
Опухоли мозга – самая распространенная причина смертельных исходов во всей онкологии. Большая часть всех новообразований представлена астроцитомами. Пилоидная астроцитома головного мозга считается наименее тяжелой, но она не единственная из опухолей такого типа. Некоторые из них требуют срочного хирургического вмешательства, так как крайне опасны.
Характеристика астроцитом
Астроцитомы – новообразования мозга, разросшиеся из астроцитов. Последние изучаются гистологией и представляют собой клетки нервной системы. Их задачей становится выполнение опорной и ограничительной функций. Они могут быть протоплазматическими, располагающимися внутри серого мозгового вещества, или волокнистыми, находящимися в белом веществе. Астроциты обеспечивают передачу необходимых организму элементов между нервными клетками и сосудами.
Опухоли такого типа могут появляться как в левых, так и в правых частях мозга. У взрослых обычно астроцитомы образуются в белом веществе или стволе мозга. Детям же чаще всего приходится столкнуться с опухолью мозжечка или зрительного нерва. Внутри самой опухоли могут появляться кисты. Развиваются они очень медленно, но могут достичь значительных размеров и негативно воздействовать на доли головного мозга. Иногда при диагностике сами астроцитомы тоже оказываются довольно крупными, из-за чего четких границ определить становится невозможно.
По МКБ астроцитомы относят к категории злокачественных образований с кодом C71. Дополнительно уточняется расположение опухоли. Если новообразование носит доброкачественный характер, то код заболевания будет D33. В этом случае тоже учитывается его локализация.
Астроцитома доброкачественного характера в большинстве случаев переформируется в злокачественную.
Астроцитомы головного мозга представляют собой опухоли, возникающие из астроцитов — клеток, поддерживающих и защищающих нейроны. Врачи отмечают, что точные причины их возникновения до конца не изучены, однако генетические мутации и воздействие радиации могут играть значительную роль. Симптомы астроцитомы варьируются в зависимости от ее локализации и размера, но часто включают головные боли, судороги, изменения в зрении и когнитивные нарушения.
Лечение астроцитомы обычно включает хирургическое удаление опухоли, радиотерапию и химиотерапию. Врачи подчеркивают важность ранней диагностики, так как это значительно повышает шансы на успешное лечение. Регулярные обследования и внимание к симптомам могут помочь в своевременном выявлении заболевания и улучшении качества жизни пациентов.

Виды
Глиомы – новообразования, находящиеся в нейроглии головного мозга. Именно к этой группе относятся астроцитомы, являясь подвидом. Опухоли могут разрастаться до огромных размеров, быть лишенными четких очертаний и тяжело поддаваться терапии. Классификация подразумевает деление астроцитомы на степени. Определяются они по типу новообразования и его злокачественности.
Основные виды по степеням:
- 1 степень – пилоидная (пилоцитарная). Опухоль относят к первой степени злокачественности. Она считается самой легкой, не затрагивает близлежащие ткани, увеличивается медленно. Чаще всего болезнь такой стадии хорошо поддается лечению с помощью хирургии, но порой она вызывает гидроцефалию. Встречается пилоидная астроцитома головного мозга обычно в детском возрасте.
- 2 степень – фибриллярная. По злокачественности опухоль относится ко второй степени. Находится она внутри белого вещества, чаще всего имеет стандартные размеры, а ее границы легко определить при диагностике. Фибриллярный тип опухолей вылечивается с помощью хирургии, но иногда требуется применение дополнительных методов в виде лучевой или химической терапии. Может вызывать эпилептические припадки.
- 3 степень – анапластическая. Злокачественность третьей степени приводит к активному росту опухоли. При этом у нее нет выраженных границ, она может распространяться на ближайшие ткани. Вылечивать ее тяжело, шансов на выздоровление не много. Особенно распространена у людей старше 30 лет.
- 4 степень – глиобластома. Принадлежность к четвертой степени злокачественности делает эту опухоль особенно опасной. Ее развитие сопровождается нарушением функционирования вестибулярного аппарата, речи и памяти. Разрастается опухоль очень активно, почти всегда поражает близлежащие ткани. Хирургическое лечение практически не приносит результата, выживать удается только части пациентов, прошедших лучевую или химическую терапию, но срок жизни ограничен. Обнаруживается обычно у людей старше 40 лет.
