
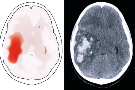
Геморрагический инсульт – патологический процесс, при котором наблюдается кровоизлияние под оболочки или в вещество головного мозга (не стоит путать с гематологическим инсультом). Кровоизлияние также может наблюдаться в пространство под корой мозга (геморрагический субкортикальный инсульт). Это крайне опасные состояния, при которых существенно нарушается кровообращение в структурах мозга.
При возникновении заболеваний такого типа отмечается достаточно высокий процент летальных исходов (более 50%), низкая выживаемость при хроническом течении болезни. Проблема геморрагического инсульта является крайне актуальной. При ишемическом инсульте, наоборот, наблюдается нехватка крови в мозговых структурах.
По статистике, женщины намного дольше, чем мужчины, восстанавливаются после инсульта. Также женщины чаще умирают от осложнений после геморрагического кровоизлияния. Ученые пока не дали объяснений, с чем связана такая статистика.
Причины развития патологии
Чаще всего заболевание возникает по следующим причинам:
- Артериальная гипертензия (формируется в качестве последствия/осложнения целого ряда заболеваний эндокринной системы и почек).
- Гипертоническая болезнь (зачастую в комбинации с атеросклерозом).
- Патологии сосудов, которые возникли в результате развития сильной аллергии или инфекции.
- Травматизация черепа, мозговых структур (в результате удара, ушиба).
- Аневризма сосудов мозга.
- Развитие онкологических воспалений во внутримозговых структурах.
- Уремия, сепсис.
- Геморрагический диатез.
Механизмы происхождения кровотечения в мозговых структурах при этом могут существенно различаться от пациента к пациенту:
- При высоком артериальном давлении происходит разрыв сосуда с истонченными стенками (из-за развития какого-то заболевания). В результате этого кровь начинает проникать в соседние ткани, что приводит к возникновению гематомы внутри мозга. Формирование гематомы происходит мгновенно. При этой разновидности геморрагического инсульта кровь зачастую прорывается в мозговые желудочки либо субарахноидальное пространство. Из-за чего нарушается венозный отток, начинает формироваться отек, повышается внутричерепное давление. При развитии данных процессов мозг может сместиться, могут быть сдавлены важнейшие структуры, которые регулируют работу дыхательных органов и сердца. Именно поэтому геморрагический инсульт является столь тяжелым заболеванием, которое отмечается низкой выживаемостью.
- Также патологический процесс может начаться немного по-другому. Медленно и постепенно на фоне одной из патологий стенки сосудов начинают истончаться, в результате чего кровь начинает потихоньку проникать в окружающие мозговые ткани. Очаги, которые достаточно пропитались кровью, постепенно сливаются воедино. Подобный процесс называется диапедезным кровоизлиянием. В качестве триггера, который может запустить патологический процесс, выступает высокое артериальное давление.
Рассеяться самостоятельно кровоизлияние не способно – в любом случае требуется качественное и своевременное лечение. Рассосаться может лишь малая часть отека, что не поспособствует нормализации состояния больного.
Врачи подчеркивают, что геморрагический инсульт представляет собой серьезное состояние, требующее немедленного медицинского вмешательства. Он возникает в результате разрыва кровеносного сосуда в мозге, что приводит к кровоизлиянию и повреждению окружающих тканей. Специалисты отмечают, что факторы риска, такие как гипертония, аневризмы и сосудистые мальформации, играют ключевую роль в развитии данного типа инсульта. Важно также учитывать, что геморрагический инсульт может проявляться внезапной головной болью, потерей сознания и неврологическими дефицитами. Врачи акцентируют внимание на необходимости ранней диагностики и быстрого начала лечения, так как это напрямую влияет на прогноз и восстановление пациента. Реабилитация после инсульта требует комплексного подхода, включающего медикаментозную терапию, физическую реабилитацию и психологическую поддержку.

Основные симптомы
Геморрагический инсульт головного мозга представлен в двух разных видах: паренхиматозный и субарахноидальный. В первом случае кровь начинает проникать непосредственно в ткани мозга, во втором – в оболочки. Патологический процесс односторонний (затронуто одно полушарие) или двухсторонний (захватываются обе гемисферы).
