
Головной мозг – одна из самых сложных структур, изучаемых в физиологии. Он состоит из нескольких частей, каждая из которых уникальна и не менее трудна для науки. Ствол, являющийся отделом мозга, представляется наиболее интересной его составляющей, т.к. отвечает за функционирование многих систем. За последние годы ученым удалось подробно изучить его и дать точные характеристики. Знание строения и функций ствола головного мозга позволит не только увеличить свою эрудицию, но и избежать некоторых заболеваний, связанных с головой.
Стволовой отдел
Первые живые существа, появившиеся на Земле, имели только продолговатый мозг. Именно он обеспечивал их всеми необходимыми инстинктами, которые помогали выживать. Но этого мало, т.к. им требовалось постоянно развивать рефлексы и мышление. Через некоторое время новые организмы стали рождаться с большим мозгом. Такие изменения произошли незадолго до появления человека, вместе с которым произошло образование мозжечка. Остальные отделы мозга стали образовываться лишь спустя сотни лет.
Ствол у мозга, появившийся в ходе эволюции, отвечал за обеспечение функции дыхания и кровоснабжение всех необходимых частей организма. Развиваясь, он стал состоять из огромного количества разных центров, которые начали образовывать сложнейшую систему. Теперь этот отдел является необходимой частью мозга, жизнь без которой невозможна.
Он находится между крупным отверстием головы в области затылка и скатом внутренней части черепа. Ствол продлевает спинной мозг, связывая его с основным, расположенным внутри головы. Его длина составляет около 7 см, при этом он включает в себя несколько отдельных частей, которые очень важны для организма.
Врачи подчеркивают, что ствол головного мозга играет ключевую роль в функционировании центральной нервной системы. Его анатомические особенности, такие как расположение и структура, имеют значительное значение для жизнедеятельности организма. Ствол состоит из трех основных частей: продолговатого мозга, моста и среднего мозга. Эти области отвечают за регуляцию жизненно важных функций, включая дыхание, сердечный ритм и артериальное давление.
Специалисты отмечают, что любые повреждения ствола могут привести к серьезным нарушениям, таким как кома или даже смерть. Важно также учитывать, что ствол головного мозга является центром, через который проходят все нервные пути, связывающие головной и спинной мозг. Анатомические вариации, такие как размеры и форма, могут влиять на индивидуальные особенности функционирования нервной системы. Поэтому врачи акцентируют внимание на необходимости тщательной диагностики и мониторинга состояния ствола головного мозга у пациентов с неврологическими заболеваниями.

Анатомические особенности
Головной мозг – сложнейший орган, который выступает в роли центра нервной системы человека. По подсчетам ученых, он может содержать более 20 миллиардов различных нейронов, передающих сигналы к другим частям тела. Ствол мозга включает в себя несколько отделов, каждый из которых отвечает за определенные функции. Всего их 5:
- Продолговатый;
- Промежуточный;
- Задний;
- Средний;
- Конечный.
Также анатомия подразумевает выделение нескольких не менее важных частей: кора полушарий, кора мозжечка, червь с ядрами, мост, таламус, гипоталамус, гипофиз, базальные ганглии.
Само строение же представляет собой такую картину:
- Продолговатый мозг выступает продолжением спинного, выходящего из позвоночного отдела. В него входят два типа вещества: белое и серое. Функция первого – проводить информацию между системами организма. Второе является ядрами нервов, созревание которых происходит к 7 годам.
- Валориев мост. Он является следующим отделом, выходящим из продолговатого, находится в средней части ствола, образован основанием, четверохолмием, компонентами отдела черепных желудочков и покрышкой. Состоит из продольных и поперечных волокон. Первые построены из нейронных скоплений, представленных в виде ядер, из которых проходят вторые. Последние включают верхний и нижний слои, через которые проложены пирамидальные пути.
- Мозжечок. Он представляет собой небольшие полушария, которые покрыты белым и серым веществом. Достигает своих максимальных размеров к 15-летнему возрасту человека.
- Средний мозг. Присоединен к мозжечку двумя своеобразными ножками, включает в себя 2 зрительных и 2 слуховых отдела в виде отдельных бугорков, через которые проходят нервные волокна.
