Ствол головного мозга – наиболее древний отдел центральной нервной системы, соединяющий его со спинным мозгом. Он контролирует дыхание, частоту сердечных сокращений, уровень артериального давления, сон, сексуальное возбуждение, бодрствование, процесс глотания, движение глаз. Через ствол проходят нервные пути, передающие сигналы от мозжечка мышцам.
Стволовой инсульт – это острое нарушение мозгового кровообращения, при котором поврежденный мозг теряет контроль над самыми жизненно важными органами – сердцем, легкими.
Рассмотрим основные формы, причины развития заболевания, методы диагностики, лечения, возможные последствия и прогноз.
Причины патологии
Существует две основные разновидности инсульта: ишемический, геморрагический. Первую еще называют инфарктом головного мозга. Смерть нервных клеток при такой форме развивается из-за сужения просвета артерий, питающих ствол мозга. Основные причины нарушения проходимости сосудов – , их закупорка тромбом, образовавшимся в полости сердца (кардиоэмболия). У молодых пациентов к ишемическому инсульту чаще всего приводит расслоение артерий.
Геморрагическая форма (внутримозговое кровоизлияние) развивается при повреждении сосудов головного мозга. Это более редкая, тяжелая разновидность, на которую приходится 15% случаев нарушения мозгового кровообращения, 40% всех смертей. Основная причина разрыва церебральных артерий – высокое давление.
Более склонны к развитию инсульта ствола головного мозга люди, имеющие следующие факторы риска:
- возраст более 60 лет,
- генетическую предрасположенность,
- повышенную свертываемость крови,
- митральный стеноз,
- высокое артериальное давление,
- повышенную концентрацию холестерина,
- атеросклероз магистральных сосудов,
- мерцательную аритмию,
- ожирение,
- метаболический синдром,
- сахарный диабет 2-го типа,
- нарко-, алко-, табакозависимость,
- длительное употребление оральных контрацептивов,
- малоподвижный образ жизни.
Врачи отмечают, что стволовой инсульт представляет собой одну из самых сложных форм инсульта, так как затрагивает жизненно важные функции организма. Он может привести к серьезным нарушениям, включая проблемы с дыханием, сердечным ритмом и координацией движений. Прогноз выздоровления зависит от многих факторов, включая степень повреждения ствола мозга, скорость оказания медицинской помощи и общее состояние пациента. Специалисты подчеркивают, что ранняя реабилитация и комплексный подход к лечению могут значительно улучшить шансы на восстановление. Однако, в случае стволового инсульта, многие пациенты сталкиваются с длительным периодом восстановления и возможными осложнениями, что требует от них и их близких значительной терпимости и поддержки.
https://youtube.com/watch?v=ckonc7A4ckA
Типичные симптомы
Клиническая картина инсульта ствола мозга сильно отличается от мозговых ударов другой локализации. Два основных признака – нарушение равновесия, головокружение, которые могут протекать без типичной для нарушения мозгового кровообращения слабости лица, конечностей. Другие характерные симптомы инсульта – невнятная речь, раздвоение зрения, сонливость, заторможенность.
В зависимости от локализации участка некроза, клиническая картина может дополняться другими проявлениями. Эти сочетания признаков настолько характерны, что медики объединяют их в отдельные синдромы. Всего выделяют 26 заболеваний, из которых наиболее распространены синдром:
- Валленберга,
- Бенедикта,
- Клода,
- Фовилля,
- Джексона,
- запертого человека.
Характеристики основных синдромов
| Название синдрома, локализация | Признаки |
|---|---|
| Синдром Валленберга
Самый распространенный. Развивается при поражении позвоночной или задней мозжечковой артерии, которые приводят к повреждению ядер черепно-мозговых нервов продолговатого мозга |
Со стороны некроза: потеря болевой, температурной чувствительности лица, паралич мышц верхнего неба, глотки, опущение верхнего века (птоз), сужение зрачка.
С противоположной: паралич болевой, температурной чувствительности туловища, конечностей. |
| Синдром Бенедикта
Характерен для поражения среднего мозга |
Со стороны некроза: опускание верхнего века, косоглазие, расширение зрачка.
С противоположной: нарушение координации (гемиатаксия), подвижности (гемипарез) одной половины тела, дрожание века. |
| Синдром Клода
Возникает при поражении глазодвигательного нерва, ножки мозжечка, красного ядра |
Со стороны некроза: опускание верхнего века, косоглазие, расширение зрачка.
