
В последнее время людям все чаще ставят диагноз ишемическая болезнь головного мозга, поэтому многие хорошо знакомы с этой неприятной патологией. Заболевание в большинстве случаев поражает пожилое население. Хроническая ишемия мозга помимо своих неприятных симптоматических проявлений несет в себе большую опасность так, как это заболевание может стать причиной преждевременной смерти человека. Потому такой диагноз нуждается в постоянном контроле со стороны квалифицированного врача для минимизации возможных рисков.
Гипоксически-ишемический синдром, который приводит к кислородному голоданию мозга, является основной причиной развития ишемической болезни ГМ. Несмотря на общие успехи фармакологической отрасли, создающей новые медикаменты, современная статистика прямо указывает на то, что ежегодно общая численность людей с таким диагнозом постоянно растет. Поэтому медицина делает основной упор на профилактику развития заболевания, что дает возможность увеличить общую продолжительность жизни населения, а также снизить показатели смертности больных.
Общая информация
Возникновение сбоя в мозговой активности может спровоцировать серьезнейшие осложнения, которые будут нести прямую угрозу для жизни человека. Онемение, выступающее в качестве одного из основных симптомов заболевания, свидетельствует о нарушении правильного алгоритма передачи информации по нейронам. По этой же причине появляется такой симптом, как временная утрата зрения в результате глиоза (повреждения нейронов и нейронных связей). Головной мозг также несет в себе функцию принятия решений, поэтому хроническая ишемия головного мозга вызывает заторможенность мыслительной реакции и всех процессов мышления.
Любые патологии высшего отдела ЦНС (инсульт, атеросклероз сосудов головы, гипоксия мозга и так далее) негативным образом сказываются на качестве жизни и на всем организме. Основной характеристикой первичной стадии развития патологии является скрытое протекание симптоматических проявлений. При остром проявлении симптомов болезни общий прогноз для пациента будет неутешительным так, как это свидетельствует о запущенности заболевания.
Доктора на основе клинической картины, анализов и результатов УЗИ выделяют две основные формы этого заболевания:
- поражение ГМ ишемией острого характера;
- хроническая форма ишемической болезни головного мозга.
Первый тип развивается как транзиторная ишемическая атака (ТИА), микроинсульт или же как приступ нарушения кровообращения острого характера в мозгу. Такое состояние называется транзиторной ишемией или же переходящим нарушением кровообращения в мозгу (ишемический инсульт). Основной причиной развития острой формы патологии является перекрытие сосудов эмболом или же запущенное состояние хронического типа заболевания. Последнее патологическое явление постепенно развивается в процессе уменьшения просвета русла кровеносной системы.
Химический состав холестериновых бляшек представляет собой сложное соединение липопротеинов с малой плотностью. Именно эти вещества провоцируют циркуляторное удушье. Они начинают передвигаться по сосудам после отрыва от места своего возникновения. Сосудистые эмболы могут иметь холестериновое и кровяное происхождение. Тромбы несут в себе опасность образования множественных воспалительных очагов.
За счет соблюдения основных правил ведения здорового образа жизни можно уменьшить риски возникновения этого заболевания в том числе и у пожилых людей, что повышает общую выживаемость населения в старости. По возможности следует избегать стрессов по различному поводу, употреблять в пищу продукты с низким содержанием животных насыщенных жиров, а также заниматься регулярными умеренными физическими нагрузками и гулять по свежему воздуху.
Ишемия головного мозга представляет собой состояние, при котором происходит недостаточное кровоснабжение мозговых тканей. Врачи отмечают, что это может привести к серьезным последствиям, включая нарушение когнитивных функций, двигательных навыков и даже к инсульту. Основными причинами ишемии являются атеросклероз, тромбообразование и спазмы сосудов. Специалисты подчеркивают важность ранней диагностики и своевременного лечения, так как чем быстрее будет восстановлено кровоснабжение, тем меньше будет риск необратимых изменений в мозге. Профилактика включает в себя здоровый образ жизни, контроль артериального давления и уровня холестерина. Врачи призывают людей обращать внимание на симптомы, такие как головокружение, слабость и нарушения речи, и не откладывать визит к специалисту.

Основные симптомы ИГМ
Симптомы ишемии головного мозга во многом схожи с проявлениями иных заболеваний мозга и ЦНС. К основным симптоматическим проявлениям ИГМ у человека современная медицина относит:
- Повреждение нервной системы, что вызывает изменение патологического характера в речи и зрительной функции;
- Повышенная физическая и психологическая утомляемость;
- Хроническая слабость в мышцах;
- Постоянная сонливость;
- Сниженная работоспособность;
- Потеря памяти;
- Перепады настроения;
- Повышенная раздражительность;
- Постоянное пребывание нервной системы в перевозбуждении;
- Отсутствие нормального режима сна;
- Боль в области головы;
- Резкие перепады показателей АД;
- Учащенное дыхание;
- Потеря сознания и ориентации в пространстве;
- Постоянные рвотные позывы и тошнота;
- Потеря чувствительности конечностей.