- Кора полушарий. Между полушариями расположено мозолистое тело, обеспечивающее связь всех частей. В коре происходят все мыслительные процессы.
Структура ствола головного мозга включает еще один значимый отдел. Он называется ретикулярной формацией, в которую входят дендриты и аксоны, образующие ретикулум, представляющий собой особую сетку. Главной функцией этого участка является управление информацией, передаваемой из мозга в другие части организма. Существует 2 типа проводимости информации: аффертный, направляющий данные к формации, и эффертный, выполняющий обратное действие.
Мозг хорошо защищен. За это отвечают три оболочки: мягкая, твердая, паутинная. Дополнительную защиту обеспечивает поверхность черепной коробки.
Ядра черепных нервов
Одной из важнейших составляющих ствола мозга являются ядра черепных нервов, которые отходят от его основания. Они расположены между задней и продолговатой частями, при этом незначительное их количество приходится на мост. Ядра состоят из нервных окончаний, которые оказывают прямое влияние на ствол. Они представлены в виде ответвлений, которые проникают через самые важные его части.
Каждое ядро имеет свое назначение. Из этой зоны выходят такие нервы:
- Обонятельный;
- Зрительный;
- Глазодвигательный;
- Лицевой;
- Преддверно-улитковый;
- Блоковый;
- Отводящий;
- Тройничный;
- Языкоглоточный;
- Подъязычный;
- Добавочный;
- Блуждающий.
Их полноценное функционирование очень важно для человеческого организма. При дисфункции любого нерва могут возникать серьезные последствия, ухудшающие качество жизни и даже приводящие к летальному исходу.
Анатомические особенности ствола головного мозга вызывают интерес у специалистов и любителей нейробиологии. Многие отмечают, что ствол мозга играет ключевую роль в поддержании жизненно важных функций, таких как дыхание, сердечный ритм и артериальное давление. В нем расположены важные нервные центры, отвечающие за рефлексы и координацию движений.
Некоторые исследователи подчеркивают, что ствол мозга является связующим звеном между головным и спинным мозгом, обеспечивая передачу сигналов и интеграцию информации. Также часто упоминается его роль в формировании сознания и регуляции сна.
Многие люди удивляются, как такая небольшая структура может оказывать столь значительное влияние на поведение и здоровье. В результате, изучение ствола головного мозга продолжает привлекать внимание ученых, открывая новые горизонты в понимании нейрофизиологии и нейропсихологии.

Функции
Все части мозгового ствола одинаково необходимы. Они обеспечивают людей возможностью почувствовать запах, услышать звук, понять речь, подумать о любых серьезных вещах. Если бы не они, то человечество навсегда могло остаться в каменном веке.
Функции ствола мозга сводятся к распределению информации между мозгом и центральной нервной системой. Они обеспечиваются ядрами и нервными окончаниями. При этом ствол является физиологической соединительной ступенью между спинным и головным мозгом. Если он будет поврежден, то сигналы из мозга не смогут дойти до конечной точки, что полностью исключит нормальное функционирование человеческого организма.
Выделяют несколько групп функций, которые свойственны стволу мозга. Среди них:
- Двигательная. К ней относятся все действия, связанные с мышцами глаз и век. Функция также отвечает за рефлексы глазных яблок и управляет жевательной мускулатурой.
- Чувствительная. Обеспечивает работу вкусовых рецепторов, а также всех рефлексов, которые касаются пищеварительной системы. Помогает передавать сигналы для глотания и многих других действий, включая даже рвоту. Дополнительно отвечает за чихание.
- Парасимпатическая. Воздействует на движения и расширение зрачков, управляет ресничными мышцами. Управляется ядрами, обеспечивая выполнение блоковой функции.
- Верхняя слюноотделительная. Оказывает влияние на слюнные железы, обеспечивая своевременное и необходимое образование слюны.
- Вестибулярная. Отвечает за функционирование вестибулярного аппарата, что помогает управлять равновесием тела и держаться на ногах.
- Глотательная. Обеспечивает работу глотательного рефлекса. Дополняет работу чувствительной функции.
- Слуховая. Передает информацию для мозжечка, отвечает за слух, а также распознавание услышанных звуков.
- Сенсорная. Придает коже на лице чувствительность, анализирует вкус и звук, распознает вестибулярные раздражители.
