Педиатры всегда обращают повышенное внимание на сегментоядерные и палочкоядерные нейтрофилы, когда рассматривают анализ крови ребенка, поскольку эти структуры отвечают за деятельность костного мозга и иммунной системы. В некоторых случаях наблюдается отклонение от нормы, что часто пугает родителей. Однако, надо понимать, что это не всегда обязательно означает наличие проблем со здоровьем, но при этом требует пристального внимания врача.
Что это такое?
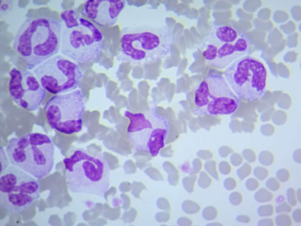
Сегментоядерные нейтрофилы – это одна из разновидностей нейтрофилов, они составляют основную часть лейкоцитов. Образуются из палочкоядерных – это их незрелая форма. В крови зрелые нейтрофилы находятся дольше, чем незрелые – около 2-8 часов, и только потом проникают через сосудистые стенки в органы. С этим связан тот факт, что сегментоядерных нейтрофилов в крови всегда больше, чем палочкоядерных.
У палочкоядерных нейтрофилов ядра ровные, сплошные и похожие на изогнутые палочки. У сегментоядерных они делятся на сегменты 2-5 штук, поэтому их еще называют зернистыми. Такое строение ядра позволяет этим клеткам мигрировать через стенки сосудов в органы и ткани.
Справка! Цитоплазма нейтрофилов розовая, а зернистость коричневая. При наличии воспалительного процесса в организме зернистость становится крупнее и окрашивается в синий цвет.
Основной функцией нейтрофилов является борьба с различными инфекционными возбудителями, которые попадают в организм человека извне (в первую очередь грибковыми и бактериальными), а также поддержание иммунной системы на надлежащем уровне. Вырабатываются нейтрофилы костным мозгом, и могут быстро передвигаться и концентрироваться в местах повреждения или воспаления тканей.
Когда патогенная флора попадает в организм человека, сегментоядерные нейтрофилы поглощают их и переваривают, при этом сами нейтрофилы погибают – это называется фагоцитозом или фагоцитарной активностью.
Нейтрофилы – микрофаги, они способны поглощать только небольшие чужеродные частицы и клетки. Эти структуры содержат миелопероксидазу – фермент, который после гибели клетки повышает действие антибактериальных агентов в крови человека. Когда эти биологические вещества в больших количествах высвобождаются, они начинают повреждать бактерии и активизировать скопление иммунных клеток в пораженном очаге.
Погибшие нейтрофилы, клеточная масса, разрушенная воспалительным процессом, и патогенные микроорганизмы образуют смесь, которая называется гной. Гной зеленого цвета, так как фермент миелопероксидаза имеет зеленый пигмент.
Что касается вирусных инфекций, в борьбе с ними нейтрофилы играют куда меньшую роль, а также практически не участвуют в борьбе с гельминтами и опухолями.
Анемия у женщин – симптомы, лечение и питание
Повышенный уровень сегментоядерных нейтрофилов у ребенка может свидетельствовать о наличии воспалительного процесса, инфекции или даже стресса. Врачами отмечается, что такие изменения часто наблюдаются при бактериальных инфекциях, гнойных процессах или после вакцинации. Важно провести комплексное обследование, чтобы определить точную причину повышения.
С другой стороны, пониженный уровень нейтрофилов, или нейтропения, может быть вызван вирусными инфекциями, аутоиммунными заболеваниями или воздействием некоторых медикаментов. Врачами подчеркивается, что в таких случаях необходимо внимательно следить за состоянием ребенка, так как низкий уровень нейтрофилов может повышать риск инфекций.
Лечение в обоих случаях зависит от основной причины изменения уровня нейтрофилов. Важно, чтобы родители не занимались самолечением, а обращались к специалистам для получения квалифицированной помощи и рекомендаций. Регулярные анализы крови помогут контролировать состояние ребенка и своевременно реагировать на изменения.
https://youtube.com/watch?v=WCgWRE10Xso
Какие анализы могут определить уровень?
