
Женщины стремятся к материнству, хотя с этим связано множество не только приятных моментов, но и тревог, переживаний за свое чадо. Одна из проблем, с которой сталкиваются родители – киста в голове у новорожденного. По международной классификации (МКБ) это заболевание имеет код МКБ-10. Мы расскажем, по каким причинам она появляется, что собой представляет, как ее лечить, что делать не стоит, возможна ли профилактика.
Сам диагноз «киста головного мозга у новорожденного» звучит угрожающе, но он довольно часто ставится младенцам. Этот недуг поддается лечению и не так страшен, как кажется. По статистике из 100 новорожденных у 40-ка есть киста головного мозга небольшого диаметра, которая их не тревожит. Размеры и количество могут варьироваться, потому и терапия будет отличаться. Современные препараты позволяют вылечивать кисту быстро и без осложнений, но лечением важно заниматься при первых симптомах.
Суть патологии
То, что по данным статистики заболевание стало встречаться намного чаще, чем раньше, связано не с тем, что патология участилась, а с улучшением методов диагностики. Они стали более точными, доступными.
Киста – это шишковидная полость, внутри которой есть жидкость. Ее могут обнаружить практически в любой части тела. Не стоит пугаться того, что это новообразование появилось на мозге новорожденного. Часто оно самостоятельно исчезает, просто рассасываясь. Эти крошечные пузырьки не всегда несут серьезную опасность, более опасен мультикистоз головного мозга.
Киста головного мозга у ребенка обнаруживается часто. Она бывает единичной или множественной (поликистоз), может быстро расти или вовсе остановиться в росте. Образование может вырасти лишь с одной стороны тканей мозга или сразу с двух. Очень часто небольшие пузырьки с жидкостью рассасываются самостоятельно. От такого явления могут страдать не только новорожденные, но и подростки, взрослые, пожилые люди. В общем, это многоликая патология.
Сосудистая киста в головном мозге у ребенка может обнаруживаться еще в утробе. Она относится к норме и часто рассасывается самостоятельно. Несмотря на это, недуг относят к опасным, так как при неудачном ее расположении, крупном размере, она может мешать мозгу правильно выполнять свои функции. Также опасно, если новообразование мешает работе желез внутренней секреции. Есть случаи летального исхода при такой патологии.
Нередко киста мозга наблюдается при ДЦП. Это крайне серьезное заболевание, которое требует длительного лечения и реабилитации.
Сегодня способы диагностики достигли поразительных высот. Они стали очень точными, доступными. Еще при беременности можно определить наличие кисты. Чаще всего это киста сосудистого сплетения (КСС).
Диагностику также можно провести у новорожденного. Рекомендуется осуществить исследование мозга новорожденного, если случилась родовая травма, беременность протекала проблематично или появились подозрительные признаки. Эти крошечные пузырьки можно безошибочно обнаружить сразу после рождения малыша.
Если нет прямых показаний, то новорожденным УЗИ мозга не проводится. О том, что есть киста, могут свидетельствовать определенные симптомы.
Врачи отмечают, что киста головного мозга у новорожденного — это довольно распространенное явление, которое часто не вызывает серьезных опасений. В большинстве случаев такие кисты являются доброкачественными образованиями и могут самостоятельно рассасываться в течение первых месяцев жизни. Специалисты подчеркивают важность регулярного наблюдения за состоянием ребенка, чтобы исключить возможные осложнения.
При выявлении кисты врачи рекомендуют проводить ультразвуковое исследование и, при необходимости, магнитно-резонансную томографию для более детального анализа. Важно, чтобы родители не паниковали, так как многие дети с подобными образованиями развиваются нормально и не испытывают никаких проблем. Тем не менее, своевременное обращение к специалистам и соблюдение рекомендаций врачей играют ключевую роль в обеспечении здоровья новорожденного.

Симптомы
Небольшая киста практически не влияет на организм крохи. Это лишь маленький пузырек с жидкостью, который со временем самостоятельно рассасывается. При большом новообразовании начинается сдавливание тканей, они отекают, растет внутричерепное давление. Из-за давления и отека начинается необратимый процесс отмирания тканей. Симптомы разные. Они напрямую зависят от размера, местоположения новообразования.