У ствола головного мозга важнейшие функции. Он дает каждому человеку возможность слышать, чувствовать, видеть, двигаться, думать. Все они являются необходимыми для полноценной жизни.
Если распределять отдельные функции по частям ствола мозга, то получится следующее:
| Отдел ствола мозга | Функции |
| Средний мозг | · Функционирование зрительных и слуховых органов;
· Управление соответствующими органами; · Ориентация в пространстве. |
| Продолговатый мозг | · Рефлексы, связанные с кашлем, рвотой, чиханием;
· Контролирование дыхания; · Управление сердечно-сосудистой системой; · Функционирование пищеварительного тракта. |
| Варолиев мост | · Обеспечение кровоснабжения мозга;
· Быстрая передача сигналов между мозгом и ЦНС. |
| Мозжечок | · Координация движений, равновесие;
· Тонус мышечных тканей. |
| Промежуточный мозг | · Работа щитовидной железы;
· Контроль над надпочечниками. |
Важность таких функций заставляет серьезнее относиться к состоянию ствола мозга. Он не является исключением и может подвергаться различным заболеваниям, представляющим опасность для жизни.
При нарушениях в одном отделе ствола могут происходить сбои в других, т.к. все они тесно взаимосвязаны.
Заболевания
Как любой другой орган, мозг может дать сбой. Это же касается и его ствола. Большинство проблем становятся последствиями травм или других болезней, а иногда просто возрастными проявлениями. Выделяют несколько заболеваний:
- Инсульт;
- Опухоль;
- Кисты;
- Хордомы;
- Ишемия;
- Мальформация;
- Аневризмы;
- Эпидермоиды;
- Менингиомы.
Большинство из них появляются крайне редко. Основную массу зарегистрированных случаев поражений ствола мозга составляют инсульт и различные опухоли. Они же являются наиболее опасными и требуют максимально качественного и быстрого лечения. Но почему они возникают?
Причины
Развиться то или иное заболевание может по множеству причин. Больше всего рискуют те, кто уже столкнулся с серьезными заболеваниями мозга, ведет нездоровый образ жизни или страдает от регулярных стрессов. Но получить проблемы со стволом головного мозга могут даже здоровые люди. Нарушения происходят по следующим причинам:
- Болезни, связанные с сосудами, а также их повреждение;
- Черепно-мозговые травмы;
- Нарушение кровообращения;
- Нервные срывы, тяжелые стрессовые ситуации;
- Экстремальные виды спорта, а также экстрим в повседневной жизни;
- Употребление нездоровой пищи или неочищенной воды;
- Злоупотребление алкоголем, курение;
- Врожденные заболевания, связанные со стволом мозга.
При появлении любых болезней их нужно сразу же лечить. Отсутствие необходимого медицинского вмешательства может привести к тяжелым необратимым последствиям или летальному исходу.
Инсульт
Самой распространенной болезнью, касающейся ствола мозга, является инсульт. Он всегда связан с нарушениями в работе кровеносных сосудов. При старении организма или некоторых болезнях их стенки становятся более тонкими и неэластичными, при этом могут покрываться бляшками или полностью закупориваться. Тогда и происходит инсульт, который может привести к смерти.
Инсульт бывает двух типов: ишемический и геморрагический. Первый представляет собой инфаркт ствола мозга и считается крайне опасным из-за закупорки сосудов и последующего кислородного голодания нервных клеток. Второй проявляется в виде кровоизлияния в ткани мозга. Риск летального исхода есть в обоих случаях.
Механизм действия
В большинстве случаев геморрагический инсульт происходит так: сначала случается закупорка сосуда, а потом при усиленном давлении он лопается. При истончении сосуды могут сразу лопаться или повреждаться без образования тромбов или каких-либо бляшек. Сразу после разрыва происходит сильное кровоизлияние в мозг, после которого появляется гематома, ограничивающая доступ кислорода к нейронам. Это становится сбоем, следствием которого является нарушение работы всех систем организма.
При ишемическом инсульте также происходит сильное повреждение мозговых тканей, что значительно усложняет сохранение жизни больного. После поражения ткани постепенно начинают отмирать. Поэтому пострадавшему важно максимально быстро оказать медицинскую помощь.