Олигоастроцитома – еще один вид опухоли. Выделяют ее отдельно, так как по злокачественности она может принадлежать к разным степеням. Представляет собой первичное новообразование смешанного типа, включающее несколько видов клеток. Состоит из астроцитов и олигодендроцитов.
Также астроцитомы классифицируют по характеру роста. Выделяют всего два типа: узловые и диффузные. Первые чаще всего доброкачественные, имеют заметный контур, могут быть обнаружены в любых частях мозга. К ним относят пилоидный тип опухоли. Вторые же обычно перерастают в злокачественные, не имеют выраженных пределов, затрагивают соседние ткани и разрастаются до значительных размеров. К этому типу принадлежат астроцитомы второй степени и выше.
Причины
Спровоцировать рост опухоли такого типа могут различные факторы. Точно выявить настоящую причину удается не всегда. Необходимости делать это нет, так как большинство возможных первопричин носят разовый характер, а другие связаны с работой или образом жизни, что и так придется изменить после терапии. Дополнительного лечения для избавления от провоцирующих факторов чаще всего проводить не требуется.
Возможные причины:
- генетическая предрасположенность;
- воздействие повышенного уровня радиации;
- перенесенные инфекционные или вирусные болезни;
- опасные условия труда;
- злоупотребление алкоголем, курение.
При астроцитоме головного мозга прогноз может быть значительно хуже, если человек продолжает работать в опасных условиях или злоупотребляет вредными напитками и сигаретами. Этот важный момент следует обязательно учесть.
Если в жизни человека присутствуют некоторые из возможных причин развития опухоли, то ему рекомендуется регулярно проверяться у врача. Ежегодное прохождение диагностики позволит обезопасить себя и выявить возникновение опухоли на ранних этапах, что значительно упростит будущее лечение, повысив шансы на положительный исход.
Причины, по которым с опухолью сталкивается ребенок, до сих пор не выявлены.
Астроцитомы головного мозга — это опухоли, возникающие из астроцитов, клеток, поддерживающих нейроны. Люди, столкнувшиеся с этой болезнью, часто отмечают разнообразие симптомов, таких как головные боли, изменения в зрении, проблемы с координацией и даже изменения в поведении. Эти проявления могут варьироваться в зависимости от локализации опухоли и её размера. Многие пациенты делятся своими переживаниями о диагностике, которая может включать МРТ и биопсию. Лечение обычно комплексное: хирургическое вмешательство, радиотерапия и химиотерапия. Важно, что поддержка близких и профессионалов играет ключевую роль в процессе восстановления. Обсуждение опыта и информации о заболевании помогает людям справляться с эмоциональными и физическими вызовами, связанными с этой серьезной болезнью.

Симптомы
При астроцитоме возникают признаки общего типа, а также местные, соответствующие тому отделу головного мозга, где расположилась опухоль. Большинство симптомов вызвано повышением черепного давления или интоксикацией организма от пораженных клеток. На первых этапах развитие астроцитомы может протекать незаметно, что усложняет ее своевременное выявление.
Общие симптомы:
- головные боли ноющего характера;
- ухудшение аппетита;
- тошнота, рвота;
- медлительность речи;
- нарушения внимания и памяти;
- двоение или туман в глазах;
- предобморочное состояние;
- усталость, общее недомогание;
- проблемы с координацией;
- судороги, эпилептические припадки;
- перепады настроения.
Очаговые симптомы могут значительно различаться. Зачастую они проявляются не в полном объеме либо комбинируются с иными проявлениями, что связано с переходом астроцитомы на близлежащие ткани мозга.
Где и как проявляется опухоль:
- Лобная доля. Главным отличием астроцитомы, локализованной на этом участке, считаются психопатологические симптомы. Больной может испытывать эйфорию, равнодушно относиться к заболеванию, проявлять агрессию по отношению к окружающим. Постепенно психика разрушается полностью. Также могут возникнуть нарушения памяти и мышления или моторные нарушения речи. Возможен паралич конечностей.
