
Инсульт – это острое нарушение мозгового кровообращения, которое характеризуется внезапным началом и сопровождается выраженными неврологическими симптомами. Непосредственной причиной заболевания является поражение сосудов и артерий, доставляющих кровь к головному мозгу.
Из-за перебоев в кровоснабжении мозговая ткань достаточно быстро гибнет, что приводит к утрате функций поврежденных участков. Именно отмирание клеток мозга проявляется слабостью в конечностях, лицевой асимметрией, нарушением речи и зрения, а также головокружением и раскоординированностью движений.
Причины
Инсульт с кровоизлиянием в мозг называется геморрагическим. Согласно статистике, он возникает в 20 – 25% всех случаев. У остальных пациентов инсульт обусловлен закупоркой артерий тромбами и носит название ишемического.
Между ишемическим и геморрагическим инсультом есть отличия не только в механизме развития, каждый из этих типов и лечится по-разному. Если в первом случае необходимо как можно быстрее восстановить кровоток, то во втором приоритетом является остановка кровотечения. Есть также разница в возможных осложнениях и прогнозе на будущее.
При геморрагической форме болезни стенка кровеносного сосуда разрывается, и кровь попадает в нервную ткань мозгового вещества. Все близлежащие клетки в области кровоизлияния сразу же гибнут, как и нейроны, получавшие кровь из разорвавшегося сосуда.
Разрыв сосуда вызывает рефлекторный спазм и сужение гладкой мускулатуры поврежденного сосуда и ближайших магистралей, что может способствовать прогрессу нарушения кровообращения и появлению новых симптомов патологии.
Инсульт и кровоизлияние в мозг связаны в основном с сосудистой патологией, когда стенки сосудов утрачивают эластичность и становятся тоньше. Это, в первую очередь, атеросклероз и аутоиммунные заболевания – васкулиты, гранулематоз Вегенера, системная красная волчанка. Очень часто геморрагический инсульт поражает людей с наркозависимостью и развившимся на ее фоне ангиитом – одним из видов кожного васкулита.
В отдельных случаях причиной инсульта становятся врожденные дефекты церебральных сосудов, при которых некоторых капилляров просто нет, и артерии напрямую переходят в вены. Такие аномалии могут приводить к образованию аневризмы – выпячиванию артериальной либо венозной стенки из-за ее истончения/растяжения. В результате подъема артериального давления или спазма сосудов эта стенка надрывается, и у человека случается инсульт или апоплексический удар.
К факторам повышенного риска развития апоплексии у взрослых относятся:
- наследственная предрасположенность;
- преклонный возраст;
- сахарный диабет;
- гипертония;
- ИБС – ишемическая болезнь сердца;
- мерцательная аритмия, сердечная недостаточность;
- опухоли головного мозга и злокачественные процессы в организме;
- нарушение липидного обмена, несбалансированное питание, ожирение;
- злоупотребление алкоголем, табаком, наркомания;
- эритремия;
- низкое содержание тестостерона в крови;
- эклампсия (осложнение при беременности);
- длительное нервное напряжение либо острый психоэмоциональный шок.
В редких случаях геморрагический инсульт происходит вследствие плохой кровосвертываемости при тромбоцитопении, гемофилии, или на фоне неадекватной терапии антикоагулянтами, фибринолитиками и гормональными контрацептивами.
У ребенка мозговое кровообращение может пострадать после родовых и обширных травм, оперативных вмешательств на головном мозге, а также при наличии пороков сердца.
Инсульты с кровоизлиянием представляют собой серьезную медицинскую проблему, и врачи подчеркивают важность ранней диагностики и лечения. Основные причины таких инсультов включают гипертонию, атеросклероз и нарушения свертываемости крови. Существует несколько видов, среди которых наиболее распространены геморрагический инсульт и субарахноидальное кровоизлияние. Симптомы могут варьироваться, но часто включают резкую головную боль, потерю сознания, слабость в конечностях и нарушения речи. Врачи акцентируют внимание на необходимости немедленной медицинской помощи, так как от этого зависит исход заболевания. Лечение может включать как медикаментозную терапию для стабилизации состояния, так и хирургическое вмешательство для удаления сгустков крови. Профилактика инсультов с кровоизлиянием включает контроль артериального давления, здоровый образ жизни и регулярные медицинские осмотры.

Классификация
Геморрагический инсульт в неврологии классифицируется в зависимости от вида кровоизлияния, которое бывает:
- паренихматозным – кровь попадает в вещество головного мозга (паренихму);
- субарахноидальным – кровь направляется в пространство между мягкой и паутинной оболочками мозга;
- вентрикулярным (желудочковым) – кровотечение прорывается в желудочки мозга;
- смешанным – кровь изливается сразу в несколько полостей: в этом случае говорят о паренихматозно-вентрикулярном или паренихматозно-субарахноидальном кровоизлиянии.
Нужно отметить, что наиболее тяжело протекает инсульт с кровоизлиянием вентрикулярного типа.