Паренхиматозный геморрагический инсульт
Патология чаще всего развивается только у лиц в возрасте старше 45 лет. Произойти всё может внезапно, если имеет место определенный провоцирующий фактор:
- Нарушения психоэмоционального характера, сильные стрессовые ситуации.
- Длительный прием спиртных напитков.
- Физическое перенапряжение и т.п.
Изначально пациенты жалуются на головные боли, имеющие выраженный резкий характер. Вместе с болевыми ощущениями может наблюдаться утрата сознания. Продолжительность потери сознания варьируется: от обычного обморока до полноценной комы. В некоторых ситуациях непосредственно перед инсультом к голове начинает приливать кровь, поэтому пациент видит окружающий мир в красных оттенках, обзор у него затуманен.
При возникновении болевых ощущений в голове также отмечается рвота, чрезмерное возбуждение больного, повышенная потливость, тахикардия, повышенное артериальное давление. Существенно затрудняется дыхание: оно учащается, есть храпы, имеются проблемы с вдохом и выдохом. Возникает симптоматика менингита (хотя самого заболевания нет). Она несильно выражена, умеренна, можно не проявиться вовсе.
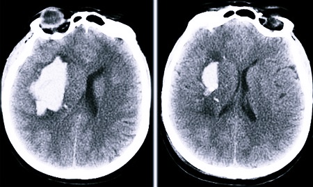
Также обязательно присутствуют симптомы вегетативных и общемозговых нарушений. Имеется очаговая симптоматика, которая будет указывать на локализацию гематомы. При наличии четких очаговых симптомов врачи могут без труда обнаружить место кровоизлияния.
Кровоизлияние может быть трех типов:
- В ствол мозга. Для этого состояния характерно появление симптомов нарушения работы нервов мозга и черепа (перекошены некоторые части лица, развивается косоглазие, наблюдается гнусавость, проблемы с приемом пищи и т.п.). Также имеются нарушения дыхания и работы сердца, характерные альтернирующие синдромы, паралич всех конечностей. Причем в каждом случае симптомы будут существенно различаться, т.к. при возникновении гематомы в стволе мозга могут поражаться разные участки этого органа.
- Полушарное. При такой патологии обязательно наблюдаются проявления гемипареза или гемиплегии. Конечности утрачивают чувствительность (человек не чувствует предметы, к которым прикасается), меняется тонус мышц в большую или меньшую стороны, глаза отводятся в сторону, которая противоположна парализованным конечностям (зависит от пораженного полушария). Зачастую не наблюдается проблем, связанных с нарушением сознания пациента, однако часто проявляются нарушения речи, полей зрения, если страдает левая гемисфера и зрительные центры. Больные с трудом читают и считают, не могут точно ответить на вопрос о своем текущем состоянии. Если пациент потерял сознание, то вполне может наблюдаться инсультная симптоматика: симптом «плети», надувание щеки, минимальные рефлексы в парализованной конечности, присутствие характерных симптомов (Гордона, Пуссепа и т.п.).
- В мозжечок. При возникновении такой гематомы отмечается головокружение, тошнота, постоянная рвота, которая не облегчает состояние пациента. Пациенты отмечают болевые ощущения в затылочной или височной зоне, в шейных отделах. Часто наблюдаются симптомы менингита, утрата тонуса до минимальных значений, нистагм. Пациент не может сидеть или стоять в одной позе, его пошатывает (складывается ощущение, что человек пьян). Утрачиваются речевые навыки, разговор больного становится прерывистым, разделенным на части.
Если кровоизлияние достаточно обширное (более 30 куб. см.) и располагается в глубине ткани мозга, то есть вероятность прорыва крови в жизненно важные мозговые структуры. Подобный процесс зачастую приводит к летальному исходу. Основная симптоматика в этот момент: серьезное ухудшение состояния, потеря сознания, псевдосудорожные признаки, нарушение важнейших функций (сердца, дыхательной системы).
Американские ученые выявили, что при депрессивных состояниях риски развития геморрагического инсульта увеличиваются примерно на 30%.
