
Псевдокиста головного мозга является распространенным патологическим состоянием, которое регистрируется у 1 из 100 новорожденных детей. Она встречается одинаково часто у мальчиков и девочек.
Что это такое?
Термин «киста» обозначает формирование полости, которая заполнена жидкостью, а изнутри выслана эпителием. Псевдокиста представляет собой схожую структуру за исключением того, что внутренние стенки без эпителия. В головном мозге полостное образование локализуется в определенных областях, а именно на границе между головкой хвостатого ядра и зрительных бугров (каудоталамический и каудальный тип), в зоне тел боковых желудочков. Обычно в течение первого года жизни псевдокиста в голове у новорожденного рассасывается и исчезает.
Псевдокиста головного мозга представляет собой полостное образование, заполненное жидкостью, которое может возникать в результате различных патологических процессов. Врачи отмечают, что такие образования часто формируются после травм, воспалений или инфекций. Например, после черепно-мозговой травмы может произойти накопление ликвора, что приводит к образованию псевдокисты.
Специалисты подчеркивают, что псевдокисты могут не проявлять симптомов и обнаруживаются случайно при проведении нейровизуализации. Однако в некоторых случаях они могут вызывать головные боли, неврологические расстройства или даже судороги. Важно отметить, что лечение псевдокист может варьироваться от наблюдения до хирургического вмешательства в зависимости от их размера и симптоматики. Врачи рекомендуют регулярные обследования для мониторинга состояния и предотвращения возможных осложнений.

Причины появления
Формирование псевдокисты происходит в период внутриутробного развития ребенка вследствие воздействия следующих негативных факторов:
- Нарушение кровообращения в отдельных участках головного мозга, спровоцированное инфекцией или пороками развития сердечно-сосудистой системы.
- Недостаточное поступление кислорода к тканям головного мозга (гипоксия), в том числе на последнем месяце беременности.
- Перенесенное кровоизлияние в головном мозге (формируется субэпендимальная псевдокиста у новорожденного).
К факторам, которые повышают риск формирования образования, относятся инфекционные или соматические заболевания беременной женщины, воздействие стрессовых факторов, чрезмерные физические нагрузки. Появление псевдокист во время внутриутробного развития провоцируют негативные факторы окружающей среды, к которым относятся ионизирующие излучение (радиация), некоторые химические соединения, включая лекарственные средства.
Часто псевдокиста головного мозга у новорожденных формируется вследствие накопления жидкости в сосудистом сплетении головного мозга на фоне гипоксии. Обычно такие образования рассасываются еще до рождения ребенка или в течение первого года жизни.
Существует ошибочное мнение у родителей, что полостное образование провоцирует прививка. Это неправда, введение вакцины абсолютно не оказывает влияния на развитие структур нервной системы.
Диагностика
Выявление новобразования осуществляется при помощи ультразвукового исследования (УЗИ) в течение первого года жизни. Оно дает возможность выявить образование, определить его локализацию и размер.
Чтобы дифференцировать псевдокисту и кисту, врач назначает дополнительные методики объективного исследования:
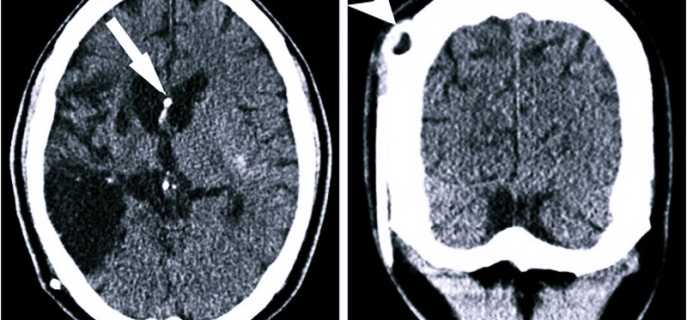
- Компьютерная томография (КТ) – послойное сканирование тканей, при котором визуализация происходит при помощи рентгеновских лучей. Методика обладает высокой разрешающей способностью и позволяет выявить мелкую псевдокисту, песок в полостных образованиях.
