
Основной орган центральной нервной системы, который участвует в контроле деятельности всех остальных органов и систем – головной мозг. В его структуру входят функциональные клетки и нейроны. В некоторых случаях, при воздействии негативных факторов, может происходить формирование опухолевидного новообразования в данной области. По статистике рак мозга составляет 10% от общего числа онкологических патологий. Если присутствует опухоль головного мозга, сколько человек сможет с ней проживать? Об этом и других вопросах – подробнее в статье.
Особенности развития мозговых опухолей
Заболеванию присвоен код по Международной классификации болезней 10 пересмотра (код по МКБ-10) – С71.
Частота диагностирования мозговой опухоли – 10-15 случаев на 100 тыс. человек. Онкозаболевание может появляться как у женщин, так и у мужчин в равном процентном соотношении и в любом возрасте.
Проявление опухолей в мозге может иметь первичный или вторичный характер. Первичный тип болезни возникает непосредственно в мозговой ткани, а во втором – как следствие распространения злокачественных клеток (метастаз) из иного патологического очага. Именно вторичную опухоль диагностируют в несколько раз чаще, по сравнению с первичными новообразованиями.
Ребенок подвержен патологии так же, как и взрослый человек
Особенностью новообразований данной области считается то, что их расположение может происходить только в ограниченном интракраниальном пространстве. Именно поэтому любое новообразование, имеющее большой размер, способно вызвать сдавление ткани мозга и повышение интракраниального давления.
Даже доброкачественный тип опухолей при увеличении до объемного размера может перейти в злокачественный тип и вызвать тем самым необратимые последствия, включая летальный исход. По этой причине важно выявить начинающие симптомы патологии, чтобы вовремя начать соответствующую терапию.
Врачи отмечают, что продолжительность жизни пациентов с опухолью головного мозга зависит от множества факторов. Во-первых, важна тип опухоли: злокачественные образования, как правило, имеют худший прогноз, чем доброкачественные. Во-вторых, стадия заболевания и его локализация играют ключевую роль. Некоторые опухоли могут быть успешно удалены хирургическим путем, что значительно увеличивает шансы на выживание. Также стоит учитывать возраст пациента и общее состояние его здоровья. Врачи подчеркивают, что ранняя диагностика и современное лечение, включая химиотерапию и радиотерапию, могут существенно продлить жизнь и улучшить ее качество. Однако каждый случай индивидуален, и прогнозы могут варьироваться.

Классификация опухолей
Такое онкологическое заболевание включает в себя и доброкачественные и злокачественные новообразования, которые отличаются друг от друга причиной развития, своим распространением, симптоматикой и прогнозом.
На сегодняшний день отсутствует единая классификация новообразований головного мозга. Это можно объяснить их разнообразием и трудностью в диагностике. Наиболее точной считается классификация, по которой онкологические новообразования различают по гистологическому строению и степени зрелости.
По степени зрелости различают 2 типа новообразований:
- злокачественные (глиобластомы и др.);
- доброкачественные (глиомы и др.).
Учитывая то, в какой области мозга произошло развитие опухоли, различают новообразования:
- внутри мозга;
- внутри желудочка;
- вне мозга;
- в промежуточной зоне: эмбриональные, тератомы;
- по типу метастатических узлов, кист (в лобной и других долях).
Учитывая гистогенез, специалисты различают следующие виды новообразований:
- нейроэпителиальные, которые образуются из мозгового вещества;
- менингососудистые, которые образуются из оболочек мозга;
- аденомы гипофиза;
- новообразования, производные мезенхимы;
- новообразования из нервов черепа;
- тератомы, которые образовываются вследствие нарушения эмбриогенеза;
- метастатические новообразования (так называются опухоли, которые развиваются из злокачественных клеток, распространенных из иного первичного очага).
Наиболее распространенная доброкачественная опухоль – менингиома, которая формируется из мозговых сосудов. Если диагностировать такое новообразование на начальном этапе его развития, можно надеяться на благоприятный прогноз. Единственное исключение – локализация менингиомы в стволе. Даже при небольшом размере опухоли может происходить сдавливание ткани нервов и развитие серьезных нарушений.
Распространенными злокачественными новообразованиями считаются глиобластома и медуллобластома. Медуллобластома имеет высокий уровень злокачественности, так как формируется из наименее незрелых клеток – медуллобластов. Основной источник формирования – развитие дисгенетических изменений.
Глибластомы в большинстве случаев формируются у людей после 40 лет. Опухоль характеризуется быстрой прогрессией, не имеет четких границ, склонна ко вторичным изменениям (даже при своевременном лечении) – некрозам, кровоизлияниям, кистам.