По скорости развития данной патологии принято отмечать несколько форм в соответствии с общепринятой классификацией:
- Острая. Симптомы неврологических нарушений появляются практически мгновенно, кровь прорывается в желудочки головного мозга, развивается обширный отек, сдавливающий мозговые структуры. Вероятность прерывания жизни пациента предельно высока.
- Подострая. Патологическое состояние так же развивается довольно быстро – в течение нескольких минут, но затем происходит стабилизация клинических признаков, отечность обычно не формируется сразу (спустя пару суток). Есть вероятность вторичного геморрагического инсульта, при котором состояние пациента будет хуже, чем при первичном. Прогноз зависит от ряда факторов, но при своевременном и правильном лечении он вполне приемлемый.
- Хроническая. Патология такого типа наблюдается крайне редко (обычно при диапедезном пропитывании). При хронической форме больные могут спокойно жить годами.
Геморрагический инсульт вызывает множество обсуждений среди медицинских работников и пациентов. Люди отмечают, что это состояние часто связано с высоким кровяным давлением и аневризмами, что делает его особенно опасным. Симптомы, такие как сильная головная боль, потеря сознания и неврологические нарушения, требуют немедленного обращения за медицинской помощью. Многие пациенты делятся своими историями о восстановлении, подчеркивая важность ранней диагностики и реабилитации. Также обсуждается необходимость профилактических мер, таких как контроль за артериальным давлением и отказ от вредных привычек. В целом, геморрагический инсульт остается одной из самых серьезных проблем в неврологии, и осведомленность о его особенностях может спасти жизни.

Субарахноидальный геморрагический инсульт
Если в процессе кровоизлияния кровь проникает в субарахноидальное пространство, то инсультную патологию принято называть именно субарахноидальной. Пространство располагается между мозговыми оболочками, наполнено ликвором. Чаще всего заболевание такого вида наблюдается у людей в возрасте от 22 до 38 лет. Нередко патология регистрируется и в детском возрасте, т.к. она зачастую развивается в качестве осложнения аневризмы.
Можно выделить несколько факторов, которые могут потенциально спровоцировать развитие субарахноидального инсульта:
- Острые скачки АД.
- Чрезмерное нагрузка, физическое перенапряжение.
- Перенапряжения психоэмоционального характера (негативные и позитивные).
- Проблемы с венозным оттоком (наблюдаются при атеросклерозе мозговых сосудов).
- Повреждение черепа, мозга.
- Декомпенсация патологий кровеносной системы.
- Постгеморрагическая анемия.
Обычно субарахноидальное кровоизлияние протекает в острой форме. Человек может жаловаться на сильную боль в затылочной части головы, его тошнит и рвёт, нередко наблюдается эпилептическая симптоматика. При этом, до того, как начнется кровоизлияние, никакой симптоматики не наблюдается (за исключением головных болей, которые мало кто примет за симптомы инсульта).
Важной симптоматикой субарахноидального кровоизлияния можно назвать психомоторное возбуждение, которое проявляется одновременно с геморрагическим инсультом. Длительность возбуждения может составлять пару-тройку суток, причем этот временной период пациенты потом вспоминают с трудом. В первые несколько часов после кровоизлияния наблюдаются выраженные признаки менингита, температура тела повышается до 39 градусов, постепенно начинается развитие рефлекторных сосудистых спазмов, что становится причиной ухудшения состояния пациента и возникновения очаговой симптоматики.
Кровяные сгустки, скапливающиеся в субарахноидальном пространстве, зачастую закупоривают каналы оттока спинномозговой жидкости, из-за чего появляется вероятность развития окклюзионной гидроцефалии (чрезмерное скопление ликвора в оболочках мозга). С точки зрения медицины и неврологии данный процесс представляет максимальную опасность для жизни человека.
Если в оболочках спинномозговая жидкость начинает скапливаться в значительных объемах, то существенно увеличивается вероятность смерти больного, т.к. в дальнейшем начинают формироваться спайки мозговых оболочек, в которые вовлекаются нервы и сосуды.
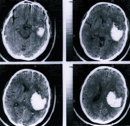
Диагностика
Чтобы поставить диагноз, пациента опрашивают, выслушивают все его жалобы, изучают анамнез. Обязательно должен быть проведен осмотр неврологом. Всего этого вполне хватает, чтобы предположить наличие проблем с кровообращением в мозговых структурах. Для подтверждения диагноза, установления геморрагического характера патологии, проводится несколько обследований:
- Магнитно-резонансная томография.
