
Аденома гипофиза – это доброкачественная опухоль, образующаяся на передней доле головного мозга. Симптомы заболевания различны в зависимости от его вида: активная или неактивная. В практике имеются случаи, когда аденома гипофиза не имеет симптомов и долго протекает в скрытой форме, о ее наличии больной узнает только во время обследования.
Чаще всего болезнь затрагивает людей в возрасте от 30 до 50 лет. Среди них одинаковое количество и мужчин, и женщин. В любом случае, требуется помощь эндокринолога, но, если при обследовании были обнаружены неоплазии, протекающие без симптомов, понадобится дополнительное обследование и постоянное наблюдение.
Классификация
Как уже отмечалось, аденома гипофиза головного мозга бывает двух видов, гормонально активная и неактивная. Последняя форма характеризуется невозможностью продуцировать гормоны, поэтому за развитием болезни следят неврологи. Активная форма заболевания способна к размножению гормонов и изучается эндокринологами.
Если происходит увеличение определенного вида гормона, то снижается количество других, так как новообразование сдавливает другие части гипофиза.
Активная форма аденомы бывает:
- соматотропной;
- пролактиновой;
- кортикотропной;
- тиреотропной;
- гонадотропной.
Также классификация аденомы зависит от размера опухоли. В данном случае выделяют: микроопухоль, диаметр которой составляет менее 2 см, и макроопухоль – с диаметром более 2 см.
Исходя из расположения злокачественного образования, выделяют:
- Эндоселлярную – находится в самом турецком седле.
- Эндосупраселлярную – в данном случае опухоль стремится расти вверх.
- Инфаселлярную – наблюдается рост образования вниз.
- Ретороселлярную – опухоль растет назад.
При неправильной постановке диагноза или не начатом своевременно лечении, заболевание может привести к потере зрения и нарушениям со стороны ЦНС.
Аденома гипофиза — это доброкачественная опухоль, которая развивается из клеток гипофиза, расположенного в основании мозга. Врачи отмечают, что такие опухоли могут вызывать разнообразные симптомы в зависимости от их размера и типа. Например, некоторые аденомы выделяют гормоны, что может приводить к эндокринным нарушениям, таким как акромегалия или синдром Кушинга. Врачи подчеркивают, что ранняя диагностика имеет ключевое значение для успешного лечения. Методы визуализации, такие как МРТ, помогают выявить опухоль, а лечение может включать медикаментозную терапию, хирургическое вмешательство или радиотерапию. Важно, чтобы пациенты были осведомлены о возможных симптомах и своевременно обращались за медицинской помощью.

Причины
Предпосылки для развития данного типа заболевания до сих пор до конца не изучены, однако есть некоторые предрасполагающие факторы:
- Имеющиеся патологии, например, туберкулез, менингит, энцефалит и другие подобные заболевания.
- Нарушение внутриутробного развития ребенка, когда беременная злоупотребляла лекарствами или токсическими веществами.
- Травмы черепа.
- Злоупотребление оральными контрацептивами у женщин.
- Наследственность.
Кто находится в группе риска?
В большинстве случаев аденомой болеют следующие категории женщин:
- с серьезными повреждениями черепа (сотрясение и пр.);
- с заболеваниями инфекционного характера, оказавшими негативное влияние на ЦНС;
- постоянно принимающие контрацептивы;
- подвергшихся радиоактивному влиянию;
- с наследственной предрасположенностью.
В группу риска можно отнести мужчин, перенесших серьезное инфекционное заболевание (туберкулез, сифилис и т.п.), а также те, у кого в роду уже было данное заболевание.
Аденома гипофиза — это доброкачественная опухоль, которая возникает в области гипофиза, железы, отвечающей за выработку гормонов. Многие люди, столкнувшиеся с этой проблемой, отмечают, что симптомы могут быть весьма разнообразными. Некоторые жалуются на головные боли, нарушения зрения и изменения в гормональном фоне, что может привести к проблемам с весом, настроением и даже сексуальной функцией.
Обсуждая аденому, пациенты часто подчеркивают важность ранней диагностики. Многие врачи рекомендуют регулярные обследования, особенно если у человека есть предрасположенность к эндокринным заболеваниям. Лечение может включать медикаментозную терапию, радиохирургические методы или хирургическое вмешательство. Важно, чтобы пациенты были информированы о своих возможностях и могли принимать обоснованные решения о лечении. Обсуждения на форумах и в социальных сетях помогают людям делиться опытом и поддерживать друг друга в трудные времена.