Острое нарушение мозгового кровообращения проходит три стадии – острую, подострую и восстановительную. Острая, первая фаза длится от трех до пяти суток, затем наступает вторая, которая продолжается около 30 дней.
Период восстановления подразделяется на ранний – до полугода – и поздний – от полугода до двух лет.
Следует отличать собственно инсульт от транзиторной ишемической атаки ТИА и гипертензивного церебрального криза, при которых нарушение кровоснабжения носит временный, преходящий характер. В подобных состояниях неврологические симптомы сохраняются не более суток, после чего полностью пропадают. При инсультах симптоматика не подвергается регрессу гораздо дольше и может наблюдаться в течение нескольких лет.
Первые признаки и предвестники
И ишемический, и геморрагический инсульт могут предвосхищать определенные признаки. Однако и здесь есть различия: перед наступлением геморрагического инсульта ощущаются приливы жара к лицу и голове, лицо становится красным, болит голова. Типичным симптомом приближающегося апоплексического удара по геморрагическому типу является видение окружающих предметов в красном цвете.
Если существует опасность наступления ишемического инсульта, возникают головокружения, которые нередко сопровождаются обмороками и потемнением в глазах. Они обусловлены сужением просвета либо частичной закупоркой мозговых сосудов, создающей препятствия для кровоснабжения головного мозга.
Предвестники инсульта могут появляться за несколько дней или даже недель до его начала.
Самый яркий признак начинающегося геморрагического инсульта – головная боль, возникающая на фоне повышенного давления, при занятиях тяжелым трудом или из-за сильного нервного потрясения. Боль всегда внезапна и часто носит резкий, выраженный характер, доставляя человеку невыносимые страдания.
Инсульт с кровоизлиянием — это серьезное состояние, которое вызывает множество обсуждений среди медицинских специалистов и пациентов. Люди часто говорят о том, что основными причинами инсульта являются высокое кровяное давление, атеросклероз и травмы головы. Симптомы, такие как внезапная слабость, нарушение речи и потеря координации, настораживают и требуют немедленной медицинской помощи. Многие отмечают, что ранняя диагностика и лечение играют ключевую роль в восстановлении. Лечение может включать медикаментозную терапию, хирургические вмешательства и реабилитацию. Важно также упоминать о профилактике, включая здоровый образ жизни и регулярные медицинские обследования, что позволяет снизить риск инсульта и его тяжелых последствий.

Симптомы
Клиническая картина инсульта весьма разнообразна и может включать такие симптомы:
- повышение температуры тела и судороги;
- изменение частоты пульса;
- перекос лица;
- нарушение речевой, зрительной, глотательной и дыхательной функции;
- рвоту;
- расстройство чувствительности, онемение конечностей;
- выделение пены изо рта, иногда с примесью крови;
- спутанность сознания;
- отек головного мозга, длительную потерю сознания (кому).
Симптоматика зависит от того, какая область повреждена: левое или правое полушарие головного мозга, ствол, мозжечок или спинной мозг.
Отдельно стоит сказать об особенностях работы нервных клеток, расположенных в головном мозге. Клетки правого полушария иннервируют левую сторону тела, а клетки левого – правую. То есть двигательные нарушения будут наблюдаться на стороне, контрлатеральной (противоположной) пораженному полушарию.
Инсульт правого полушария с кровоизлиянием в мозг вызовет последствия с левой стороны тела. В левой руке или ноге будет ощущаться слабость, снижение или утрата температурной, болевой, тактильной и т.д. чувствительности. И наоборот: левосторонний инсульт проявится онемением и параличом правой стороны тела.
Правостороннему повреждению могут сопутствовать следующие симптомы:
- частичный либо полный паралич левой половины тела и лица;
- снижение/потеря чувствительности в руках и/или ногах;
- нарушение кратковременной памяти, абстрактного мышления, концентрации внимания;
- изменение эмоционального фона и настроения.
Левостороннее поражение сопровождается параличами, парезами и расстройством чувствительности правой половины тела и лица, нарушением речи, логического мышления, памяти. Кроме того, у больных с инсультом левого полушария мозга возникают трудности с пониманием устной и/или письменной речи.
Не исключено поражение обоих полушарий одновременно. Это возможно при тотальном повреждении одного из полушарий мозга и является неблагоприятным признаком в прогностическом отношении. Масштабное отмирание нервных клеток целого полушария приведет к сильному отравлению организма и повреждению здорового полушария.
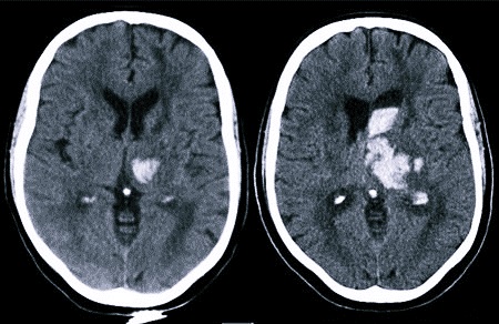
Диагностика
В ходе диагностического обследования могут использоваться инструментальные и лабораторные методы:
- компьютерная и магнитно-резонансная томография – КТ и МРТ;
- ангиография;
- ультразвуковая допплерография экстракраниальных сосудов и транскраниальная УЗДГ;
- электрокардиограмма, ЭхоКГ;
- лабораторные анализы крови и мочи.