- Компьютерная томография.
- Пункция ликвора в области поясницы.
- ЭКГ.
- Сдача стандартных анализов мочи и крови.
В каждом случае список необходимых обследований устанавливается персонально в зависимости от состояния и возраста пациента, возможных рисков, а также ряда других факторов. Бывает так, что требуется лишь малая часть обследований (при выраженной характерной симптоматике), которые нужно проходить постепенно (по мере получения результатов предыдущих).
Осложнения
Большую опасность при развитии острых нарушений мозгового кровоснабжения (ОНМК) представляют:
- Увеличение размеров отека мозговых структур, что может привести к сдавливанию жизненно важных центров и систем.
- Возникновение окклюзионной гидроцефалии.
- Проникновение крови в желудочки мозга.
- Проблемы с системной гемодинамикой, утрата функций внешнего дыхания (в особенности, если есть поражение ствола).
При развитии данных осложнений существенно увеличивается вероятность летального исхода, даже в случае неотложной помощи и своевременного хирургического вмешательства. При отсутствии лечения шансов у пациентов выжить практически нет. Если подобные осложнения не наблюдаются, то прогноз при геморрагическом инсульте головного мозга может быть вполне благоприятным.
Менее опасными осложнениями являются:
- Сепсис.
- Застойное воспаление легких.
- Пролежни.
- Ангиопатия.
- Тромбоз.
- Декомпенсация сердечной деятельности.
Эти последствия геморрагического инсульта считаются менее опасными и поддающимися терапии. Поэтому после их развития оказывается качественное лечение, что может привести к полному выздоровлению больного.
Лечение
Лечить геморрагический инсульт можно двумя способами (базисная и специфическая терапия). Методика лечения выбирается в зависимости от показаний, симптоматики, наблюдаемых изменений в работе органов, расположения кровоизлияния (левостороннее или правостороннее) и других факторов.
Базисная терапия применяется, когда необходимо стабилизировать состояние больного, обеспечить поддержку работы важнейших функций организма:
- Восстановление дыхательных функций. Подобную терапию нужно делать обязательно, потому что без нее полное выздоровление невозможно. Сначала определяются газовые показатели крови, после чего проводится работа по их корректировке с помощью кислородных ингаляций. При существенных нарушениях дыхательной функции выполняется интубация трахеи и искусственная вентиляция легких.
- Восстановление работы сердечно-сосудистой системы, нормализация кровотока в головном мозге. Лечение в этом направлении предполагает нормализацию сердечного ритма и артериального давления. Степень давления для пациентов должна поддерживаться на уровне 150/90 или ниже. Чтобы снизить артериальное давление, назначаются: клофелин, метопролол, их аналоги. При сниженном артериальном давлении выполняется инфузионная терапия с применением хлорида натрия, дофамина, добутамина и ряда других препаратов. При нарушениях сердечного ритма пациента отправляют на прием к врачу-кардиологу.
- Восстановление нормальных значений водно-электролитного баланса: наблюдение за реологическими показателями, проведение профилактических действия для недопущения отечности мозговых структур.
- Восстановление нормальных показателей содержания глюкозы в крови. При повышенных значениях дается инсулин, при пониженных – 10%-ный раствор глюкозы. Нормализация уровня глюкозы оказывает прямое влияние на процесс выздоровления пациента.
- Нормализация рациона питания. Если пациент способен есть самостоятельно, то назначается диета с продуктами высокой калорийности. При нахождении пациента в состоянии комы вводятся внутривенные растворы по назначению врача. При проблемах с глотанием ставится назогастральный зонд.
- Устранение отечности мозговых структур. Для этого проводится вентилирование легких. Также могут быть использованы: диуретики, кортикостероиды, сульфат магния, фуросемид. Опухоли мозга самостоятельно рассасываются крайне редко.
- Устранение осложнений. Все пациенты, у которых наблюдается геморрагический инсульт на левой стороне или на правой стороне головного мозга, должны находиться в условиях стационара. В подобном состоянии есть вероятность развития воспаления легких, тромбоза, пролежней, нарушений работы мочеполовой и мочеиспускательной систем.
