
Головной мозг каждого человека имеет свои анатомические особенности. Асимметрия боковых желудочков может выступать физиологическим явлением, однако чаще подобное отклонение от нормы сигнализирует о патологическом процессе. В большинстве случаев асимметрия боковых желудочков диагностируется у новорожденных детей.
Причины состояния
Подобное явление – не самостоятельное заболевание, а лишь клиническое проявление иного первичного процесса. Патологическое состояние представляет собой расширение латеральных вентрикулярных полостей головного мозга. В таком случае размер одного желудочка не соответствует размеру второго, тогда как в норме они должны быть одинаковыми.
Большая часть приходится на диагностирование патологии у новорожденных детей и малышей до 1 года. В таком случае асимметрия – это перинатальное состояние нервной системы, механизм возникновения которого связан с врожденными факторами. Реже случаи патологии приходятся на взрослых.
Мозговые желудочки – это полости церебральной системы, имеющие взаимосообщение, которое достигается путем подпаутинного пространства и спинномозгового канала. Внутреннюю поверхность желудочков выстилает эпендима, под которой располагается большое количество сосудистых сплетений, продуцирующих цереброспинальный секрет.
Расположение боковых латеральных желудочков – по обе стороны от срединной линии. Увеличиваются подобные структуры головного мозга при нарушении ликворообращения, что возможно в следующих случаях:
- при усиленной продукции спинномозгового секрета;
- при нарушенном процессе поглощения веществ из цереброспинального секрета;
- при нарушенном оттоке ликворной жидкости.
Изменяется ликвородинамика, повышается продукция и уменьшается скорость обратного всасывания спинномозгового секрета, если на фоне первичного патологического процесса раздражаются вентрикулярные хориоидальные сплетения или паутинная оболочка. В большинстве случаев это происходит на фоне развития нейроинфекции.
Нарушается отток цереброспинальной жидкости при перекрытии ликворного пути опухолевидным новообразованием или кистой. Расширение боковых желудочков происходит на фоне травмирования головы, развития идиопатической гидроцефалии, присутствия посттравматической гематомы. Также расширение структур может быть вызвано геморрагическим инсультом, тромбозом центрального сосуда.
Асимметрия боковых желудочков головного мозга может проявляться различными неврологическими симптомами, включая головные боли, нарушения координации, проблемы с памятью и вниманием. Врачи отмечают, что данное состояние может быть связано с различными патологиями, такими как травмы головы, инсульты или врожденные аномалии. Для диагностики асимметрии используются методы нейровизуализации, такие как МРТ, которые позволяют точно оценить размеры и форму желудочков.
Лечение асимметрии зависит от причины ее возникновения. В некоторых случаях может потребоваться медикаментозная терапия для устранения симптомов, в других — хирургическое вмешательство для коррекции анатомических изменений. Врачи подчеркивают важность индивидуального подхода к каждому пациенту, а также необходимость регулярного наблюдения и контроля состояния. Комплексный подход к лечению, включающий как медикаментозные, так и немедикаментозные методы, способствует улучшению качества жизни пациентов и снижению риска осложнений.

Симптомы асимметрии
Клинические проявления асимметрии латеральных желудочков могут отличаться с учетом уровня внутричерепного давления. Основной симптом в таком случае – боль, которая сопровождает многие заболевания, включая патологии головного мозга.
Среди характерных для состояния клинических проявлений можно выделить следующие:
- головную боль;
- тошнотно-рвотный синдром;
- увеличение размера черепа;
- оживленные позотонические рефлексы;
- постоянный тревожный синдром;
- беспокойность, плаксивость;
- ослабленные рефлексы хватания и глотания;
- расхождение сагиттального шва;
- увеличение и повышение напряжения родничка;
- сниженный мышечный тонус;
- тремор верхних конечностей;
- отечность зрительного диска глаза;
- бессонницу;
- нарушение аппетита;
- анемию;
- возникновение галлюцинаций;
- появление пелены, «мушек» перед глазами.
Вышеперечисленные симптомы более характерны для патологии, протекающей у новорожденных и детей раннего возраста. У взрослых асимметрия боковых желудочков редко сопровождается выраженными симптомами и чаще ее диагностируют случайно, во время прохождения ультразвукового анализа на выявление иных заболеваний.
Ребенок, у которого присутствует асимметрия боковых желудочков, отказывается от груди, становится беспокойным, постоянно плачет.
Диагностические мероприятия
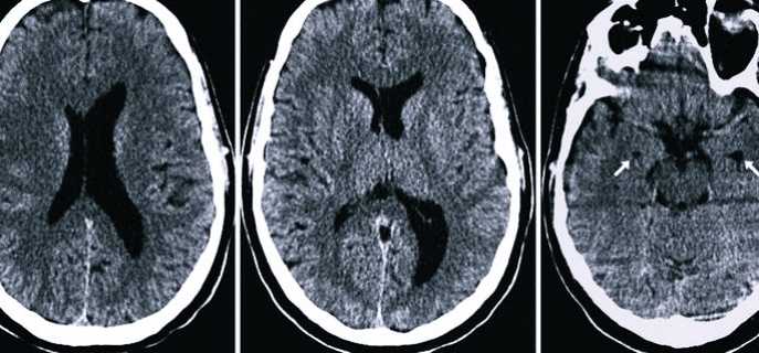
Поставить диагноз «асимметрия боковых желудочков» можно по результатам ультразвукового исследования. Внешние признаки патологического состояния присутствуют только у детей, тогда как у взрослых они могут не наблюдаться.
Подтвердить наличие асимметрии боковых желудочков можно, пройдя компьютерную томографию, магнитно-резонансную томографию, нейросонограмму, офтальмологическое обследование глазного дна, пункцию ликворной жидкости.
При незначительном увеличении желудочков назначают повторную диагностику спустя 2-3 месяца после проведения первичного обследования. Это необходимо для контроля состояния, определения степени прогрессирования патологических изменений.
Окружность головы и другие ее параметры замеряют регулярно, причем осуществлять это могут даже родители.
Асимметрия боковых желудочков — это состояние, которое часто вызывает беспокойство у пациентов и их близких. Многие люди отмечают, что при диагностике им объясняли, что это может быть вариантом нормы, особенно если размеры незначительно отличаются. Однако, в случаях выраженной асимметрии могут возникать симптомы, такие как головные боли, нарушения памяти или координации. Лечение зависит от причины асимметрии: если она связана с травмой или заболеванием, то может потребоваться медикаментозная терапия или даже хирургическое вмешательство. Важно, чтобы пациенты не игнорировали симптомы и обращались к специалистам для своевременной диагностики и коррекции состояния. Многие отмечают, что регулярные обследования и консультации невролога помогают лучше понять свое состояние и снизить уровень тревожности.