- Височные доли. Больной часто испытывает галлюцинации слухового, зрительного или вкусового характера. С развитием астроцитомы такие проявления становятся эффектом, предвещающим скорый эпилептический приступ с потерей сознания. Часто также появляются нарушения речи сенсорного типа и слуховая агнозия, из-за чего человек перестает понимать даже написанные слова и распознавать звуки. Глиобластома или анапластическая астроцитома головного мозга при такой локализации часто приводят к быстрому летальному исходу.
- Теменная доля. Больные с таким расположением астроцитомы испытывают проблемы с узнаванием предметов на ощупь, невозможностью контролировать конечности при выполнении целенаправленных действий, эпилептическими припадками. Иногда возникают нарушения речи, письма или счета.
- Затылочная доля. Основным признаком развития астроцитомы на этом участке считаются зрительные галлюцинации. Человек может видеть то, чего нет, или реальные предметы могут изменять в его глазах свой внешний вид и размер. Возможно частичное выпадение поля зрения из обоих глаз.
Если будет поражен мозжечок, то могут возникать проблемы с походкой и координацией движения. Поврежденный желудочек приводит к рефлекторному напряжению шеи с изменением положения головы. Пораженные продолговатый и спинной мозг могут вызвать проблемы с конечностями и ходьбой.
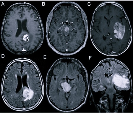
Диагностика и прогноз
Разносторонность симптоматики создает определенные трудности на этапе определения возможных патологий. Обычно больному назначают комплексное обследование, что и позволяет выявить астроцитому. Но даже при уверенности в наличии опухоли пациенту будут назначены такие же методы исследования.
Диагностика включает:
- МРТ – показывает опухоль в любой точке мозга, помогает рассчитать ее размер с точными контурами, для повышения эффективности исследования пациенту в вены вводят контрастное вещество;
- КТ – отображает отделы мозга, четко показывает все особенности найденной опухоли, включая ее границы с точным строением;
- ангиография – помогает изучить состояние кровеносных сосудов, отображает особенности отдельных участков, питающих астроцитому, что необходимо при планировании операции;
- биопсия – забор пораженных тканей помогает определить все особенности опухоли, а также поставить окончательный диагноз.
После проведенных обследований врач сможет определить, какого именно типа опухоль развилась у пациента. При узловой форме астроцитомы выживаемость высокая. Длительность ремиссий может составлять более десяти лет. Диффузные же опухоли почти всегда дают рецидивы даже после правильной терапии. При анапластической астроцитоме головного мозга прогноз жизни неутешителен – проживать больным удается около 5 лет. При глиобластоме выживать еще труднее. Продолжительность жизни едва ли достигает одного года. Возможны осложнения во время операции. Например, кровотечение, отек вещества мозга, инфекционное заражение. Последствием могут стать ухудшение состояния и смертельный исход.
Дольше всех проживать при правильном лечении удается больным с фибриллярной или пилоидной формой опухоли. Обычно им удается вернуться к привычной жизни, став вновь трудоспособными. Но перед этим им предстоит тяжелая реабилитация, включающая переобучение основным навыкам, психотерапию и длительное нахождение в стационаре.
Большинству больных присваивают инвалидность. Если опухоль доброкачественная или есть шансы на выздоровление, то дают третью степень. При более тяжелых состояниях – вторую. Она может быть бессрочной, если восстановление трудоспособности невозможно.
Лечение
Астроцитому лечить привычными способами невозможно. Терапия подразумевает использование хирургических методов, а также лучевого или химического воздействия. При болезни первой степени пациенту могут назначить операцию не сразу, а через несколько лет. На второй же хирургическое вмешательство организуют вскоре после выявления патологии. Иногда требуется сочетание с лучевой терапией.
Третья и четвертая степени астроцитомы очень опасны. Рак такого типа требует незамедлительной операции сразу после постановки диагноза. Как правило, ее сочетают с максимально агрессивной лучевой терапией. На четвертой степени добавляется усиленная химиотерапия. Сами методы терапии кардинально различаются.