Есть области, которые крайне важны для правильной работы важнейших органов чувств. Именно их поражение несет большую опасность. Может нарушаться речь, координация, психическое развитие.
Родителей должны насторожить такие тревожные симптомы:
- Новорожденный часто срыгивает, причем это не связано с приемом пищи, заглатыванием воздуха.
- Ребенок не берет грудь.
- Есть нарушение координации, кроха странно двигает ручками, ножками.
- Есть судороги.
- Наблюдается заторможенность реакций.
- Малыш плохо спит.
- Кроха отстает в наборе веса, росте.
Если имеют место подобные проблемы, нужно срочно показать малыша невропатологу.
Когда киста растет, присоединяются еще более опасные проявления:
- Появляется сильная рвота.
- Дрожат конечности.
- Нарушается сон.
- Есть напряженность мышц (гипертонус).
- Ребеночек все время плачет.
- Снижается чувствительность конечностей.
- Выпячивается область родничка.
Особенно опасно поликистозное поражение, которое нередко провоцирует сразу несколько осложнений.
Разберемся в причинах
Причины кисты в голове у новорожденного ребенка даже сейчас поддаются сомнению. Замечено, что нередко такая патология появляется после менингита, кровоизлияния, травмы. Нередко новообразование появляется именно в тканях мозга ребенка.
Среди причин можно выделить следующие:
- Нарушение развития плода из-за проникновения вируса.
- Родовая травма.
- Воспаление тканей мозга новорожденного, травмы головы после рождения, опухоли.
- Нарушение кровообращения.
Есть основная причина – было нарушено развитие плода при беременности. Виновниками могут быть и некоторые заболевания будущей мамы.
Врачи советуют при беременности постоянно следить за состоянием своего здоровья, заботиться об иммунитете, избегать переохлаждения и прямого контакта с больными. Вирусы очень опасны для плода, ведь они могут проникать к нему через плаценту, нанося непоправимые повреждения тканям.
Если в мозгу младенца стартовал воспалительный процесс, клетки и ткани начинают отмирать, их замещает полость с жидкостью – киста. Их появление чаще всего провоцирует вирус герпеса – крайне опасен даже для взрослых, а у плода может вызывать необратимые изменения.
Родовые травмы связаны с тем, что иногда череп новорожденного не может правильно пройти через родовые пути. Он слишком сильно сдавливается, из-за чего ткани и кости травмируются. Особенно опасно, если плод неудачно расположился в матке. Травма вызывает гематому мозга, вместо клеток появляется жидкость, заполняющая кисту.
Киста головного мозга у новорожденного вызывает множество вопросов и опасений у родителей. Многие из них сталкиваются с диагнозом, который звучит пугающе, и начинают искать информацию о возможных последствиях. Важно понимать, что кисты, как правило, являются доброкачественными образованиями и могут не оказывать никакого влияния на развитие ребенка. Врачи часто успокаивают родителей, объясняя, что такие кисты могут рассасываться самостоятельно в течение первых месяцев жизни. Тем не менее, наблюдение у невролога остается обязательным, чтобы отслеживать динамику и исключить возможные осложнения. Родители делятся опытом, отмечая, что поддержка специалистов и обмен мнениями с другими семьями помогают справиться с тревогой. Главное — не паниковать и доверять профессионалам.

Виды
Есть разные виды кист, точнее два:
- Арахноидальная.
- Церебральная (ретроцеребеллярная).
Арахноидальная располагается между мозгом и оболочкой. Церебральная появляется в самом мозге, там, где непосредственно расположена область воспаления.
Есть также разновидности кисты:
- Коллоидная. Она характерная тем, что очень медленно растет, при этом долго не наблюдается никаких симптомов.
- Эпидермоидная. Ее составляют роговые чешуйки, которые окружены капсулой эпителия.
- Дермоидная. Ее составляют зародышевые части кожи (дерма). Составляют такое новообразование волосяные фолликулы и пигментные клетки.
- Пинеальная. Эта редкая разновидность поражает эпифиз.
