсигнальные очаги в белом веществе головного и спинного мозга на изображениях Т2 и гипосигнальные очаги – на Т1 (количество коррелирует с тяжестью заболевания);
- исследование цереброспинальной жидкости – интратекальный синтез IgG, наличие по меньшей мере 2 олигоклональных полос в щелочной части спектра, не присутствующей в сыворотке, плейоцитоз мононуклеарных клеток (до 100/3), распространенность лимфоцитов;
- исследование вызванных потенциалов (визуальных и соматосенсорных) – увеличение латентности волн;
- офтальмологическое обследование (в случае ретробульбарного неврита) – в острой стадии присутствует отек папилы, позднее – его временное замирание (проявление атрофии);
- гистология – указывает на присутствие воспалительных изменений в голове, дистрофические процессы, дегенерацию нейронов (глиоз).
Лечение
Терапия сосредоточена на влиянии на иммунореактивный процесс. К сожалению, причина рассеянного склероза не может быть устранена. Поэтому лечение направлено на улучшение здоровья пациента, смягчение его состояния. Используемые методы можно разделить на 3 группы:
- Кортикоиды – доминирующие средства в период обострения. Они вводятся в основном в период приступа, преимущественно, внутривенно в инфузиях. Применяется Метилпреднизолон. Если терапевтический эффект недостаточен, можно однократно использовать Циклофосфамид.
- В период профилактики рецидивов используются поддерживающие дозы Преднизона или других иммунодепрессантов (Азатиоприн, Циклофосфамид) для замедления дальнейшей атаки и стабилизации процесса. Этот вид лечения в основном используется на ранних стадиях у приступообразной формы. Долгосрочное применение кортикостероидов чревато рядом возможных побочных эффектов, поэтому они всегда вводятся в разовой суточной дозе через день (чередующийся метод).
- Симптоматическое лечение руководствуется клиническими проявлениями. При спастичности применяются миорелаксанты (Баклофен, Тизанидин, Тетразепам). Церебральные симптомы улучшает Физостигмин, тремор – Клоназепам, иногда в сочетании с Тримепранолом. Парестезию может облегчить Карбамазепин, Амитриптилин или гидантоины. Мелипрамин или Дитропан можно использовать против нарушения мочеиспускания. Частью лечения является хорошо подобранная реабилитация. Регулярное целенаправленное лечение важно при наличии определенных провокационных факторов и улучшения прогноза.
Диффузный склероз Шильдера
Демиелинизирующее заболевание также известно, как болезнь Шильдера. Она поражает детей и молодых людей, имеет ненаследственный характер, прогрессивное (быстро развивающееся) течение. Максимальное время выживания – 10 лет.
Основа демиелинизирующей болезни – значительный очаг разрушения миелина, по всей мозговой доле, как правило, распространяющийся по мозолистому телу (каудальное тело, ответственное за присоединение к полушариям головного мозга). Кроме того, в стволе, спинном мозге и зрительных нервах имеются многочисленные единичные небольшие демиелинизирующие поражения.
Развитие болезни Шильдера приводит к следующим проявлениям:
- гемиплегия (паралич всей левой или правой стороны тела) или квадриплегия (полный или частичный паралич всех 4-х конечностей и туловища);
- омонимичная гемианопсия (затемнение половины поля зрения);
- кортикальная слепота, глухоты;
- псевдобульбарный синдром.
Диагностика и лечение – такие же, как при рассеянном склерозе.
Полиневропатия, поражающая ПНС
Полиневропатия – это группа демиелинизирующих заболеваний периферических нервов, поражающих представителей обоих полов. В возникновении болезни участвуют влияния эндогенных и экзогенных факторов:
- воспаление;
- нарушение обмена веществ;
- токсические, иммунопатогенные эффекты;
- дефицит витаминов, питательных веществ;
- дегенеративные, паранеопластические факторы и др.
Причины следующие:
- наследственные: моторная и сенсорная невропатия;
- метаболические: сахарный диабет, уремия, печеночные расстройства, порфирия, гипотиреоз;
- дефицит питания: недостаток витаминов B12, B1, алкоголь, недоедание, мальабсорбция;
- токсичные: алкоголь, наркотики, органические промышленные вещества (бензол, толуол, акриламид, дисульфид углерода), металлы (ртуть, свинец);
- воспалительно-аутоиммунные: синдром Гийена-Барре, острые и хронические воспалительные демиелинизирующие невропатии, болезнь Лайма;
- аутоиммунные заболевания: узелковый полиартериит, ревматоидный артрит, системная красная волчанка, саркоидоз;
- паранеопластические: рак, лимфопролиферативные расстройства, миелома, гаммапатия.
Затрагиваются, в основном, длинные нервы, клинические проявления преобладают в дистальных отделах конечностей (на противоположной стороне поражения). Признаки могут быть симметричными и асимметричными. Нередко преобладают симптомы чувствительные, двигательные, вегетативные в отношении 3-х основных типов нервных волокон.
Первые симптомы включают жжение, покалывание, чувство стянутости, холода, боль, снижение чувствительности. Эти признаки обычно начинаются на стопах ног, откуда распространяются на лодыжки. Позже, когда поражения вырастают в объемах, проявления достигают области берцовой кости, появляются на пальцах рук.
Среди двигательных проявлений наиболее частые – судороги, тремор мышц (подергивание), слабость мышц, атрофия, повышенная усталость, неуверенная походка.
Расстройство вегетативных нервов вызывает нарушение потливости, кровообращения, сердечного ритма. Происходит снижение рефлексов, нарушение обоняния, поражение глубокой чувствительности и т. д.