Узнать, какое количество нейтрофилов содержится в крови у ребенка можно из общего анализа крови с лейкоцитарной формулой. Также зернистые гранулоциты исследуются при помощи биохимического анализа крови и биопсии костного мозга.
Норма
В крови взрослого человека и ребенка старше 13 лет все виды лейкоцитов должны составлять 4-10*10 в 9 степени/л крови, из них нейтрофилов – 48-80%. Из них начальная форма нейтрофилов 1-3%, палочкоядерные 1-6%, сегментоядерные – 45-72%.
У детей до 12 лет происходит становление иммунной системы, поэтому лейкограмма у них несколько другая. Младенцы рождаются со «взрослой» нормой сегментоядерных нейтрофилов, которая продолжает нарастать в первые сутки жизни ребенка, а потом резко падает.
В 5-7 лет количество сегментоядерных нейтрофилов снова повышается, и в этот период педиатры и родители отмечают, что ребенок стал меньше болеть простудными заболеваниями.
Возрастные нормы сегментоядерных нейтрофилов в крови детей:
- первые сутки – 50-70%,
- 1-5 дней – 35-55%,
- 5-15 дней – 25-45%,
- 15-30 дней – 15-30%,
- 1-12 месяцев – 20-35%,
- 1-6 лет – 35-55%,
- 7-10 лет – 40-60%,
- 11-15 лет 40-75%.
Повышенный уровень сегментоядерных нейтрофилов у ребенка часто вызывает беспокойство у родителей. Это состояние может свидетельствовать о наличии инфекции, воспалительного процесса или даже аллергической реакции. В таких случаях важно обратиться к врачу, который проведет необходимые анализы и определит причину изменения показателей. Лечение может включать антибиотики или противовоспалительные препараты, в зависимости от диагноза.
С другой стороны, пониженный уровень нейтрофилов, или нейтропения, также требует внимания. Это может быть связано с вирусными инфекциями, аутоиммунными заболеваниями или побочными эффектами некоторых медикаментов. Важно следить за состоянием ребенка и при необходимости проводить дополнительные исследования. В некоторых случаях может потребоваться поддерживающая терапия или изменение режима лечения. Родителям стоит помнить, что любые изменения в анализах крови требуют консультации специалиста для определения дальнейших действий.
https://youtube.com/watch?v=nQwvw3wE-Vk
Показатели повышены
Когда уровень нейтрофильных клеток повышается, это называется нейтрофилез. Однако незначительное повышение может наблюдаться при чрезмерных физических или психоэмоциональных нагрузках, а также после еды. Если же причина повышения нейтрофилов связана с заболеванием, то их уровень будет напрямую зависеть от активности болезни.
Причины увеличения
Патологическими причинами повышения уровня нейтрофилов можно назвать:
- активные воспалительные процессы – дерматит, пневмония, аппендицит, воспалительный процесс в поджелудочной железе и так далее,
- наличие в организме бактериальной инфекции, включая гнойные очаги поражения – флегмона, абсцесс,
- некоторые инфекции вирусного происхождения,
- грибковая инфекция или инфекции, спровоцированные простейшими микроорганизмами,
- опухолевые процессы,
- ожоги,
- сахарный диабет,
- отравления,
- трофическая язва,
- прием определенных медикаментозных препаратов, например, кортикостероидов,
- гемолиз эритроцитов или острая потеря крови.
Нейтрофилы повышаются в послеоперационный период.
Надо обратить внимание, что врачи оценивают тот факт за счет каких форм клеток произошло увеличение:
- Сдвиг формулы влево – повышены палочкоядерные нейтрофилы – такое часто бывает при лейкозе, анемии, гнойных инфекциях и ожогах.
- Сдвиг формулы вправо – повышены сегментоядерные нейтрофилы – встречается при лейкозе, анемии, полицитемии.
https://youtube.com/watch?v=SRjVEnUIsdA
Симптомы
Чаще всего повышение нейтрофилов в крови начинается без какой-либо симптоматики, это связано с тем, что палочки появляются в момент начала болезни, и на их дозревание требуется время.