Формы опухоли
Выделят следующие формы аденомы:
- Эозофильная – данная форма опухоли не пускает метастаз и очень медленно увеличивается. Такие новообразования проявляются у 15% больных. В преобладающем большинстве случаев опухоль является соматропной. Частые признаки – головные боли, ухудшение зрения.
- Базофильная – встречается очень редко. Она характеризуется нарушением обменно-эндокринных процессов. Такие проблемы возникают, в основном, у молодых девушек, больных ожирением, увеличением количества сахара в крови и др.
- Эндоселлярная – доброкачественное разрастание опухоли в пределах турецкого седла.
- Эндосупраселлярная – новообразование растет вверх, при этом выходя за границы турецкого седла.
- Кистозная – в данном случае опухоль приобретает форму кист, заполненных жидкостью. Симптомами болезни в данной форме являются: головная боль, нарушение менструации, мужские проблемы с половыми органами, эпилепсия.
Симптоматика заболевания
В основном, симптомы заболевания связаны с проблемами зрения и нервной системы. Гормональные новообразования могут проявить себя эндокринно-обменными процессами. Если опухоль находится в негормональной форме, она вообще может никак не проявиться, но при этом растет, и когда она приобретет большие размеры, появляются первые симптомы заболевания.
Эндокринно-обменный синдром — это акромегалия при соматропиноме у взрослых и гигантизме у детей. Помимо этого, наблюдаются такие симптомы, как лишний вес, увеличение щитовидки, повышенная потливость, различные высыпания на теле (бородавки, папилломы и др.).
Разделение симптомов заболевания зависит от типа опухоли:
- Пролактинома – встречается чаще всего у женщин, при этом ее размеры достигают 2-3 мм. Такая форма аденомы гипофиза у женщин проявляется следующими симптомами:
- нарушения со стороны женских половых органов – отсутствие менструации и нарушение цикла;
- из груди постоянно просачивается молозиво, не связанное с беременностью и кормлением;
- отсутствие овуляции, что ведет к невозможности иметь детей.
Что касается лиц мужского пола, то у них пролактинома проявляется импотенцией, увеличением молочных желез, отсутствием эрекции и бесплодием.
- Соматотропинома – данный тип аденомы характеризуется содержанием повышенного количество гормона роста в организме. Такой вид возникает одинаково как у лиц мужского, так и женского пола в любом возрасте. Выделяют такие ее признаки, как:
- гигантизм у детей – в данном случае ребенок очень быстро растет и прибавляет в весе, наблюдается асимметричность тела. Обычно такой скачок наблюдается у детей в подростковом возрасте, когда начинается половое созревание, и может продлиться до 25 лет. Диагноз гигантизм ставится при росте человека более 2 метров;
- у взрослых данное заболевание проявляется акромегалией, когда резко увеличивается размер частей тела (ног, рук, носа и пр.), происходит деформация черт лица, у женщин начинает расти борода и усы. Рост внутренних органов приводит к нарушению их работы.
- Кортикотропинома – данный тип заболевания характеризуется повышенным содержанием гормонов коры надпочечников. Его признаками являются:
- лишний вес – в основном жировая прослойка образуется на плечевом поясе, шее и над ключицами. Происходят атрофические процессы в подкожной клетчатке и мышцах, наблюдается асимметрия лица, когда оно, по сравнению с телом, выглядит крупнее;
- кожа на теле покрывается растяжками, особенно на животе, груди и бедрах, появляются пигментные пятна;
- повышается артериальное давление;
- у женщин нарушается работа половых органов, нарушается цикл и появляется сильное оволосение;
- у мужчин появляются признаки потенции.
- Гонадотропинома – редко встречающийся тип аденомы. Последствиями данной формы заболевания являются нарушения функции половых органов у женщин (отсутствуют месячные, овуляция).
- Тиреотропинома – она также встречается редко. Симптоматика зависит от первичного или повторного ее образования.
- Первичное – для нее характерен гипертиреоз, то есть, резкое похудение, дрожание тела, выпученность глаз, нарушения сна, постоянное чувство голода, сильное потовыделение, повышение АД и учащенное сердцебиение.