В процессе усугубления состояния патологии ее признаки будут постепенно усиливаться. Данное заболевание отличается постепенным развитием своих стадий. Главной особенностью болезни, по мнению специалистов, является наличие у нее трех стадий развития.
Также важно перечислить симптомы проявления ишемических атак:
- зональная утрата чувствительности;
- паралич отдельных частей тела;
- проявление односторонней слепоты.
Основной сложностью для диагностирования ИГМ является то, что ее симптомы часто совпадают с изменениями мозга, которые наступают у человека с возрастом по мере старения. Кроме того, из-за поражения отдельных участков ГМ симптоматические проявления могут серьезно отличается. Важно в процессе диагностики учитывать информацию, предоставляемую родственниками больного, так как из-за своего неадекватного состояния пациент не способен оценить свое состояние.
Причины возникновения
Существуют основные и дополнительные предпосылки к развитию этого заболевания. Основной причиной является гипоксия тканей ГМ из-за сужения кровеносных протоков или их полной закупорки. В условиях развития цереброваскулярного синдрома (гипоксии) мозговые клетки не могут нормально работать. При затягивании процесса лечения и при отсутствии правильной диеты начинается некроз тканей ГМ, что приводит его к инфаркту. В итоге полностью вылечить последствия инфаркта ГМ будет невозможно, что может привести к инвалидности.
Кислородное голодание ГМ происходит в результате развития артериальной гипертензии или атеросклероза, которые возникают на фоне появления жировых отложений на внутренних стенках. Гипоксия характерна для следующих патологий: артериальная гипертензия, атеросклероз ввиду образования жировых отложений на внутренней стенке церебральных сосудов.
Существует масса прямых и косвенных причин возникновения ишемической болезни ГМ, но главным фактором остается полная или частичная васкулярная непроходимость, которая также может свидетельствовать о развитии супратенториальной опухоли мозга.
Ишемия головного мозга — это состояние, при котором нарушается кровоснабжение определенных участков мозга, что может привести к серьезным последствиям. Многие люди, столкнувшиеся с этой проблемой, отмечают, что симптомы могут проявляться по-разному: от головной боли и головокружения до потери сознания. Важно понимать, что ишемия может быть следствием различных факторов, таких как атеросклероз, гипертония или тромбообразование. Люди часто говорят о необходимости своевременной диагностики и лечения, чтобы избежать необратимых изменений в мозге. Профилактика, включая здоровый образ жизни и регулярные медицинские осмотры, становится ключевым моментом в борьбе с этой болезнью. Обсуждая ишемию, многие подчеркивают важность осведомленности и раннего обращения к врачу при первых признаках недомогания.

Степень развития ИГМ
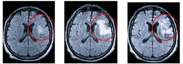
В зависимости от стадии развития патологии различаются ее симптоматические проявления. Стадии различаются между собой обширностью поражения ЦНС. У новорожденного ребенка последняя ступень развития ИГМ характеризуется полным поражением ЦНС. На последней стадии у новорожденных она поражается полностью. Для младенца последствия такого заболевания крайне тяжелые, и прогноз на лечение неблагоприятный.
С уменьшением просвета кровеносного сосуда происходит усиление симптоматических проявлений заболевания. С ростом количества единичных ишемических очагов в мозге постепенно нарастает пагубное влияние на весь организм. На крайних этапах развития наблюдается тотальное поражение ЦНС. У младенцев месячного возраста патология также сопровождается отеком ГМ. Из-за возникновения чрезмерного давления на клетки мозга происходит избыточное накопление жидкости в черепной коробке. Таким образом, у ребенка начинает развиваться гидроцефалия.
ИГМ первой степени отличается обратимостью изменений в мозге. Эта стадия характеризуется следующими симптомами:
- Общее недомогание, слабость в мышцах и постоянное чувство усталости на фоне быстрой утомляемости;
- Нарушение режима сна, невозможность согреться;
- Повышенная раздражительность и немотивированная агрессивность;
- Сильные перепады настроения без реальных причин;
- Погружение в депрессивное состояние;
- Нарушение памяти, вестибулопатия (нарушение координации и ориентации в пространстве);
- У больного нарушается его походка;
- Появление шума в ушах, хронических мигреней и синдрома «тяжелой головы».
Первая стадия болезни достаточно легко поддается терапии в этом случае даже могут помочь некоторые народные средства в виде спиртовых настоек лекарственных трав. При этом если не снять симптомы первой стадии ИГМ у ребенка, то болезнь довольно быстро перейдет на вторую.
