
Глиобластома – опаснейшая опухоль головного мозга. Она отличается от других новообразований случайным расположением клеток, некрозом тканей мозга, а также патологическими изменениями сосудистого русла. При этом опухоль очень быстро разрастается, охватывая нетронутые участки. Наиболее важными вопросами для больных становится то, как глиобластома головного мозга проявляется, сколько с ней живут и как ее вылечить.
Механизм и классификация
Опухоли такого типа относятся к первичным глиомам, они отличаются 4 степенью злокачественности, что делает их самыми опасными. По МКБ глиобластома имеет код C71. Она может относиться к подгруппам этой категории от C71.1 до C71.9, что определяется по локализации очага новообразования. Опухоль изучается отдельной медицинской дисциплиной, которая называется «патанатомия».
Врачи отмечают, что глиобластома головного мозга является одним из самых агрессивных и трудноизлечимых видов опухолей. Она характеризуется быстрым ростом и способностью к метастазированию, что значительно усложняет диагностику и лечение. Специалисты подчеркивают важность раннего выявления заболевания, так как это может существенно повысить шансы на успешное лечение. В настоящее время стандартные методы терапии включают хирургическое вмешательство, радиационную и химиотерапию, однако их эффективность часто ограничена. Врачи также акцентируют внимание на необходимости индивидуального подхода к каждому пациенту, учитывая его возраст, общее состояние здоровья и особенности опухоли. Исследования в области молекулярной биологии открывают новые горизонты для разработки более целенаправленных и эффективных методов лечения, что вселяет надежду в борьбе с этой тяжелой болезнью.

Механизм
Чаще всего формирование глиобластомы происходит в лобной или височных долях, откуда она в разной степени разрастается на оба полушария, начиная распространять свои клетки. Если от недуга пострадал ребенок, то у него опухоль может появиться в стволе мозга или зрительном бугре.
Глиобластома произрастает из крупных многоядерных клеток, активно разделяющихся на новые. Постепенно опухоль проникает в отдаленные части мозга, затрагивает мозговое вещество с кровеносными сосудами. При ее воздействии образуются артериовенозные шунты, соединяющие вены с артериями. Результатом становится отмирание клеток, которое зачастую сопровождается сильным кровоизлиянием.
Классификация
Врачи выделяют несколько видов глиобластомы. Первая классификация определяет форму течения опухоли, а вторая разделяет ее на степени. Это позволяет более точно поставить диагноз и составить схему будущего лечения.
Существует 3 формы глиобластомы:
- Мультиформная (мультифокальная). Клетки неоплазмы при такой форме очень пластичны, что позволяет им приобретать вид структур мозга. Такая опухоль вызывает уменьшение просвета сосудов. По этой причине серьезно возрастает риск кровоизлияний или отмирания ткани. Внутри новообразования присутствует множество сосудов и артериовенозных шунтов.
- Глиосаркома. Отличается присутствием внутри клеток опухоли элементов саркомы, проявление новообразования носит классический характер.
- Гигантоклеточная. В мозге больного образуется повышенное количество многоядерных клеток огромных размеров.
По степеням глиобластому делят на 4 вида:
- Первая. Признаки злокачественной опухоли отсутствуют, глиобластома постепенно охватывает новые клетки. Есть большая вероятность выздоровления.
- Вторая. У больного присутствуют признаки глиомы, но разрастание опухоли происходит достаточно медленно. Шансы выздороветь несколько ниже.
- Третья. Опухоль затрагивает мозговые ткани, быстро растет, носит злокачественный характер. Полное выздоровление достигается редко.
- Четвертая. Глиобластома растет очень быстро, проявления крайне тяжелые. Чаще опухоль неоперабельная, а прогноз для пациента неблагоприятен.
Также дополнительно выделяют фазы болезни. Они определяют, насколько зрелой является клетка. Молодые делятся очень быстро, активно распространяясь по мозгу. Зрелые же отличаются медлительностью всех процессов.
Иногда врачи выделяют иные виды глиобластомы, соответствующие уровню повреждений мозга, операбельности, прогнозу и т.п.
Глиобластома головного мозга вызывает множество эмоций и обсуждений среди пациентов, их семей и медицинских специалистов. Многие люди описывают это заболевание как одно из самых сложных и агрессивных. Пациенты часто делятся своими страхами и беспокойствами о будущем, а также о том, как болезнь влияет на их повседневную жизнь. Семьи сталкиваются с эмоциональными и финансовыми трудностями, пытаясь найти эффективные методы лечения и поддержку. В то же время, некоторые пациенты отмечают важность поддержки со стороны близких и медицинских работников, что помогает им справляться с диагнозом. Обсуждения о глиобластоме также поднимают вопросы о необходимости исследований и новых подходов к лечению, что внушает надежду на будущее.