- Вторичное – симптомы проявляются из-за снижения функций щитовидной железы. В данном случае появляется отечность на лице, запоры и лишний вес, замедляется речь, голос становится хриплым, мучает депрессия.
- Нарушения со стороны нервной системы – выделяется два явных симптома:
- нарушение зрительных функций – двоение в глазах, ухудшение зрения. Если заболевание долго не лечить, это приведет к полной потере зрения;
- головные боли, к которым добавляется тошнота;
- постоянная заложенность носа.
Синдром недостаточности гипофиза
Он проявляется при полном сдавливании гипофизарной ткани. При этом выделяют такие симптомы, как:
- гипотиреоз;
- надпочечниковая недостаточность, которая приводит к сильной утомляемости, снижению АД, частым обморокам и сильной раздражительности, болям в суставах и понижению содержания глюкозы в крови;
- снижение уровня половых гормонов, что ведет к невозможности зачатия, снижению либидо и импотенции, повышенному оволосению на теле. У детей возможен недостаток гормона роста, который приводит к задержкам в развитии.
В чем опасность
В большинстве случаев, аденома гипофиза растет до небольших размеров, при этом не вызывая дискомфорта. В таких случаях говорят о доброкачественном новообразовании, которое не опасно для жизни, но требует тщательного наблюдения врачами и регулярного проведения МРТ.
В случае, если аденома приобрела злокачественный характер, требуется немедленно начинать лечение. Ее активный рост приведет к прорастанию в головно-мозговые структуры, тем самым сдавливая их. Последствиями таких нарушений являются неврологические изменения, нарушения со стороны зрения, онемение лица, частые головные боли. Слишком быстрое увеличение аденомы приводит к серьезным нарушениям со стороны гормонального фона, половой жизни и щитовидной железы.
У некоторых пациентов выявляется акромегалия, то есть, интенсивный рост отдельных частей тела и утолщение рук и ног. У детей такой синдром называется гигантизм, и случается он из-за переизбытка определенного вида гормонов.
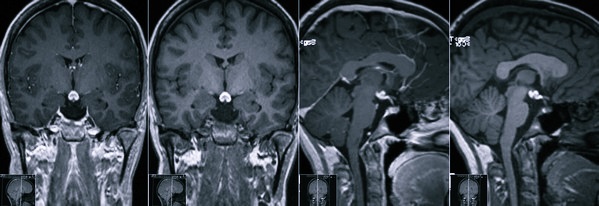
Диагностика
Любое заболевание лучше диагностировать заранее, то же самое и с аденомой. И неважно, доброкачественная она или злокачественная, следить за ее ростом и развитием необходимо обязательно. Для того, чтобы поставить точный диагноз, потребуется провести ряд исследований, среди которых:
- Визуальный осмотр пациента, беседа с ним.
- Осмотр офтальмолога, невролога и гастроэнтеролога.
- Проведение магниторезонансной терапии и КТ (компьютерная томография).
- Взятие общего анализа мочи и крови, чтобы определить количество содержащихся там гормонов.
- Исследование поля зрения.
- Иммуноцитохимическое изучение вида и размера опухоли.
С помощью данного типа исследований можно установить вид опухоли, активность, размер и местонахождение.
Лечение
Варианты лечения зависят от вида опухоли, ее размеров и активности. Для этого используются три его вида:
- медикаментозное;
- лучевая терапия;
- хирургическое вмешательство.
Лечение аденомы гипофиза таблетками допустимо при уровне пролактина в крови выше 500 нг/мл, в ином случае назначается хирургическое вмешательство. При соматотропиноме, кортикотропиноме, гонадотропиноме и гормонально неактивной аденоме назначают хирургическое вмешательство и лучевую терапию. Исключением являются соматотропиномы без симптомов, вылечить их можно с помощью медицинских средств.
Медикаментозное лечение
Для лечения используются:
- Антагонисты гормонов гипоталамуса и гипофиза.
- Средства, с помощью которых происходит блокирование дальнейшего размножения гормонов надпочечника.
- Агонисты дофамина.
С помощь медицинских препаратов удается добиться уничтожения аденомы только в 56% случаях.