Предупредить инсульт можно, если постараться исключить из своей жизни все моменты, которые приводят к этому опасному явлению. Врачи сумели выявить несколько основных факторов, повышающих риск инфаркта мозга. Среди них:
- Сахарный диабет;
- Ревматизм;
- Гипертония;
- Атеросклероз.
Всем, кого касается хотя бы один пункт, нужно быть максимально внимательными к своему здоровью и при первых тревожных ощущениях обращаться к врачу.
Симптомы
Инсульт всегда внезапен. Человек может чувствовать себя прекрасно на протяжении всего дня, а в один момент произойдет кровоизлияние. Изредка незадолго до инсульта могут появиться неприятные ощущения в голове или боль. Симптомы, свидетельствующие о кровоизлиянии в мозг, следующие:
- Головокружение;
- Повышенное потоотделение;
- Бледный цвет кожи;
- Высокая температура тела;
- Перебои давления;
- Учащенное сердцебиение;
- Проблемы с дыханием;
- Паралич мышц.
Ствол мозга может значительно пострадать, что сделает полное выздоровление невозможным. При этом не исключено развитие тяжелых осложнений, связанных с иными заболеваниями или особенностями организма.
Лечение
Оказание быстрой помощи – важнейшее условие для сохранения жизни больного. Но даже она не дает никаких гарантий. Примерно 60% пострадавших умирают в первые дни после обширного инсульта. В некоторых случаях человек может погибнуть в течение двух недель. В живых остаются лишь 20% перенесших инсульт. Если помощь будет оказана в первый час после приступа, есть шанс на успешную терапию. Однако лечению все последствия поддаются с большим трудом.
Перемещение в стационар является обязательным условием. Вылечить пострадавшего дома не удастся, отказ от госпитализации приведет к смерти. Лечение же предусматривает постоянное наблюдение врачей и прием лекарственных средств, направленных на:
- Исключение образования тромбов в сосудах;
- Разжижжение крови и имеющихся тромбов;
- Снижение давления;
- Нормализацию уровня холестерина.
Дополнительно назначается физиотерапия. В тяжелых случаях может быть проведена срочная операция. Она требуется для остановки кровоизлияния, когда обычные средства не оказывают нужного эффекта.
Реабилитация после успешного лечения может занимать несколько лет. Ее длительность зависит от многих факторов и индивидуальна в каждом отдельном случае.
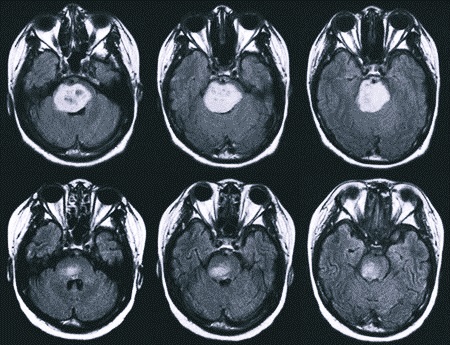
Опухоль
Второе место по распространенности занимают опухоли ствола мозга. Некоторые из них могут быть очень опасными, но большинство не требуют какого-либо врачебного вмешательства. Опухоли бывают нескольких видов:
- Первичные. Появляются при повреждении мозговых тканей.
- Вторичные. Являются следствием других заболеваний.
- Деформирующие. Негативно сказываются на форме ствола мозга, деформируя ее. Могут находиться на стволовой части или некоторых других отделах.
- Диффузные. Сливаются с мозговым веществом, что создает серьезные трудности в лечении. Случаи успешной терапии являются большой редкостью.
- Парастволовые. Прирастают к стволу, вызывая деформацию.
- Ромбовидные. Появляются в затылочной части черепной коробки.
- Мозжечковые. Затрагивают мозжечок вместе со стволом.
- Экзофитные. Образуются на мозжечке, затем достигают ствола.
Новообразования развиваются постепенно, увеличиваясь в размерах. Иногда их рост может замедляться или полностью прекращаться, что избавит от необходимости лечения. Причинами их появления становятся различные травмы и осложнения после тяжелых болезней.
Выявить новообразования, которые затрагивают мозговой ствол, не так легко. При малых размерах они могут не вызывать вообще никаких симптомов, что создает определенные трудности в диагностике. К моменту обнаружения опухоли, как правило, она уже успевает разрастись до больших размеров.