Причины и симптомы
Знание того, какие причины и симптомы глиобластомы головного мозга существуют, позволит своевременно заподозрить эту опухоль на ранних этапах. Своевременное ее обнаружение может повысить шансы на успешное лечение и полное выздоровление.
Причины
Точные причины глиобластомы установить невозможно, но врачи выделяют факторы риска, которые зачастую приводят к образованию опухоли. Иногда они могут сочетаться, что повышает вероятность заболевания. Чаще всего с патологией сталкиваются мужчины старше 40 лет.
К основным причинам и факторам риска относят:
- Наследственность;
- Вирусные болезни;
- Имеющаяся астроцитома;
- Нейрофиброматоз;
- Воздействие ионизирующего излучения;
- Негативное влияние внешней среды.
Некоторые врачи считают, что иногда причиной возникновения опухоли может стать психосоматика. Психологический фактор играет большую роль в развитии многих болезней, а глиобластома не становится исключением.
Симптомы
Проявления такой опухоли помогают быстро определить наличие проблемы со здоровьем. Даже на начальной стадии ее развития можно понять, что у человека появилась серьезная патология мозга. Причина в том, что глиобластома очень часто затрагивает важные центры, которые отвечают за речевые и двигательные функции. Особенно часто их нарушение проявляется на поздних этапах распространения новообразования.
Симптоматика при глиобластоме:
- Головные боли, не снимающиеся приемом обезболивающих;
- Сонливость, вялость, снижение аппетита;
- Тошнота, проявляющаяся в утреннее время;
- Ухудшение зрения;
- Проблемы с памятью;
- Снижение интеллекта;
- Нарушение обоняния;
- Вестибулярный синдром (нарушение координации);
- Уменьшение чувствительности конечностей;
- Паралич, онемение кожи;
- Эпилептические припадки.
Наиболее специфичным признаком появления глиобластомы является нарушение обоняния. Из-за него человек начинает чувствовать неправильные запахи, очень часто это замечают близкие больного, что и становится причиной посещения больницы.
Диагностика, прогноз
Когда появились подозрения, что у человека бластома головного мозга, нужно срочно пройти диагностику. После этого врач сможет сказать о прогнозах и шансах на полное выздоровление. Чем раньше будут пройдены все обследования, тем выше вероятность положительного прогноза.
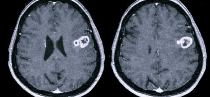
Диагностика
Выявить опухоль и уровень ее распространения получится только при диагностике. Она особенно важна на начальных сроках развития глиобластомы, т.к. симптоматика в первые недели может быть очень слабовыраженной. Чтобы пройти обследование, потребуется обратиться к специалисту из области онкологии.
Диагностика включает:
- МРТ или КТ с контрастированием – поможет определить локализацию и размеры опухоли.
- ПЭТ (позитронно-эмиссионная томография) – эффективна для выявления рецидивов.
- Биопсия – позволяет лабораторно исследовать опухоль и определить ее вид.
После постановки окончательного диагноза врач сможет рассказать о прогнозах и назначить точное лечение.
Прогноз
Добиться выздоровления получится только при глиобластоме 1 или 2 степени. Для этого потребуется пройти большое количество медицинских процедур, но даже тогда будет высокая вероятность рецидива со смертельным исходом.
Выживаемость при глиобластоме 3 или 4 степени крайне низкая. После успешного лечения только 10% пациентов могут проживать от 2 до 5 лет. Если опухоль относится к мультиформному виду, то смерть наступит в первые 40 недель после начала развития новообразования. Такая печальная статистика связана с тем, что полностью избавиться от опухоли невозможно, из-за чего зачастую даже после хирургического вмешательства глиобластома появляется у больного вновь. Причем рецидив имеет место в 80% случаев.
Очень часто глиобластома 4 степени оказывается вообще неоперабельной. В таком случае продолжительность жизни может быть очень небольшой, но для увеличения ее длительности врачи назначают прием лекарств или прохождение специальных процедур. Если рак начал протекать при иных серьезных патологиях, то последствия и прогноз будут еще хуже.
Больше всего страха у больных вызывает тот факт, что практически всем приходится доживать последние дни и умирать в тяжелых муках. Они испытывают крайне сильные головные боли, теряют интеллект, сталкиваются с галлюцинациями и судорогами.