- Реабилитация. После лечения геморрагического инсульта пациентам зачастую требуется длительная реабилитация, при которой больным назначаются: массаж, физиотерапевтические процедуры, специальные диеты.
К специфической терапии патологии относят оперативное и медикаментозное лечение. Операция практически всегда проводится в том случае, когда пациент имеет кровоизлияние в мозжечок.
Хирургическое вмешательство также в обязательном порядке проводится при развитии кровоизлияния в субарахноидальное пространство из-за разрыва аневризмы. В любом другом случае вопрос о том, оперировать пациента или нет, остается открытым.
Если больной (взрослый или ребенок) находится в сознании, у него не утрачены основные жизненно важные функции и нет срочных показаний к проведению операции, ему назначается медикаментозное лечение, которое предполагает:
- Стимулирование гемостаза.
- Использование антиферментных лекарств.
- Терапия спазма сосудов.
При адекватном и своевременном лечении достаточно велика вероятность благоприятного прогноза и выздоровления после геморрагического инсульта. Основная профилактика геморрагического инсульта – качественное и правильное лечение любых заболеваний, которые могут привести к появлению данной патологии.
Крайне важна реабилитация после инсульта, потому что в процессе прохождения реабилитационных процедур к пациенту могут вернуться утраченные ранее функции (например, способность говорить или чувствовать).
Выживаемость при геморрагическом инсульте составляет около 50%. Зачастую врачам сложно сказать, сколько проживет человек непосредственно после кровоизлияния, потому что в каждом случае патология может развиваться индивидуально.
https://youtube.com/watch?v=HbDsYV1qnY8
Вопрос-ответ
Что характерно для геморрагического инсульта?
Общие признаки геморрагического инсульта: Выраженная головная боль по типу мигрени, стойкое головокружение. Тошнота, быстро переходящая в рвоту. Повышенная утомляемость.
Чем отличается обычный инсульт от геморрагического?
Отличие от ишемического инсульта Основным различием является то, что при геморрагической форме к нарушению работы мозга приводит кровоизлияние, а при ишемической — нарушение кровообращения, вызванное закупоркой сосудов, что приводит к кислородному голоданию и отмиранию части мозга.
Что происходит с человеком при геморрагическом инсульте?
Последствия геморрагического инсульта во многом схожи с ишемическим инсультом, люди могут испытывать: Двигательные нарушения, слабость или паралич – это может привести к трудностям при движении, ходьбе и координации. Нарушения движения на одной стороне тела называются гемипарез или гемиплегия. Нарушение Глотания.
Какие наиболее характерные клинические симптомы и признаки присущи геморрагическим инсультам?
Признаки геморрагического инсульта –это ощущение внезапного удара в голову и очень сильная головная боль, от которой человек теряет сознание. Иногда могут быть судороги. Сознание обычно восстанавливается, но больной остается заторможенным, он постоянно жалуется на головную боль и страдает от тошноты и рвоты.
Советы
СОВЕТ №1
Обратите внимание на симптомы. Быстрое распознавание признаков геморрагического инсульта, таких как сильная головная боль, потеря сознания, слабость одной стороны тела или затрудненная речь, может спасти жизнь. Если вы заметили эти симптомы у себя или у близкого человека, немедленно вызывайте скорую помощь.
СОВЕТ №2
Следите за факторами риска. Высокое кровяное давление, курение, злоупотребление алкоголем и наличие сердечно-сосудистых заболеваний увеличивают вероятность инсульта. Регулярно проверяйте свое давление и старайтесь вести здоровый образ жизни, чтобы снизить риски.
СОВЕТ №3
Обсуждайте с врачом профилактические меры. Если у вас есть предрасположенность к инсультам, важно обсудить с врачом возможные меры профилактики, такие как прием медикаментов или изменения в образе жизни, чтобы минимизировать риски.
СОВЕТ №4
Обучите своих близких. Убедитесь, что ваши родные знают о симптомах инсульта и о том, как действовать в экстренной ситуации. Это может помочь быстро оказать необходимую помощь и улучшить шансы на благоприятный исход.








