
Что такое миелофиброз?
Миелофиброз 2, это хроническая болезнь кроветворных органов и системы крови, характеризующаяся появлением в красном костном мозге аномально большого количества фиброзной (грубой соединительной) ткани. Это редкое заболевание, по данным научной литературы один случай миелофиброза приходится примерно на 50 тысяч человек.
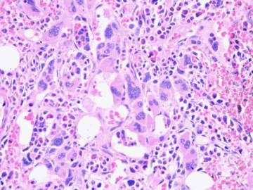
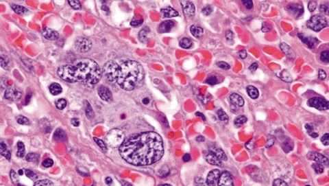
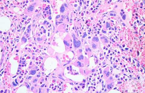
Красный костный мозг 2, это главный кроветворный орган человеческого тела, в норме он содержит большое количество незрелых клеток-предшественников всех форменных элементов крови: эритроцитов, тромбоцитов и лейкоцитов. Процессы размножения, формирования и созревания нормальных клеток крови протекают там под воздействием особого окружения – поддерживающей и питающей стромальной ткани. Болезнь поражает ее, значительно уменьшая в объеме, на смену поддерживающим клеткам приходит бесполезная фиброзная ткань.
При миелофиброзе в первую очередь нарушается формирование зрелых кровяных клеток, это приводит к тому, что очаги кроветворения появляются в «запасных» органах: селезенке и печени. Селезенка значительно увеличивается в объеме из-за этой функции, а также из-за того, что служит своеобразным фильтром для всех неправильно сформированных клеток крови. По этой причине миелофиброз часто сопровождается разрывами селезенки. Отсутствие в крови нормального количества зрелых клеток приводит к появлению основных симптомов заболевания.
Врачи подчеркивают, что диагностика миелофиброза начинается с тщательного анализа анамнеза и клинического обследования пациента. Основными методами являются общий анализ крови, который может показать анемию и тромбоцитопению, а также биопсия костного мозга, позволяющая оценить степень фиброза. Для уточнения диагноза также могут использоваться молекулярно-генетические исследования на наличие мутаций в генах JAK2, CALR и MPL.
Лечение миелофиброза зависит от стадии заболевания и состояния пациента. Врачи рекомендуют использовать препараты, направленные на подавление активности мутировавших клеток, такие как ингибиторы JAK-киназ. В некоторых случаях может потребоваться пересадка костного мозга, особенно у молодых пациентов с тяжелыми формами заболевания. Симптоматическая терапия, включая препараты для улучшения качества жизни и контроля симптомов, также играет важную роль в комплексном подходе к лечению.
https://youtube.com/watch?v=e2WNLqchdyM
Причины заболевания
Существует две основные формы этой болезни: первичный и вторичный миелофиброз, причины для них значительно различаются.
Первичный миелофиброз 2, это онкологическая болезнь, связанная со случайными мутациями клеток в красном костном мозге. Чаще всего он начинает развиваться в пожилом возрасте, когда снижаются защитные силы организма и иммунная система уже не справляется со своей задачей по «отбраковке» патологических мутировавших клеток.
Вторичный миелофиброз 2, это всегда осложнение уже имеющегося серьезного заболевания (в некоторых случаях 2, онкологического) либо интоксикации вредными веществами. Миелофиброз развивается из-за вовлечения в патологический процесс красного костного мозга. Наиболее часто к такому осложнению приводят:
- Лейкемия,
- Лимфома,
- Любые виды онкологических болезней с метастазами в красный костный мозг,
- Инфекции, сопровождающиеся остеомиелитом,
- Туберкулез,
- Идиопатическая легочная гипертензия,
- Аутоиммунные болезни (системная красная волчанка, системный склероз),
- Острые и хронические отравления бензолом, соединениями тория,
- Воздействие рентгеновского и гамма-излучения.
Перечисленные состояния далеко не всегда приводят к развитию миелофиброза, однако повышают его вероятность по сравнению со здоровыми людьми.
Классификация
Лечащие врачи пользуются клинической классификацией, отражающей стадии течения заболевания, в ней выделяются две фазы:
- Хроническая 2, начальная стадия миелолейкоза, на которой он выявляется у подавляющего большинства больных. Для нее характерно относительно легкое течение, прогрессирование зависит от изменений в анализе крови. Чем больше сохраняется нормальных (зрелых) форм эритроцитов и лейкоцитов, тем меньше болезнь проявляется неблагоприятными симптомами. При нарастании патологических изменений в картине крови в процесс вовлекаются печень и селезенка, значительно увеличиваясь в размерах. При неблагоприятном течении могут нарастать симптомы интоксикации.