Хирургическое вмешательство
В данном случае для удаления аденомы применяется два способа:
- Транссфеноидальный – данный вид операции производится через носовую полость, он показан при микро- и макроаденомах, которые никак не влияют на соседние ткани. То есть, транссфеноидальный метод применяется в случае, когда опухоль находится в турецком седле, либо, не более чем на 20 мм выступает из него. Для ее проведения применяется эндоскоп, который вводится в правый носовой проход. После этого надрезается стенка клиновидной кости, таким образом, освобождая доступ к турецкому седлу. Далее происходит удаление аденомы путем ее отсекания. Продолжается такая операция около 2-3 часов, при этом шансы на полное выздоровление достаточно высокие.
- Транскраниальный – представляет собой метод трепанации черепа. Его применяют при тяжелой и запущенной форме аденомы. Данный метод применяется очень редко, так как чреват серьезными последствиями, гематомами и травмами.
Лечение лучами
Такой способ применяется только при малоактивных аденомах небольшого размера. Особенностью является то, что его можно смешивать с медикаментозным лечением, что даст больший результат. В качестве лучевой терапии применяется метод:
- Подачи радиоактивного пучка на ткань опухоли.
- Гамма-терапия.
Народные методы
Лечить данное заболевание с помощью средств народной медицины никак нельзя, ведь любое промедление может привести к смерти и другим серьезным последствиям. При первых же симптомах макро- или микроаденомы гипофиза у женщин или у мужчин, следует обратиться к специалисту, который назначит обследование и установит диагноз. Сама опухоль рассосаться не сможет, и никакие травы, настойки и прочее не поможет. Только после консультации со специалистом можно опробовать народный способ лечения.
Если лечащим врачом будет разрешено использование средств народной медицины, то можно попробовать семечки тыквы, кунжут, корень имбиря, первоцвет и чистотел.
Послеоперационные осложнения
После лечения необходимо продолжить наблюдаться у специалиста, ведь осложнения возможны даже после комплексной терапии. Сюда можно отнести:
- Рецидив заболевания.
- Нарушение функционирования коры надпочечников.
- Снижение и полная потеря зрения.
- Нарушение работы щитовидки.
- Недостаточность гипофиза.
- Нарушение слуха, внимания, координации.
- Инфекционные воспаления.
- Кровотечение из сосудов, которые были затронуты во время операции.
- Инсульт.
- Миома матки у женщин и импотенция у мужчин.
Для того чтобы избежать этих последствий, после операции производится обследование, и уже по его результатам назначается медикаментозное поддержание уровня гормонов.
Осложнения без лечения
Если лечение так и не было начато, либо проводилось неправильно, то аденома может привести к потере зрения и слуха, возможны внутренние кровоизлияния, наступление бесплодия у мужчин и женщин.
Какие прогнозы на выздоровление
Если удается своевременно диагностировать и приступить к лечению заболевания, то прогноз на полное излечение достаточно высокий, около 95 %. Но и после правильно подобранной терапии возможны некоторые осложнения:
- нарушение работы половой системы;
- проблемы со щитовидкой;
- расстройство функции надпочечников;
- нарушения со стороны зрения, слуха и памяти;
Рецидив заболевания возможен только в 15 % случаев, а смерть и то реже. Обычно летальный исход наступает при несвоевременном лечении либо наличии сопутствующих заболеваний. Если лечение было хирургическим или медикаментозным, то возобновление симптомов происходит в 92% случаев.
При нарушении зрительной функции есть возможность ее восстановления, но только если аденома имела небольшие размеры и просуществовала не более года. В ином случае полностью восстановить зрение и уравновесить гормональный баланс невозможно, больной должен будет постоянно навещать врача.
После лечения пациент проходит полное обследование, по результатам которого ему присваивается группа инвалидности, зависящая от вида аденомы, ее активности и осложнений.
Сколько живут люди с таким диагнозом сказать сложно, все зависит от множества факторов: стадии заболевания, типа и размера опухоли.
Влияние на беременность
Аденома и беременности – это два несовместимых понятия, так как данный вид опухоли негативно влияет на репродуктивную функцию. У женщин нарушается менструальный цикл, прекращается овуляция и т.п. Соответственно, начинаются проблемы с оплодотворением и зачатием.