Хирургическое лечение
Под хирургическим лечением понимают механическое удаление опухоли. Зачастую ее границы установить не удается, что создает ряд трудностей. Поэтому удалить астроцитому полностью не получается. На третьей или четвертой стадии опухоли эффект от такого лечения будет минимальным. Поэтому очень часто врачи дополнительно назначают другие методы терапии.
Лучевая терапия
Сеансы лучевой терапии проводятся регулярно. На каждом из них пациент получает незначительное облучение радиацией. Постепенно ее уровень накапливается, оказывая разрушающее воздействие на астроцитому. Иногда вместо нее применяется радиохирургия, при которой вся радиация подается за один сеанс. Такой вариант имеет смысл при небольших опухолях.
Химиотерапия
Под химиотерапией понимают лечение с помощью медицинских препаратов. Чаще всего они вводятся внутривенно, но могут применяться в виде таблеток. Они разрушают имеющуюся опухоль, воздействуя на нее постепенно по типу лучевой терапии. Многие лекарства имеют побочные эффекты, так как крайне агрессивны. От правильного подбора препарата будет зависеть будущее пациента.
Пилоидная и фибриллярная астроцитомы головного мозга наименее опасны. Большинству людей, столкнувшихся с ними, удается вернуться к привычной жизни, при этом особой срочности в лечении нет. А те, у кого найдена анапластическая опухоль или глиобластома, вынуждены незамедлительно приступать к терапии, чтобы продлить свою жизнь на несколько лет. Избежать такой страшной патологии или снизить опасность ее последствий можно, если регулярно проверяться у врача, а также исключить из своей жизни все факторы риска.
https://youtube.com/watch?v=F55RhooERFk
Вопрос-ответ
Как проявляется астроцитома?
Симптомы астроцитомы зависят от таких факторов, как возраст ребенка, расположение и размер опухоли, скорость роста опухоли. Симптомами астроцитомы у детей могут быть: Головные боли, которые часто усиливаются по утрам или проходят после рвоты Тошнота и рвота
Можно ли вылечить астроцитому?
Новообразования первой степени злокачественности потенциально излечимы хирургическим путем. Если радикальное удаление опухоли невозможно, используется лучевая терапия или выжидательный подход. 2 степень злокачественности — фибриллярная (диффузная) астроцитома.
Можно ли жить с астроцитомой?
При пилоцитарной астроцитоме прогноз благоприятный: выживаемость в течение 5 лет составляет 96%. При диффузной астроцитоме выживаемость составляет 8 лет, а при анапластической астроцитоме — всего 3-5 лет после постановки диагноза. Самый неблагоприятный прогноз имеет глиобластома: до 15 месяцев после диагностики.
Сколько живут с астроцитомой головного мозга?
Успешность лечения пилоцитарной астроцитомы головного мозга (1 степени злокачественности) – 90%. После лечения фибриллярной или астроцитомы (2 стадии) средняя продолжительность жизни составляет 6-8 лет. 40% пациентов, перенесших полное удаление опухоли, живут более 10 лет.
Советы
СОВЕТ №1
Регулярно проходите медицинские осмотры и нейровизуализацию, особенно если у вас есть предрасположенность к опухолям мозга или если вы замечаете необычные симптомы, такие как головные боли, изменения в зрении или слухе.
СОВЕТ №2
Обратите внимание на свое здоровье и образ жизни. Правильное питание, регулярные физические нагрузки и отказ от вредных привычек могут помочь укрепить иммунную систему и снизить риск развития различных заболеваний, включая опухоли.
СОВЕТ №3
Если вам поставили диагноз астроцитомы, не стесняйтесь обращаться за вторым мнением к другим специалистам. Это поможет вам получить более полное представление о возможных вариантах лечения и подходах к вашей ситуации.
СОВЕТ №4
Поддерживайте связь с группами поддержки и другими пациентами, столкнувшимися с подобными диагнозами. Это может помочь вам не только получить эмоциональную поддержку, но и обменяться полезной информацией о лечении и восстановлении.