Лечение и последствия отсутствия терапии
После подтверждения диагноза «асимметрия боковых желудочков» назначают соответствующее лечение, которое проводится невропатологом и нейрохирургом. В тяжелых случаях для минимизации вероятности наступления негативных реакций больного ребенка или взрослого помещают в стационарные условия, чтобы проводить постоянный контроль состояния.
Основное лечение асимметрии боковых желудочков – медикаментозное. Назначают препараты с мочегонным действием, которые способствуют уменьшению продукции спинномозгового секрета. Средства из группы ноотропов улучшают кровоснабжение головного мозга. Для нормализации эмоционального фона принимают седативные таблетки. Восстановить тонус организма можно с помощью сеансов массажа и лечебной физкультуры.
В большинстве случаев терапия занимает достаточно длительное время и в первую очередь направлена на исключение причины асимметрии, то есть на лечение первичного заболевания. Например, если изменения произошли на фоне инфекционного поражения мозга, требуется прием антибактериальных или противовирусных лекарств. При наличии опухолевидного новообразования или кисты назначают хирургическое вмешательство.
Негативные последствия
Если у новорожденного присутствует небольшое отклонение в боковых желудочках, оно может купироваться самостоятельно в первый год жизни, не требуя специфической терапии. В таком случае достаточно наблюдения невропатологом и контроля состояния головного мозга, что позволит вовремя выявить прогрессирование патологии.
При значительном увеличении желудочков (или одного желудочка) в патологический процесс вовлекаются также рядом расположенные церебральные структуры. Это может стать причиной негативных последствий, среди которых:
- развитие детского церебрального паралича;
- появление синдрома Тернера;
- отставание в умственном и физическом развитии;
- частичное или полное нарушение зрительной функции;
- значительная деформация головы;
- развитие эпилепсии;
- хронические галлюцинации.
Если патология развивается у взрослого человека, отсутствие лечения асимметрии часто становится причиной психологических нарушений, комы, летального исхода.
Чтобы снизить риск осложнений, которые значительно ухудшают качество жизни, при первых настораживающих симптомах нужно обращаться к врачу. Невропатолог (или нейрохирург) проведет соответствующие диагностические мероприятия, по их результатам поставит правильный диагноз и назначит лечение.

Вопрос-ответ
Что означает асимметрия боковых желудочков головного мозга?
Асимметрия желудочков Под асимметрией желудочков подразумевают разницу в их размере более, чем на 2 мм. Причиной может быть нахождение ребенка на одном боку какой-то промежуток времени, либо естественная асимметрия, так как наше тело не симметрично от природы.
Чем опасно расширение боковых желудочков мозга?
Скопление жидкости в третьем желудочке характерно для окклюзивной гидроцефалии. Расширение III желудочка вследствие сдавливания зрительных путей способно стать причиной ухудшения зрения (в некоторых случаях – до полной слепоты) вследствие атрофии зрительных нервов.
Почему увеличиваются желудочки головного мозга у ребенка?
Причины развития гидроцефалии у детей аномалии и пороки развития плода в период внутриутробного формирования, сопряженные с инфекциями, травмами, влиянием вредных привычек матери, различные родовые травмы, недоношенность и преждевременное появление на свет с низкой массой тела.
Когда ставят диагноз вентрикуломегалия?
Дефект можно зафиксировать в начале 3 триместра беременности. Лучший период для выявления – 25-26 неделя. Если этот феномен – единственная патология, то вероятность того, что могут возникнуть тяжелые хромосомные последствия, достаточно низкая.
Советы
СОВЕТ №1
Обратитесь к врачу при первых симптомах. Если вы заметили изменения в состоянии здоровья, такие как головные боли, нарушения координации или проблемы с памятью, не откладывайте визит к неврологу. Раннее выявление асимметрии боковых желудочков может помочь в более эффективном лечении.
СОВЕТ №2
Регулярно проходите медицинские обследования. Особенно важно делать это, если у вас есть предрасположенность к неврологическим заболеваниям. МРТ и другие методы визуализации могут помочь в ранней диагностике изменений в структуре мозга.
СОВЕТ №3
Следите за своим образом жизни. Здоровое питание, регулярные физические нагрузки и отказ от вредных привычек могут снизить риск развития заболеваний, связанных с асимметрией боковых желудочков. Уделяйте внимание психоэмоциональному состоянию, так как стресс может негативно влиять на здоровье мозга.
СОВЕТ №4
Обсуждайте результаты обследований с врачом. Не стесняйтесь задавать вопросы и уточнять детали о состоянии вашего здоровья. Понимание диагноза и возможных методов лечения поможет вам лучше справляться с заболеванием и принимать активное участие в процессе выздоровления.