Если не обращать внимания на первичные симптомы патологии, она может перерасти в ишемию головного мозга 2 степени. В этом случае все симптомы первичной стадии приобретают более выраженный вид.
Также дополнительно проявляются следующие:
- Расстройства экстрапирамидного типа;
- Атаксия, сопровождающаяся проблемами с координацией;
- Постепенная деградация личности;
- Полная апатия с утратой интереса к жизни.
У недавно рожденных детей проявляется гипертензия внутреннего пространства черепной коробки, что вызывает повышение гидростатического давления. На таких стадиях взрослые уже не могут нормально справляться со своими профессиональными задачами. Человек попросту не способен сосредотачиваться и читать. Такое состояние нуждается в стационарном лечении.
Со временем все симптомы прогрессируют и перерастают в серьезное психиатрическое расстройство. При этом человек еще не теряет способность заниматься самообслуживанием. На более поздних стадиях за больным нужен постоянный профессиональный уход.
ИГМ 3 степени характеризуется декомпенсацией при исчерпании всех основных мозговых функций. В рамках последней стадии в структуре ГМ появляется множество инфарктных очагов. Больной теряет способность к самостоятельному движению.
Третья степень болезни диагностируется на основе следующих симптомов:
- Потеря сознания;
- Проявление психоорганического синдрома;
- Неспособность удерживать мочу;
- Нарушение рефлекса глотания;
- Развитие амиостатического или акинетико-ригидного синдрома (синдром Паркинсона);
- Утрата нормальной способности мышления;
- Полная апатия с потерей силы воли;
- Развитие дискоординаторного синдрома Бабинского с нарушением праксиса;
- Слабоумие.
Если у больного наблюдается резкое снижение показателей АД с внезапной потерей сознания, расширение глазных зрачков с полным отсутствием реакции на воздействие света, нитевидный слабо прослушиваемый пульс, то ему следует незамедлительно оказать первую помощь и перевернуть его набок.
При потере сознания возрастает риск удушья. Это связано с расслаблением мышц языка из-за чего он может перекрыть дыхательные пути. В этом случае помимо искусственного дыхания может потребоваться проведение реабилитационных мер с использованием непрямого массажа сердца.
Три основных составляющих формируют психоорганический синдром: слабая память, неспособность осуществлять контроль за собственным поведением и впадение в состояние ступора. Человек быстро погружается в состояние эмоционального перевозбуждения, когда он не может контролировать собственное поведение.
Возникновение психических расстройств на фоне развития ИГМ может вызвать искажение восприятия окружающей действительности и полную дезорганизацию поведенческих реакций. В результате развития психических расстройств происходит тотальное разложение человеческой личности.
Симптоматика заболевания в зависимости от возраста больного может несколько отличаться. Период развития последней стадии болезни пугает своими необратимыми последствиями, ведь ИГМ оставляет неизгладимый отпечаток на здоровье пациента.
Процесс лечения
В современной медицинской практике принято использовать для лечения ИГМ консервативные, хирургические, а также сложные смешанные методы лечения. Оперативное вмешательство показано в том случае если лекарственные препараты неспособны качественно изменить существующую клиническую картину. Также операция показана при возникновении ишемической атаки, что повышает вероятность летального исхода. При этом методы консервативного лечения главным образом направлены на устранение проблемы кровенаполнения мозга. Для этого пациентам необходимо принимать лекарства, назначенные лечащим врачом.
С помощью микротоковой электрорефлексотерапии достигается улучшение работы нейронов во всех долях ГМ при одновременной нормализации кровообращения.
По своему назначению и влиянию препараты для лечения ишемии мозга разделяются на несколько групп:
- Нейропротекторы — это препараты, которые способны защищать нейроны ГМ от разрушения. К таким средствам принято относить ноотроп Церебролизин, а также антиоксидантный препарат Мексидол;
- Медикаменты, использующиеся для снижения проходимости структуры стенок сосудов за счет их укрепления и улучшения кровообращения. Для этого в медицине используют сосудорасширяющие медикаменты и препараты с выраженными кроворазжижающими свойствами;
- Гиполипидемический класс лекарств, способных корректировать параметры липидного обмена в организме.
Процесс лечения этого заболевания проводится по следующей схеме: нейронная сеть – система сосудов – метаболические процессы. В итоге это приводит к нормализации кислородного насыщения клеток и восстановлению нормального метаболизма. С целью предотвращения приступов ишемических атак и инсульта проводится нормализация показателей артериального давления.
С нормализацией кровотока навыки двигательной функции будут постепенно восстанавливаться. Для этого человеку нужно пройти определенный период реабилитации, предполагающий регулярный массаж, лечебную физкультуру и магнитофарез.
Хирургическое вмешательство для лечения окклюзионно-стенотического поражения сосудов мозга проводится с помощью метода стентирования сонных артерий, а также тромбоэктомии для удаления образованных тромбов.