В отдельную группу мозговых новообразований можно отнести метастатические опухоли. В мозг чаще всего распространяются патогенные клетки из новообразования, расположенного в молочной железе, легком или в почках.
Причины возникновения мозговых новообразований
К основным источникам формирования опухоли относят:
- Генетическую предрасположенность. Если в семье человека у какого-либо близкого родственника имеется такая патология, риск ее формирования повышается и у него.
- Проживание в неблагоприятной экологической обстановке. Сказать точно, какова взаимосвязь экологии с формированием злокачественных клеток, невозможно. В первую очередь отрицательное влияние оказывают: питание, сильные электромагнитные и прочие поля неестественного происхождения, канцерогены. Можно лишь констатировать формирование опухоли и начать проводить соответствующие лечебные мероприятия.
- Профессиональный фактор. Если человек занимается профессиональной деятельностью, которая связана с воздействием на организм радиации иди других вредных веществ (излучений), это способствует повышению риска возникновения опухолей.
Частые разговоры по мобильному телефону увеличивают шансы на развитие опухоли
Проведение химиотерапии и лучевой терапии в прошлом, трансплантация органов, развитие в организме инфекций – все эти факторы могут повлиять на формирование новообразований в головном мозге за счет угнетения функций иммунной системы. К иным факторам риска относят возраст (после 55 лет) и расу (белые люди более подвержены заболеванию).
Существуют различные мнения о том, сколько можно прожить с опухолью головного мозга, и они зависят от множества факторов. Многие пациенты и их близкие делятся историями о том, как диагноз стал для них не приговором, а стимулом к борьбе. Некоторые врачи утверждают, что современные методы лечения, такие как хирургия, радиотерапия и химиотерапия, значительно увеличивают шансы на долгую жизнь даже при агрессивных формах опухолей.
Однако важно помнить, что каждый случай уникален. Стадия заболевания, тип опухоли, общее состояние здоровья и возраст пациента играют ключевую роль в прогнозе. Некоторые люди живут с опухолью многие годы, поддерживая активный образ жизни, в то время как другие сталкиваются с более серьезными осложнениями. В конечном итоге, поддержка со стороны семьи, друзей и медицинских специалистов может оказать значительное влияние на качество жизни и эмоциональное состояние пациента.

Как симптомы возникают при патологии
Клиническая картина новообразований в мозге разделяется на 2 группы:
- Очаговые клинические проявления.
- Общемозговые клинические проявления.
Очаговая симптоматика зависит от области локализации опухоли, уровня сдавливания окончаний нервов и степени разрушения тканей. Общемозговая симптоматика проявляется на фоне прогрессии патологии и вовлечения в процесс иных мозговых структур.
Очаговая симптоматика
Первый признак развития мозгового образования – повышение чувствительности кожного покрова. По мере роста новообразования кожа начинает быть слишком чувствительной к касаниям, тепловому или холодовому воздействию.
Нарушаются распознавательные рефлексы. У больного снижается слуховая функция (до полной потери слуха) вследствие вовлечения в поражение слухового нерва. Нарушается и зрительная функция, как частично, так и полностью. За счет сдавления опухолью мозговой части, ответственной за восприятие изображений, человек становится неспособным к чтению и распознаванию окружающих предметов.
Нарушается координация движений вследствие формирования образования в зоне мозжечка. Можно заметить, как у больного постепенно меняется походка. Также возникают частичные или полные параличи отдельных областей туловища, что можно объяснить нарушением потока импульсов от головного мозга к спинному и мышцам.
На раннем этапе формирования опухоли речь больного невнятная, а также меняется почерк. Со временем прогрессии новообразования такие нарушения лишь усиливаются в своей интенсивности и понять, о чем человек говорит, уже почти невозможно.
Происходит снижение памяти, умственной активности, концентрации внимания. Кроме того, повышается раздражительность, больной быстро устает, даже при легких физических нагрузках. Ему не под силу запомнить названия предметов, имен, вспомнить недавние действия.
Нарушается гормональный фон. Причина тому – формирование образования в том отделе мозга, который ответственен за продукцию гормонов Может наблюдаться и вегето-сосудистая дистония, симптомы которой – головокружение, учащение сердцебиения, общее недомогание, перепады давления.
Общемозговая симптоматика
У человека с мозговым новообразованием может на постоянной основе болеть голова. Интенсивность боли увеличивается в утреннее время после пробуждения, как только человек делает первые движения. Лекарственные средства оказываются неэффективными и не справляются с таким симптомом. По своей выраженности головные боли аналогичны приступам внутричерепной гипертензии. Частым симптомом мозговой опухоли выступает головокружение. Симптом вызван сдавлением тканей мозжечка.