Симптоматика, которая может обозначать рост новообразования, следующая:
- Головные боли;
- Головокружение;
- Нарушения координации;
- Проблемы со зрением или слухом;
- Дезориентация в пространстве;
- Тремор рук или головы;
- Нестабильное настроение.
При возникновении таких симптомов нужно обратиться к врачу. Больному будет назначено проведение МРТ, что позволит определить наличие опухоли.
Прогноз всегда зависит от того, какая именно опухоль у больного. Большое значение имеют темпы ее роста, размер и точное расположение. Доброкачественные новообразования легко удаляются хирургическим путем, для чего делается разрез, через который иссекается сама опухоль. Злокачественные же убрать таким методом не получится, поэтому придется отдать предпочтение лучевой терапии или другим методикам.
Способы лечения опухолей:
- Хирургическое удаление. Иссечение опухоли методом физического воздействия ножом, для него требуется сделать надрез. Подходит только для доброкачественных новообразований.
- Лучевая терапия. Рентгеновское воздействие на опухоль сквозь все другие структуры головы. Эффективно замедляет рост новообразований.
- Стереотаксическая. Применяется комбинация из нескольких видов облучений, включая радиационное. Отличается отсутствием каких-либо болезненных ощущений для пациента.
При необходимости врачи могут комбинировать сразу несколько методов терапии. Это позволит повысить шансы на успешное удаление опухоли.
Медикаментозное лечение при развитии опухоли практически невозможно. Цитостатики – единственные лекарства, которые способны произвести нужный эффект. Они относятся к средствам для химиотерапии.
Выводы
Ствол является важнейшей частью мозга, а также всего организма. От его здоровья зависит общее состояние человека. При малейших повреждениях могут возникнуть тяжелые последствия: утрата слуха или зрения, неспособность чувствовать вкус пищи, сохранять равновесие. Самым опасным является поражение дыхательного центра, что приводит к остановке дыхания. Профилактика заболеваний ствола мозга заключается в ведении здорового образа жизни, избегании травм головы и своевременном устранении факторов, способных запустить патологический процесс.
https://youtube.com/watch?v=ZKofkzYgPRQ
Вопрос-ответ
Какую функцию выполняет ствол в головном мозге?
Ствол мозга расположен внизу под полушариями и впереди мозжечка. Он соединяет мозг с позвоночником и регулирует автоматические функции – дыхание, пищеварение, сердцебиение и кровяное давление.
Что такое ствола головного мозга?
Мозгово́й ствол, или ствол головного мозга, — традиционно выделяющийся отдел третьего мозга, представляющий собой протяжённое образование, продолжающееся в спинной мозг. В ствол всегда включают продолговатый мозг, варолиев мост, а также средний мозг. Часто в него включают мозжечок, иногда — промежуточный мозг.
Чем грозит повреждение ствола мозга?
Инсульт ствола головного мозга – резко наступившее нарушение кровоснабжения указанного участка мозга. Практически во всех случаях ведет к потере функций деликатных мозговых клеток, в критичных случаях – к их гибели.
Какие центры находятся в стволе головного мозга?
Ствол мозга Один из основных его отделов ― продолговатый мозг, в котором находятся жизненно важные структуры. Это центр дыхания, центр поддержания кровяного давления, центр сердечного ритма, центр регуляции температуры тела.
Советы
СОВЕТ №1
Изучайте анатомию ствола головного мозга с помощью визуальных материалов, таких как 3D-модели и анатомические атласы. Это поможет лучше понять его структуру и функции, а также запомнить ключевые элементы.
СОВЕТ №2
Обратите внимание на связь ствола головного мозга с другими частями центральной нервной системы. Понимание этих взаимосвязей поможет вам осознать, как различные функции организма зависят от работы ствола.
СОВЕТ №3
Регулярно повторяйте изученный материал и тестируйте свои знания с помощью квизов или карточек. Это поможет закрепить информацию и улучшить вашу память о анатомических особенностях ствола головного мозга.
СОВЕТ №4
Не забывайте о клинических аспектах: изучайте, как повреждения ствола головного мозга могут влиять на функции организма. Это поможет вам лучше понять важность этой структуры в медицине и неврологии.