Прединсульт – симптомы у женщин и мужчин, лечение
Когда нейтрофилы созревают, начинает появляться клиническая картина – начло гнойного процесса. Характерными признаками можно назвать:
- головную боль,
- повышение температуры,
- кашель,
- насморк,
- быстрая утомляемость и недомогание,
- отек и краснота пораженных участков дермы,
- наличие хрипов в легких,
- гной в носоглотке.
Лечение
Назвать нейтрофилез самостоятельной патологией нельзя, поэтому специфического лечения повышения нейтрофильных клеток нет. Врач определяет причину повышенных показателей и назначает лечение выявленного заболевания:
- инфекционные заболевания лечатся антибиотиками,
- вирусы – противовирусными средствами,
- грибки – противомикозными препаратами,
- патологии косного мозга – препаратами, которые угнетают патологически активную выработку этих клеток,
- инфаркт почки, легкого или миокарда требует реанимационных мероприятий,
- при несбалансированном питании корректируется меню и назначаются витаминные комплексы,
- при приеме некоторых медикаментозных средств изменяется курс лечения.
Пониженные значения
Пониженное значение нейтрофилов называется нейтропенией. Различают:
- наследственную нейтропению,
- врожденную,
- приобретенную.
Наследственные формы передаются из поколения в поколение, и могут абсолютно не влиять на состояние ребенка, они считаются индивидуальной особенностью организма.
Врожденные патологии иммунной системы, а также другие нарушения, способствуют прогрессу нейтропении, и это естественно сказывается на работе всего организма ребенка.
Механизм понижения сегментоядерных нейтрофилов может быть следующим:
- Снижение производства или его нарушение – результат сбоя в работе костного мозга.
- Перераспределение – сегментоядерные нейтрофилы кучкуются и двигаются в очаг воспаления.
- Повышенный процент гибели и элиминации – клетки погибают или организм сам уничтожает некачественные патологические формы.
При сдвиге лейкоцитарной формулы влево количество сегментоядерных нейтрофилов уменьшается в пользу молодых форм – метамиелоцитов, палочкоядерных и миелоцитов.
Важно! Изменение формулы может быть естественным ответом на воздействие патогенного фактора, во всех остальных случаях требуется немедленное врачебное вмешательство и выяснение причин.
У новорожденного ребенка норма сегментоядерных нейтрофилов такая же как и у взрослого человека, и если отклонение происходит в сторону уменьшения, родители должны насторожиться в отношении наследственных и врожденных форм патологии.
Это может быть:
- младенческий агранулоцитоз,
- циклическая врожденная нейтропения,
- доброкачественная семейная нейтропения.
Груднички, находящиеся на грудном вскармливании хорошо защищены от инфекций, так как с материнским молоком в их организм поступает большое количество иммунных клеток, которые борются с вирусами и бактериями. Дети, находящиеся на искусственном вскармливании, находятся в группе риска различных патологий.
Когда нейтрофилы понижены до года, нейтропения может сопровождаться появлением двуядерных патологических сегментоядерных нейтрофилов.
Следует быть крайне внимательным к назначению детям до 2 лет медикаментозных препаратов, так как в некоторых случаях этом может стать причиной агранулоцитоза. Особенно это касается препаратов сульфаниламидной группы и нестероидных противовоспалительных средств.
Через сколько проявляется ВИЧ – симптомы заражения у мужчин и женщин
Причины снижения уровня
Показатели сегментоядерных нейтрофилов снижаются у ребенка в 2 года, так как у новорожденного он будет максимально высоким, а к 3 годам уже намного понижены.
То, что снижено содержание сегментоядерных нейтрофилов у ребенка, может быть обусловлено:
- вирусной и бактериальной инфекцией,
- тяжелым состоянием, которое возникает после существенного иммунного ответа – вторичная нейтропения истощения,
- нарушением обменных процессов,
- дефицитом витаминов, а также белково-энергетической недостаточностью, которая может возникать при тяжелой форме железодефицитной анемии,
- панцитопенией – снижение всех кровяных элементов,
- угнетение или полное прекращение созревания или синтеза клеток в косном мозге, так называемое первичное или вторичной апластическое состояние.