У детей до 2 лет, столкнувшихся с глиобластомой слабой злокачественности, есть большие шансы на полное выздоровление. Однако лечение маленького ребенка может быть довольно трудным, а положительный прогноз возможен только при полном удалении опухоли, после которого все симптомы будут проходить в ближайшие дни. Если глиобластома имеет высокую злокачественность, то срок жизни малыша не превысит двух лет.
Также неблагоприятным будет прогноз для женщины при беременности. Многие методы терапии для нее будут неприменимы, т.к. организм может реагировать на них негативно, из-за чего пострадает малыш. Но в большинстве случаев больной удается родить малыша и прожить еще некоторое время, если заняться полноценным лечением сразу после родов, при этом применяя некоторые методики еще во время беременности.
Все пациенты с глиобластомой получают инвалидность, которая необходима для прохождения некоторых медицинских процедур.
Лечение
Все методы терапии при глиобластоме направлены на снижение активности опухоли или ее удаление. Существует 5 способов воздействия на новообразование, которые способны оказать положительный эффект. Каким именно из них будет проводиться лечение, решает врач, т.к. все зависит от вида опухоли и индивидуальных особенностей пациента.
Хирургическое лечение
Чаще всего для избавления от опухоли применяется именно хирургический метод. Он подразумевает удаление глиобластомы механическим воздействием на ее части. Если новообразование операбельно, то врач назначает проведение операции, которая может увеличить продолжительность жизни пациента до нескольких лет.
Главным минусом этого метода является сложность удаления опухоли. Даже опытные специалисты не могут убрать ее полностью, т.к. глиобластома очень сильно врастает в элементы мозга, где ее тяжело заметить. В современной медицине применяется специальный раствор, визуально выделяющий частички опухоли.
Лучевая терапия
Метод лучевой терапии, как правило, применяется после проведения хирургической операции. Лучевая терапия требует больших запасов времени, т.к. курс лечения глиобластомы составляет 6 недель, а повторять процедуры потребуется 5 раз в неделю. Доза облучения за все время достигает 60 Гр. Постепенно лучи будут разрушать клетки глиобластомы, при этом никаких осложнений пациенту ждать не придется.
Процедура проводится с применением специального медицинского средства под названием «Темодал». Он повышает эффективность лечения, делая метод более актуальным.
Химиотерапия
При химиотерапии пациенту так же назначают «Темодал». Он негативно воздействует на глиобластому, замедляя ее рост и разрушая опухолевые клетки изнутри. Курс лечения таким методом составляет 5 дней, но после 23 дней перерыва его нужно повторять вновь. Всего потребуется пройти 6 курсов. Только так удастся достичь положительного результата.
Гамма-нож
Радиационный метод лечения подразумевает облучение опухоли с помощью радиации. Для этого ее небольшая доза направляется на очаги патологии, где оказывает на глиобластому разрушающий эффект. При радиотерапии риск повреждения здоровых тканей минимален, т.к. точность воздействия оборудования очень высока.
Медикаментозная терапия
Терапевтический способ лечения подразумевает прием лекарства под названием «Авастин». Его нельзя принимать привычными таблетками, но можно приобрести в виде раствора, который вводят внутривенно. Применяется чаще всего после химотерапии.
Этот лечебный препарат нарушает функционирование всех сосудов, которые питают глиобластому кислородом, что предотвращает ее дальнейший рост и разрушает все опухолевые клетки. Однако эффективность такого лекарства для лечения новообразований до сих пор не была доказана, из-за чего чаще всего «Авастин» применяется для исключения рецидивов.
Профилактика, нетрадиционная медицина
Одной из важнейших составляющих терапии глиобластомы является профилактика, которая очень эффективна при любой степени опухоли. Также большой вклад в выздоровление могут внести нетрадиционные методы, подразумевающие использование народных средств.
Профилактика
Заняться профилактикой опухоли стоит всем людям, в чьей жизни присутствуют факторы риска развития глиобластомы, а также тем, кто уже с ней столкнулся. В каждом случае применяемые меры окажут положительный эффект. Следует выполнять следующие рекомендации:
- Хороший сон – важно не только спать достаточное количество времени, но и делать это именно ночью для повышения качества сна.
- Отдых на свежем воздухе – всем людям рекомендуется проводить больше времени на свежем воздухе, т.к. это положительно сказывается на здоровье.
- Снижение количества стрессовых ситуаций – психологический фактор зачастую может способствовать развитию болезней, из-за чего он особенно важен.
- Отказ от вредных привычек – злоупотребление алкоголем или курение постепенно разрушают организм, вызывая различные заболевания.
- Сокращение времени использования мобильного – излучение от мобильных телефонов может подпитывать глиобластому, что стоит учитывать.