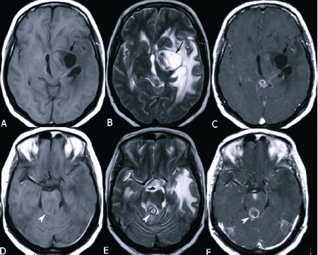
- Магнитно-резонансная томография (МРТ) – метод подразумевает послойное сканирование, при котором визуализация тканей осуществляется при помощи физического эффекта резонанса ядер в сильном магнитном поле. Исследование нельзя проводить при наличии металлических имплантатов у взрослого человека или ребенка.
- Допплеровская энцефалография – ультразвуковое исследование, при помощи которого оценивается скорость и объем кровотока в различных участках головного мозга.
- Нейросонография – ультразвуковое исследование, которое проводится через большой родничок, поэтому оно показано только для детей первого года жизни.
- Позитронно-эмиссионная томография – радионуклидный метод послойного сканирования тканей.
- Церебральная сцинтиграфия – за счет введения в организме ребенка изотопа технеция или таллия осуществляется исследование объема и скорости кровотока в тканях головного мозга.
Выбор методики исследования осуществляется лечащим врачом индивидуально. При помощи проведенной диагностики определяется характер образования (субэпендимальный тип, истинная киста), его локализация (справа или слева по отношению к срединной линии), а также размеры. Это дает возможность выбрать оптимальную терапевтическую тактику.
Псевдокиста головного мозга — это образование, которое может возникать в результате различных патологий, таких как травмы, инфекции или воспалительные процессы. Люди часто обсуждают, что это состояние может быть бессимптомным, но в некоторых случаях вызывает головные боли, тошноту и неврологические расстройства. Важно отметить, что псевдокисты не являются истинными кистами, так как они не имеют оболочки и могут содержать жидкость, образующуюся в результате разрушения тканей. Причины их возникновения разнообразны: от врожденных аномалий до последствий операций. Многие пациенты отмечают, что своевременная диагностика и наблюдение у врача помогают избежать серьезных осложнений. Важно помнить, что при первых симптомах следует обратиться к специалисту для дальнейшего обследования и выбора оптимального лечения.

Лечение
В отличие от истинной кисты псевдокиста головного мозга у новорожденного малыша рассасывается самостоятельно в течение первого года жизни. Для ускорения рассасывания или при подозрении на формирование истинной кисты назначается медикаментозная консервативная терапия, которая включает следующие группы препаратов:
- Средства для улучшения мозгового кровообращения (Актовегин).
- Витамины группы В.
- Мочегонные средства для уменьшения объема ликвора (Фуросемид).
- Минеральные соли – калий, магний, кальций, натрий.
За ребенком устанавливается динамическое наблюдение. Детский невролог периодически назначает обследование с УЗИ для определения размеров образования в динамике. Дополнительно используются физиотерапевтические процедуры (магнитотерапия, грязевые ванны) и массаж. Такие мероприятия улучшают функциональное состояние нервной системы, сосудов, повышают объем и скорость кровотока, снижают риск развития гипоксии. Они оказывают общее положительное воздействие на организм ребенка и способствуют улучшению работы других органов и систем. В возрасте 1 год обязательно назначается контрольное ультразвуковое исследование. На основании его результатов ребенок снимается с диспансерного учета или врач подбирает дальнейшее лечение с коррекцией мероприятий.
Когда нужно удалять?
Если образование характеризуется тенденцией к увеличению (рост) или после года не отмечается положительной динамики, то проводится дополнительное исследование с целью дифференциальной диагностики. В большинстве случаев устанавливается диагноз истинной кисты головного мозга. Если она увеличивается в динамике, смещает структуры центральной нервной системы, приводит к нарушениям функционального состояния, включая периодические тонико-клонические судороги, то требуется удаление образования. Оно осуществляется при помощи нескольких методик хирургического вмешательства:
- микронейрохирургический доступ;
- эндоскопическая операция;
- шунтирующая методика (осуществляется сброс жидкости из кисты в подпаутинное пространство).
Выбор методики осуществляет врач-нейрохирург индивидуально, в зависимости от локализации, размеров образования, а также технических возможностей клиники.