Также в современной медицине набирает популярность методика лечения с использованием стволовых клеток, обеспечивающих естественные регенеративные процессы. Перед проведением такой процедуры у пациента изымается его биологический материал, из которого в лабораторных условиях будут культивироваться стволовые клетки в необходимом объеме.
С помощью капельницы производится введение таких клеток в организм. В среднем такая процедура проводится за один час, после чего пациент может идти домой для отдыха. Через кровоток стволовые клетки попадают к пораженному участку ГМ. После их прикрепления к здоровым тканям начинается их активное размножение.
Беременные женщины, страдающие ИГМ, нередко боясь навредить плоду, используют сомнительные методики народной медицины. Безусловно, если каждый день делать и употреблять травяные отвары можно достичь определенного разжижения крови, что несколько облегчит общее состояние больного, но надеяться на реальный терапевтический эффект не стоит.
Симптоматические признаки заболевания у новорожденных детей
Зачастую внимательные мамочки смогут определить факт развития этого опасного заболевания у ребенка на основе следующих симптомов:
- У младенца наблюдается перевозбудимость, постоянный беспричинный плач, плохой сон, тремор и периодические вздрагивания;
- Понижается общий тонус мышц, что проявляется в затрудненном глотании;
- Из-за скопления жидкости внутри черепной коробки повышается внутричерепное давление;
- У ребенка периодически возникают судороги, потеря сознания, а также раскоординированность движения и сознания, что является результатом ухудшения кровообращения в лобной доле мозга;
- У новорожденного кожа становится мраморного цвета;
- Из-за нарушения работы желудочно-кишечного тракта у малыша наблюдается понос, рвота и тошнота.
Основной целью лечения в этом случае является восстановление нормального кровообращения и минимизация возникновения непоправимых последствий заболевания. При первой степени патологии терапевтические меры зачастую ограничиваются массажем головы и спины для улучшения кровообращения в спинном и головном мозге.
При более запущенном состоянии болезни используется медикаментозное и хирургическое лечение для удаления тромбов, излишней жидкости и разжижения крови. В более сложной клинической ситуации младенцу назначают прохождение интенсивного терапевтического восстановительного курса, направленного на нормализацию состояния его здоровья.
Итоги
При позднем обращении к неврологу будет крайне сложно избежать плачевных последствий, ведь это заболевание затрагивает практически все системы организма человека. К большому сожалению, ишемия ГМ нередко заканчивается смертью больного. По этой причине важно с особым вниманием относиться к состоянию собственного здоровья, что поможет минимизировать риски возникновения такой опасной патологии и появления непоправимых последствий для здоровья человека.
Нельзя забывать о том, что при отсутствии своевременного квалифицированного лечения сердечно-сосудистые заболевания и ИГМ, в частности, влекут за собой инвалидность или даже смерть. Поэтому нужно с детства соблюдать принципы правильного питания, отказаться от всевозможных вредных привычек, повышающих риски возникновения ишемии ГМ и регулярно заниматься умеренными спортивными нагрузками. Соблюдение элементарных правил здорового образа жизни почти сводит к нулю возможность появления подобных проблем со здоровьем.
https://youtube.com/watch?v=6rTy6iBmK2Q
Вопрос-ответ
Какие симптомы при ишемии головного мозга?
Симптомы ишемии головного мозга Первые признаки заболевания проявляются в общем недомогании – больной испытывает головную боль, головокружение, шум в голове, нарушения сна, постоянную сонливость, рассеянность внимания, раздражительность, снижение познавательной активности, он быстро утомляется.
Что такое ишемия простыми словами?
Ишемия или ишемическая болезнь – это снижение или прекращение кровоснабжения (циркуляции крови) в органах, возникновение «кислородного голода» – гипоксии в них.
Сколько стадий ишемии головного мозга?
В зависимости от соотношения субъективных (жалоб) и объективных проявлений заболевания выделяют 3 стадии ХИМ – начальная, субкомпенсации и декомпенсации.
Советы
СОВЕТ №1
Регулярно проходите медицинские обследования. Раннее выявление признаков ишемии головного мозга может значительно повысить шансы на успешное лечение и предотвратить серьезные последствия.
СОВЕТ №2
Обратите внимание на свое питание. Употребление продуктов, богатых омега-3 жирными кислотами, антиоксидантами и витаминами, может помочь улучшить кровообращение и снизить риск ишемии.
СОВЕТ №3
Поддерживайте активный образ жизни. Регулярные физические нагрузки способствуют улучшению кровообращения и укреплению сердечно-сосудистой системы, что может снизить риск развития ишемии головного мозга.
СОВЕТ №4
Управляйте стрессом. Практики, такие как медитация, йога или глубокое дыхание, могут помочь снизить уровень стресса, что, в свою очередь, положительно скажется на здоровье мозга и сосудов.