Если же беременная женщина наблюдает у себя признаки аденомы гипофиза, следует немедленно обратиться к специалисту. Особенно это касается женщин, которые в ближайшее время должны родить, ведь новорожденный, в таком случае, подвергается серьезной опасности для жизни и здоровья. Далее назначается комплексное обследование и ставится диагноз. Если аденома находится в начальных стадиях, то шансы родить здорового ребенка практически 100%. Лечение хирургическим и медикаментозным способом противопоказано, поэтому, будущая мама должна наблюдаться у эндокринолога и гинеколога, чтобы выявить малейшие отклонения на самых ранних этапах.
Профилактические меры
Начало заболевания никак не связано с питанием или экологией, поэтому предотвратить его достаточно сложно. Люди, у которых в роду были больные аденомой гипофиза, должны регулярно проходить обследование, чтобы предотвратить риск ее развития.
Также рекомендуется уменьшить количество оральных контрацептивов, ведь они способны нарушить гормональный фон женщин, и соответственно, привести к такому роду последствиям.
Для каждого больного подбирается индивидуальная схема дальнейшего лечения, а именно, восстановления уровня гормонов. Для этого назначают эстрогены, прогестины, андрогены, которые оказывают анаболическое воздействие, тем самым сохраняют функции половых органов, обменных процессов и восстанавливают психологическое состояние.
Также очень важно выполнять следующие рекомендации:
- Правильно питаться и придерживаться установленной диеты.
- Отказаться от вредных привычек.
- Посещать занятия физкультурой и вести активный образ жизни.
- Побольше находиться на свежем воздухе.
Что нельзя делать
Если поставлен диагноз – аденома гипофиза, категорически нельзя делать следующее:
- Применять любые препараты и витамины, которые влияют на уровень гормонов в организме.
- Использовать контрацептивы.
- Если имеются дети, не следует кормить их грудью.
- Заниматься самолечением без консультации с врачом.
Аденома гипофиза – серьезная патология, которая требует комплексного лечения и постоянного контроля состояния больного. Даже после хирургического ее удаления нет полной гарантии, что болезнь исчезнет и не вернется, поэтому такие пациенты находятся на учете у эндокринолога и ежегодно проходят полное обследование головного мозга.

Вопрос-ответ
Какие симптомы при аденоме гипофиза?
Головная боль, ограничение поля зрения, вторичная аменорея, галакторея, импотенция/пониженное либидо, признаки болезни Кушинга, гигантизм у детей, акромегалия у взрослых. 4 дня назад
Сколько живут с аденомой гипофиза?
Аденома гипофиза не поражает соседние ткани и не дает метастазов. Обычно, опухоли гипофиза имеют благоприятный прогноз и не приводят к смерти. Пятилетняя выживаемость с момента постановки диагноза – более 97%.
Можно ли полностью вылечить аденому гипофиза?
Можно ли вылечить аденому гипофиза? Прогноз этого заболевания зависит от вида и размеров впервые диагностированного образования. Да, выздороветь полностью возможно, но в ряде случаев существует высокая вероятность рецидива опухоли.
Где болит голова при аденоме гипофиза?
Головная боль при аденоме гипофиза обычно распространяется на виски и лобную часть. Она практически не купируется обезболивающими препаратами. Из-за интенсивного роста может произойти кровоизлияние в ткани, что приведет к значительному усилению головной боли.
Советы
СОВЕТ №1
Обратитесь к врачу при первых симптомах. Если вы заметили изменения в вашем здоровье, такие как головные боли, изменения зрения или гормональные нарушения, не откладывайте визит к эндокринологу или неврологу. Ранняя диагностика аденомы гипофиза может значительно улучшить прогноз лечения.
СОВЕТ №2
Изучите информацию о различных типах аденом гипофиза. Понимание различий между функциональными и нефункциональными аденомами, а также их возможными симптомами и последствиями, поможет вам лучше подготовиться к обсуждению с врачом и принятию решений о лечении.
СОВЕТ №3
Не стесняйтесь задавать вопросы. Во время консультации с врачом задавайте все интересующие вас вопросы о диагнозе, методах лечения и возможных побочных эффектах. Это поможет вам лучше понять свою ситуацию и принять обоснованные решения.
СОВЕТ №4
Поддерживайте здоровый образ жизни. Правильное питание, регулярные физические нагрузки и управление стрессом могут помочь улучшить общее состояние здоровья и поддержать ваше тело в период лечения аденомы гипофиза.