Еще один вид – киста, расположенная в сосудистых сплетениях. Ее часто диагностируют еще в утробе матери, на ранних этапах развития плода. В мозге есть сплетения сосудов, которые вырабатывают спинномозговую жидкость. Именно они и могут часто поражаться, становясь областью расположения кисты. При таком новообразовании функции мозга не нарушаются, он нормально развивается. Кисту сосудистых сплетений часто диагностируют у новорожденных. Часто она самостоятельно проходит, не требуя никакого лечения, но все равно нужно получить консультацию детского невропатолога.
Серьезной патологией считают кисту субэпендемальную. Если она диагностирована у новорожденного, за ребенком постоянно должен наблюдать врач. Среди причин выделяют нарушение кровообращения в сосудах желудочков мозга. Из-за этого ткани мозга страдают от дефицита кислорода. Вследствие этого они начинают отмирать, их замещают полости с жидкостью.
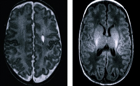
Методы диагностики
Детям до года легко провести диагностику, так как у них еще не успевает закрыться родничок. При этом достаточно провести ультразвуковое исследование – нейросонографию. Киста анэхогенная и ее легко можно увидеть на экране. Для детей старше года проводят томографию.
Особенно важно провести нейросонографию, ели ребенок рождается недоношенным. Также такая диагностика показана, если новорожденный перенес реанимационные мероприятия при рождении, или ему проводится интенсивная терапия.
Еще один повод – проблемная беременность или гипоксия плода. В таких случаях проводят УЗИ еще в роддоме.
Лечение
Прежде всего, родителям нужно при подобном диагнозе совладать со своими переживаниями и максимально хладнокровно приступить к терапии. Правильное лечение чаще всего приводит к полному выздоровлению. Если киста маленькая и не растет, а малыш не меняет свое поведение, она может и вовсе не требовать лечения. Достаточно просто регулярно показывать его врачу.
Самой безопасной считается киста сосудистого сплетения. Ее не лечат, а лишь наблюдают динамику. Мозг при этом никоим образом не страдает. Но это не значит, что все нужно пустить на самотек. Следует понимать, что киста появилась по какой-то причине: воспалительный процесс, инфекционное поражение. Это значит, что доктор должен выявить, какая конкретно инфекция привела к гибели клеток мозга и срочно устранить ее. Через несколько месяцев, даже если состояние ребенка не вызывает никаких опасений, все равно нужно провести повторно УЗИ.
При субэпендиамальной кисте нужно несколько раз в году проводить исследование при помощи МРТ (делается под общим наркозом в закрытом контуре) или МР. Лечение не требуется, если киста не растет. Скорее всего, ткани мозга восстановятся самостоятельно. Такие кисты проходят чаще всего без постороннего вмешательства, но они могут вызывать серьезные осложнения, если кистозная полость увеличивается. Это приводит к тому, что внутри нее накапливается много жидкости, растет давление. Со временем полость начинает давить на прилегающие ткани мозга.
Иногда новообразование может быстро расти. Оно при этом оказывает негативное влияние на ткани, сосуды. Крупная киста новорожденного сдавливает ткани, меняет их положение. Из-за этого у крохи могут появиться судороги, которые при отсутствии лечения быстро прогрессируют. Неврологическая симптоматика в таких случаях нарастает, состояние ребенка ухудшается, даже может произойти геморрагический инсульт.
Особенно важно заняться лечением кисты арахноидальной. Сама она не проходит, потому потребуется оперативное вмешательство. При возникновении такого новообразования ребенка постоянно должен наблюдать невролог.
Если новообразование выявлено на ранней стадии, достаточно будет консервативного лечения. Из лекарств используются три основные группы препаратов:
- противовирусные;
- для укрепления общего состояния иммунной системы;
- для улучшения кровообращения мозга.
Лекарства нужно принимать строго по схеме, до тех пор, пока врач не отменит их. Важно точно подобрать дозу, так как очень легко передозировать препараты новорожденному. Для улучшения кровообращения, лучшего оттока лимфы рекомендован массаж.