Еще одним пунктом профилактики является диета. Она относится к обязательным условиям для терапии мультиформной или гигантоклеточной глиобластомы, а также глиосаркомы головного мозга. Питание должно соответствовать следующим правилам:
- Нужно обязательно соблюдать баланс (овощи – 50%; злаки – 30%; бобы или водоросли – 5%; супы – 5%; другие продукты – 10%).
- Все фрукты следует мыть с использованием соды для удаления специального вещества, которым их покрывают для сохранения внешнего вида.
- Отказаться от копченостей, фаст-фуда, сладостей, сахара, мороженого, майонеза, кетчупа, соусов, замороженных полуфабрикатов, маложирного сливочного масла, арахиса, хлебобулочных изделий, консервированных продуктов, плавленого сыра, грибов, кофе, какао, газировки, чипсов и т.п. пищи.
Соблюдение этих правил позволит улучшить прогноз, а также защитит от рецидива или первичного образования глиобластомы.
Нетрадиционная медицина
К нетрадиционной медицине относятся народные методы. Они могут оказать дополнительный эффект против опухоли, но заменять ими основное лечение категорически запрещено, т.к. это приведет к ухудшению прогноза и скорому летальному исходу.
Наиболее эффективны следующие средства:
- Натереть редьку, посолить ее и перемешать. После начала выделения сока ею следует натереть голову, а затем накрыть обработанные места полотенцем. Делать это нужно перед сном раз в три месяца.
- Растворить 1/3 ложки соды в половине стакана воды, тщательно размешать. Раствор нужно принимать каждый день. Сода эффективна против опухолей, но дозировку увеличивать нужно постепенно, при этом наблюдаясь у врача.
- Залить 250 мл кипятка 15 г сухих цветков ромашки, дать настояться 5 минут. Принимать каждый день в течение одного месяца.
Иногда народные средства вызывают неприятные побочные эффекты, из-за чего перед их применением следует проконсультироваться с лечащим врачом.
Важность лечения
Неблагоприятный прогноз для человека, у которого была обнаружена глиобластома головного мозга 4 степени, можно улучшить, если четко следовать инструкциям своего врача. В случае с менее злокачественной опухолью тоже важно придерживаться рекомендаций, чтобы повысить свои шансы на выздоровление. Важно помнить, что отсутствие лечения приведет к серьезному ухудшению прогноза.

Вопрос-ответ
Сколько живут люди с глиобластомой головного мозга?
Средний срок жизни пациентов с глиобластомой (самой злокачественной из глиом) составляет сейчас в среднем чуть больше года. А если человек отказывается от лечения, то речь идет буквально о нескольких месяцах. — В каком возрасте чаще всего развивается глиобластома? — Пик заболеваемости регистрируется в 50–70 лет.
Что происходит с человеком при глиобластоме?
Симптомы заболевания, сопровождающие пациента, зависят от размера и вида опухоли. Среди частых симптомов выделяют постоянные головные боли, эпилептические припадки, проблемы с координацией, речью и четкостью зрения, судороги, повышенную раздражительность, тошноту, рвоту, спутанность сознания.
Можно ли вылечить глиобластома?
К сожалению, глиобластома не может быть полностью удалена микроскопически, поэтому необходимо дополнительное лечение. Хирургическое удаление опухоли значительно продлевает годы жизни пациента и улучшает неврологические функции в течение заболевания.
Почему появляется глиобластома головного мозга?
Причина развития глиобластомы – спонтанная мутация. Из-за поломки в генетическом коде клетки меняют свою структуру, утрачивают первоначальные функции и начинают бесконтрольно делиться.
Советы
СОВЕТ №1
Обязательно проконсультируйтесь с опытным онкологом, если у вас или ваших близких появились симптомы, такие как головные боли, изменения в зрении или когнитивные нарушения. Ранняя диагностика может значительно повысить шансы на успешное лечение.
СОВЕТ №2
Изучите доступные варианты лечения глиобластомы, включая хирургическое вмешательство, химиотерапию и радиотерапию. Обсудите с врачом, какие методы могут быть наиболее эффективными в вашем конкретном случае.
СОВЕТ №3
Поддерживайте здоровый образ жизни, включая сбалансированное питание и регулярные физические нагрузки. Это может помочь укрепить организм и улучшить общее самочувствие во время лечения.
СОВЕТ №4
Не забывайте о психологической поддержке. Обратитесь к психологу или группе поддержки, чтобы справиться с эмоциональными трудностями, связанными с диагнозом и лечением глиобластомы.