- Бластная 2, далеко зашедшая форма болезни, наступает, как правило, при увеличении в крови количества патологически незрелых клеток от 20% и более. Характеризуется тяжелым течением и выраженными симптомами миелофиброза.
Кроме того, применяется гистологическая классификация миелофиброза, полезная врачам лабораторной диагностики при исследовании образцов красного костного мозга после биопсии. Выделяют также две стадии болезни, соотносимые с клинической классификацией:
- Пре-фиброзная фаза 2, в красном костном мозге наблюдается минимальный фиброз, преобладает ретикулиновая ткань.
- Фиброзная фаза 2, имеется выраженный фиброз, в котором наблюдаются не только ретикулиновые, но и коллагеновые волокна. Пункция при этой стадии часто бывает осложнена.
Миелофиброз — это редкое заболевание, которое вызывает замещение костного мозга фиброзной тканью, что приводит к нарушению кроветворения. Люди, столкнувшиеся с этой проблемой, часто делятся своими переживаниями и опытом. Многие отмечают, что ранняя диагностика играет ключевую роль в успешном лечении. Врачи рекомендуют проводить регулярные обследования, включая анализы крови и биопсию костного мозга, чтобы выявить заболевание на ранних стадиях.
Лечение миелофиброза может включать медикаментозную терапию, направленную на облегчение симптомов, а также трансплантацию костного мозга в более тяжелых случаях. Пациенты подчеркивают важность индивидуального подхода к каждому случаю, так как реакция на лечение может сильно варьироваться. Поддержка со стороны близких и участие в группах взаимопомощи также помогают справиться с эмоциональными трудностями, связанными с заболеванием.
https://youtube.com/watch?v=BdUefOPJoSA
Симптомы и признаки
На ранней стадии развития болезни никаких признаков может не наблюдаться, человек чувствует только общее недомогание, слабость, может наступить незначительное снижение массы тела, потливость. Но с нарастанием изменений в клеточном составе крови появляются следующие наиболее распространенные симптомы:
- Повышение температуры тела, не связанное с инфекционным процессом,
- Периодически возникающие ночные поты и озноб,
- Резкая и беспричинная потеря веса,
- Боли в костях, суставах и мышцах, возникающие периодически на разных участках тела,
- Носовые, маточные кровотечения,
- Трудности с остановкой кровотечения после незначительных травм,
- Легко возникающие гематомы (синяки),
- Высыпания на коже и слизистых в виде мелких, склонных к слиянию темных точек и полос,
- Частые инфекции, длительно и тяжело протекающие,
- Боли и тяжесть в животе, особенно с правой стороны.
Ни один из перечисленных симптомов не является типичным только для миелофиброза, потому для точной диагностики лечащему врачу потребуются дополнительные исследования.
Диагностика
Объем необходимых исследований определяется для каждого конкретного случая и может включать множество дополнительных пунктов, однако чаще всего для диагностики потребуются:
- Развернутый общий анализ крови с исследованием мазка,
- Биопсия красного костного мозга с последующим гистологическим исследованием,
- Биохимический анализ (определяется прямой и непрямой билирубин, аспартатаминотрансфераза, лактатдегидрогеназа, мочевина, креатинин и другие показатели),
- Миелограмма,
- Генетические исследования биоптата красного костного мозга для выявления мутаций,
- Определение HLA-генотипа (типирование),
- УЗИ органов брюшной полости и малого таза,
- Рентгенологическое исследование органов грудной клетки, при показаниях 2, других пораженных областей тела,
- Коагулограмма, определение иных показателей свертывающей системы крови (АЧТВ, МНО),
- Анализ на вирусные гепатиты В, С.
Решающую роль в постановке диагноза играют исследования биоптата красного костного мозга, также именно они позволяют врачам определить стадию прогрессирования болезни и дать прогноз по ее течению. HLA-типирование показано пациентам, имеющим необходимость в пересадке красного костного мозга, оно позволяет подобрать донора, близкого по этому показателю. Наиболее часто донором может быть родственник первой линии (брат или сестра, реже один из родителей или ребенок пациента).