С противоположной: дрожание тела. |
| Синдром Фовилля
Развивается при поражении моста мозга, ядер отводящего, лицевого нервов, медиальной петли, пирамидного пути |
Со стороны некроза: паралич или парез половины лица. |
| Синдром Джексона
Характерен для поражения нижней части продолговатого мозга |
Со стороны некроза: паралич или парез языка: если попросить больного высунуть его, кончик будет сильно отклоняться от прямой линии.
С противоположной: паралич или парез одной половины тела. |
| Синдром запертого человека
Возникает при массивных инсультах |
Тело человека полностью парализуется, сохраняется только возможность моргания, движения глазами. Человек не может разговаривать, не реагирует на обращения окружающих, однако его способность к ясному мышлению сохраняется. Больные могут общаться с людьми посредством моргания. |
Современная диагностика
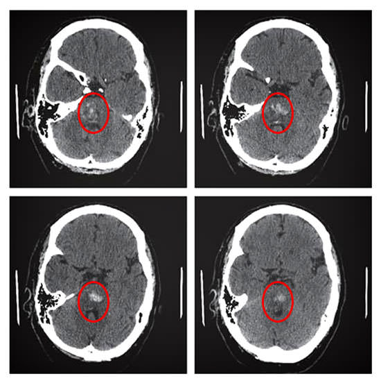
Прибывшая бригада скорой помощи оценивает общее состояние пациента, степень сохранения сознания, основных рефлексов. При подозрении на мозговой удар больного доставляют в ближайшее специализированное учреждение. Благодаря очень специфической клинической картине опытный невролог может распознать стволовой инсульт, определить локализацию поражений по симптоматике мозгового удара.
Однако для определения характера нарушения, степени сдавливания окружающих тканей, отека мозга требуются вспомогательные исследования. Самый быстрый способ исключить кровоизлияние – компьютерная томография мозга. Ее проводят первой. Если геморрагическая природа инсульта не подтверждаются, больного направляют на магнитно-резонансную томографию – лучший способ диагностики ишемической формы.
Для уточнения общего состояния здоровья пациента, возможных причин патологии дополнительно назначают:
- общий, биохимический анализ крови,
- ЭКГ,
- УЗИ сердца,
- пункцию спинномозговой жидкости.
Стволовой инсульт — это серьезное заболевание, которое возникает в результате нарушения кровообращения в стволе головного мозга. Люди, столкнувшиеся с этой проблемой, часто отмечают, что симптомы могут быть весьма разнообразными и затрагивать множество функций организма. Например, могут возникать проблемы с дыханием, нарушаться координация движений и речь. Прогноз выздоровления зависит от многих факторов, включая скорость оказания медицинской помощи, степень повреждения мозга и общее состояние пациента. Некоторые пациенты восстанавливаются достаточно быстро, в то время как другим требуется длительная реабилитация. Важно, чтобы близкие поддерживали человека в этот непростой период, так как моральная поддержка играет значительную роль в процессе восстановления. Многое также зависит от индивидуальных особенностей организма и наличия сопутствующих заболеваний.
https://youtube.com/watch?v=HddbEZQTrcU
Особенности лечения
Лечение проводится по стандартной схеме, включает два компонента. Первый – базовая терапия, цель которой стабилизировать пациента, убрать симптомы, предупредить осложнения, общие для обеих форм мозгового влияния. Она может включать:
- искусственную вентиляцию легких,
- нормализацию показателей артериального давления,
- устранение нарушений работы сердца (аритмий, слабости сокращений, стенокардии),
- предупреждение отека мозга (введение диуретиков),
- борьбу с болью, судорогами,
- введение препаратов, улучшающих обмен веществ нервной ткани, повышающих стойкость клеток к воздействию неблагоприятных факторов.
Второй компонент лечения – специфическая терапия, которая определяется видом заболевания. При ишемическом инсульте врачу важнее всего устранить закупорку сосудов. В зависимости от времени госпитализации, локализации тромба/атеросклеротической бляшки больному может быть показана:
https://youtube.com/watch?v=m2zxzSpfeeI
- Тромболитическая терапия – введение особых лекарств, растворяющих тромб. Подходит для пациентов, которых вовремя госпитализировали.
- Назначение препаратов, предупреждающих рецидив тромбообразования.
- Ангиопластика – хирургическая процедура, во время которой врач миниатюрным манипулятором, введенным в сосуд, расширяет просвет артерии, расплющивая атеросклеротическую бляшку. Для закрепления результата дополнительно устанавливается стент, предупреждающий повторное сужение просвета.