Связь псевдокисты с другой патологией
Считается, что псевдокиста у грудничка в голове относится к последствию изменений на генетическом уровне. Нередко патология сопровождается развитием других пороков в организме. При выявлении изменений в головном мозге врач обязательно обращает внимание на возможные изменения функционального состояния других органов. Проводится исследование с целью выявления нарушений работы сердца, сосудов, внутренних органов, структур мочевыделительной и половой системы.
Субэпендимальная псевдокиста слева в головном мозгу нередко сопровождается развитием синдрома Эдвардса, который представляет собой хромосомное заболевание. При этом отмечаются множественные пороки развития, которые формируются на фоне трисомии 18 хромосомы. К ним относятся аномалии лицевого и мозгового черепа, изменение формы грудной клетки, дефект межжелудочковой перегородки, аплазия легочной артерии, гипоплазия мозжечка и мозолистого тела головного мозга. В этом случае требуется комплексное хирургическое лечение, прогноз обычно остается неблагоприятным.
Прогноз
Младенец с псевдокистой головного мозга в течение первого года жизни развивается нормально. Все показатели созревания структур центральной нервной системы не отличаются, ребенок не отстает в росте и физиологическом развитии от сверстников. В большинстве случаев при выявлении псевдокисты прогноз благоприятный. У родителей нет повода для беспокойства. В течение первого года жизни требуется динамическое наблюдение у детского невролога. Если после проведения контрольного ультразвукового исследования отмечается рассасывание полостных образований, то ребенок старше года снимается с диспансерного учета.
Псевдокиста головного мозга относится к «малым» порокам внутриутробного развития, которые провоцируют различные негативные факторы. Обычно при выявлении образования специальные терапевтические мероприятия не требуются.

Вопрос-ответ
Что является причиной возникновения псевдокисты?
Псевдокисты образуются , когда клетки поджелудочной железы воспаляются или травмируются, и ферменты поджелудочной железы начинают вытекать . Вытекание ферментов вредит тканям поджелудочной железы. Псевдокисты поджелудочной железы могут возникнуть после эпизода внезапного (острого) панкреатита. Люди с хроническим панкреатитом также могут получить псевдокисты.
Отчего появляются кисты в голове?
Причинами кисты головного мозга у ребенка и взрослых людей могут быть перенесенные инфекционные заболевания, травмы головы, воспалительные процессы, аномалии внутриутробного развития, нарушение мозгового кровообращения с образованием некроза и ишемии.
Чем опасна псевдокиста в голове у новорожденного?
Если псевдокисты мелкие, это результат перенесенного внутриутробно микоплазмоза и уреаплазмоза. Если псевдокисты крупные, это следствие перенесенного цитомегаловируса. Эти образования не являются опасными для здоровья и жизни младенца.
Чем отличается киста от псевдокисты?
Истинные кисты имеют внутреннюю эпителиальную выстилку. Стенки псевдокист лишены такой выстилки и состоят из фиброзной ткани. Причины приобретённых кист — острый и хронический панкреатит, травма поджелудочной железы и её протоков, кровоизлияния в паренхиму ПЖ.
Советы
СОВЕТ №1
Обратитесь к врачу при первых симптомах. Если вы заметили головные боли, изменения в зрении или другие неврологические проявления, не откладывайте визит к специалисту. Раннее выявление псевдокисты может существенно облегчить лечение.
СОВЕТ №2
Регулярно проходите медицинские обследования. Если у вас есть предрасположенность к заболеваниям головного мозга или вы перенесли травмы, регулярные проверки помогут контролировать состояние и предотвратить развитие осложнений.
СОВЕТ №3
Обратите внимание на свое питание и образ жизни. Здоровая диета, физическая активность и отказ от вредных привычек могут помочь поддерживать здоровье мозга и снизить риск возникновения различных заболеваний, включая псевдокисты.
СОВЕТ №4
Изучите информацию о псевдокистах. Понимание причин и симптомов этого состояния поможет вам быть более осведомленным и подготовленным к общению с врачом, а также к принятию обоснованных решений о своем здоровье.