Лечение
В случаях, когда никакие симптомы не беспокоят больного, что бывает при незначительных изменениях в составе крови, рекомендуется выжидательная тактика. Врачи продолжают наблюдение за течением заболевания, в случаях, когда миелофиброз является следствием другой болезни, проводится ее лечение для нормализации показателей крови.
При появлении симптомов болезни у пациентов с благоприятными данными общего анализа крови и биопсии красного костного мозга назначается симптоматическая терапия, направленная на снижение интоксикации, стимулирование кроветворения.
Для пациентов с повышенным риском перехода болезни в неблагоприятную форму проводится поиск донора красного косного мозга при отсутствии противопоказаний к трансплантации. Пересадка донорского материала является наиболее радикальным и действенным методом лечения миелофиброза.
В случаях, когда имеются значительные противопоказания к трансплантации, а также на ранних стадиях болезни может проводиться лекарственная терапия следующими препаратами:
- Низкие дозы цитостатиков (гидроксикарбамид, меркаптурин, бусульфан и другие),
- Альфа-интерферон подкожно,
- Эритропоэтин,
- Кортикостероиды (преднизолон, талидомид, леналидомид),
- Анаболические стероиды,
- Руксолитиниб.
При появлении выраженных сдвигов в анализе крови может быть показано переливание донорских компонентов 2, эритроцитарной и тромбоцитарной массы. В случаях выраженных разрывов селезенки проводится ее оперативное удаление.
Прогноз и профилактика заболевания
Прогноз течения заболевания напрямую зависит от вовлеченности красного костного мозга в патологический процесс, а также от показателей общего анализа крови. В случаях, когда основные показатели крови в норме или имеется незначительное снижение уровня гемоглобина, прогноз заболевания благоприятный. Чаще всего не происходит ухудшение состояния на протяжении 10-15 лет, кроме того болезнь может всю жизнь оставаться в бессимптомной форме, не требующей лечения.
Профилактика вторичного миелофиброза связана с ранней диагностикой и лечением болезней, осложнением которых она может явиться, в этом помогут:
- Своевременное прохождение медицинских осмотров, особенно лицам, имеющим вредные и опасные условия труда,
- Регулярная (раз в год) флюорография,
- Ежегодный профилактический общий анализ крови (для лиц пожилого возраста необходимо исследование раз в полгода).
Для профилактики первичного миелофиброза, как и для иных онкологических болезней, специальная профилактика отсутствует, но значительно снижает вероятность заболевания общеукрепляющие мероприятия для поддержки иммунной системы (правильное питание, физические нагрузки, профилактика стрессов).
https://youtube.com/watch?v=L-AmZ2u2xdU
Вопрос-ответ
Какой анализ крови используется для диагностики миелофиброза?
Анализы крови. Одним из анализов крови, используемых при миелофиброзе, является общий анализ крови. Этот анализ подсчитывает количество клеток в образце крови. У людей с миелофиброзом этот анализ часто выявляет низкое количество эритроцитов. Количество лейкоцитов и тромбоцитов может быть выше или ниже ожидаемого.
Можно ли вылечить миелофиброз?
Трансплантация костного мозга. Это единственный вид лечения, который позволяет пациенту полностью выздороветь.
Что болит при миелофиброзе?
Боли в костях и суставах. Миелофиброз может привести к уплотнению костного мозга и воспалению соединительной ткани вокруг костей, что вызывает боль в костях и суставах.
Советы
СОВЕТ №1
Обратитесь к врачу-специалисту для точной диагностики. Миелофиброз может иметь схожие симптомы с другими заболеваниями крови, поэтому важно пройти полное обследование, включая анализы крови и, при необходимости, биопсию костного мозга.
СОВЕТ №2
Следите за своим состоянием и ведите дневник симптомов. Записывайте изменения в самочувствии, такие как усталость, боли в животе или увеличение селезенки. Это поможет врачу лучше понять вашу ситуацию и подобрать эффективное лечение.
СОВЕТ №3
Изучите доступные варианты лечения. Миелофиброз может лечиться различными методами, включая медикаментозную терапию, трансплантацию костного мозга и поддерживающую терапию. Обсудите с врачом все возможные варианты и выберите наиболее подходящий для вас.
СОВЕТ №4
Поддерживайте здоровый образ жизни. Правильное питание, регулярные физические нагрузки и отказ от вредных привычек могут помочь улучшить общее состояние организма и повысить качество жизни при миелофиброзе.