- Каротидная эндартерэктомия – удаление части сонной артерии вместе с холестериновыми отложениями.
При диагностированном кровоизлиянии основная задача – остановка кровотечения. Схема лечения может включать:
- антагонисты кроверазжижающих препаратов,
- клиппирование – пережатие просвета патологического выпячивания маленькой клипсой, введенной через высверленное отверстие в черепе,
- миниинвазивное удаление аневризмы – малотравматичная хирургическая процедура, при которой хирург микроманипулятором вводит внутрь мешочка скрученную проволоку. Расправляясь, она заполняет просвет выпячивания, стимулирует тромбообразование.
Последствия
Стволовой инсульт никогда не затрагивает высшие нервные функции: память, мышление, способность фокусироваться, воспринимать речь. Это существенно облегчает , во многих случаях обеспечивает больному более качественную жизнь.
Нарушение обычно затрагивают двигательную сферу: координацию, мелкую моторику, чувствительность. Самое тяжелое последствие инсульта ствола мозга – параличи. Они могут поражать половину тела, часть лица, что мешает больному нормально принимать пищу, разговаривать, самостоятельно перемещаться, выполнять многие виды работ.
Наиболее неблагоприятный исход связан с развитием синдрома запертого человека. Такие пациенты обычно пожизненно остаются полностью обездвиженными, но сохраняют ясное мышление.
Другое распространенное последствие инсульта – депрессия, развивается у каждого третьего пациента, значительно ухудшает качество его жизни. Работа с психологом, поддержка близких, успешная социальная адаптация обычно помогают ее преодолеть.
Прогноз
Прогноз при любом виде мозгового удара неблагоприятный. Полнота восстановления во многом зависит от обширности поражения, возраста больного, причины заболевания. Ишемический инсульт обычно протекает легче геморрагического, который нередко оканчивается быстрой гибелью. Также у многих пациентов не получается полностью восстановить подвижность конечностей. Особенно мала вероятность реабилитации у больных с синдромом замкнутого человека.
Профилактика
80% всех инсультов можно предупредить, если заниматься своим здоровьем. Врачи рекомендуют:
- раз 2-4 года контролировать уровень липидов крови,
- не менее раза/год измерять давление,
- отказаться от сигарет,
- потреблять алкоголь исключительно в небольших дозах,
- правильно питаться,
- заниматься спортом,
- следить за весом.
Людям из группы риска рекомендованы более частые, тщательные обследования.
Литература
- Jamie Eske. What to know about brain stem strokes, 2018
- Prof Frank Gaillard, Dr Ahmed Abdrabou et al. Brainstem stroke syndromes
- Andrew Stark. Brain Stem Stroke Symptoms, Prognosis Recovery
- Seunggu Han, MD, Brain Stem Stroke, 2018
Вопрос-ответ
Можно ли восстановиться после стволового инсульта?
В случае поражения ствола мозга статистика неутешительна: выживает не более 25% таких пациентов, и только 2% из них могут рассчитывать на полное восстановление без тяжелых осложнений. Стволовой инсульт является наименее благоприятной разновидностью инсульта головного мозга.
Каков прогноз при кровоизлиянии в ствол головного мозга?
Прогноз при кровоизлиянии в ствол головного мозга зависит от размера и локализации кровоизлияния. При обширных понтинных кровоизлияниях, затрагивающих основание моста и покрышку, 78% пациентов могут умереть в первые 48 часов, при этом большинство умирает в первые 24 часа.
Советы
СОВЕТ №1
Обратите внимание на ранние симптомы инсульта, такие как внезапная слабость, затруднения в речи или проблемы с координацией. Быстрое обращение за медицинской помощью может значительно повысить шансы на успешное восстановление.
СОВЕТ №2
После перенесенного инсульта важно следовать рекомендациям врачей и проходить реабилитацию. Регулярные занятия с физиотерапевтом и логопедом помогут восстановить утраченные функции и улучшить качество жизни.
СОВЕТ №3
Поддерживайте здоровый образ жизни, включая сбалансированное питание и физическую активность. Это поможет снизить риск повторного инсульта и улучшить общее состояние здоровья.
СОВЕТ №4
Не забывайте о психологической поддержке. Инсульт может оказать значительное влияние на эмоциональное состояние, поэтому важно общаться с близкими и, при необходимости, обращаться к психологу для помощи в адаптации к новым условиям жизни.