Опухолевидное образование становится причиной повышения давления внутри черепа и сдавливания структур, отвечающих за рвотный рефлекс. Как правило, даже рвота не помогает облегчить приступы тошноты, ведь имеет высокую интенсивность. Вместе с этим человек быстро устает за счет нарушения кровотока и недостаточности кислородного обмена в мозге.
Стадии патологического процесса
В медицине выделяют 4 стадии рака головного мозга. Современные диагностические методы и анализы позволяют точно определиться со степенью поражения органа и вовремя назначить эффективное лечение. Если диагностирована опухоль головного мозга, сколько с ней живут, зависит именно от того, на каком этапе она была выявлена.
1 стадия
Легкая степень патологии, протекающей в мозге, характеризуется головной болью, головокружением, повышенной утомляемостью без видимых на то оснований. Первую симптоматику человек списывает на банальное переутомление, не придавая этому значения.
В данной фазе развития новообразования лишь по возникающим симптомам невозможно выявить злокачественный процесс, ведь они имеют много сходств с остальными патологиями. Часто опухоль диагностируют случайно, при анализе совершенно иной болезни, например, по результатам компьютерной томографии.
При выявлении заболевания на данном этапе наблюдается 100%-ная выживаемость.
2 стадия
Сдавливание близлежащих с новообразованием областей вызывает поражение кровеносных сосудов. Клиническая симптоматика на 2 стадии все так же неспецифичная: головная боль, головокружение, нарушенная координация движений. Со временем наблюдается потеря в весе, возникает тошнота, нарушение зрения («мушки» перед лазами, мерцание и др.).
3 стадия
Опухоль увеличивается и отдает свои метастазы на глубинный мозговой слой, в слуховые и зрительные центры, отделы, которые отвечают за сенсорную и двигательную функции. Специфичными симптомами болезни на 3 стадии выступает сильная головная боль, присутствующая на постоянной основе, тошнотно-рвотный синдром, шаткость походки, повышенная общая температура, быстрое утомление.
Облегчить рвоту и головные боли невозможно лекарственными препаратами. Больному сложно передвигаться без посторонней помощи. В поражение вовлекаются лимфатические узлы, а также иные внутренние органы, что можно объяснить распространением метастатических клеток.
4 стадия
Рак мозга 4 стадии характеризуется постоянными головными болями, рвотой, параличом и парезом, нарушением зрения, судорожными припадками, обмороком. Интенсивность всех клинических проявлений выше, чем на предыдущих стадиях.
Также рак головного мозга 4 степени протекает с интоксикационным синдромом. Это резкое похудение, неукротимый тошнотно-рвотный синдром, снижение аппетита, истощение. Человеку сложно передвигаться и даже стоять.
Диагностика
Первый этап диагностики заболевания – консультация невролога. Врач исследует двигательную функцию глаз, слух, сухожильные рефлексы, уровень чувствительности кожных покровов и обоняние, координацию движений, тонус мышц, равновесие. При имеющемся подозрении на присутствие новообразования назначают проведение инструментальных диагностических мероприятий.
Магнитно-резонансная томография
Магнитно-резонансная томография – наиболее достоверный метод выявления мозговых опухолей. Вид новообразования на снимке представлен в форме трехмерного изображения и в тончайшем разрезе. На начальном этапе развития болезни образование на снимке выглядит в форме отека.
Диагностическому мероприятию под силу выявить даже мелкое новообразование, а также образование, место которого – возле кости или мозгового ствола.
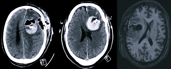
Компьютерная томография
Компьютерная томография – менее информативный метод. С помощью КТ можно определить точное место локализации новообразования, а также сопутствующие симптомы, например, гематому и отечность.
Компьютерная томография – одно из основных исследований, необходимых для выявления мозговой опухоли
Позитронно-эмиссионная томография (ПЭТ)
В мозговую область доставляют радиоактивный меченый сахар, что позволяет определить состояние и активность мозга: поглощение патологическими клетками глюкозы происходит быстрее, чем обычными. С помощью ПЭТ выявляют раковые клетки на любом этапе развития патологии.
Лабораторная диагностика
Одним из наиболее результативных диагностических мероприятий, проводимых в лаборатории, является анализ крови на онкомаркеры. Существуют специфические онкомаркеры, по наличию которых можно точно определиться с типом новообразования.
Также проводят биопсию – забор биологического материала из новообразования, который после подвергают микроскопическому исследованию. Это позволяет определить злокачественность или доброкачественность патологии. Также исследование дает ответы о типе новообразования и его строении.
Лечение опухолей
Затормозить увеличение новообразования и в дальнейшем излечить его можно методом химиотерапии. Но не всегда такое средство помогает, и в некоторых случаях оно оказывается неэффективным. Это можно объяснить тем, что мозговые доли «отделены» от основного кровотока энцефалическим барьером, и многие лечебные вещества через него не проникают. Да и влияние большого количества синтетических лекарств на все органы резко отрицательное.