В первую очередь инсульт дифференцируют от других заболеваний с похожими симптомами – инфаркта, черепно-мозговой травмы, токсической энцефалопатии, полиневропатии и менингита. Далее определяют вид патологии, поскольку от этого зависит выбор тактики лечения и реабилитации.
При геморрагическом инсульте возможно образование гематомы, которую придется удалять с помощью хирургической операции. Выявить ее точное расположение и установить объем скопившейся крови поможет визуализация посредством МРТ-метода.
Лечение
Залог успешной терапии сосудистых катастроф – своевременно оказанная медицинская помощь. Не менее важно поставить правильный диагноз, определив тип патологии, и как можно быстрее приступить к терапевтическим мероприятиям.
Из-за неверного диагноза шансы на восстановление значительно снижаются. Если геморрагический инсульт лечить разжижающими кровь препаратами, что жизненно необходимо при ишемии, крайне высока вероятность летального исхода.
Если диагностирован инсульт с кровоизлиянием в мозг, последствия будут зависеть от объема крови, попавшей в мозговое пространство, и локализации сформировавшейся гематомы. Именно эти параметры имеют определяющее значение в плане быстроты и полноты восстановления утраченных функций.
Пациенты и их родственники часто спрашивают врачей, какой инсульт опаснее – геморрагический или ишемический. Чтобы ответить точно на этот вопрос, необходимо учитывать возраст и общее состояние здоровья человека, масштабность поражения, скорость и качество оказанной медпомощи.
В большинстве случаев более опасным является геморрагический инсульт, поскольку поврежденные нервные клетки спасти уже не удастся, и они безвозвратно погибнут. При ишемии восстановить кровоток и сохранить значительную часть клеток можно посредством реканализации. Однако при ишемическом поражении целого полушария последствия могут быть гораздо серьезнее по сравнению с точечным кровоизлиянием.
Смертность при геморрагическом инсульте составляет около 50%, то есть примерно половине пациентов выпадает шанс жить дальше. Наиболее быстрыми темпами организм восстанавливается в первые три месяца, затем регресс неврологического дефицита замедляется и через год останавливается.
https://youtube.com/watch?v=d46VF8CegpE
Вопрос-ответ
Какие бывают симптомы инсульта?
Общемозговые симптомы: головная боль, нарушение сознания вплоть до потери сознания, оглушенность, возбуждение или слабость, нарушение ориентации в пространстве и времени, потливость, чувство жара, судороги. Клонит ко сну, иногда знобит. Очаговые нарушения при инсульте зависят от того, какая область мозга пострадала.
Какое лечение при инсульте?
Единственным методом лечения ишемического инсульта, доказавшим свою эффективность и безопасность в клинических исследованиях, является тромболитическая терапия. Целью тромболизиса является восстановление кровотока в участке головного мозга с критическим дефицитом кровоснабжения, но еще не потерявшем жизнеспособность.
Что такое инсульт с кровоизлиянием?
Геморрагическим инсультом называют кровоизлияние в головной мозг, имеющее нетравматическую этиологию. Внутримозговое кровоизлияние обычно является результатом какого-либо заболевания сосудов, питающих мозг (артериальная гипертензия, атеросклероз, амилоидная ангиопатия).
Что является причиной инсульта?
Причины инсульта Причиной ишемического инсульта является нарушение кровоснабжения мозга, возникающее из-за перекрытия сосуда бляшкой или тромбом, повышенной свертываемости крови, болезней сердца, сосудов. Геморрагический инсульт развивается в результате разрыва кровеносного сосуда с дальнейшим кровоизлиянием в мозг.
Советы
СОВЕТ №1
Регулярно проходите медицинские обследования, особенно если у вас есть факторы риска, такие как высокое кровяное давление, диабет или сердечно-сосудистые заболевания. Это поможет выявить проблемы на ранней стадии и снизить вероятность инсульта.
СОВЕТ №2
Следите за своим образом жизни: придерживайтесь сбалансированной диеты, богатой фруктами, овощами и цельными злаками, и избегайте избыточного потребления соли и сахара. Регулярные физические нагрузки также помогут поддерживать здоровье сердечно-сосудистой системы.
СОВЕТ №3
Обратите внимание на симптомы инсульта, такие как внезапная слабость или онемение одной стороны тела, затруднения в речи или понимании, а также резкая головная боль. Если вы заметили эти признаки, немедленно вызывайте скорую помощь — время имеет решающее значение.
СОВЕТ №4
Обсудите с врачом возможные методы профилактики инсульта, включая прием медикаментов, если у вас есть предрасположенность к тромбообразованию. Это может включать антикоагулянты или другие препараты, которые помогут снизить риск инсульта.