Диагностика
Полиневропатия может развиваться остро и хронически. Демиелинизирующее заболевание требует полного профессионального обследования. Необходимо исследовать кровь, мочу (исключить причины диабета, расстройства печени, почек и т.д.). Проводится рентген грудной клетки, ЭМГ, исследование цереброспинальной жидкости (люмбальная пункция), обследование членов семьи, нервная и мышечная биопсия.
Лечение
Лечить полинейропатию можно после определения ее причины. Основа терапии – именно устранение причинного фактора. Значительная часть лечебного процесса – поддерживающая, направленная на регенерацию периферических нервов, но не затрагивающая основные причины, не излечивающая демиелинизирующую болезнь. Неприятные проблемы устраняются антидепрессантами, седативными средствами. Для уменьшения нервного раздражения используется Карбамазепин или Фенитоин.
Латеральный амиотрофический склероз (ЛАС)
Заболевание также известно как болезнь Лу Герига или болезнь мотонейрона.
ЛАС начинается незаметно. У пациента возникают трудности с обычными действиями (письмо, застегивание пуговиц). Позже развиваются проблемы с ходьбой, мышечные судороги, трудности с глотанием. В конце больной полностью парализован, зависит от искусственного дыхания, питания. При смертельном ЛАС пациент постепенно теряет нервные клетки. В 5-10% случаев заболевание имеет наследственную форму.
Демиелинизирующее заболевание характеризуется селективным нарушением центральных и периферических моторных нейронов (моторный нейрон – нервная клетка, непосредственно иннервирующая скелетные мышцы). Речь идет о постепенном исчезновении мотонейронов спинного мозга, в области мозгового ствола, дегенерации кортикоспинального пути. Для положительного заключения в обнаружении заболевания требуется потеря около 40% моторных нервов. До тех пор болезнь не имеет никаких очевидных симптомов. К сожалению, причина расстройства пока неизвестна. Это – комбинированное поражение I и II двигательных нейронов.
Типичные проявления: мышечная атрофия, фасциоз, тендинококковая гиперрефлексия, спастические явления. Болезнь начинается около 40-50-летнего возраста (чаще – до 60 лет). Развивается неуклюжесть рук, позже добавляются трудности при ходьбе. Вскоре возникает атрофия мышц. Могут присутствовать мышечные спазмы, боли. Иногда болезнь начинается с бульбарного синдрома, трудностей с речью, глотанием.
Лечения демиелинизирующего недуга не существует, терапия только симптоматичная, но не очень эффективная, не целенаправленная. Некоторая задержка в ходе заболевания была продемонстрирована при применении препарата Рилузол (Рилутек). Прогрессирование очень быстрое, обычно в течение 5 лет с момента начала заболевания.
ОДЭМ = острый диссеминизированный энцефаломиелит
Демиелинизирующее заболевание головного и спинного мозга, происходящее после острых вирусных инфекций (корь, краснуха и т.д.) или некоторых видов вакцинации (например, от бешенства, оспы и др.). Это, скорее, иммунологическое осложнение инфекции, чем прямое поражение ЦНС вирусом.
Клиническая картина не отличается от других энцефаломиелитов. Ликворологические данные либо нормальные, либо показывают диссоциацию цитологического белка.
Заключение
Тема демиелинизирующих болезней отражает медицинскую и социальную значимость этих недугов, подводные камни диагностики, новые тенденции в лечении в ситуации постоянного увеличения числа пациентов с такими проблемами. Речь идет о постоянной теме большинства конгрессов, поскольку демиелинизирующие расстройства – одни из самых серьезных заболеваний ЦНС, в основном, с тяжелыми последствиями, требующие специализированного подхода, не предполагающие применения народных терапевтических методов.

Вопрос-ответ
Какие бывают демиелинизирующие болезни?
Параинфекционные/вакцинальные энцефалиты, рассеянный склероз, полирадикулоневриты, панэнцефалит (лейкоэнцефалит), которые нередко ведут к инвалидизации.
Что такое SD диагноз?
Рассеянный склероз – хроническое прогрессирующее заболевание нервной системы, возникающее, в основном, в молодом и среднем возрасте (15 – 40 лет), особенностью которого является одновременное поражение нескольких различных отделов нервной системы, что приводит к появлению у больных разнообразных неврологических
Как выглядят очаги демиелинизации?
В спинном мозге очаги демиелинизации выглядят как удлиненные образования, распространяющиеся из центра на периферию с вовлечением в патологический процесс задних рогов. Конечным этапом прогрессирования поражения при рассеянном склерозе являются “черные дыры”, свидетельствующие о деструкции аксонов.
Что такое демиелинизирующий генез?
Демиелинизирующие заболевания – это аутоиммунные болезни, при которых разрушается миелиновая оболочка нервных клеток центральной нервной системы. При этих заболеваниях могут необратимо пострадать чувствительная, двигательная, речевая, умственная и другие функции организма.
Советы
СОВЕТ №1
Изучите основные типы демиелинизирующих заболеваний, такие как рассеянный склероз, болезнь Девика и другие. Понимание их характеристик и симптомов поможет вам быстрее распознать возможные проблемы и обратиться к врачу.
СОВЕТ №2
Обратите внимание на факторы риска, такие как генетическая предрасположенность, пол и возраст. Это поможет вам лучше понять, к каким заболеваниям вы можете быть более подвержены и как можно снизить риск их развития.
СОВЕТ №3
Регулярно проходите медицинские обследования и следите за своим здоровьем. Раннее выявление демиелинизирующих заболеваний может значительно улучшить прогноз и качество жизни.
СОВЕТ №4
Поддерживайте здоровый образ жизни: правильное питание, физическая активность и управление стрессом могут помочь укрепить вашу нервную систему и снизить риск развития заболеваний.