Если точно установлено, что киста у новорожденного продолжает расти, может потребоваться помощь хирурга. Он должен будет удалить новообразование. Может быть два типа операции:
- Паллиативная. Хирург удалит содержимое кисты, не удаляя ее стенок. Минус такого метода – высокая вероятность рецидива. Для операции могут применять шунтирование или эндоскопическое вмешательство. При шунтировании в голове ребенка хирург создает канал, через который выводится жидкость. Из-за шунта, ткани мозга могут инфицироваться, что является большим минусом подобных операций. При эндоскопическом методе делается крошечный прокол головы, через который удаляется содержимое кисты. Этот метод не всегда можно применять, так как к некоторым областям мозга просто невозможно добраться при помощи эндоскопа.
- Радикальная. Это открытая операция на мозге, при которой вскрываются кости черепа (просверливается кость). Через полученное отверстие удаляется киста и прилегающие к ней ткани. Это травматичный способ, после которого требуется длительное восстановление.
Обязательно нужно удалять те кисты, что быстро растут. Они могут серьезно навредить мозгу и даже угрожать жизни.
Каких последствий можно ожидать
На тяжесть последствий влияет размер кисты и отдел мозга, где та образовалась. При небольшом новообразовании симптомов может и не быть. Если же оно среднее или крупное, происходит сдавливание тканей мозга, может нарушаться зрение, слух, координация, чувствительность и т.д. Опасно поражение пинеальной (затылочной), височной, теменной, промежуточной области.
При обнаружении кисты важно сразу показать малыша детскому неврологу. Даже если она маленькая, за ребенком нужно постоянно наблюдать, отслеживать динамику развития патологии.
Однозначно следует укреплять иммунитет ребенка, беречь его от всевозможных инфекций, врач может выписать препарат для улучшения кровообращения.
Итак, киста головного мозга новорожденного – это врожденное или приобретенное новообразование. Чтобы грудничок в дальнейшем правильно развивался, важно не затягивать с диагностикой и вовремя заняться лечением подобной патологии. Если полость маленькая (1-3 мм) и не растет, она может самостоятельно рассосаться. При правильном лечении прогноз на исход будет благоприятным.
Киста головного мозга может появиться в любом возрасте, но новорожденные особенно подвержены ей. Занятия спортом, правильное питание, своевременное лечение инфекционных заболеваний помогут вам оградиться от этой и многих других проблем.

Вопрос-ответ
Чем опасна киста головного мозга у новорожденного?
Субэпендимальная киста Этот вид недуга появляется из-за отмирания тканей головного мозга, место которых заменяется жидкостью. Это и приводит к образованию кисты. Ее опасность заключается в вызываемых проблемах с развитием ребенка.
Сколько рассасывается киста у новорожденного?
Большинство кист рассасывается к 24-28 неделям, поэтому в 28 недель важно выполнить УЗИ при беременности с целью точной диагностики здоровья плода.
Откуда берутся кисты у новорожденных?
Они возникают в процессе родов в результате повреждения стенок мелких сосудов у новорожденных (обычно не более 1-2 штук), из которых происходит незначительное излитие крови, которая затем перерабатывается специальными клетками, а образовавшаяся пустота заполняется ликвором.
Можно ли вылечить кисту в головном мозге?
Болезнь успешно излечивается, в первую очередь, благодаря огромному опыту врачей. Нейрохирурги клиники, специалисты международного уровня, удаляют кисты мозга щадящими, эндоскопическими методами, не нарушающими целостность и функционирование мозга. Ключевую роль в успешности лечения играет своевременная диагностика.
Советы
СОВЕТ №1
Обязательно проконсультируйтесь с педиатром или неврологом, если у вас есть подозрения на наличие кисты у вашего новорожденного. Специалисты смогут провести необходимые обследования и дать рекомендации по дальнейшим действиям.
СОВЕТ №2
Следите за развитием вашего ребенка. Обратите внимание на любые изменения в поведении, моторике или реакции на окружающий мир. Если вы заметите что-то необычное, не стесняйтесь обратиться к врачу.
СОВЕТ №3
Изучите информацию о различных типах кист и их возможных последствиях. Это поможет вам лучше понять ситуацию и подготовиться к обсуждению с врачом, а также снизить уровень тревожности.
СОВЕТ №4
Поддерживайте здоровую атмосферу в семье. Стресс и тревога могут негативно сказаться на состоянии ребенка. Общайтесь с близкими, делитесь своими переживаниями и не забывайте заботиться о своем эмоциональном состоянии.