Оперативное лечение также не всегда помогает, особенно если наблюдается неоперабельный тип опухоли, которая сформировалась в труднодоступной области. Удаление новообразования может вызвать опасные последствия в форме вовлечения в патологический процесс ткани мозга и дальнейшего нарушения функционирования ЦНС.
Как правило, вылечить патологию можно лишь с помощью радиотерапии (лучевой терапии). На опухолевидное образование воздействуют радиоактивным излучением в необходимой дозировке. При этом можно добиться максимального выживания, остановить неконтролируемый рост патологических клеток.
Иногда проводят трехступенчатое лечение: оперативное избавление от опухоли – прием специальных медикаментов – облучение радиацией. Народная медицина при мозговой опухоли малоэффективна, и применима лишь на первой стадии появления новообразования.
Профилактика и прогноз
Профилактику мозговых новообразований специалисты разделяют на первичную и вторичную. Первичная профилактика – это устранение провоцирующих факторов, а именно:
- запрет на употребление переработанной мясной продукции (колбасы, копченостей, окороков и др.);
- запрет на употребление жареного и нитросодержащих продуктов, в которых содержатся канцерогены;
- ограничение курения и распития алкоголя, включая энергетики;
- ограничение пользования сотовым телефоном.
Вторичная профилактика – это выполнение мер, направленных на исключение иных болезней, сопровождающихся распространением патологических клеток в область головного мозга.
Насколько долго может длиться жизнь больного, страдающего таким заболеванием? Ее продолжительность зависит от многих факторов. Именно поэтому точно ответить на такой вопрос невозможно.
Если своевременно выявить доброкачественное новообразование и начать соответствующую терапию, можно надеяться на благоприятный прогноз. Длительность жизни при этом высока: не один год и не два. «Бывший» больной живет долго, забыв о своем диагнозе.
Сколько живут с раком головного мозга 4 степени? К сожалению, прогноз не утешительный. В 70% наблюдается летальный исход. Средняя выживаемость – до 5 лет.

Вопрос-ответ
Можно ли жить с опухолью в мозге?
Продолжительность жизни зависит от стадии развития болезни, наличия злокачественных новообразований в других органах, а также от того, как быстро начато лечение. Даже при опухолях 3-4 стадии существует до 32% вероятности прожить более 5 лет при наличии комплексного лечения в условиях современной клиники.
Как быстро растет опухоль головного мозга?
В области головы и шеи злокачественные опухоли растут быстро: достаточно 3-4 месяцев, чтобы радикальное лечение стало невозможным. Когда и почему, даже во время пандемии, надо поторопиться к онкологу, объясняет Замира Раджабова, заведующая хирургическим отделением опухолей головы и шеи НМИЦ онкологии им. Н.
Сколько лет может прожить человек с опухолью мозга?
5-летняя выживаемость для людей с раком головного мозга или опухолью ЦНС составляет почти 36%, 10-летняя выживаемость составляет почти 31%. Показатели выживаемости снижаются с возрастом. 5-летняя выживаемость людей моложе 15 лет составляет более 74%.
Что происходит с человеком с опухолью мозга?
Пациент испытывает периодические головные боли, появляется слабость, постоянная сонливость, часто возникает головокружение. Опухоль растет, проникает в ближайшие ткани, начинает сдавливать отдельные центры мозга. Это может проявляться судорожными приступами, периодической рвотой, нарушениями пищеварительной функции.
Советы
СОВЕТ №1
Регулярно проходите медицинские обследования. Раннее выявление опухоли головного мозга может значительно увеличить шансы на успешное лечение и продление жизни. Обсуждайте с врачом необходимость МРТ или КТ, особенно если у вас есть симптомы, такие как головные боли, изменения в зрении или координации.
СОВЕТ №2
Обсуждайте варианты лечения с вашим врачом. Существует множество подходов к лечению опухолей головного мозга, включая хирургическое вмешательство, радиотерапию и химиотерапию. Важно понимать все доступные варианты и их потенциальные риски и преимущества.
СОВЕТ №3
Поддерживайте здоровый образ жизни. Правильное питание, регулярные физические нагрузки и отказ от вредных привычек могут помочь укрепить иммунную систему и улучшить общее состояние здоровья, что важно при борьбе с заболеванием.
СОВЕТ №4
Ищите поддержку. Общение с другими людьми, которые сталкиваются с подобными проблемами, может быть очень полезным. Рассмотрите возможность участия в группах поддержки или консультации с психологом, чтобы справиться с эмоциональными и психологическими аспектами заболевания.