Признаки нейтропении
Если количество нейтрофилов в крови ниже нормы, это может проявляться в виде:
- частых простуд,
- постоянной апатии и вялости,
- сонливости, упадке сил,
- частого появления на кожном покрове гнойников,
- сильного потоотделения даже без физической нагрузки,
- беспричинном повышении температуры,
- частых головных болях,
- сыпи на слизистых.
Как лечить?
Чтобы подтвердить нейтропению у ребенка педиатр назначает дополнительные анализы и исследования, которые помогут определить какое именно необходимо лечение. Во время прохождение терапии необходимо исключить прививки, прием иммуномодуляторов, а также прочие манипуляции, которые способны снизить иммунитет ребенка.
Терапия нейтропении может заключаться в следующем:
- При наличии инфекционных возбудителей, лечение направляется на уничтожение патогенной флоры, при этом учитываются возраст и состояние ребенка.
- Если патология развивается по причине нехватки гемоглобина, необходимо изменить рацион питания ребенка, а также назначаются препараты железа, фолиевая кислота, витамин В12, который способствует усвоению организмом железа.
- При заболеваниях, которые провоцируют снижение нейтрофилов в крови, ребенок должен быть поставлен на учет к гематологу, и врач будет контролировать его состояние до тех пор, пока ситуация не нормализуется.
- Если на количество нейтрофилов повлияла плохая экология, токсические факторы, прием определенных групп препаратов, необходимо устранить провоцирующие факторы, и назначать ребенку щадящее лечение, поддерживающие силы организма.
- При тяжелой форме нейтропении – болезни Костмана, ребенку назначаются антибактериальные средства, а также препараты для профилактики опасных инфекций и стимулирования синтеза новых клеток. В особо сложных ситуациях назначается трансплантация костного мозга.
Родители должны понимать, что низкое или высокое количество нейтрофилов в крови ребенка не всегда свидетельствует о наличии какого-то заболевания. Самостоятельная трактовка результатов, а тем более самостоятельное лечение совершенно недопустимы. Устанавливать диагноз и назначать адекватную ситуации терапии может только врач.
Вопрос-ответ
Почему понижены сегментоядерные нейтрофилы у ребенка?
В анализе крови могут считать их число (абсолютный показатель) или процент от общего содержания лейкоцитов. Эти показатели зависят от возраста ребенка. Снижение сегментоядерных нейтрофилов у грудничка — нормальный процесс, который связан с тем, что иммунная система малыша только начинает самостоятельную работу.
На что указывают повышенные сегментоядерные нейтрофилы?
Обычно рост количества зрелых палочноядерных и сегментоядерных клеток отмечается при язвенных заболеваниях, аппендиците, остром панкреатите, холецистите и т. д. Глистные инвазии, в результате которых костный мозг продуцирует увеличенное количество зрелых кровяных телец.
Что произойдет, если количество сегментированных нейтрофилов будет низким?
Недостаток нейтрофилов затрудняет борьбу организма с микробами и предотвращение инфекций. В тяжелых случаях даже бактерии, которые здоровый организм обычно переносит (например, бактерии во рту и кишечнике), могут вызвать заболевание.
Советы
СОВЕТ №1
Обратите внимание на симптомы. Если вы заметили у ребенка признаки инфекции, такие как высокая температура, слабость или изменения в аппетите, не откладывайте визит к врачу. Сегментоядерные нейтрофилы играют важную роль в иммунной системе, и их уровень может указывать на наличие воспалительного процесса.
СОВЕТ №2
Регулярно проходите медицинские обследования. Профилактические анализы крови помогут отслеживать уровень сегментоядерных нейтрофилов и других показателей здоровья вашего ребенка. Это особенно важно, если в семье есть предрасположенность к инфекционным заболеваниям.
СОВЕТ №3
Обсуждайте результаты анализов с врачом. Если уровень сегментоядерных нейтрофилов у вашего ребенка повышен или понижен, важно понять причины этого изменения. Врач может предложить дополнительные исследования или корректировку лечения, если это необходимо.
СОВЕТ №4
Следите за рационом питания ребенка. Правильное питание, богатое витаминами и минералами, может поддерживать иммунную систему и способствовать нормализации уровня нейтрофилов. Включайте в рацион фрукты, овощи, белки и здоровые жиры.







